4D ICE Enables TEER on Scoliosis Patient With Severe Mitral Regurgitation
This case of transcatheter edge-to-edge repair (TEER) with a MitraClip device (Abbott) demonstrates how 4D volume intracardiac echocardiography (ICE) catheter imaging (ACUSON AcuNav Volume ICE catheter on the ACUSON SC2000 PRIME ultrasound system, Siemens Healthineers) enables the treatment of patients with severe mitral regurgitation who otherwise would have no options for care.
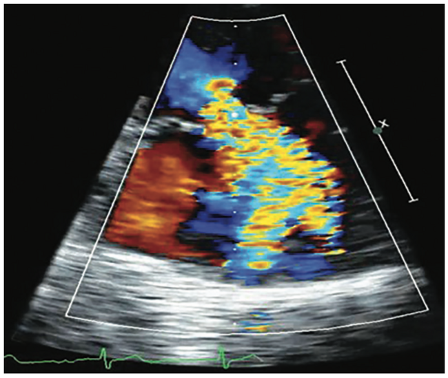
A 38-year-old female with significant osteogenesis imperfecta, severe scoliosis, and severe myxomatous mitral valve was referred for TEER. An adult transesophageal (TEE) transducer could not be used due to the severe scoliosis, and pediatric TEE imaging was suboptimal for use in the procedure. Preprocedural transthoracic echocardiogram demonstrated severe mitral regurgitation. The 4D ICE catheter assisted with transseptal puncture at the optimal superior and posterior positions, with the circle tool verifying the 4.5 cm distance from the mitral annular plane. Biplane imaging using reference planes with and without color helped guide the device to the optimal position. Physicians were able to treat the patient with relative or absolute contraindication to TEE.


