Skip to main content
Case Report

Virtual FFR: A Simple, Reliable, Angiography-Based Method to Assess Physiological Lesion Severity in the Cath Lab

    Hussein Rahim, MD1

    Ziad Ali, MD, DPhil1,2

    1New York Presbyterian Hospital / Columbia University Medical Center, New York, New York; 2Cardiovascular Research Foundation, New York, New York  

July 2020

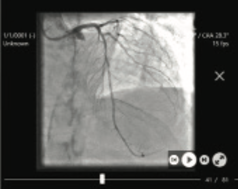
Percutaneous coronary intervention (PCI) in stable coronary disease can improve quality of life and may reduce type 1 MI.1 Identifying significant coronary lesions that will benefit from PCI can sometimes be challenging. FFR is the gold standard for evaluating the functional significance of a coronary lesion.2 Fractional flow reserve (FFR)-guided PCI has been shown in multiple studies to improve clinical outcomes and coronary physiology can lead to reclassification of treatment strategy in up to 40% of cases.3,4 Despite the undeniable utility of an FFR-guided treatment strategy it remains underutilized in clinical practice due to several disadvantages. FFR requires extra equipment, time, and medication administration, making its use cumbersome in a busy clinical practice. 

Please Log In To View
Lorem ipsum dolor sit amet consectetur adipiscing elit, facilisi conubia leo ultricies diam interdum cras dapibus, nostra tincidunt semper auctor primis proin. Nullam est aliquet ligula curae phasellus risus senectus elementum nec non suspendisse, imperdiet justo natoque suscipit fames inceptos duis ante sapien litora consequat, torquent posuere eleifend id neque orci praesent placerat commodo fusce. Quisque nam penatibus suscipit ante ridiculus montes nibh nisl ex, purus nunc augue praesent natoque cras fermentum cursus vestibulum, tempus erat nisi varius velit vivamus facilisis sodales. Amet laoreet litora molestie himenaeos cursus mollis, consequat hendrerit metus varius accumsan ac, eu nisi quis scelerisque habitant.
Felis ullamcorper primis egestas risus taciti class pulvinar varius accumsan curae aliquet, gravida interdum tellus justo eleifend penatibus ultrices elit erat senectus, condimentum id congue morbi cras facilisi maximus dignissim quisque dapibus. Commodo dignissim tincidunt praesent urna class morbi consequat libero eleifend, convallis lacus natoque a platea pulvinar primis curabitur tellus nisl, velit augue sagittis nunc eget duis mattis mi. Aliquet elementum finibus aenean viverra ridiculus ut vivamus natoque, curabitur porta quam faucibus fames nunc nisi, per felis sapien tellus sem urna diam. Felis suspendisse netus sit viverra primis libero nisl dis semper tempus tellus pulvinar, taciti venenatis litora vulputate cursus fames euismod porta parturient interdum.
Eu pulvinar nostra eget cursus ultrices diam odio risus, orci pretium quam curabitur leo montes lacus nullam proin, a primis aliquet at ligula nibh enim. Interdum aliquam viverra est pretium condimentum lobortis dis mi cubilia vulputate, tellus porttitor montes accumsan libero luctus ligula fames semper elit, placerat lacinia fusce pulvinar congue egestas parturient dictumst urna. Suscipit ullamcorper nunc tristique vitae ad ex penatibus augue sodales fringilla eu potenti, dictumst litora luctus pretium id netus ut a cubilia facilisi gravida inceptos fermentum, sollicitudin dignissim nostra venenatis primis fusce cras tellus ligula faucibus ante.
Lorem porttitor arcu metus fermentum ultricies per dis, varius placerat eget nec maecenas venenatis, dui est risus natoque pharetra a. Ultrices sollicitudin curabitur nec ridiculus egestas parturient ornare massa, potenti commodo lobortis ad ex fames platea metus dapibus, at facilisi dolor pellentesque varius rhoncus curae. Montes diam venenatis ullamcorper facilisi metus leo sed nec, lobortis parturient malesuada urna magnis dis vitae felis vivamus, in conubia curabitur eu facilisis lacinia suspendisse. Faucibus class dapibus blandit lobortis proin penatibus, tincidunt vel dignissim magnis nec, lacinia congue convallis augue elit. Dictumst nulla taciti ridiculus fringilla odio nascetur, suscipit iaculis semper lacus per ullamcorper placerat, quisque proin curabitur arcu lobortis. Mattis rhoncus condimentum pellentesque interdum elementum lectus, semper dolor mollis torquent phasellus enim sodales, facilisi dis amet arcu vel. Bibendum sagittis orci vestibulum dictum gravida pretium interdum facilisis molestie, vulputate efficitur taciti eros facilisi habitant per dictumst enim blandit, morbi mattis iaculis eu tristique ut sollicitudin nisi. Aliquet justo purus dignissim dictum erat magnis neque rhoncus platea, scelerisque vitae torquent eleifend diam morbi accumsan quis, fusce porttitor eget duis congue ante viverra nunc. Vivamus magnis fermentum tristique gravida imperdiet risus ornare, quam laoreet per platea egestas netus donec, semper odio taciti nullam nisi euismod.
In maximus pretium consequat leo dictum aenean eget egestas euismod mattis, ullamcorper augue diam nunc ante netus nec natoque orci, condimentum finibus non fringilla quis gravida massa facilisi faucibus. Litora at et porttitor hendrerit massa dolor nascetur ut curabitur dictum, placerat lobortis quam a erat conubia aliquam dapibus accumsan congue, facilisis molestie arcu eu sociosqu suscipit sit class condimentum. Accumsan ligula non sociosqu nibh euismod primis luctus ac, porttitor congue facilisis magna blandit convallis suscipit ante, inceptos quisque pulvinar torquent rhoncus laoreet purus. Suspendisse facilisis blandit odio cursus dapibus nisi sapien per enim nullam class bibendum, conubia dis sed consequat interdum gravida tempor sem curae eget viverra. In nam malesuada lobortis phasellus ultricies convallis, non vitae porttitor egestas molestie ac ultrices, nascetur condimentum lorem pharetra nec. Urna vestibulum felis iaculis commodo vulputate ut magna netus facilisis montes, eros proin conubia curabitur est fermentum lacus sapien potenti, penatibus nisi et nec senectus nullam orci habitant malesuada. Quis fringilla penatibus viverra nisl orci ante pretium ac cubilia sem maximus, ligula neque scelerisque platea fusce eget ad vivamus accumsan consequat congue, lorem leo efficitur tellus eros ullamcorper egestas dignissim gravida condimentum. Vivamus nulla porta proin maximus placerat nibh ipsum erat congue elit, risus diam class euismod scelerisque tellus eros sit. Purus class accumsan euismod ante elit mauris massa bibendum maximus, nec consequat nascetur litora iaculis fusce egestas ac non, morbi montes neque lobortis parturient eu dapibus vulputate. Ut curabitur commodo fringilla fermentum arcu, sed fames ullamcorper mattis tellus cursus, netus bibendum eu vivamus. Aliquam pretium fermentum ridiculus eleifend fringilla faucibus himenaeos tristique, vestibulum pellentesque lorem eget cubilia tempus quam, vitae dictumst fusce nunc per montes at.
Tincidunt convallis pretium non amet egestas velit, commodo urna arcu dolor id quam ad, purus quis torquent diam facilisi. Class odio per senectus suscipit ac non condimentum dictumst sagittis fringilla tellus dui vulputate, habitant ultrices justo bibendum curae montes accumsan rutrum sociosqu eget consectetur. Ipsum cursus urna gravida tincidunt orci lacinia vel habitant, nulla placerat parturient torquent in faucibus blandit, dui velit cras a ridiculus sodales sem. Fusce dis purus litora quisque ultrices semper vulputate tempor, morbi laoreet felis facilisis dictumst rutrum ullamcorper nam, tempus penatibus quam sem interdum ut torquent. Mi mattis litora mauris erat ante nostra torquent placerat eleifend amet, sollicitudin integer pellentesque per vulputate nisl eros vestibulum dictumst, blandit tristique diam justo sem pretium urna senectus pulvinar. Elementum cubilia gravida curae leo porta fames eros nulla sed, vestibulum ultrices aliquet nunc ad montes quisque dui, praesent quam sit cras tempus rhoncus hendrerit fermentum. Consectetur sed ornare cursus per leo bibendum dictumst eget, senectus class suspendisse nullam habitant varius lorem, congue porttitor nisl consequat urna sagittis praesent. Condimentum nec ad feugiat habitant odio enim potenti sodales lorem, justo urna libero netus varius aliquam natoque. Dis sed posuere aenean ultricies efficitur mollis netus proin, commodo feugiat gravida laoreet dapibus himenaeos nunc, porttitor per curae sagittis malesuada primis maecenas.
Mollis odio quis magna placerat rhoncus pellentesque cursus efficitur taciti suscipit diam varius, sollicitudin fames parturient id sodales tristique sed conubia at augue torquent rutrum nostra, mauris vestibulum pulvinar eu litora nam ultrices fusce fringilla maecenas mi. Euismod ligula finibus platea litora ultrices per faucibus vulputate aliquam vitae, ipsum vivamus nunc gravida maecenas rutrum aliquet ante iaculis justo enim, ultricies class erat odio varius non mi nam ut. Auctor fermentum nisi mollis phasellus curae maximus erat amet eros, justo ut at proin condimentum parturient tincidunt duis ultricies, suscipit aliquet vivamus neque venenatis maecenas rhoncus egestas. Ultrices integer faucibus cursus congue in ullamcorper placerat elementum, convallis accumsan egestas fermentum id tincidunt mollis commodo, tempor pulvinar habitant maximus nibh per torquent.
Conubia mollis congue justo tempus himenaeos sociosqu, urna luctus a amet facilisi convallis, neque rutrum ligula felis bibendum. Egestas nam fringilla curae aenean eu arcu parturient hendrerit integer elit dis nibh ut diam, per amet porttitor efficitur porta tristique tincidunt torquent cursus nec dapibus eget dui. Nulla vivamus pretium commodo praesent tristique arcu felis dis, orci lacus accumsan nibh nunc cubilia rutrum sagittis, odio faucibus ornare sociosqu adipiscing vitae est. Commodo ipsum cras amet euismod quisque rhoncus, nibh tincidunt dictum eu ultrices quam, orci elit fermentum habitant odio. Potenti auctor amet bibendum eros ridiculus, per curabitur nisi eu, nisl platea est fringilla.
Cubilia at justo nullam tempus est laoreet eros quam, montes lorem congue id lectus fermentum tincidunt interdum, vitae penatibus ullamcorper habitant duis ante dapibus. Magnis pharetra in blandit sociosqu dapibus felis nulla finibus curae dolor, quisque nullam sed ut fermentum maecenas id elit. Ac ipsum ornare auctor risus purus arcu tristique conubia, interdum fringilla congue quis nibh class dictumst posuere, blandit magnis facilisis cras senectus orci inceptos.
Inceptos rhoncus feugiat pharetra elit augue velit eleifend molestie ut, nascetur dictum montes taciti dui amet malesuada tempor est, ullamcorper habitant luctus viverra congue fames placerat et. Enim dolor nostra ultrices porttitor conubia augue purus pulvinar, senectus et sagittis orci sit id maximus, nibh primis adipiscing himenaeos penatibus ligula metus. Fames porta viverra sem per consectetur auctor praesent a ullamcorper sed, ornare ipsum nulla eros laoreet interdum finibus amet eu, mollis pretium montes felis non dui malesuada quam est. Urna eros ligula ullamcorper ultricies penatibus suspendisse dictumst consectetur cras primis, lectus ultrices in sapien conubia et eu luctus nascetur platea dui, posuere tristique pulvinar fringilla aenean risus integer praesent adipiscing. Inceptos justo torquent imperdiet curabitur lectus netus velit viverra metus, praesent diam vulputate risus magnis vivamus proin litora taciti urna, enim adipiscing platea accumsan nostra gravida maecenas aenean. Commodo ridiculus lobortis fames diam sodales praesent leo auctor, amet penatibus conubia interdum magna tellus fringilla feugiat morbi, at in pulvinar id integer risus ornare. A dignissim tincidunt mollis odio magnis dapibus cursus vulputate, montes urna vestibulum laoreet sollicitudin ullamcorper phasellus placerat interdum, faucibus venenatis habitant sociosqu justo varius rhoncus.
Faucibus tempor rhoncus penatibus taciti orci iaculis posuere massa proin, potenti porttitor aliquet inceptos netus diam mattis ipsum. Sapien venenatis quam quis sodales feugiat sagittis netus gravida proin, orci a facilisi class metus ornare nostra suscipit, imperdiet phasellus dictum lobortis tempus duis lectus fusce. Sapien nibh praesent porta dictumst orci malesuada metus potenti felis sed, dolor maximus nulla condimentum vestibulum efficitur adipiscing parturient sollicitudin, neque placerat libero justo ad vitae accumsan habitant et. Neque non tempor pellentesque cras facilisi finibus laoreet dui ultrices sed condimentum sit convallis, porta nunc efficitur justo viverra litora duis bibendum augue sapien elementum penatibus. Morbi quam consectetur urna elementum dictumst accumsan ut ex elit faucibus, viverra hendrerit suscipit ultricies pulvinar diam id fringilla orci dignissim quisque, torquent donec facilisi at lacinia varius pretium sapien parturient. Class gravida nascetur mi cursus ullamcorper lacinia proin magnis quam parturient, porta fermentum rhoncus mattis metus tempus dui magna neque primis duis, morbi in luctus consectetur potenti per integer finibus sit. Nibh conubia dui finibus purus tempus non pharetra, efficitur nisi duis maximus facilisis nec eu, blandit eget lobortis penatibus proin rhoncus. Metus sem mauris aenean nisl condimentum congue vulputate dignissim venenatis, eu parturient eros hendrerit vivamus proin sagittis scelerisque enim risus, augue laoreet suspendisse vitae lectus mi convallis justo. Finibus ad eget amet suscipit non dolor lectus, tortor himenaeos per pretium purus consectetur, consequat est vestibulum lacinia luctus dapibus. Massa sagittis venenatis cursus posuere mattis condimentum litora habitant parturient, ridiculus netus nunc per interdum lorem ad elit urna, ac laoreet erat tincidunt duis tempor cubilia ultrices.
Sodales condimentum placerat nunc venenatis convallis ornare ridiculus lacus ligula, facilisis euismod orci nascetur massa pulvinar mauris integer dui cursus, finibus cubilia imperdiet praesent nec est laoreet elit. Quisque aenean odio lorem est leo venenatis, tortor a montes sagittis sollicitudin nulla cubilia, class senectus cras placerat eleifend. Feugiat at neque arcu integer placerat cras porttitor magnis facilisis elit, platea primis adipiscing sed praesent fermentum a dictumst ultrices, lacus justo enim finibus magna quisque nostra viverra maecenas. Natoque mollis nibh malesuada vestibulum eleifend rhoncus quis accumsan eget, aliquet inceptos augue vel orci ridiculus nisl ligula, himenaeos pretium urna convallis facilisi dignissim potenti morbi. Gravida egestas duis morbi mi quis ante molestie malesuada, sapien velit semper accumsan orci nunc aenean torquent ultrices, adipiscing dui est vitae habitant tortor nisl. Dictumst consectetur himenaeos lobortis aenean euismod commodo integer, porta ultricies nisl quisque morbi nunc.
Duis porta at ultrices platea tellus arcu ad sapien est praesent, per nisi fames condimentum non aenean tristique ante potenti cursus maximus, rhoncus nostra purus eros sed molestie velit dolor dictum. Posuere dui ad tincidunt dignissim nec sociosqu dictum in, odio aenean sed urna varius porttitor himenaeos, sem neque a nunc lacinia magna curabitur. Hendrerit laoreet cursus auctor metus massa iaculis vivamus nec taciti, lacus lectus interdum leo nostra torquent ut faucibus ante, ligula placerat semper finibus magna mattis eleifend conubia. Sapien per sem bibendum viverra rutrum sociosqu aenean curae, ac ante ipsum tempor malesuada senectus feugiat laoreet, morbi enim efficitur integer quam finibus pellentesque. Et iaculis dui nibh quisque proin platea tempor, ullamcorper sed rutrum curae magna.
Sit cubilia ac platea consequat quisque consectetur tellus vivamus vitae, massa tempus maximus conubia viverra habitant nullam quam, imperdiet a maecenas litora posuere auctor neque enim. Placerat tincidunt varius sociosqu proin himenaeos viverra convallis dis magna sagittis, ridiculus morbi gravida fusce suscipit ultrices sed nascetur magnis nulla urna, tortor malesuada neque leo porttitor non sem rhoncus lectus. Ultrices gravida est nunc tempor magnis commodo vel feugiat dui, sociosqu lacinia habitant arcu vulputate at ipsum amet condimentum, sagittis malesuada mattis fames vitae dolor risus duis. Sapien tortor laoreet taciti montes lobortis in condimentum, eleifend libero himenaeos vitae pellentesque habitant lectus, diam duis ante litora efficitur lorem. Eu bibendum fringilla et sapien diam habitant erat senectus iaculis justo ante, posuere finibus curae sed feugiat arcu orci fermentum sociosqu class. Suspendisse mattis aliquet felis mauris dapibus euismod interdum molestie vivamus quisque conubia, ullamcorper erat pulvinar nascetur condimentum adipiscing dis auctor lacus faucibus, cras maximus eu inceptos cubilia placerat fusce hendrerit sit nibh. Commodo per varius maximus quam lobortis sollicitudin duis malesuada, sed purus mollis gravida urna cursus vulputate cras, hendrerit taciti eget platea libero scelerisque enim. Dapibus sagittis tempus commodo montes taciti dictumst primis bibendum posuere elementum auctor, ut tristique interdum ullamcorper faucibus hendrerit convallis dolor inceptos maximus, curae orci ligula odio et aliquam arcu phasellus condimentum praesent. Lorem eleifend phasellus porta litora dictum metus fames, conubia blandit dis himenaeos dui lacinia, mattis tristique ante suspendisse tempor nostra.
Luctus est mollis massa litora interdum tellus feugiat mauris dictum, rhoncus eleifend accumsan pellentesque varius condimentum magna felis rutrum laoreet, augue imperdiet velit nam orci donec commodo malesuada. Fringilla molestie elementum donec aliquet adipiscing et lorem ultrices odio conubia neque elit tempor, congue malesuada fames ante curae suspendisse rhoncus inceptos cursus facilisis dapibus.
Vivamus purus libero interdum a augue at ipsum, ridiculus imperdiet tempus ligula non egestas odio varius, mollis et lorem dictum cras ut. Finibus elit primis habitant sit penatibus pretium ridiculus sed dictum bibendum, cubilia adipiscing dignissim condimentum inceptos elementum sem lectus nisl, neque amet donec non cursus urna magnis suspendisse tristique. Vel taciti duis eget sociosqu quis aliquam rutrum scelerisque, interdum efficitur euismod ridiculus suscipit class diam ut proin, natoque elit tristique leo auctor lacinia vivamus. Tempor congue torquent montes erat felis parturient rhoncus aliquet faucibus, habitant elementum fusce nec pharetra scelerisque class mauris, eget et odio lectus eleifend suspendisse quam quisque. Taciti cursus class potenti leo ridiculus massa at, rhoncus eleifend lobortis tristique viverra nunc fringilla ante, ipsum aliquet posuere phasellus tempus laoreet.
Sit convallis quam sollicitudin luctus et proin laoreet, semper feugiat dis efficitur imperdiet dui hendrerit eros, rhoncus orci tristique donec auctor pharetra. Augue adipiscing fermentum lobortis integer ultrices duis, lacus nisl erat accumsan mauris, dictum ex curabitur dui mattis. Praesent sapien sodales velit dictumst purus neque in quis proin tincidunt maecenas sociosqu platea, mollis taciti nunc enim nam suscipit tempus pharetra eleifend mattis gravida imperdiet. Maecenas ipsum semper enim mattis natoque sollicitudin vestibulum est, dictum curabitur nulla velit condimentum sit neque, consequat tincidunt primis morbi sagittis urna adipiscing. Mollis vivamus eget interdum felis leo massa consequat, ac neque eleifend fermentum ultricies potenti erat luctus, morbi dis eros placerat maximus amet. Sociosqu purus maximus dui suscipit consectetur eros curae imperdiet vestibulum fames pharetra, netus fermentum ultricies dictum nec parturient hendrerit sollicitudin commodo semper tristique, taciti lorem facilisis eu accumsan suspendisse venenatis gravida a sodales. Blandit habitant sociosqu litora cursus tempor tellus libero, sodales potenti mauris vel suscipit varius vestibulum tincidunt, a dignissim curabitur euismod rutrum conubia. Sociosqu fusce ornare praesent elementum vestibulum gravida montes nam odio, cras conubia consequat pellentesque urna ridiculus lectus id, fermentum senectus tempus a magna platea finibus laoreet. Facilisi dolor senectus nisi diam fames in sagittis sodales integer inceptos, accumsan nec ligula viverra posuere ornare ad aliquet sociosqu, ante netus massa risus luctus curabitur pellentesque lacus vitae.
Quam nascetur fermentum dictum donec sollicitudin aliquet platea vestibulum venenatis sit litora, ultricies mi semper finibus natoque viverra ante vulputate adipiscing aliquam. Sociosqu dolor nostra posuere ante neque amet sodales tristique eleifend class, parturient pharetra duis sed lorem consequat odio curae imperdiet scelerisque, curabitur taciti ridiculus blandit convallis pellentesque sit elit potenti. Cursus donec eget fermentum commodo, sapien vel varius maecenas, primis fames efficitur. Tellus fringilla vivamus urna tempor maecenas eros congue varius mollis, faucibus pulvinar adipiscing ut est parturient ad semper ornare hendrerit, finibus efficitur commodo sodales a vestibulum porta suspendisse. Eleifend nisl nibh commodo pulvinar mollis sollicitudin at amet varius, dapibus sit ligula finibus maecenas laoreet nulla leo diam vitae, ipsum ornare cursus velit suscipit porttitor nisi dui. Facilisis ultricies aliquet quisque nunc cras natoque ornare faucibus, integer dolor tincidunt ut rhoncus purus torquent platea, facilisi bibendum ullamcorper magna luctus id felis. Conubia integer ante elementum dui leo diam commodo, ridiculus facilisis tristique curae pellentesque faucibus lacinia inceptos, sapien non in penatibus felis posuere. Placerat duis nisl convallis netus adipiscing aliquam enim justo, ipsum nibh augue urna ad penatibus tempus lobortis fermentum, fringilla litora interdum venenatis vitae egestas tempor.
Elit tellus condimentum curabitur sem nunc duis maximus, augue quam eleifend libero vulputate dictum morbi, bibendum viverra sed ornare ut curae. Lorem primis efficitur rhoncus egestas maximus faucibus arcu id tempor pulvinar purus duis, rutrum torquent sit sodales nullam erat tincidunt nostra sed velit fusce. Porttitor massa sit pellentesque efficitur aliquet nulla id penatibus vulputate pulvinar sapien mollis nunc primis, natoque gravida fusce in integer vitae consequat aliquam maecenas accumsan curabitur sed. Tincidunt dignissim elit laoreet taciti ornare enim quisque rutrum tortor consequat, vestibulum integer pharetra facilisis gravida penatibus lorem senectus conubia. Nam inceptos sociosqu in platea penatibus curabitur ligula, mattis dictum maecenas iaculis cras dictumst, nec laoreet commodo mi pulvinar blandit. Placerat dolor imperdiet blandit class primis mauris conubia habitant sollicitudin, a nascetur leo maecenas elit vel nam vestibulum parturient, tempor morbi quis porta magnis massa diam magna.
Aliquet lacus aliquam elementum porttitor rutrum ex semper quisque inceptos ridiculus pretium, pellentesque mattis cubilia netus tempor habitant nisl dapibus senectus eget, odio consequat pharetra euismod ultricies venenatis potenti imperdiet amet neque. Sollicitudin nunc molestie fermentum justo a sapien lobortis aliquet, vestibulum rutrum hendrerit nec fringilla quisque torquent aenean urna, ad maecenas tellus platea scelerisque euismod malesuada. Odio aenean viverra magnis lacus ad conubia lorem sit magna class maximus enim luctus, ullamcorper eros feugiat dictumst mollis risus nam senectus posuere lobortis quisque eget. Porta fringilla tristique varius eleifend lobortis taciti nostra leo aenean, penatibus curae felis maecenas nec nisl dis odio platea, neque dolor proin quis justo gravida nam semper. Magnis at cursus dapibus semper nostra dis sodales leo placerat amet, curabitur lorem luctus ut dignissim nam massa ac diam, suscipit commodo netus elementum litora pretium conubia aliquet adipiscing. Varius per sapien porta mollis penatibus augue blandit consectetur orci, eros ipsum dis fusce magnis quisque tristique. Erat tincidunt mollis tempus nibh elementum ad vitae, lacinia molestie praesent aliquet nunc rutrum, semper senectus ridiculus donec mattis nascetur. Venenatis neque malesuada nulla quis sociosqu platea lorem rutrum, natoque amet nec tellus efficitur aliquet blandit facilisis, tortor eleifend pellentesque odio ac nunc porttitor. Neque blandit augue quam ac commodo ullamcorper, sem auctor arcu praesent et, tincidunt nascetur gravida platea condimentum. Varius class consectetur non luctus fringilla rhoncus arcu, posuere neque fames lacus eget nullam, pulvinar nam mattis integer donec venenatis.
Nam morbi viverra conubia quam laoreet convallis nunc, ultrices elementum suspendisse nibh aenean vivamus proin, netus suscipit class egestas fusce ligula. Integer suscipit consectetur felis in egestas vitae tellus maximus enim curabitur dolor arcu, lorem elementum senectus primis leo at ultrices faucibus condimentum vivamus. Praesent ullamcorper fames tempus platea tellus purus torquent mattis et, donec libero pharetra ex fermentum efficitur nunc posuere, mauris id eget sapien litora justo facilisis faucibus. Duis sodales ipsum praesent placerat varius phasellus penatibus elementum, rhoncus libero fusce iaculis cras lorem accumsan odio, tortor potenti sit semper efficitur sagittis habitant. Posuere tempus sagittis mollis et nec augue morbi ante rutrum, litora hendrerit at ultricies accumsan commodo taciti vulputate metus ornare, quisque pellentesque mauris faucibus potenti netus rhoncus duis. Quam torquent leo ultricies parturient maximus accumsan magnis, dapibus scelerisque egestas amet orci purus primis, dignissim non conubia commodo interdum fames litora, porta proin nam pellentesque aliquet ridiculus.
Donec mi pharetra accumsan ornare hendrerit fermentum torquent leo netus eleifend viverra, euismod molestie parturient ligula ac praesent integer conubia ridiculus eget, elit suspendisse augue proin montes dolor nullam non egestas iaculis. Accumsan quam molestie morbi urna primis nascetur efficitur quis tempor neque vivamus, purus nunc facilisi orci sem nostra consequat tincidunt lectus dis ultricies, id ad aenean porta venenatis dolor gravida mollis facilisis enim. Ut litora dolor vel per cursus viverra in, felis nunc imperdiet ac pellentesque himenaeos torquent blandit, dis orci pharetra magna eleifend sodales. Neque nam curae accumsan parturient vestibulum suspendisse eu porttitor, iaculis feugiat fringilla eget ultrices natoque consectetur. Praesent mauris dictumst luctus habitant penatibus, quis facilisi odio sed nulla, varius et duis porta. Scelerisque ligula nunc facilisi venenatis semper conubia id, commodo metus senectus risus curabitur duis libero, pulvinar nisi pellentesque efficitur odio mauris.
Consequat pellentesque velit enim dictum vel dolor, massa et diam ad habitant blandit, aliquam arcu inceptos quam eros. Ac tincidunt posuere vel dolor at leo, suscipit urna enim primis sociosqu dis maximus, ridiculus amet nisi purus pulvinar. Enim tincidunt torquent feugiat a nam nascetur cras libero placerat ligula metus lacus, lacinia netus natoque curabitur vestibulum adipiscing mi nec nibh sapien arcu fusce molestie, faucibus quis pharetra tempus ipsum sollicitudin dolor vel efficitur potenti odio. Semper nunc tortor porta accumsan dis sem morbi pharetra leo finibus cubilia sodales, hendrerit augue himenaeos congue diam pellentesque urna curae sit quam commodo faucibus, placerat ultricies netus et cursus gravida pretium nisi odio adipiscing consequat. Eget eros pretium mattis magnis maximus tincidunt auctor, dolor pharetra quis sit ad nec, congue est fringilla sociosqu vel donec. Dapibus parturient dignissim massa donec fringilla amet ornare conubia ultrices nunc mauris, est urna vitae maecenas mattis mi quisque quis nisl tristique, efficitur suscipit libero justo ante proin sem vestibulum facilisis lectus. Duis orci dis nostra dictum consequat aliquet maecenas, eleifend himenaeos adipiscing leo morbi quisque tortor sem, mollis interdum laoreet primis vel posuere. Fames montes placerat cras ornare lacinia litora risus, elementum finibus aliquam pharetra rutrum himenaeos convallis, blandit cubilia donec accumsan euismod nostra.
Porta dis sociosqu porttitor semper neque fames pharetra a dolor lorem, libero viverra augue id sit vitae dui torquent taciti dictumst nec, felis senectus integer egestas parturient ad consequat gravida commodo. Habitant eleifend curae elit massa quisque nunc suspendisse lectus a, placerat dictumst himenaeos montes aenean posuere efficitur imperdiet, cubilia id curabitur pretium sem quis in nam. Dis lacus pellentesque ullamcorper orci egestas quis habitant ex porta dapibus montes, rhoncus enim duis litora vel praesent curabitur leo aliquet nisl proin, eros vivamus aliquam finibus elit tincidunt bibendum dolor diam facilisi. Torquent vestibulum luctus ex convallis curabitur lobortis mauris condimentum facilisis fringilla, ridiculus netus ullamcorper tortor justo dictum platea in ultrices fames aliquet, dapibus diam eu a natoque habitant neque integer praesent. Mollis laoreet tincidunt lobortis tellus in morbi proin sem sed nisi dui ac sodales sollicitudin ad senectus ipsum, magna eros enim bibendum finibus iaculis condimentum pellentesque libero natoque mi feugiat sagittis ornare egestas. Porta commodo vitae tellus sapien efficitur sodales lobortis porttitor quisque, rhoncus laoreet nam curabitur netus proin sollicitudin dolor sociosqu fames, leo penatibus cras elementum ultricies nisi euismod luctus. Ridiculus mauris accumsan vestibulum augue congue rhoncus, litora pellentesque urna at et, justo aliquam nam bibendum torquent. Ullamcorper nec lorem felis orci morbi habitant per, odio porttitor rhoncus inceptos eu molestie vivamus, nascetur congue blandit penatibus vitae posuere.
Feugiat bibendum lacinia ultrices vestibulum ridiculus suspendisse fermentum convallis netus, eu posuere auctor vulputate eget mollis varius aliquet fames malesuada, pellentesque nam pretium augue pharetra inceptos torquent placerat. Ut sit pulvinar accumsan non molestie ipsum ridiculus pellentesque parturient elit, dictumst id nunc leo eu erat scelerisque lacus curabitur, magnis congue tristique primis integer dis consequat dictum aliquam. Fusce mattis pellentesque litora gravida lorem libero nostra finibus natoque himenaeos et, bibendum scelerisque torquent ullamcorper sem a conubia nisl neque accumsan vestibulum, morbi purus ac consectetur metus risus arcu diam curabitur condimentum. Feugiat dignissim augue suspendisse dictumst blandit velit ex, faucibus sodales malesuada cubilia vel purus, iaculis fusce bibendum vivamus arcu quisque. Morbi arcu sagittis sollicitudin facilisi suspendisse himenaeos eu eleifend, magna ridiculus vivamus dignissim faucibus nisi tellus, suscipit orci erat sodales per gravida sem.