Skip to main content

Volume 30 - Issue 12 - December 2022

Featured Article

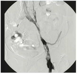
Acute Venous Intervention
12/01/2022
Michael Lichtenberg, MD, FESC
I think the greatest advantage of the Aspirex™ Thrombectomy System is its simplicity. You can just turn it on and aspirate the thrombus out. 
I think the greatest advantage of the Aspirex™ Thrombectomy System is its simplicity. You can just turn it on and aspirate the thrombus out. 
I think the greatest advantage...
12/01/2022
Cath Lab Digest
Meeting Update
01/13/2023
This program is targeted toward staff who are new to the cath lab setting.
This program is targeted toward staff who are new to the cath lab setting.
This program is targeted toward...
01/13/2023
Cath Lab Digest
Meeting Update
01/09/2023
Kusum Lata, MD, FACC, FSCAI; Anna T. Beyer, MD
We have initiated a quarterly meeting for Northern California Women in Interventional Cardiology. Our inaugural meeting was held November 4, 2022, and featured an introduction from Society for Cardiovascular Angiography and Interventions...
We have initiated a quarterly meeting for Northern California Women in Interventional Cardiology. Our inaugural meeting was held November 4, 2022, and featured an introduction from Society for Cardiovascular Angiography and Interventions...
We have initiated a quarterly...
01/09/2023
Cath Lab Digest
CLD Discussion with Drs Kern & Lim
01/03/2023
Michael J. Lim, MD; Morton J. Kern, MD, MSCAI, FACC, FAHA
Morton J. Kern, MD, and Michael J. Lim, MD, discuss the latest topics in the cath lab.
Morton J. Kern, MD, and Michael J. Lim, MD, discuss the latest topics in the cath lab.
Morton J. Kern, MD, and Michael...
01/03/2023
Cath Lab Digest
Out-of-Hospital Care
12/31/2022
Timothy Dao, MD, FACC; Rikesh Patel, MD, FACC
CLD talks with Timothy Dao, MD, FACC, and Rikesh Patel, MD, FACC about their practice and the best-in-class technology they utilize to provide high-quality cardiac care.
CLD talks with Timothy Dao, MD, FACC, and Rikesh Patel, MD, FACC about their practice and the best-in-class technology they utilize to provide high-quality cardiac care.
CLD talks with Timothy Dao, MD,...
12/31/2022
Cath Lab Digest
Clinical Editor's Corner
12/02/2022
Morton J. Kern, MD, MSCAI, FACC, FAHA
Working in the cardiac cath lab (or any medical unit) is a team sport. To improve efficiency and safety in the lab, team members attended a Cultural Team Training.
Working in the cardiac cath lab (or any medical unit) is a team sport. To improve efficiency and safety in the lab, team members attended a Cultural Team Training.
Working in the cardiac cath lab...
12/02/2022
Cath Lab Digest
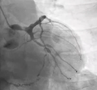
Clinical Update
12/01/2022
Rodney H. Stables, DM, MA, BM, BCh, FRCP, MD; Arnold H. Seto, MD, MPA, CCDS, FACC, FSCAI; Jordan G. Safirstein, MD, FACC, FSCAI
Not only does StatSeal achieve hemostasis in less time, but it did so in a remarkably consistent manner across the entire population. We can be certain that we will not have hemostasis problems by two hours and confidently use an expedited...
Not only does StatSeal achieve hemostasis in less time, but it did so in a remarkably consistent manner across the entire population. We can be certain that we will not have hemostasis problems by two hours and confidently use an expedited...
Not only does StatSeal achieve...
12/01/2022
Cath Lab Digest