Renal Denervation: How We Do It
© 2024 HMP Global. All Rights Reserved.
Any views and opinions expressed are those of the author(s) and/or participants and do not necessarily reflect the views, policy, or position of Cath Lab Digest or HMP Global, their employees, and affiliates.
What drew you to start performing renal denervation therapy?
We have struggled for years with managing hypertension. In my own practice, I recognized that I only had so many tools to offer my patients, primarily medical therapy and suggestions on lifestyle changes. However, there were still patients where I couldn’t necessarily help them meet their blood pressure goals. Several years ago, there was a reemergence of the investigation into whether renal denervation (RDN) might be effective for managing resistant hypertension. As those programs were ramping up, devices were re-designed, and early data were promising, I could see the opportunity for this technology to make an impact on patients’ lives. In particular for those patients I described, who have really struggled over the long term with their blood pressure control. In preparation for RDN, we started ~4 years ago to develop a program at our own institution for managing patients with more complex hypertension. In parallel, I was engaged with our interventional society, the Society for Cardiovascular Angiography and Interventions (SCAI), in developing the credentialing and institutional requirements to support this technology. Lastly, we started participating in clinical trials for the RDN devices, both before and now after FDA approval, to support the evidence generation.
Can you tell us about your program and selecting appropriate patients?
I feel strongly that the decision to undergo treatment with renal denervation shouldn’t be left solely to an interventionist. As interventionists, we love new devices, we love to do procedures, and we tend to glorify our procedural impact, and so inherently we have our own biases. Starting several years ago, Dr. Anna Krawisz, a board-certified cardiologist trained in vascular medicine and hypertension, became my partner in developing the BIDMC Complex Hypertension Program. The current program that she co-runs with Dr. Jennifer Cluett operates to manage any hypertension patient who needs additional assistance. The focus is to exhaust medical therapy, ensure there are no secondary causes for their uncontrolled hypertension, and make certain that the patient is open to alternative treatment options using a shared decision-making approach. Once renal denervation was commercially approved in November 2023, we rapidly started identifying patients who were good candidates. Now, having successfully done multiple commercial and trial cases, we are more comfortable with the technology and how patients are responding, as well as identifying patients who are likely to have the greatest impact from this this technology. Two main phenotypes have emerged from this early experience. First are patients who are on multiple medications, and either are still poorly controlled or even if they are controlled, are controlled by strict medication regimens that interrupt their lives. For example, with clonidine, if you miss a dose or are not adherent, it can cause a critical side effect, such as rebound tachycardia, because of the nature of that medication. This same patient group also includes people who have had high blood pressure since they were young and have never had alternative options to manage their condition outside of challenging medication regimens. These are a majority of the patients that we have treated with renal denervation and who have achieved successful results. Second are patients who are uncontrolled hypertensives with a poor tolerance for blood pressure medications. There is a phenotype of people who experience an array of side effects with blood pressure medications that significantly impact their life. Many of these patients walk around untreated for years due to treatment intolerances. This is another type of patient that we have found to benefit from an alternative treatment option like renal denervation. An overarching theme for both groups is cardiovascular risk. We have patients with a history of stroke, heart attack, and/or peripheral artery disease, and blood pressure management in these patients in particular is even more critically important than the average patient without comorbidities and with uncontrolled hypertension. All of these considerations are used as part of our selection criteria for recommending renal denervation.
What is the workflow for renal denervation procedures?
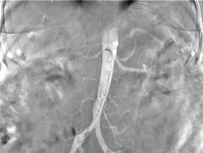
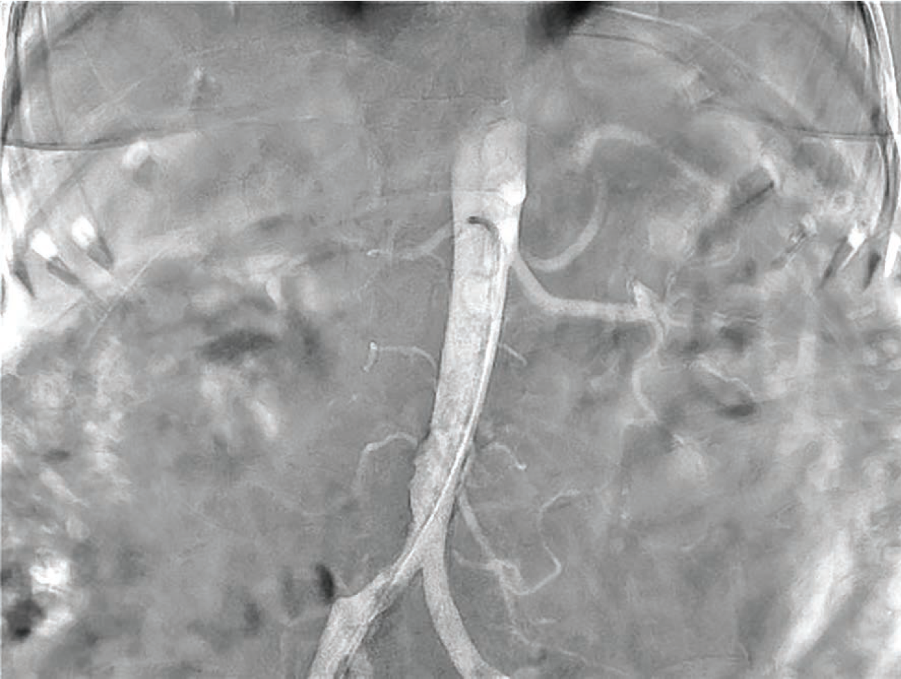
Renal denervation can be performed safely on a same-day basis. Our approach is as follows. We bring patients in the morning and our procedure starts with conscious sedation administered by our cath lab nurses. We sometimes use the sedentary effect of Benadryl to complement safe administration of conscious sedation. There are currently two approved RDN platforms: the Spyral catheter from Medtronic requires a 6 French (F) femoral artery sheath and the Paradise catheter from Recor Medical requires a 7F sheath. Once femoral artery access is obtained, we look at the abdominal aorta and renal arteries. We first make sure that no significant disease exists in the proximal portion of the artery. We don’t want to treat renal arteries with disease greater than 50% in severity. We also want to exclude renal arteries with signs of other conditions like fibromuscular dysplasia. Second, we look for accessory arteries and find those arteries meeting the size criteria, which is between 3 and 8 millimeters (mm). Size is usually not an issue for the main renal arteries, but accessory arteries of at least 3 mm can allow for treatment, which is critical as these arteries often have substantial nerve innervation, similar to the main renal artery branches. Once we have visualized the anatomy and excluded severe atherosclerotic disease, we will bring up a renal guide for selective angiography. We like to have a few shapes available and prefer the shorter lengths (~55 cm), but this procedure can be done through a traditional 90 cm guide. The internal mammary artery (IMA) guide and renal double curve (RDC) guide are the typical shapes we start with. We take a selective angiogram of each main and accessory artery, as well as document a full baseline nephrogram. We typically give intra-arterial nitroglycerin up front when we do the angiogram to try and size all branches at maximal vasodilation, and then again at the end of the procedure to ensure there is no vascular trauma.
The key next step is to make a procedural plan. For the Spyral catheter that involves denervation of all branches >3 mm, we want to treat as many of these arteries as possible to assure we get the greatest benefit for our patient. As such, I am very meticulous in selecting all candidate arteries and treating all of them, as long as the procedure remains safe. We always treat distal to proximal and avoid bifurcations or ablating within 5 mm of the ostium of the renal artery. Once we are ready to begin with treatment, we assure our activated clotting time (ACT) is >250 and we make sure the patient is appropriately sedated. We advance any non-polymer jacketed wire into our target branch for catheter delivery. Ideally, we want a wire that has a softer, steerable tip and a supportive body, such as the Thunder 014 wire (Medtronic). The renal denervation catheter is brought over the wire deep into the branches, but maintained outside of the parenchyma of the kidney. The wire is pulled back, which causes the Spyral catheter to take on a 3D helical form. We confirm placement and then perform full denervation for 60 seconds. The nice thing about the Spyral catheter is that it has four different electrodes that each can be individually controlled, and we receive feedback from each to assure that the ablation energy and heat are within safe thresholds. If the sensors identify either exceeding the pre-defined thresholds, or that there is lack of apposition of the electrode to the vessel wall, the electrode involved will turn off, while the other electrodes will continue to deliver therapy. This is key for a safe and effective procedure. We are also then able to customize our approach. For instance, if you are in an area where either the vessel tapers and becomes too small, or you are crossing a bifurcation, selective electrodes can be turned off. Once we have successfully ablated, we can then bring the catheter back to ablate further, or selectively wire and treat the next branch. Once we have completed our pre-planned ablation treatment, we end with administering intra-arterial nitroglycerin to make sure that we have no vessel injury, perforations, or dissections. If we don’t see anything concerning, we move to the contralateral side. We don’t need to remove any of the equipment from the guide at this point; it can remain in the guide until the next artery is selected. Of note, it is not uncommon following denervation to see some spasm of the artery. This typically resolves with nitroglycerin and in my experience, has not caused any clinical issues. If anything, it may signify that we performed successful ablation, but that may just be anecdotal. Once we have completed contralateral treatment, we take everything out of the body, use a closure device on the femoral artery, watch the patient for a few hours, and then discharge them to home.
How does imaging help you in the renal denervation procedure?
Good imaging is extremely helpful to guide us throughout the case. It is important to have the capability for digital subtraction angiography (DSA). When we do the non-selective aortogram to lay out the branches and the aorta, we do that on DSA. We want to see everything. We want to see the anatomy, if there is any disease in the renal arteries, if accessory arteries are present, what landmarks we can use for catheter engagement and that the full renal is perfused. Thus, it is critically important to have a good imaging system. We then need our imaging system to help us unfold vessel branches that are projecting 2-dimensionally but are really in 3 dimensions. These branches can come off at different angles and tortuosities, and appear overlapped. Appropriate projections are needed to understand which arteries are candidates for treatment and how we will wire these different branches. It is also very helpful, once the anatomy has been established, to be able to use those images for roadmaps or reference overlays in a peak opacity format, which allows us to avoid additional acquisitions and contrast injections. Lastly, it all comes down to patient safety. We must be able to try to limit our scope of view and get a good high-quality image, but also not use too much radiation where the patient or the provider is being overly exposed. We rely on a high-quality system to provide the required imaging needs and preserve safety. These capabilities are particularly important for renal denervation, which has been made better by our ability to use new technology and a newer system to launch this newer procedure.
What do you typically see in terms of blood pressure reduction post procedure?
Everyone has experienced a little different cadence of their blood pressure response to renal denervation. Some people have had immediate profound reductions, while in others we have observed more delayed responses. At discharge, we tell our patients that we are not changing their blood pressure medications at that moment, but request for them to check their blood pressure once or twice a day at home for the following weeks. We ask that these data are sent to us electronically and then we schedule them for a visit between 1-3 months post procedure with our complex hypertension center. Most of these patients are chronic hypertensive patients, so they are used to being involved in their blood pressure management, and are usually very good at checking their blood pressure. We don’t expect full benefit to be achieved until 6 months post procedure, and we have seen people experience a gradual and greater decrease in the blood pressure over several months. In the trials, the primary endpoints could occur anywhere between 2 and 6 months, so we know not to confirm blood pressure response until at least 6 months out. Interestingly, as more long-term renal denervation data accumulates from the pivotal trials and other registries, we are observing a greater longitudinal response. So, maintaining a relationship with the patient is important and we continue to follow our patients out to at least one year post procedure.
You mentioned avoiding lesions that are greater than 50%. How is that disease handled if a patient otherwise meets the criteria for renal denervation?
All our patients will get anatomical imaging as part of their secondary evaluation in our hypertension center. We usually do this with a duplex ultrasound, but sometimes we need more axial imaging like a computed tomography angiography (CTA) or magnetic resonance angiography (MRA). Most often from these studies we can determine next steps, but sometimes it is a staged approach if renal artery stenosis is suspected. For instance, I recently had a patient with severe resistant hypertension. He had gone up to 5 anti-hypertensive medications and was using breakthrough hydralazine during the day. His duplex ultrasound showed fairly normal renal artery velocities, but an MRA suggested there might be some ostial disease on his right kidney artery. He also had stage 2 chronic kidney disease. We discussed in clinic that we needed to do something for his blood pressure and have two potential options. First, if the right renal artery is diseased, we can consider a renal stent and then can re-evaluate his blood pressure response with this intervention. However, if the right renal artery is not severely diseased, meaning we don’t see a severe lesion or have a significant pressure drop across the lesion, then we have the opportunity to still do renal denervation. He agreed, and we brought this patient to the cath lab and did an angiogram. We found very severe right ostial renal disease and put in a renal stent. We are now following him back in clinic. With the Spyral RDN system, we can still do RDN as long as it is >90 days after renal stenting. Our plan is to see how his blood pressure responds, and if we are still not at goal, we can then consider RDN. It was a great conversation to have with the patient, where I was able to offer a couple ways to improve his blood pressure control and make his daily life more livable. It is an elective procedure and the patient has to feel involved in the decision making, but if we can do this safely and in a way that is least burdensome to the patient, I think it is a great win.


