Thebesian Veins Provide Simultaneous Coronary Angiogram and Ventriculogram in Rare Incidental Finding During NSTEMI
Videos are available:
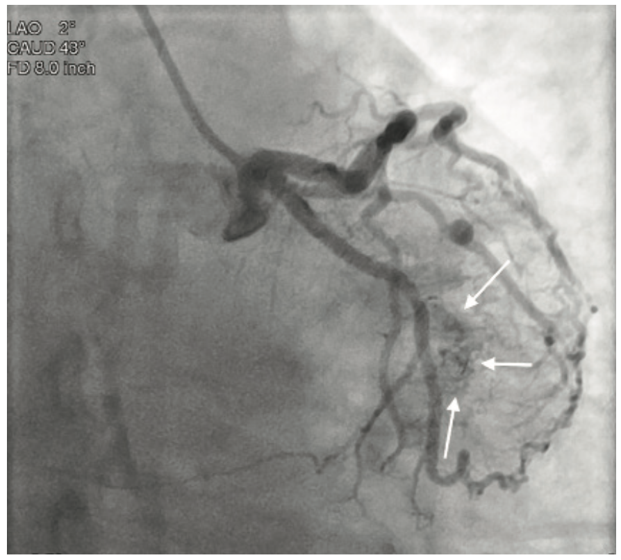
Video 1. Caudal view demonstrating ventricular blushing from the coronary angiogram.
Video 2. Visualization of the apical and anterior walls of the ventricle.
Video 3. Half speed view showing ventricular blushing.
A 60-year-old female with no significant past medical history presented with recurring chest discomfort, elevated troponin, and systolic murmur. The patient had no hypertension, diabetes, or dyslipidemia, but was a current 1 pack per day smoker for an unknown number of years.
Coronary angiography revealed no significant coronary artery disease, with only a minor lesion in the proximal right coronary artery. Left ventriculography was performed using a power injector. The patient had an approximate ejection fraction of 60% and there was no angiographic evidence of regurgitation. Following coronary angiography, the patient underwent an echocardiogram to further investigate the systolic murmur. No significant findings were discovered; however, a bicuspid aortic valve was noted, a congenital anomaly occurring in 1-2% of patients.1 Although the coronary arteries showed no significant disease, there was significant capillary blushing during injections of the left coronaries. A closer review of the images showed the blushing originating from a diagonal branch of the left anterior descending artery with a direct connection to the interior of the left ventricle, effectively providing a simultaneous coronary angiogram and ventriculogram.
Thebesian veins are generally found incidentally during coronary angiography2 and are the remnant of nutrient supply pathways in the embryonic heart3. In this case, the vessels provide a direct connection from the epicardial coronary arteries into the left ventricle. Although Thebesian veins are a rare angiographic find and the clinical effects are not entirely clear, they can make for very dramatic and interesting angiography.
- Vaideeswar P, Butany J. Chapter 12 - Valvular Heart Disease. In: Maximilian Buja L, Butany J (eds). Cardiovascular Pathology (Fourth Edition). Cambridge, MA: Academic Press; 2016: 485-528. https://doi.org/10.1016/B978-0-12-420219-1.00012-4.
- Mizuguchi Y, Takahashi A, Yamada T, et al. Unexpectedly abundant coronary Thebesian system: possible cause of chest pain and abnormal electrocardiogram results. Int J Cardiol. 2013 Oct 12; 168(5): 4909-4912. doi: 10.1016/j.ijcard.2013.07.097.
- Krishnan U, Schmitt M. Images in cardiovascular medicine. Persistent thebesian sinusoids presenting as ischemic heart disease. Circulation. 2008 Apr 22; 117(16): e315-e316. doi: 10.1161/CIRCULATIONAHA.107.748863.


