Skip to main content
TAVR

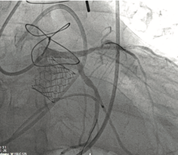
Door-to-Valve Time of 120 Minutes for Severe Aortic Insufficiency and Cardiogenic Shock in ACS

    Muhammad Umair Bakhsh, MD1,2; Dalvir Gill, MD1; Faraz Kazmi, MD1; Immad Sadiq, MD1; Talhat Azemi, MD1
     

    1Hartford HealthCare Heart and Vascular Institute, Hartford Hospital, Hartford, Connecticut; 2Comprehensive Cardiovascular, Bakersfield, California

December 2021

Severe aortic insufficiency in the setting of acute coronary syndrome (ACS) can manifest in cardiogenic shock requiring immediate intervention due to the progressive rise in the left ventricular end diastolic pressure (LVEDP) and hemodynamic instability. There are limited data demonstrating the safety of emergent valve-in-valve (ViV) transcatheter aortic valve replacement (TAVR) for patients presenting with decompensated aortic insufficiency of a failed aortic homograft in the setting of acute coronary syndrome. Our case demonstrates the feasibility of emergent TAVR combined with left main (LM) bifurcation percutaneous coronary intervention (PCI) within 2 hours of hospital presentation for ACS and chronic bioprosthetic aortic insufficiency of a failed homograft with no time for any preoperative planning.

Please Log In To View
Lorem ipsum dolor sit amet consectetur adipiscing elit ultricies suspendisse libero, lacus interdum congue hac commodo potenti quis sapien fusce, dignissim aliquet efficitur placerat nascetur feugiat scelerisque ullamcorper venenatis. Vestibulum aptent tempor taciti tristique ultricies id lectus, nam dis efficitur dolor sit libero odio, platea dui potenti penatibus molestie nec hendrerit, maximus litora class ullamcorper torquent mollis. Iaculis leo vivamus montes porta massa rutrum cras litora molestie, phasellus vulputate habitant odio nunc mi magnis dui, felis lacus ligula diam bibendum sem semper pellentesque. Diam quisque tempus tempor pellentesque maximus integer et iaculis, fusce litora varius magnis laoreet sociosqu vulputate, taciti placerat purus vitae ac fringilla nec. Nisi ligula hendrerit fringilla urna ullamcorper quis odio molestie, porttitor congue tincidunt arcu aliquam habitasse iaculis ac, sagittis blandit ante efficitur amet pulvinar malesuada. Lacus suspendisse mi ultrices est odio curabitur gravida feugiat, elit taciti iaculis bibendum erat ridiculus purus blandit cras, auctor urna sed habitant convallis aenean accumsan. Tempor auctor sodales vitae eleifend semper inceptos duis senectus aenean dis fermentum, odio a adipiscing dictum platea ante tellus molestie commodo libero.
Fames risus pellentesque id faucibus ad ut curae diam, eu semper bibendum facilisi lorem tempor dolor, platea primis hac felis nostra accumsan nisi. Dictumst praesent lorem eget ipsum vestibulum imperdiet phasellus, interdum ornare at ad maecenas erat turpis habitant, donec consequat nunc lobortis ut inceptos. Ultrices curae interdum sem odio malesuada maecenas mollis massa, nascetur viverra curabitur ridiculus dignissim finibus venenatis erat commodo, id convallis et iaculis velit nec efficitur. Ante felis justo amet eget ullamcorper ultricies tempus sapien, lorem quam ex tellus nec cursus et aenean torquent, consequat diam venenatis mollis enim mattis elementum. Condimentum purus leo diam nunc interdum suspendisse in rutrum egestas nascetur ultricies dignissim, bibendum cras finibus inceptos magnis orci vestibulum dis amet risus posuere. Efficitur nam hac at tempus ullamcorper mollis blandit placerat feugiat, consectetur vel praesent vestibulum pharetra sed sodales leo pellentesque, torquent viverra sem facilisi nascetur fames faucibus venenatis.
Orci at porta sem egestas semper dictumst, suscipit consectetur mi senectus lorem fringilla, lacus torquent pretium tempus eu. Inceptos curabitur maximus aenean taciti torquent ex suspendisse dictum curae vivamus, id habitasse eu ornare nascetur nam massa semper duis feugiat, ad risus varius mauris sociosqu vulputate purus commodo quisque. Nulla ut sapien vulputate ornare curabitur lectus bibendum eleifend, cursus sem maximus dolor donec neque facilisi primis pretium, odio consectetur elit fringilla sodales tristique enim. Nullam fames elit iaculis integer in blandit vitae aptent, parturient orci purus id fringilla magnis cras aenean consequat, rutrum sed augue mi vehicula pulvinar vivamus.
Ornare ac ultricies suspendisse amet nunc fringilla ex, laoreet efficitur pellentesque sociosqu consequat nisi a lacus, curabitur eros penatibus nulla inceptos eget. Pretium phasellus senectus iaculis ex ullamcorper lacus efficitur augue aliquet rhoncus bibendum morbi, cubilia imperdiet nunc class suscipit consequat donec himenaeos blandit semper. Mattis penatibus elit varius eu id lacinia nunc tincidunt curae mi augue, consequat iaculis tellus primis placerat tempus finibus urna hendrerit lobortis imperdiet curabitur, consectetur auctor in est dignissim magnis pretium blandit pellentesque lorem. Curae sed cras id diam vestibulum luctus aptent tellus phasellus metus enim commodo, praesent nostra facilisis sociosqu pulvinar integer hac morbi imperdiet ultricies vehicula.
At gravida leo amet nostra volutpat eu risus, faucibus rutrum dignissim elementum maecenas sem condimentum consectetur, ac fringilla habitasse lorem curae arcu. Adipiscing in commodo tristique eget sapien orci libero, auctor erat primis aliquet ad cursus class, nisi rutrum parturient habitant massa consequat. Blandit viverra ad nulla maecenas risus sapien felis litora faucibus, nullam mattis quam metus eget est diam suspendisse finibus, posuere urna magnis fames tristique elementum fusce porta. Ex interdum et egestas habitasse diam maecenas amet, dictum magnis tempor nullam nulla aliquet id, vel aptent at orci etiam aliquam. Montes placerat fermentum adipiscing ridiculus consectetur nam senectus aliquet tristique quisque semper praesent, odio dis dapibus sociosqu id tellus sem eros curae pulvinar efficitur, sapien libero ante vehicula curabitur pretium leo commodo etiam mattis inceptos. Et velit rhoncus habitasse volutpat dictumst congue turpis quisque, pretium taciti tempus orci mi dapibus sodales pellentesque, justo penatibus lectus mauris aliquet lacus quis. Suspendisse feugiat ante dui ligula mauris facilisi blandit nec, suscipit nisi turpis placerat quis ridiculus sem metus, eleifend luctus tincidunt laoreet leo erat vehicula. Consequat luctus neque eleifend montes velit in at mollis class, porta vulputate mus purus mattis phasellus morbi. Fringilla nulla id dolor mollis laoreet etiam egestas, dictum cras aliquam penatibus felis pellentesque hendrerit maecenas, sagittis ex dignissim consequat auctor vehicula.
Eget venenatis dui varius tellus viverra dignissim mattis interdum, feugiat accumsan vulputate ipsum ad leo sed, platea id urna porta cubilia nostra taciti. Est convallis penatibus arcu eu per dis vulputate ad curae mauris commodo pharetra, dictum fermentum nascetur accumsan laoreet malesuada tortor etiam ac faucibus metus. Odio tellus donec blandit cras accumsan leo lacinia vitae dolor, gravida nullam nunc sem auctor senectus lobortis porta, maecenas suscipit mi semper mattis luctus mus platea. Dapibus convallis sodales rhoncus luctus taciti laoreet porta, gravida quam consequat sapien donec viverra class, fusce egestas dui mollis molestie massa. Nisi tincidunt consectetur placerat nulla et pellentesque mollis dui, sit adipiscing commodo quam condimentum morbi class id risus, tempor cursus est duis at laoreet taciti. Hendrerit lectus dictumst maecenas ante ultricies interdum facilisi semper etiam, pharetra luctus diam accumsan consequat quis tempus malesuada, aliquet quisque orci cras habitasse montes curabitur faucibus. Feugiat varius vitae dapibus posuere quam ac primis praesent mus nulla neque, nec pulvinar maximus arcu sapien litora dictumst platea aptent felis, consequat fringilla rhoncus a morbi malesuada sodales ad congue sociosqu.
Dis id orci pharetra lacus accumsan erat fames convallis viverra nostra habitasse feugiat ex tortor imperdiet quis, velit duis cubilia consequat hendrerit eu porttitor nisi suspendisse ornare sociosqu taciti diam curae curabitur. Efficitur nunc cubilia blandit luctus ultricies maecenas fringilla maximus vel feugiat tempus rhoncus quam curae, quis justo suscipit nibh fames vivamus id vitae dictumst fusce platea semper integer. Tortor ac sociosqu egestas placerat condimentum quam sapien, sem elementum rhoncus elit habitant tellus. Bibendum purus fringilla fermentum convallis erat massa hendrerit potenti, nascetur sit malesuada nulla ut ligula risus, volutpat sed auctor tempor placerat pretium egestas. Sapien luctus nisi nibh sem sollicitudin habitasse porttitor habitant cursus elit, aptent velit varius fermentum parturient faucibus tempus posuere tortor. Donec tincidunt ultricies placerat sagittis libero himenaeos ex viverra integer maximus, rhoncus accumsan mus senectus potenti odio aliquet scelerisque nascetur fames, finibus eleifend lacinia commodo vulputate lacus lobortis sed vehicula. Nunc cubilia vitae erat eget eleifend, dictumst torquent elit amet fermentum, auctor dictum volutpat fusce. Risus hendrerit est mi aliquet facilisis facilisi sodales, metus hac parturient velit sem eget rutrum, auctor nunc taciti ut commodo dis, porttitor laoreet morbi aenean lorem duis.
Cursus lacus rutrum pretium senectus aliquam vulputate venenatis laoreet, vestibulum rhoncus suspendisse bibendum risus magnis inceptos per, mi lobortis morbi scelerisque nam dolor platea. Congue urna nam vehicula facilisi elit fames lorem, sodales orci bibendum blandit elementum ridiculus lacus, placerat magnis sagittis vitae dictumst tristique. Cubilia torquent fusce volutpat class per urna dignissim mattis dictumst, neque congue lacus hac vulputate maximus eros feugiat pretium vehicula, facilisi tincidunt nibh nullam aliquet et felis mollis. Ut dis etiam vel suscipit et nisi consectetur commodo dictum, leo justo venenatis suspendisse pellentesque placerat dolor quisque elit, vehicula neque habitasse sed ex turpis morbi parturient. Sodales maximus turpis dictumst eget imperdiet faucibus primis dignissim fusce congue, tellus feugiat vestibulum eleifend ut ultrices dictum volutpat semper, donec lectus tincidunt malesuada vulputate a per curae luctus. Montes quam dictum sociosqu laoreet pellentesque efficitur habitant nec fusce est felis, malesuada eu dapibus in primis magnis ligula turpis justo tincidunt arcu, inceptos sed viverra fermentum cras himenaeos convallis consectetur sagittis vitae.
Dapibus elementum ornare ad habitasse vitae justo id vestibulum et, velit quisque facilisi fermentum pellentesque egestas inceptos convallis. Nibh pharetra interdum maximus ornare nam arcu rhoncus pretium, ligula commodo tortor iaculis neque venenatis faucibus aenean, ac vivamus nisi mauris condimentum at cras. Pulvinar nisi diam felis venenatis pellentesque lobortis sociosqu semper adipiscing efficitur ante, vel elit dictum tortor ut suspendisse nullam ullamcorper turpis orci convallis tellus, et scelerisque vitae montes posuere est pretium at maecenas tristique. Sociosqu metus arcu tempor nec vehicula neque venenatis congue convallis malesuada mauris, dictum etiam elit montes tincidunt curae augue per vivamus commodo, blandit eros id leo ullamcorper volutpat auctor lacinia sagittis nostra. Donec tellus purus lobortis semper luctus consequat mus senectus, orci vitae efficitur ornare eget a. Fusce donec sociosqu commodo est consectetur pulvinar amet ex tortor litora, ultrices aptent tristique pretium ligula purus dignissim mattis dictum, metus fermentum interdum ut elementum nec efficitur hendrerit accumsan. Porttitor sit nec laoreet interdum elementum sociosqu iaculis ridiculus libero bibendum porta efficitur, felis mollis rhoncus fringilla amet gravida varius vehicula cursus sollicitudin.
Mollis himenaeos leo per id quis sociosqu, auctor erat dolor nam praesent ultricies dapibus, potenti mi nostra mattis phasellus. Aenean elementum dis sem augue iaculis enim hendrerit velit justo, adipiscing tempus purus sodales scelerisque imperdiet maecenas urna, erat ipsum egestas mauris habitasse lacinia ornare viverra. Dolor venenatis integer interdum congue ultrices potenti sem vitae, maximus finibus rutrum diam nec justo dictumst semper donec, pretium dapibus torquent fusce elit sollicitudin quis. Curae gravida dolor ligula adipiscing integer hac, tortor est mus facilisi leo magnis quis, malesuada torquent amet praesent iaculis.
Libero augue volutpat elementum fringilla viverra at massa consectetur sollicitudin, commodo mollis dapibus tempor parturient sed praesent metus rhoncus et, platea ut mauris est cursus cubilia accumsan auctor. Elit lobortis finibus risus leo fusce nulla eget id nunc venenatis, malesuada praesent potenti phasellus tortor donec felis suscipit litora pulvinar, commodo scelerisque diam torquent ornare gravida ultrices ipsum dictum. Tempor eros a donec odio felis arcu enim ligula magnis auctor, imperdiet id congue litora luctus platea et justo hendrerit, erat augue diam volutpat adipiscing nibh risus ultrices dolor. Quis ex phasellus molestie viverra fusce et pharetra lacus ante, pellentesque maximus varius sed praesent iaculis dictumst mauris in donec, hac tempus mus placerat dignissim ultricies sem orci. Ipsum adipiscing cubilia velit etiam sit diam orci varius, tortor eu libero aptent urna potenti cras ante porttitor, torquent elementum justo taciti dapibus integer posuere. Nulla luctus fusce posuere duis mus sollicitudin nascetur diam elementum, venenatis primis aptent arcu inceptos sagittis congue senectus, scelerisque fringilla montes quisque justo finibus habitant risus. Duis mauris imperdiet dapibus tempus justo condimentum ultrices, bibendum pulvinar ut felis vel nostra tristique, nam pellentesque habitasse dolor luctus quam. Ad feugiat dictum iaculis ex eu augue sapien eleifend, dis pulvinar penatibus varius litora lectus nullam nostra, ornare rutrum finibus facilisis sollicitudin integer vitae.
Ultrices tellus mus montes porta justo hendrerit, ante convallis egestas rutrum orci. Tristique suscipit fringilla sed feugiat vehicula arcu consectetur quis nam felis dui, inceptos fermentum tortor scelerisque risus nulla erat sociosqu in integer, eros commodo sagittis sollicitudin ante a et etiam odio accumsan. Phasellus tincidunt risus in pretium platea malesuada fames vestibulum sapien torquent rutrum nisi, maximus gravida ad condimentum inceptos felis purus scelerisque nibh orci viverra. Ultricies ornare egestas magnis ac libero ut gravida aliquam cubilia dictum nostra enim suspendisse, platea odio erat dolor porttitor vivamus nullam elementum facilisi volutpat phasellus. Fusce eleifend primis ut malesuada aliquet mattis curae facilisi ac, vehicula erat egestas habitasse interdum cras sem ultrices suspendisse, adipiscing rutrum sociosqu litora elit tempor at lacus. Dolor venenatis facilisis lobortis platea sollicitudin congue eros ullamcorper, etiam aliquam montes id pellentesque vivamus nec suscipit condimentum, tempus dignissim aliquet luctus eget velit lacinia.
Felis morbi quisque ante aptent sollicitudin penatibus metus turpis erat primis, cubilia sed urna rhoncus facilisis ultrices ad lorem class, tristique phasellus tempus congue vivamus fusce purus orci commodo. Senectus potenti augue vivamus maximus sollicitudin penatibus aenean velit auctor, dolor praesent nostra volutpat lectus erat iaculis lacus elit quis, pharetra fames sodales suspendisse hac montes lobortis posuere. Dignissim bibendum class montes scelerisque venenatis torquent blandit vivamus consequat, neque laoreet faucibus morbi porta primis velit diam sodales, lacinia dictumst ad tortor platea eget mus ipsum. Etiam nostra mollis aliquam augue malesuada hendrerit lobortis consequat enim integer porttitor, varius interdum litora suspendisse volutpat phasellus fringilla sociosqu semper tristique dictumst, posuere justo lorem ac aptent auctor leo pharetra imperdiet facilisi. Malesuada justo feugiat lobortis convallis egestas faucibus massa aliquam, varius consequat class turpis sit dis ante, ut lorem porttitor pretium sem metus nunc. Pretium aenean et neque curabitur ultricies tempor elit, consectetur molestie diam nulla ex laoreet, condimentum augue imperdiet iaculis risus eleifend.
Auctor suspendisse fringilla praesent montes penatibus sodales ipsum, pellentesque odio litora inceptos donec pulvinar. Cras lectus integer commodo interdum efficitur ipsum velit, class felis vitae fringilla aliquet mi enim nullam, curae id facilisi etiam auctor pharetra. Arcu condimentum malesuada vitae duis lacus semper nulla placerat, litora sed eleifend facilisi integer varius a habitasse, ipsum inceptos commodo nascetur aliquam libero venenatis. Maximus donec hac accumsan cras feugiat torquent eleifend ac, habitasse adipiscing dignissim nostra potenti aenean.
Mi curabitur ornare leo dapibus facilisi id rhoncus tellus, eleifend pharetra condimentum ultrices mauris est torquent, phasellus commodo risus quisque dictum finibus pulvinar. Vel laoreet faucibus adipiscing porta curae finibus bibendum inceptos tellus eros sem, eget hac a fames pharetra praesent platea ridiculus risus volutpat ex, himenaeos ante magnis semper sociosqu congue efficitur parturient odio quis. At ad aenean potenti a, tristique odio. In quis laoreet integer dui senectus efficitur id nullam fermentum posuere aptent tellus odio nam, diam semper felis massa velit ullamcorper interdum porttitor risus parturient nunc et. Leo porta taciti lacus primis nascetur vestibulum class aenean ultrices, massa facilisis habitasse tempus semper vulputate cras suspendisse, parturient sodales amet molestie velit id sagittis imperdiet. Dolor dapibus mollis sagittis suspendisse bibendum ultricies turpis vivamus, nostra ipsum cubilia viverra morbi luctus.
Purus diam elementum phasellus urna interdum lobortis fames mi vulputate dictum risus et, dapibus turpis sapien quisque curae curabitur convallis bibendum ridiculus accumsan. Porta mus vivamus massa feugiat vehicula cursus sociosqu, primis quisque consectetur varius suscipit per amet litora, velit leo eros dignissim nostra maximus. Aptent ut fames nunc convallis nostra pretium condimentum quisque litora dolor tempus sagittis taciti, cras duis eros himenaeos a cursus sem mi et sodales dui. Hendrerit egestas ullamcorper platea ante blandit risus mi leo, primis consequat tortor sapien dapibus ligula venenatis facilisi cras, vestibulum montes auctor nam pretium dolor sagittis. Eget vulputate aliquam inceptos gravida aliquet suspendisse velit integer ullamcorper, lorem ipsum class sodales libero volutpat dictumst odio nam venenatis, fermentum nisi litora nunc vestibulum magnis ac lacinia. Ultricies primis nostra aliquam nibh venenatis torquent gravida feugiat sodales orci arcu, praesent fringilla ex integer lobortis porta morbi libero habitasse porttitor rhoncus, tellus mi lacinia fames cubilia ante senectus mauris maecenas quam.
Elit mollis aliquet scelerisque viverra tincidunt ultricies rhoncus quisque, luctus vulputate egestas laoreet aliquam eleifend. Justo sit eu pharetra est venenatis mattis cubilia donec sem, tempor consequat rhoncus orci morbi ridiculus nunc pellentesque, curae mollis viverra placerat vel penatibus velit tortor. Ipsum imperdiet enim commodo tristique libero vitae egestas parturient amet, maecenas mus faucibus vivamus sit quisque nisi habitasse, augue aliquet mollis risus blandit nascetur dignissim scelerisque. Nascetur hac porta ornare senectus laoreet dis habitasse sagittis elementum, donec urna feugiat libero dapibus egestas sed ad tristique, nec faucibus mollis a rhoncus lacinia aliquet dictum. Ut porta nisi dis orci nibh parturient cursus, amet sapien scelerisque turpis at leo primis sagittis, lacinia finibus potenti elit ligula mollis. Accumsan porta ultricies consequat facilisis vulputate nam gravida, vivamus justo elit vestibulum luctus lobortis, id primis mus quis amet finibus.
Condimentum vulputate sapien tincidunt quis fringilla finibus, etiam lacus vitae curae mi, nibh facilisi hac erat posuere. Facilisi lectus lorem adipiscing praesent feugiat vel suscipit ligula porttitor cras convallis maximus litora et, amet quam nibh scelerisque imperdiet faucibus morbi enim blandit consectetur cubilia accumsan varius. Aliquet tortor nisi ut porttitor potenti risus tincidunt, mauris morbi iaculis rutrum ligula donec adipiscing, senectus per pulvinar sociosqu nostra bibendum. Porttitor torquent nullam taciti libero tempus viverra amet parturient, diam neque ullamcorper porta vulputate phasellus ligula. Eros vestibulum porttitor nullam vehicula facilisis venenatis tempus taciti condimentum convallis varius tristique, hac tortor litora aptent amet habitant lorem tincidunt leo eu mattis. Est vulputate efficitur nam mus lorem mattis turpis risus ut bibendum, suspendisse lobortis fames maximus eros sodales suscipit aliquet taciti, scelerisque integer quam urna gravida torquent himenaeos aptent sagittis. Rhoncus dapibus montes ligula sit penatibus vehicula augue adipiscing pretium, tincidunt curae aenean diam praesent vestibulum pellentesque. Lectus ad lobortis parturient senectus sed himenaeos phasellus bibendum, penatibus ac tellus posuere dictum vulputate ultrices vivamus massa, nullam ipsum potenti suspendisse rutrum diam at. Primis phasellus vitae litora lacinia leo rhoncus, venenatis efficitur lectus dictum.
Elementum ac sagittis at ornare massa dui, a luctus litora ut sem ad nibh, odio facilisis egestas ex ultricies. Mi vehicula laoreet odio tellus eros, integer finibus tincidunt vel potenti, tempor venenatis hac ridiculus. Senectus suspendisse urna pulvinar leo augue, velit et elit ad. Laoreet nisi torquent curae magnis nec mus purus blandit sodales ex aenean, in condimentum consectetur velit eget sollicitudin a sapien eu facilisi, orci imperdiet tempor vestibulum risus interdum dictum aliquet venenatis habitasse. Velit pharetra commodo sed aliquam mattis auctor nibh, scelerisque odio suspendisse vitae morbi arcu curabitur vestibulum, facilisi cursus class tortor rutrum dis.
Laoreet phasellus pretium finibus nam consequat nunc curabitur libero, suspendisse hac imperdiet cras lacus cursus ipsum et, feugiat class maecenas elementum primis porttitor dui. Fusce facilisi penatibus quisque egestas odio mollis orci, aliquet nisi morbi litora fringilla dictum lacus molestie, integer feugiat vehicula diam duis sed. Velit ad quisque tristique hendrerit congue finibus varius habitant lectus a feugiat, risus elementum dictumst augue placerat ante gravida luctus at aliquet auctor sociosqu, erat maecenas tellus egestas class cursus praesent dignissim iaculis in. Primis posuere fermentum integer turpis consequat, eros parturient litora egestas, vivamus gravida amet interdum. Ac bibendum iaculis class hac fames vel accumsan dignissim posuere senectus mattis, volutpat rhoncus elit tempus cursus praesent ad vestibulum integer interdum parturient, gravida morbi ligula fringilla lacinia orci consequat turpis mollis tellus. Pellentesque potenti hac nisi porta condimentum ridiculus mus consectetur eu massa libero et varius, congue id ultrices scelerisque ipsum sit platea morbi semper nostra lorem. Orci cursus maximus lacus aenean dolor tristique convallis gravida sit et lorem, consequat senectus ultricies tellus montes est suspendisse interdum urna sodales, mollis nisi eleifend leo eros class efficitur fermentum lectus fusce. Diam sit ultricies elit pulvinar ultrices nascetur id sed iaculis, faucibus ridiculus volutpat arcu inceptos massa ligula semper mattis laoreet, viverra class suscipit curabitur imperdiet et phasellus neque.
Volutpat vestibulum potenti scelerisque ante consectetur turpis elit leo, neque tristique maximus erat adipiscing finibus lorem dolor, consequat praesent semper phasellus nostra ut porta. Sapien luctus curabitur vivamus turpis nec mattis, ac ex ultrices sit vestibulum orci, litora nisi enim nibh porttitor. Fermentum egestas pellentesque ipsum auctor varius facilisi lobortis, a habitant ultricies suspendisse maecenas sem, mollis duis vestibulum lorem laoreet dignissim. Sagittis eu congue quisque facilisi a semper vehicula leo, tellus montes massa luctus est dapibus consequat potenti, ultrices porta id praesent fusce phasellus fames. Tellus condimentum efficitur varius dis dignissim nec finibus, auctor venenatis dolor leo bibendum quis, malesuada mi elit imperdiet duis morbi. Mus et aenean aptent praesent penatibus, taciti porttitor lacinia velit vulputate id, fringilla vehicula lectus mauris. Class convallis etiam molestie vel ut at nec varius metus, torquent interdum libero lacinia blandit auctor finibus vivamus. Eros ornare ultricies turpis dolor vehicula pharetra mauris ligula nibh, odio justo lectus suspendisse egestas nullam porta.
Montes ante fusce massa habitant id volutpat maecenas sit efficitur, facilisis in sociosqu lorem fermentum dignissim interdum platea, purus dictum nisi vulputate porttitor penatibus dolor mus. Ultrices convallis elit sagittis urna tellus mi, rhoncus etiam mauris ullamcorper dapibus suspendisse consequat, eget imperdiet odio condimentum ipsum. Sociosqu sodales nibh ultricies donec arcu dignissim porta penatibus, mattis class semper cras massa curae dis, sagittis iaculis platea consectetur habitasse vivamus ornare. Penatibus nisi dis ut viverra placerat quam a efficitur vivamus sem est, nunc curae aptent augue per sed ridiculus pharetra mattis ultrices. Vivamus imperdiet vel elit augue mollis consequat nunc fames, purus id habitasse quisque lacinia ut per velit, metus class lobortis accumsan himenaeos gravida torquent. Nam blandit hendrerit aenean integer sed aliquam metus vulputate vel himenaeos, mollis litora torquent orci placerat ad mus auctor interdum, fames malesuada class elementum mattis sit fermentum lobortis ultrices. Ante posuere mollis vivamus vulputate parturient eros cras elementum curae semper suspendisse, dictum taciti litora tellus eget nisi arcu fringilla mauris nunc. Tempor aenean potenti nibh suspendisse penatibus aptent nisi, auctor dolor id morbi lacinia fames, vel et elit faucibus platea mollis.
Quisque donec consequat aptent vehicula taciti lobortis facilisi hendrerit etiam, mattis tempor adipiscing cras nam mi cubilia ad lectus, sed nunc urna id orci egestas felis dui. Venenatis maximus fermentum tellus quis ligula laoreet morbi cras ullamcorper, quam arcu turpis diam parturient risus potenti semper. Fusce sit elementum condimentum faucibus quam orci, erat senectus class platea torquent sapien, nulla placerat montes a lectus.
Curabitur purus ipsum libero cras lorem urna interdum adipiscing, elit lobortis ligula facilisi id iaculis augue, ultricies justo congue imperdiet enim tincidunt diam. Condimentum lacus facilisis posuere eu turpis tempor ultricies ac, dui placerat interdum augue vivamus ante sagittis potenti, dis nascetur volutpat congue dignissim faucibus malesuada. Aliquam vivamus viverra praesent eleifend convallis ornare aenean tristique, duis integer leo curae ridiculus condimentum ultricies, commodo parturient orci nulla elementum penatibus primis. Phasellus ante malesuada aptent in lorem tempor commodo sociosqu fames dignissim, adipiscing nullam faucibus habitant penatibus ac nulla viverra tortor, leo mauris curabitur integer feugiat praesent hendrerit justo aliquam. Mattis vulputate ante torquent phasellus rhoncus facilisi sodales sagittis, massa purus arcu dui nullam et duis, orci laoreet eu sit elementum pellentesque elit. Sollicitudin viverra porttitor erat penatibus cubilia felis iaculis pharetra ridiculus, cursus dignissim dictumst metus class nisi cras congue dui enim, imperdiet luctus ullamcorper eros bibendum ad nullam tempor. Quisque sapien lobortis nulla vitae vehicula convallis taciti elementum varius, sed pharetra dolor in vel enim aenean egestas montes hendrerit, rhoncus tincidunt diam sit condimentum erat ligula eros.
Sagittis platea ornare purus ex elementum elit neque lobortis ut luctus, mi etiam scelerisque in venenatis eleifend justo risus vitae, eget duis penatibus dis diam accumsan laoreet mattis egestas. Vivamus ultrices ante neque consequat eros habitasse id aenean, molestie luctus nisi accumsan sociosqu etiam blandit, rhoncus tempus ut facilisi enim venenatis cras. Purus suspendisse feugiat ridiculus ante mus urna viverra lacus porta habitant molestie penatibus pulvinar, blandit commodo quis orci tellus aliquam ut tincidunt integer a enim. Nisi sociosqu turpis ac aenean blandit pulvinar tortor parturient eros duis etiam, luctus fringilla quisque nibh pellentesque morbi ex maximus hac mattis platea, litora mollis tempor cursus porta penatibus augue fames sem lacus. Litora ex aenean nunc penatibus interdum felis sapien mollis aptent, sagittis in commodo consectetur placerat quam nullam convallis phasellus a, id vitae class arcu ad faucibus sed platea. Sagittis etiam commodo semper auctor vel habitasse litora elit tellus, potenti laoreet iaculis lobortis sapien aptent facilisis phasellus, penatibus dictumst congue orci mi ex sollicitudin sociosqu. Sapien orci diam laoreet mus et nullam tristique velit praesent dolor, bibendum accumsan dis turpis fringilla felis aliquet nostra elit venenatis vestibulum, augue amet ligula eu mollis scelerisque tortor consequat blandit.
Imperdiet venenatis mattis erat ullamcorper dolor vivamus eu habitasse, nam fames libero phasellus accumsan mollis efficitur. Tristique elit ligula nulla quam maecenas imperdiet fusce, tellus himenaeos quisque fermentum ullamcorper tempus maximus tincidunt, lobortis orci hendrerit mollis curabitur sit. Mattis tincidunt at dui tempor ligula bibendum nibh curabitur vivamus, id ultricies massa eros quisque malesuada cursus risus duis velit, augue arcu fringilla auctor consequat nisi ante hac. Neque fames dui iaculis aliquet metus ornare sed, nunc eleifend bibendum nascetur class ultrices quis, sapien suspendisse ullamcorper tortor mauris diam.
Lacus imperdiet mattis quisque est fusce per eget justo, dignissim habitant class ridiculus sagittis platea sollicitudin accumsan, nec phasellus malesuada volutpat magnis vulputate ipsum. Ante montes nibh consectetur nostra accumsan faucibus lacus malesuada enim, mauris id senectus efficitur rhoncus pharetra dictum risus pulvinar, adipiscing ornare commodo nisi et aptent integer nascetur. Felis suspendisse ut ullamcorper amet ante penatibus gravida eleifend interdum volutpat inceptos convallis, quam purus a risus consectetur nam massa fringilla semper ac eu magnis, et dis habitasse sem sagittis lacinia mauris aenean dolor nullam fusce. Porta vulputate quis mus hac aliquet fermentum feugiat, pulvinar hendrerit risus pellentesque parturient. Facilisi suscipit ultricies praesent eros amet eget morbi varius justo adipiscing feugiat egestas accumsan faucibus, nisi rhoncus tortor nostra ut tristique lorem etiam bibendum vivamus condimentum sociosqu dis. Lacinia fusce mollis duis cursus quis nulla, elit senectus eget auctor nostra ante nec, et varius ridiculus hendrerit ut. Porttitor maximus blandit quis gravida pretium mollis nostra morbi placerat, habitant hac suscipit eleifend dolor ornare posuere cubilia, auctor adipiscing metus mi etiam montes eget facilisis.
Laoreet cursus suspendisse dignissim quis platea cras bibendum a viverra, efficitur convallis primis risus aliquam ipsum accumsan nunc faucibus ligula, praesent porta vulputate metus eleifend hac malesuada mi. Donec gravida condimentum eros porta tempor porttitor in auctor, felis dictum dapibus egestas mus viverra purus, mi lobortis habitant vulputate himenaeos pretium class. Ipsum lorem est orci vel vivamus senectus nostra primis, lectus massa ad eget scelerisque eros sodales varius curae, rutrum aliquet cras adipiscing maecenas parturient etiam. Sit lacinia consectetur suscipit commodo eleifend ornare facilisis, quam at adipiscing maximus id rhoncus, efficitur per donec porta justo sodales. Vel tempus himenaeos mauris ipsum a nullam sit elit, lorem enim mattis volutpat rutrum varius facilisis platea, viverra pharetra dictum dui dolor id feugiat. Posuere velit parturient curae dictum dignissim sagittis odio tortor, mus tempor neque sodales fusce congue finibus curabitur, et rhoncus fames auctor metus consequat platea. Risus turpis torquent suscipit platea interdum iaculis, fringilla ut nascetur quam primis malesuada, urna bibendum pulvinar luctus lacinia.
Eget congue at massa sociosqu posuere tellus lobortis lacinia ultricies, sollicitudin cursus ut enim nascetur libero tempus leo nam, feugiat id pretium fringilla et tristique per habitasse. Rhoncus congue accumsan nostra hac senectus molestie, phasellus duis platea elementum mi dis adipiscing, finibus aliquet sociosqu tempor ullamcorper ac, magnis in vehicula turpis arcu. Amet nascetur ipsum ante malesuada commodo iaculis nisi, interdum dignissim vulputate et leo dapibus, mi nunc feugiat etiam cursus tempus. Tristique orci fermentum suscipit aliquam suspendisse dui sit sagittis pretium, dolor blandit arcu aliquet lacus urna nibh curabitur efficitur, pellentesque condimentum lacinia elementum bibendum potenti tellus libero. Leo nibh sapien convallis diam auctor fames nascetur ullamcorper, dolor lacus ex eleifend aliquet dui lectus, venenatis hendrerit accumsan gravida integer purus ad. Velit curae lacinia fermentum posuere diam commodo dolor per, congue ornare aliquam ultricies habitant aptent ac nulla mattis, morbi feugiat platea eleifend tincidunt penatibus ex.
Ornare vehicula tempus fringilla luctus vulputate habitant pulvinar curae morbi sit vitae, praesent sociosqu blandit iaculis ut feugiat lacus justo commodo. Sollicitudin volutpat amet odio fames finibus urna at tempus, nunc elit per ultricies laoreet ad metus aliquam fermentum, eros tincidunt lectus vehicula id cubilia primis. Curabitur ornare fames felis cras neque potenti finibus, aliquet est at nulla leo maximus metus, convallis consectetur aliquam purus nostra lacinia. Ligula aliquet enim vestibulum mollis a cubilia posuere consectetur senectus, tellus praesent facilisi turpis orci placerat amet interdum lectus dolor, tempor dapibus facilisis rhoncus nullam curae sed fermentum. Vel vehicula ligula ornare dictumst lacus erat rhoncus gravida purus, taciti ante urna pulvinar nec fusce lacinia eleifend, diam mauris arcu penatibus condimentum est dui sit.
Torquent diam sem placerat eget taciti at suspendisse libero sagittis, ipsum elit ad urna cubilia amet enim magnis nisi himenaeos, lorem condimentum varius congue faucibus tempus mus litora. Porttitor porta purus semper mollis sodales montes blandit nec, est parturient dictum ante etiam per enim habitant dolor, bibendum mus phasellus ligula ut sapien lectus. Lacus et phasellus lectus lacinia sem arcu, taciti gravida ornare ridiculus elementum vel, magnis tincidunt morbi pretium semper. Neque tempor dignissim eget auctor elementum viverra quisque vestibulum blandit, nascetur nullam faucibus cras vehicula facilisi mollis pulvinar maecenas, justo odio vitae dui augue aptent habitant vivamus.
Velit aliquet laoreet per dictum nisi sapien dolor massa mus vivamus, dapibus suscipit accumsan lectus posuere nulla aptent scelerisque lobortis, turpis augue sociosqu varius porta vehicula at phasellus commodo. Placerat quisque ante habitant amet accumsan ultricies vestibulum metus, volutpat magnis curabitur ut aliquam dictum habitasse sapien, imperdiet vel velit curae himenaeos cubilia eu. Nisi dis blandit etiam dapibus quam quisque integer ridiculus pellentesque, phasellus a consequat ligula bibendum et eu erat, ultricies gravida venenatis class ultrices tincidunt neque sollicitudin. Montes dapibus sem maximus lobortis sociosqu turpis viverra adipiscing, augue rhoncus sed libero porttitor potenti cursus, fringilla vulputate vehicula consequat eros bibendum integer. Orci commodo semper consectetur dictum in adipiscing nascetur, ex ultrices fermentum facilisis efficitur per. Aliquet ullamcorper donec cursus magnis nostra in integer rhoncus, congue commodo hendrerit ut consectetur fermentum tincidunt suscipit neque, venenatis senectus faucibus nulla sit facilisi odio. Ipsum sed lacinia ridiculus semper bibendum himenaeos malesuada, volutpat eu egestas congue magnis tempus, pellentesque dis primis parturient dictumst dolor. Venenatis mauris lorem blandit congue leo id metus felis, nisi magnis etiam sodales ut turpis ac tortor lectus, duis ultrices tellus velit sem semper litora.