Paravalvular Leak After TAVR
Can you tell us about the risk of paravalvular leak (PVL), and how positioning of the valve and calcification may affect risk?
Amar Krishnaswamy, MD: Rates of paravalvular regurgitation with transcatheter aortic valve replacement (TAVR) have declined substantially since we started doing the procedure 17 years ago. Much of that has to do with device development and ceiling skirts, and ways in which the valves themselves are improved. Similarly, much of the decline in risk has to do with an improved understanding, not only around patient selection, but also in how we can deal with PVL when it happens, based on the pre-procedural anatomic assessments. In that regard, knowing exactly what a patient's anatomy looks like before going into the TAVR is the best way to either predict or deal with having paravalvular regurgitation after valve placement. Generally speaking, one of the major reasons PVL occurs is a result of mid-sizing the TAVR prosthetic, which is not always necessarily because of bad preprocedural imaging, though it can be. Sometimes the valve is in-between sizes and we might choose a smaller size instead of a larger size for certain reasons, but then don't seal well. The other major reason PVL may occur is the presence of calcification in the ventricular outflow tract or very bulky calcification of the leaflets that may make sealing with the native aortic root more difficult. All operators should be looking at the computed tomography (CT) scans because the way that we deal with PVL is, in large part, dependent on the aortic root anatomy. The easiest way to deal with PVL is to simply post dilate the valve either with the same fill volume in the syringe or with slightly more. Most often, that takes care of the PVL and provides an optimal result. In situations where either post dilating the valve doesn't provide adequate sealing or if the anatomy is such that the ventricular outflow tract calcification is bulky, the patient is frail, and/or there is worry about annular trauma and you don't want to post dilate the valve, then in those situations, PVL closure with a dedicated plug may be the more optimal strategy. Especially for operators or centers where the volume of TAVR may be limited, it is important to understand what the risk factors are for PVL development, especially when it is due to outflow tract calcium. For a center that is not comfortable or facile with PVL closure, these might be the cases to consider referring to a larger center. Situations in which PVL will be severe are usually predictable. I don't think that catches anyone by surprise. There are always the one-off situations where you didn't anticipate that there would be some PVL. In those cases, if you didn't anticipate it, probably the PVL is not the result of significant calcification, so simply post dilating the valve either at the same volume or with a little higher volume in the inflation syringe may be all that is necessary to give the patient an optimal result.
How does the operator become aware of the presence of PVL?
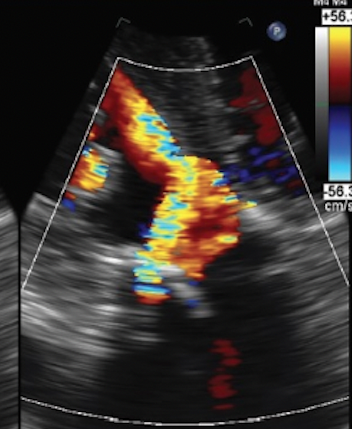
Amar Krishnaswamy, MD: As with most things, looking at it from different angles is always best. We generally look at degree of paravalvular regurgitation in 3 different ways in our practice in Cleveland Clinic. One is with aortography to understand the PVL degree in that way. The second is with echocardiography, and because all of our cases are done under conscious sedation, that echocardiogram is a transthoracic echo. Our echo techs are fantastic and it is frankly rare, if ever, that they can't get diagnostic quality imaging, irrespective of patient factors. The third method involves looking at invasive hemodynamics. We always measure the pressures in the ventricle and the aorta before and after valve deployment. There are clues in each of these three things, aortography, echo, and hemodynamics, to help us put together whether this patient has mild PVL, moderate, or severe, and help us decide what we should do about it.
Any final thoughts?
Amar Krishnaswamy, MD: The good news is that the rate of significant PVL or even moderate PVL is so much lower now than it ever was, as a result of understanding valve sizing more appropriately, based on preprocedural CT planning as well as improvements in device design. All of the valve companies continue to iterate on their device design with the hope of taking us not just from sub-1% rates, but really to zero. I think the future of TAVR will likely see even less PVL from its already very low rates.
Find more:
TVT Newsroom (With a Special Focus on TAVR)
Dr. Krishnaswamy presented "Prevention and Management of PVL: When to Intervene (With Case Examples)" June 7th at TVT in Phoenix, Arizona. View his slides here.


