Successful Stenting Using Low-Dose Angiography With Asymmetric Edge Enhancement
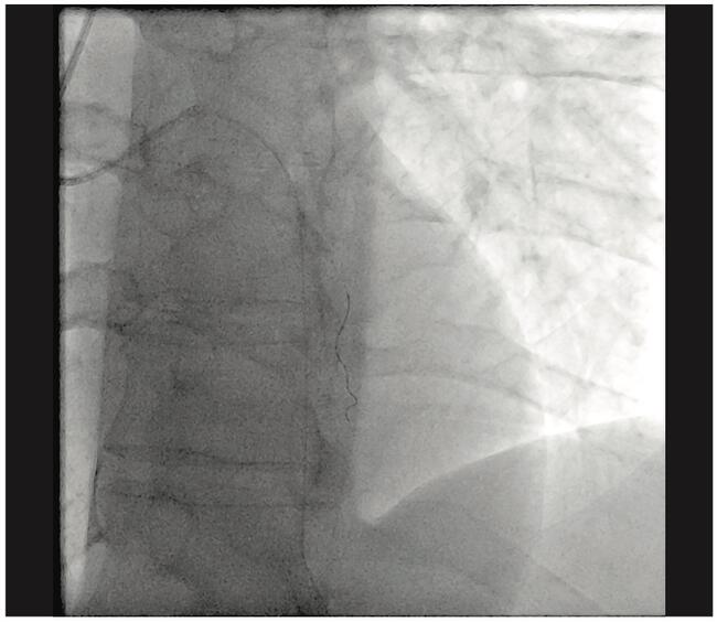
This case involving a stenting procedure demonstrates how low-dose angiography can yield optimal image quality to increase clinical certainty during patient interventions. A 48-year-old male was referred following a positive stress test that indicated anterior ischemia as well as prior stent implantation. Cardiac images were obtained (via the ARTIS Q ceiling-mounted angiography system with CLEAR MAX technology from Siemens Healthineers) and provided asymmetric edge enhancement to the vessel while maintaining As Low as Reasonably Achievable (ALARA) dose levels. The images revealed a first diagonal narrowing of approximately 90% at the ostium with good distal flow. The patient then underwent a successful percutaneous coronary balloon and stenting procedure. An observed reduction in case time was attributed largely to the improved image quality from the applied asymmetric edge enhancement.


