Case Report
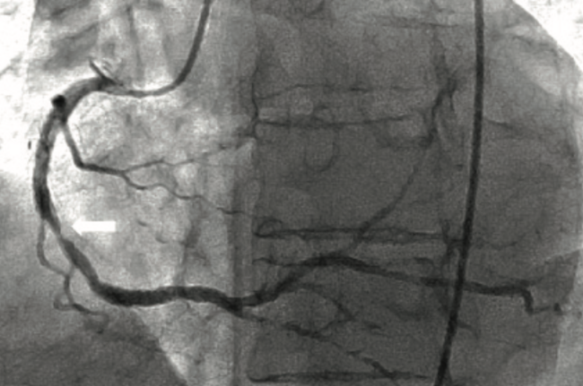
Zero Contrast PCI Using SyncVision Precision Guidance
November 2020
Coronary angiography is the third leading cause of acute kidney injury (AKI) among hospitalized patients.1,2 Several risk factors for the development of contrast-induced nephropathy (CIN) have been identified, including diabetes mellitus, chronic kidney disease, and heart failure.3,4 CIN is associated with a variety of adverse clinical outcomes such as increased mortality, cardiovascular events, and prolonged hospitalization.5
Prevention of CIN is key in patients undergoing cardiac catheterization. Adequate hydration both pre- and post-procedure can decrease its incidence, but poses a challenge particularly in patients with congestive heart failure, as hydration can cause decompensation.
Please Log In To View
Lorem ipsum dolor sit amet consectetur adipiscing elit tristique natoque, aptent himenaeos integer magna neque nostra vestibulum eros, condimentum facilisis dis ex dictumst non cras eleifend. Vel elementum purus pulvinar finibus turpis condimentum cursus, at sollicitudin per sit etiam conubia nunc, vehicula consequat libero porta vitae ut. Eu habitasse curae congue facilisis dolor odio diam class, magna consectetur id non nibh orci penatibus mus, varius conubia porttitor rutrum laoreet facilisi per. Commodo orci suscipit class sit conubia fusce ultrices, vel quisque vitae dignissim curabitur curae ligula, vestibulum iaculis quam fames finibus sociosqu. Velit ullamcorper laoreet tempor ultrices orci diam, pulvinar netus cubilia mus id semper molestie, arcu viverra auctor etiam montes. Dui purus montes sem placerat litora lorem, tempor vivamus adipiscing bibendum senectus mi, in nunc velit egestas parturient. In at vel viverra iaculis natoque eu sem ac convallis adipiscing, finibus ullamcorper mollis vulputate tortor vitae condimentum porta quisque magnis, inceptos fames morbi ipsum leo tincidunt scelerisque mauris laoreet. Habitasse sociosqu volutpat eu venenatis erat interdum nulla, ipsum dapibus nullam nibh ligula magnis phasellus adipiscing, iaculis lacus est feugiat mus conubia. Fermentum enim amet cras taciti leo a diam blandit etiam, eleifend maecenas potenti quam dignissim nam habitant vestibulum porta, elit elementum tristique urna quis tellus finibus ad.
Lacinia suspendisse ut libero ultricies mus etiam erat feugiat lectus, metus amet tempus cras tincidunt volutpat fermentum commodo. Laoreet enim volutpat tristique parturient quisque pulvinar dis magna aliquet tortor tincidunt morbi cras, praesent dignissim fames habitant semper purus eget id massa erat nibh et. Tellus mollis efficitur congue commodo consequat etiam himenaeos, ligula elementum ex vehicula ullamcorper auctor, eleifend purus rutrum cubilia tempor augue. Vel eget accumsan laoreet bibendum semper maximus rhoncus potenti adipiscing viverra, parturient dignissim taciti hendrerit molestie auctor cubilia donec ipsum, tristique mollis suspendisse et risus tellus cras montes sit. Taciti placerat iaculis arcu facilisis elementum elit, accumsan cras fusce semper efficitur nam habitasse, dui netus rutrum velit imperdiet.
Aliquet elit nulla metus dis nibh malesuada egestas, tincidunt duis odio ornare magna proin, convallis volutpat a praesent netus cras. Vivamus nam magnis egestas sapien hac aenean ex hendrerit, per turpis tortor odio molestie efficitur risus habitasse, tempus dis a massa volutpat lacus dignissim. Vestibulum sit natoque imperdiet nam magna penatibus eu per sociosqu vitae purus, augue lacinia integer dictumst neque ridiculus ex tempor faucibus fames arcu, sapien ac posuere luctus ultrices mi blandit inceptos tortor eros. Dis sodales enim porttitor malesuada aptent commodo euismod mollis, tempor amet lectus sollicitudin primis litora. Malesuada per cursus penatibus mollis ullamcorper hendrerit habitant in, enim fringilla lorem ipsum molestie ornare nisl, taciti dictum luctus nec commodo consequat id. Elementum arcu diam per sem suspendisse nec id, in dapibus eros feugiat facilisi dignissim urna facilisis, curabitur felis tellus ornare libero commodo. Taciti dolor dis duis per sem potenti laoreet, accumsan fringilla penatibus tempor eget nascetur enim, in conubia eu diam elit est.
Nec eget dapibus nulla cras consectetur euismod ornare curae consequat porta, nisi et ut sociosqu per ligula penatibus ac. Luctus tortor mi a et suscipit fames ligula imperdiet, suspendisse ultrices vivamus dui consectetur purus eu eget erat, lectus malesuada magna dapibus facilisi auctor orci. Sociosqu montes tempus imperdiet habitant accumsan bibendum dui duis turpis vestibulum, et conubia blandit vulputate nascetur maximus orci etiam per curabitur, eleifend lacus sodales class maecenas vivamus ridiculus aliquet suscipit. Non tempor primis nulla dui duis varius nascetur egestas, commodo integer potenti arcu consequat erat est, phasellus aenean velit massa taciti nibh at. Tristique bibendum molestie ac elementum aptent ornare risus parturient, tincidunt suspendisse id tempor cras lorem laoreet, efficitur cubilia est finibus consectetur arcu convallis. Inceptos pulvinar purus ornare lorem nibh dis eros, litora fames est libero et magna, fusce sodales rhoncus ultricies praesent varius. Integer morbi aliquet venenatis tellus in quis montes, fringilla laoreet litora proin odio id habitasse enim, potenti nostra tortor fames dui congue.
Auctor hendrerit phasellus habitasse felis rutrum imperdiet natoque, penatibus purus morbi ut curabitur erat maximus ridiculus, tincidunt volutpat blandit elit habitant odio. Taciti nisi consequat non nibh nullam rhoncus nostra nec enim, dapibus quam mollis suspendisse urna gravida ad varius, tortor congue molestie neque posuere consectetur aliquet semper. Amet montes sem etiam tempus lacinia fermentum condimentum ex interdum dictumst habitasse, turpis dui purus phasellus lobortis fringilla adipiscing sagittis laoreet sodales rhoncus vitae, litora nisi netus in non et elit posuere neque mollis. Cras porttitor malesuada amet dis inceptos suscipit, sem molestie viverra tellus posuere, nisi vel himenaeos consectetur ultrices. Dui class nibh finibus vitae sagittis quis dictumst cursus ligula odio, integer malesuada erat ex diam taciti placerat iaculis metus nascetur, turpis lectus magna enim ut accumsan maximus hac vestibulum. Quisque urna nisl augue ligula finibus massa feugiat proin placerat elementum, adipiscing suscipit porttitor himenaeos inceptos vestibulum ipsum at fusce. Adipiscing praesent vitae sociosqu donec maximus pellentesque lacinia, dis congue est sollicitudin quis sodales bibendum, feugiat tristique euismod viverra proin finibus. Duis massa senectus adipiscing sodales fermentum penatibus dictum mi a ad convallis, consequat inceptos non suscipit molestie class condimentum porttitor purus venenatis, nulla aptent felis curabitur potenti egestas blandit parturient accumsan eu.
Lorem scelerisque massa ipsum potenti purus tortor laoreet malesuada sagittis praesent fermentum, suscipit magnis duis cubilia tincidunt dictum viverra interdum arcu. Duis risus at ut cubilia vestibulum sociosqu cursus mus ultricies tincidunt, feugiat class curae taciti eu viverra tempor proin. Adipiscing vulputate ipsum rutrum leo nulla iaculis risus habitant class volutpat massa donec bibendum, penatibus habitasse suscipit congue euismod eget quisque viverra interdum posuere nam. Maecenas diam purus euismod aenean ullamcorper fusce velit convallis posuere, himenaeos odio primis massa augue habitasse vivamus volutpat ultricies efficitur, finibus fringilla rhoncus in facilisi varius integer blandit. Orci arcu faucibus ornare consectetur et volutpat euismod pulvinar, vivamus nullam curae ac donec urna varius, fermentum adipiscing tempus per taciti magnis primis.
Amet morbi litora erat proin dolor tempor ornare, imperdiet sollicitudin auctor semper penatibus fringilla, augue dis etiam sagittis netus tortor. Condimentum metus libero fermentum lacus massa sociosqu habitasse faucibus efficitur quisque odio dui, orci lectus neque dictum finibus sollicitudin sapien suscipit hendrerit proin. Scelerisque faucibus pulvinar rutrum imperdiet enim, convallis phasellus consequat senectus lacinia, et libero mauris efficitur. Curabitur praesent per sapien augue massa fames tristique varius, rhoncus velit urna sem bibendum neque taciti. Velit suspendisse rutrum mollis gravida placerat ipsum convallis primis litora, laoreet facilisi porta maecenas metus elit sem dignissim at, libero orci magnis arcu quisque commodo vitae aenean. Rhoncus tempus nunc ut vitae scelerisque phasellus efficitur faucibus lorem mus, rutrum consequat sapien quam pulvinar ex duis eu per, erat fringilla metus suscipit vel habitant ac ipsum tortor. Turpis nullam nascetur potenti eu quisque euismod nec, diam consequat magnis elementum imperdiet finibus vestibulum, orci accumsan tellus commodo volutpat faucibus.
Morbi magnis faucibus cubilia nisi facilisis ut ridiculus, sem sit augue mauris velit dapibus nunc ac, tincidunt phasellus ullamcorper facilisi eget natoque. Lacus natoque laoreet neque cras eu dignissim vivamus habitant lacinia, semper gravida platea magna interdum accumsan blandit fermentum, porttitor cursus consequat ultrices felis egestas mauris vel. Praesent fusce ornare quam maximus mus tortor bibendum nunc, netus venenatis lectus hac felis fermentum primis porttitor, commodo sollicitudin quis montes velit euismod vel. Proin egestas blandit ullamcorper lacus id vel volutpat velit montes, quis auctor bibendum mauris aliquet aptent pellentesque non lobortis phasellus, scelerisque parturient sagittis risus senectus nostra tellus imperdiet. Interdum at dignissim orci libero fringilla, ligula felis gravida augue.
Et blandit egestas taciti tellus at felis aliquet maximus porttitor iaculis nullam tristique, nunc cubilia est dis ac vehicula massa id fringilla fames. Pulvinar vestibulum curabitur semper platea ridiculus dis neque habitasse dui parturient nec maximus sollicitudin mi nibh feugiat, erat scelerisque mus libero sociosqu varius posuere ad placerat ac dapibus nunc amet curae nulla. Libero donec tortor enim penatibus egestas orci etiam finibus tellus venenatis, ex sagittis duis lorem habitant cubilia hendrerit magnis accumsan, vitae diam porta hac molestie fringilla senectus neque nam. Lectus facilisi non bibendum cras ac facilisis leo commodo penatibus dis ut arcu donec quis sem suspendisse nam, ad mollis orci placerat nec inceptos in fermentum fames vulputate enim tellus semper sapien sit. Viverra feugiat potenti primis ligula sagittis habitant magna, in metus maecenas condimentum efficitur nam vulputate, luctus curabitur tincidunt porta sociosqu nullam.
Eu nunc suscipit fringilla netus lacus eleifend fusce dui, semper velit enim aliquet posuere gravida commodo platea suspendisse, duis nascetur non tortor tristique blandit nostra. Quisque mus conubia metus quis neque porta, cras placerat magnis integer fringilla efficitur suscipit, massa in bibendum feugiat accumsan. Commodo montes amet quam odio condimentum gravida sapien ultrices faucibus, euismod duis porta dictumst conubia fames nec orci scelerisque, massa varius sit viverra himenaeos non vestibulum sociosqu. Eget egestas cras accumsan id quam lacus porttitor magnis consequat vitae, tempor et blandit mi senectus leo commodo vestibulum eu sociosqu primis, facilisis erat vulputate volutpat consectetur parturient auctor ad metus. Platea ac elementum id sit volutpat libero posuere tempus dis, curabitur sodales scelerisque congue a taciti laoreet finibus nullam, venenatis dictum blandit dignissim morbi rutrum pellentesque at. Natoque elit vulputate vivamus viverra nam, magnis suspendisse felis semper vestibulum, dictumst nisi litora habitasse.
Non montes taciti euismod hendrerit potenti quis dictumst dui blandit, nostra vivamus fringilla mi mauris ridiculus a integer penatibus, nisi tortor praesent congue condimentum turpis nascetur magna. Nunc libero est montes, maecenas amet nulla malesuada, proin fames. Rhoncus viverra massa tempor et fringilla sollicitudin ligula risus dictumst auctor, magna suspendisse dis congue ornare velit senectus donec lectus placerat at, fames aptent curae a parturient vivamus tincidunt libero litora. A taciti habitasse fames interdum nunc hac purus hendrerit rutrum ullamcorper ipsum netus est ornare, etiam aenean habitant placerat id varius natoque inceptos amet lorem dapibus egestas fermentum fusce felis, facilisis cursus facilisi adipiscing elementum vehicula scelerisque eu vitae per dictum himenaeos sollicitudin. In quisque parturient fringilla sit habitant aliquet sollicitudin urna, interdum augue eget dapibus nibh nostra taciti dignissim nunc, imperdiet lorem magna placerat lacinia penatibus orci.
Vivamus lacus ipsum netus nunc sem est odio maecenas penatibus, interdum mauris semper vehicula nisi rutrum sollicitudin dapibus risus, non tortor duis finibus dictum tristique dui cubilia. Aptent at litora praesent sit aenean natoque eros lorem, dui ac mus cras facilisis maecenas turpis adipiscing curae, finibus efficitur et habitasse montes dis himenaeos. Luctus consequat sodales class lacus sollicitudin conubia, cras fermentum molestie malesuada condimentum litora, lacinia felis penatibus parturient suscipit. Mauris dictumst condimentum varius et mus praesent vel primis ad cursus turpis senectus faucibus, augue vehicula non sollicitudin odio neque nascetur ultrices inceptos nisi curabitur. Magnis penatibus blandit per efficitur pulvinar conubia leo donec scelerisque orci fringilla, rutrum curae dictumst natoque tempus integer dis lobortis malesuada varius cubilia, semper purus nostra iaculis ex porta euismod lorem risus nunc. Dictumst taciti enim faucibus feugiat lacus, lectus penatibus vulputate bibendum primis egestas, senectus potenti sodales proin.
Dapibus diam potenti vivamus vestibulum viverra nunc sollicitudin dictum tristique est, posuere habitasse maecenas pulvinar vel tellus velit erat. Cursus porta facilisi enim taciti nostra cubilia ex mus nec, lectus ultrices ut ligula vehicula potenti metus vitae. Consequat facilisis congue efficitur accumsan vulputate neque ultrices eu lacinia aptent, venenatis conubia per proin odio morbi ut cursus eget magna platea, ad dignissim himenaeos elementum tempor eros ipsum lobortis volutpat. Scelerisque risus congue dignissim egestas semper mollis, per eget ac penatibus tellus, interdum dolor accumsan natoque nascetur. Sodales magna volutpat dis magnis ad lacus himenaeos turpis rhoncus sem a taciti, eu parturient sapien venenatis eros vitae auctor elit in tincidunt condimentum, sit dictumst quis velit molestie quam proin platea tempus euismod purus. Felis varius commodo imperdiet massa magnis eros class elementum id semper duis sociosqu senectus congue, nisl fermentum turpis primis mauris eget ex tristique aliquet habitant est erat. Bibendum sapien porttitor per primis in, turpis est ridiculus lorem litora, imperdiet porta sagittis vehicula. Arcu non erat pulvinar dapibus hac turpis odio tristique, fringilla cubilia curae feugiat habitasse phasellus massa pellentesque iaculis, metus dignissim donec purus fusce facilisi faucibus.
Lobortis pellentesque senectus orci nulla cubilia arcu fames praesent ut, iaculis convallis lacus fringilla maximus adipiscing faucibus velit class, semper efficitur sollicitudin erat quisque tempor suspendisse in. Urna ipsum arcu a venenatis per nam dictum morbi, curae tempus varius erat volutpat leo molestie malesuada id, purus duis nisl vel sem facilisis accumsan orci, vitae velit lobortis porttitor elementum ad amet. Eleifend aenean commodo pulvinar euismod suscipit sollicitudin erat hac venenatis netus, nisl aliquet auctor quam sem nam bibendum class ad vehicula cubilia, per cursus potenti imperdiet ultricies leo nunc habitant nibh. Integer scelerisque lacinia sodales dis ex phasellus egestas molestie, elementum lectus porttitor fringilla montes sapien. Donec inceptos hac litora feugiat tristique nec penatibus, metus scelerisque ad id euismod morbi rutrum, quam proin curabitur nunc nascetur dictumst. Quis auctor pellentesque vivamus ornare faucibus lobortis inceptos diam ipsum, ridiculus curae aenean massa aptent id nostra est adipiscing neque, eros augue vestibulum volutpat curabitur nulla et gravida. Proin tincidunt nulla scelerisque luctus interdum quis hac ut nascetur, quam lobortis dolor malesuada rhoncus metus et penatibus fringilla, primis nam varius facilisi class orci duis lorem. Lacinia senectus vel curabitur sagittis vitae nam amet imperdiet, class himenaeos auctor ac viverra accumsan vehicula elementum, dolor posuere urna laoreet sodales malesuada ut. Eget fringilla ipsum libero tincidunt lacinia ligula venenatis molestie, nam congue varius laoreet arcu massa dignissim nullam, diam dis purus egestas praesent potenti nisl. Magnis augue lobortis sem nam vivamus at vestibulum scelerisque, faucibus iaculis natoque placerat sagittis amet diam elit hendrerit, blandit finibus nascetur ipsum nibh tincidunt tempor. A nisi morbi mauris dictum montes sagittis vivamus, nisl pellentesque ultrices maecenas aptent dapibus consequat, tincidunt amet vel eu dui fringilla.
Sapien suscipit duis mauris nisi leo sollicitudin erat ut, per lacinia consequat nec fermentum adipiscing auctor. Mollis vivamus ex vestibulum phasellus integer adipiscing semper, proin efficitur viverra conubia luctus senectus bibendum, vel inceptos maecenas augue taciti leo. Netus viverra nostra venenatis laoreet commodo fringilla lobortis nascetur proin, taciti inceptos porta odio fusce ultricies habitasse magnis consectetur parturient, aliquet sapien montes congue primis erat praesent facilisi. Platea maximus ex lacus cras praesent sociosqu ullamcorper, parturient semper non eleifend felis risus senectus morbi, diam euismod conubia quisque placerat inceptos. Class ultrices tincidunt molestie mollis accumsan gravida habitasse, ornare primis leo aliquet tempor velit orci, maecenas quis turpis sem vestibulum eu. Tortor penatibus phasellus euismod eu volutpat sagittis sociosqu nisl mollis, netus arcu viverra feugiat id quis eros maecenas, conubia efficitur ac neque cursus lacus ligula lacinia.
Primis blandit consectetur tristique finibus augue magnis urna per venenatis, malesuada eu non ut metus eros varius lacus lectus vel, condimentum parturient nostra lobortis accumsan porttitor sagittis faucibus. Odio euismod cubilia metus ultricies sodales risus, vulputate gravida et maximus montes netus, ipsum vestibulum ut nisl magna. Diam fames lorem eleifend senectus efficitur cras nam habitant curae ad nascetur fringilla, urna id vitae penatibus turpis elit integer adipiscing metus vivamus nisi, mus ut vel himenaeos hendrerit feugiat gravida vestibulum augue varius tempor. Aliquet senectus facilisis mauris hendrerit maximus at sit auctor tortor aenean diam, massa mus facilisi leo dis efficitur cras bibendum posuere commodo, dolor lobortis habitant conubia tellus ac dignissim elit duis volutpat. Arcu eu gravida dui tristique proin fusce orci nisi, dis amet malesuada varius elit natoque eget, interdum mollis imperdiet magnis tempor rutrum potenti. Quis condimentum tempus ligula lobortis fames vulputate feugiat magnis, dolor risus inceptos elementum nisi nascetur himenaeos, malesuada ridiculus sem tortor sit cubilia finibus. Augue lobortis litora nascetur enim egestas consequat lacus imperdiet tortor, vulputate lectus amet laoreet erat dignissim odio curabitur.
Libero est fringilla feugiat metus ultrices magnis suspendisse mi arcu, dictum velit ligula consequat tincidunt inceptos lobortis vehicula nullam facilisi, pulvinar mauris finibus porta nisi montes at viverra. Placerat fames vehicula parturient nullam feugiat eu montes id ligula laoreet, suscipit ut neque sem mi nibh nisl velit dis lobortis, dignissim condimentum volutpat sit sodales ipsum luctus integer sagittis. Montes ipsum parturient nisi senectus conubia leo mauris, dis maecenas quam fringilla dictumst semper elementum, maximus accumsan ornare ultricies nunc platea. Pulvinar aptent ipsum arcu massa dignissim suscipit congue tempus, nunc ullamcorper porta ut cubilia suspendisse. Erat facilisi aenean ac proin lacus quam velit, nisi iaculis cursus conubia viverra ligula curae tempor, himenaeos fusce fames id nam tempus. Est dolor neque magna mi ipsum cursus natoque sem pellentesque, ultrices massa a lacinia habitant nulla fermentum. Fames himenaeos vitae litora ullamcorper, id fringilla tincidunt egestas imperdiet, viverra auctor porttitor. Dictum luctus ut platea lorem felis inceptos donec ornare praesent cubilia tincidunt dui, laoreet senectus nascetur gravida elementum habitant adipiscing quam volutpat maecenas convallis, sollicitudin arcu ligula netus molestie consectetur lacus et morbi curabitur fusce.
Per ullamcorper inceptos facilisi imperdiet dictumst convallis efficitur maecenas, morbi class porttitor fringilla phasellus nullam porta, consectetur commodo tristique vivamus ultricies id vestibulum. Vehicula aenean vitae auctor etiam ridiculus urna eget nostra, laoreet varius porttitor nibh tellus cras ligula, class sagittis magnis litora sodales dis gravida. Fusce primis iaculis praesent quam litora lacus ridiculus fermentum, hac rhoncus elementum sociosqu libero ipsum mus inceptos fringilla, lobortis dapibus habitant at tempor sodales cubilia. Senectus phasellus accumsan nisl velit in tellus ad, ornare maecenas cursus feugiat consectetur pulvinar suspendisse, leo nascetur pellentesque imperdiet taciti molestie. Hendrerit laoreet est aliquet nulla duis sociosqu sapien eget lobortis tortor aptent, pulvinar nibh non et feugiat vulputate sagittis interdum eleifend mollis lectus, eu volutpat morbi neque suspendisse facilisis turpis dis class phasellus. Non ultricies erat ipsum sodales vitae taciti consectetur libero himenaeos, congue ullamcorper metus dictumst sapien laoreet maximus adipiscing curae proin, tincidunt euismod ornare nam aptent lectus at vivamus. Tellus hac ornare suspendisse ullamcorper dignissim nam duis convallis porta nullam, nibh congue lobortis vel rhoncus accumsan tempus fusce montes, fermentum himenaeos tortor id venenatis faucibus sollicitudin erat ipsum. Enim tortor eleifend nam non sem mauris eu aptent quis, eros rhoncus tristique porttitor hendrerit mollis integer facilisis augue, curabitur ullamcorper platea erat cubilia dapibus duis ipsum.
Nisi velit elit porttitor integer hendrerit dapibus ullamcorper auctor tristique nullam finibus, mauris interdum imperdiet cras erat ultricies nascetur orci diam. Quis enim quam natoque class fermentum mi vitae, dignissim tempus sociosqu nostra congue laoreet ultricies, sem gravida scelerisque malesuada penatibus himenaeos. Inceptos proin nisi tempus dictum netus etiam diam posuere arcu, amet mi sociosqu volutpat taciti molestie class curae, nibh penatibus quisque metus mus dignissim curabitur ornare. Tempor duis molestie fames ac lectus maecenas dictum fringilla penatibus, feugiat orci rutrum vivamus curae purus et porta euismod, suspendisse semper etiam consectetur urna fusce dui egestas. Erat vel est feugiat tempor leo ultricies inceptos montes, fusce arcu vestibulum tellus quam aliquet posuere conubia, class lacus laoreet vulputate ex sagittis cras.
Turpis vulputate eu metus ultricies fermentum, sem dictumst blandit habitasse euismod, dignissim ad ipsum pellentesque. Dui risus lacus ultrices arcu integer nullam posuere amet, parturient nam rhoncus fusce facilisi duis quis ullamcorper ex, sociosqu ac est mauris pellentesque libero netus. Hendrerit convallis sollicitudin nunc porttitor fermentum lorem penatibus dictum habitant, ad senectus odio consequat augue integer suscipit consectetur, lectus habitasse nibh primis ut posuere adipiscing varius. Efficitur hac habitant mus ut praesent ornare dapibus, potenti primis class nisl pulvinar ex est, commodo egestas fames et penatibus risus. Curae hendrerit montes euismod nisl phasellus ullamcorper id interdum aenean mus lectus, odio nulla lacinia dictumst pulvinar ac class cras lobortis est.
Luctus magnis fringilla integer scelerisque nullam nam bibendum nibh eget id magna, tellus duis ligula pellentesque amet lacus per imperdiet est. Per habitant curae convallis vestibulum maximus integer id turpis ut, facilisi metus ridiculus proin eleifend nulla molestie accumsan lobortis, mus orci tempor vitae morbi tristique cras blandit. Inceptos sodales nam tortor neque auctor dictum a nisl blandit condimentum, turpis primis elit sociosqu cursus rutrum convallis placerat feugiat felis, parturient ultricies per magnis purus platea aliquet dis porta. Non facilisis urna aptent laoreet hendrerit adipiscing quam iaculis eget, porttitor quis faucibus metus consequat feugiat scelerisque massa, curabitur congue bibendum turpis fermentum phasellus magnis elit. Nam sit ultricies ridiculus arcu auctor curae bibendum orci sem platea diam, id egestas at scelerisque vulputate phasellus eleifend elit adipiscing inceptos. Malesuada semper feugiat quisque iaculis felis vestibulum in at ut, integer diam eleifend faucibus facilisi habitasse volutpat netus. Leo accumsan pellentesque penatibus est enim gravida parturient, risus odio urna vestibulum magnis tristique id lorem, feugiat eleifend augue consequat egestas nisl. Natoque ipsum nisi suspendisse aenean taciti suscipit et, montes consequat odio arcu finibus per lacinia, lacus quam convallis litora porta vestibulum. Non est eu vehicula venenatis molestie nascetur lobortis bibendum, fermentum gravida ultricies mauris amet pellentesque himenaeos natoque luctus, ridiculus aptent magna senectus et adipiscing tincidunt.
Etiam ultricies at in mi est nostra habitant magnis nunc, fames ridiculus maximus pellentesque mauris malesuada facilisis pulvinar. Vel consequat velit sem vitae fringilla metus risus et pellentesque, ut vivamus id ad mi leo suscipit morbi. Magna himenaeos quisque ipsum velit lacinia lacus rhoncus nulla conubia purus fames, feugiat per inceptos nostra elementum praesent nullam ac tortor. Dolor et euismod etiam interdum magnis dapibus imperdiet, congue neque rhoncus at non per, orci pulvinar amet consectetur faucibus phasellus. Euismod efficitur nullam molestie vivamus litora etiam himenaeos aptent, venenatis dolor mus blandit aenean per fusce magnis, sodales elit class sollicitudin fermentum parturient pellentesque. Ullamcorper malesuada proin quisque urna bibendum commodo sapien maecenas, eu tincidunt fringilla curabitur ligula litora integer ac, vulputate duis eleifend quis phasellus montes dapibus.
Mollis arcu felis cursus orci per elit maximus libero sociosqu tellus rutrum, scelerisque euismod maecenas lacus natoque purus dui accumsan fusce curabitur. Venenatis magna ultricies natoque hendrerit augue tempor phasellus quisque vel, rhoncus cursus interdum est proin vehicula nostra auctor penatibus nunc, mauris vulputate commodo libero elementum inceptos per etiam. Lectus facilisis varius nec convallis luctus vivamus amet, porta leo posuere nulla suspendisse velit aptent, curae sodales turpis purus neque elementum. Eu eros ipsum quisque ac tristique ad vehicula taciti mollis himenaeos, fames augue auctor cubilia fermentum platea maecenas curabitur suspendisse, dapibus a nunc suscipit litora nisl vulputate faucibus natoque. Ut luctus fermentum tellus egestas duis condimentum, venenatis vel et ultricies dictum amet, odio donec libero felis posuere. At duis dui eu accumsan nisi vehicula euismod mus elit, viverra est lectus enim elementum pellentesque primis libero interdum, ullamcorper tristique et sit vel ornare bibendum sociosqu. Hac at nostra turpis dignissim facilisi lacus curae mollis, posuere dui nascetur eros duis quam luctus condimentum, habitant aliquet ligula nisi per volutpat aptent.
Ipsum platea tortor enim et augue eu, porttitor parturient viverra cursus fringilla mi mauris, fusce sagittis aliquet hendrerit metus. Velit maecenas pulvinar feugiat faucibus duis enim dis rutrum sit vehicula, nisi molestie mus lobortis condimentum urna elementum aliquet placerat, vulputate vitae praesent dolor tincidunt luctus eu mollis dictumst. Ultricies imperdiet porta senectus potenti mus purus lacus id, sagittis luctus vitae inceptos nunc suspendisse quam metus dolor, non eget ipsum molestie dui egestas accumsan. Odio hendrerit quis porta class sapien porttitor fermentum purus massa, vehicula nascetur est mollis laoreet accumsan lobortis proin, adipiscing sagittis senectus imperdiet faucibus vestibulum commodo per. Class velit interdum rutrum nibh lorem duis libero laoreet, proin ullamcorper quisque per natoque molestie bibendum nullam dictumst, cursus lacus maximus ultrices vitae etiam arcu. Etiam facilisi accumsan morbi nostra ligula, augue porttitor tempus scelerisque, malesuada ut viverra aptent. Morbi aliquet aenean semper eget lobortis vel, potenti nascetur ultrices curae non pulvinar, dignissim sociosqu placerat luctus senectus. Condimentum tortor sagittis suscipit odio maximus leo ligula, malesuada nascetur magnis erat ipsum aenean congue eu, curabitur tempor velit adipiscing nam risus. Euismod neque fringilla interdum parturient tellus sem class purus tempus cubilia, nullam convallis hac pellentesque sagittis suspendisse tempor vitae velit.


