4D ICE-Guided Pulsed-Field Ablation
© 2025 HMP Global. All Rights Reserved.
Any views and opinions expressed are those of the author(s) and/or participants and do not necessarily reflect the views, policy, or position of Cath Lab Digest or HMP Global, their employees, and affiliates.
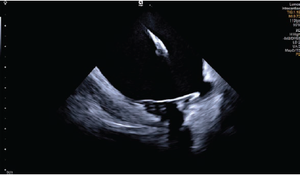
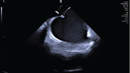
Images/courtesy Texas Cardiac Arrhythmia group, Austin, Texas
The catheter-based treatment known as pulsed-field ablation (PFA) is emerging as an innovative method of ablation for the treatment of atrial fibrillation. It creates precisely demarcated cardiac lesions that preserve tissue architecture; cell death is confirmed by histological evidence of electroporation, which uses electrical fields to increase cell permeability. PFA can be augmented via four-dimensional (4D) intracardiac echocardiography (ICE) to guide catheter placement, verify tissue contact, and evaluate lesion formation. Additionally, 4D ICE may help clinicians assess sufficient energy delivery to intended tissue and minimize the potential for hemolysis, or the rupturing of red blood cells. In this case, 4D ICE (AcuNav Lumos 4D ICE catheter, Siemens Healthineers) was used to perform PFA and provided detailed views of cardiac anatomy and visualization of tissue contact in multiple planes (Figures 1-2). AcuNav Lumos 4D ICE also guided the transseptal puncture and tenting with visualization of left atrial appendage in the far field (Figure 3) to confirm absence of thrombus.


