Clinical Imaging
Beware of a New Heart Block: A Marker for Aortic Root Abscess
June 2023
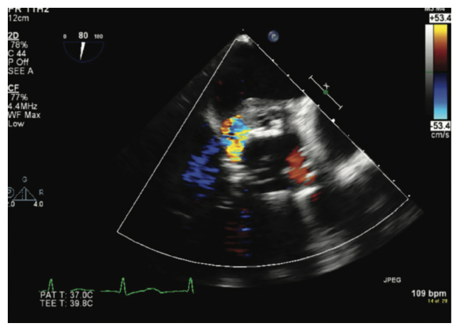
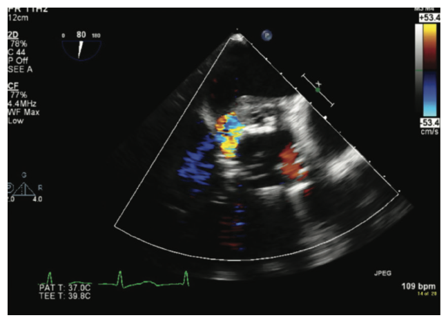
A large vegetation extended from the aortic root into the left atrium with associated moderate to severe MR.
Disclosures: The authors report no conflict of interest regarding the content herein.
The authors can be contacted via Pradnya Brijmohan Bhattad, MD, at pradnyabhattad20@gmail.com.


