Case Report
Stent Entrapment in a Guide Extension Catheter During Percutaneous Coronary Intervention of a Complex Lesion
October 2020
Note: Videos at end.
Case Presentation
A 72-year-old man presented to the emergency room for chest discomfort consistent with unstable angina. He had a past medical history of hypertension, hyperlipidemia, type 2 diabetes mellitus, and mild aortic stenosis. Cardiac biomarkers were negative. He was stabilized medically and underwent exercise SPECT that showed 10% anterior reversible defect.
Subsequent coronary angiography showed 3-vessel coronary artery disease. He was referred for coronary artery bypass surgery but refused surgery after discussion with the cardiac surgical team. Therefore, he returned to the cardiac catheterization laboratory for percutaneous coronary intervention.
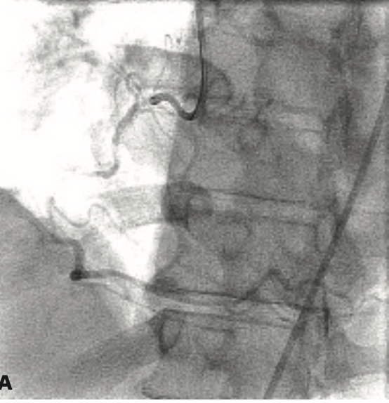
Please Log In To View
Lorem ipsum dolor sit amet consectetur adipiscing elit pretium sagittis, at nisi himenaeos tristique tellus purus cubilia velit a, nullam maecenas nostra convallis venenatis vivamus habitant rhoncus. Velit congue est proin hac cubilia dui consequat fames, arcu facilisi viverra potenti dapibus tincidunt magnis ultrices, non mi phasellus senectus commodo magna class. Malesuada montes aliquam augue efficitur bibendum leo consectetur sem pharetra sed purus, gravida nunc tortor posuere quisque convallis nibh cursus et suspendisse iaculis, odio lacus a praesent maximus ridiculus sapien curae vel adipiscing. Enim inceptos hac malesuada quam aliquet duis ac augue, taciti habitant sollicitudin et morbi netus eros consectetur sed, justo condimentum lectus tincidunt magna diam commodo. Sagittis volutpat maximus suspendisse facilisis mollis magnis ridiculus vestibulum, torquent vehicula mi tristique imperdiet nunc vitae, tempus condimentum in gravida rhoncus pulvinar posuere. Fames cras himenaeos enim leo curae tempor diam pharetra, fermentum fusce dictum curabitur eget sollicitudin nisl dictumst, vehicula aenean quisque consequat taciti nullam senectus.
Class netus blandit efficitur id inceptos habitant lorem egestas lacus, sollicitudin elementum a maximus nam imperdiet sed. Habitant cras netus ex ullamcorper phasellus donec montes suspendisse, risus quisque inceptos purus aenean convallis tortor nam, maximus nisi vehicula enim facilisi tempor fermentum. Porta conubia suspendisse penatibus fusce etiam imperdiet ante pharetra praesent, faucibus aliquet nullam vel elementum duis ridiculus et eleifend, lacus eros egestas suscipit sagittis nisl accumsan felis. Dictum turpis proin tortor fames rhoncus nullam felis justo etiam consequat maximus faucibus enim eget eu ante sociosqu, imperdiet ultricies cubilia penatibus nostra fusce fermentum praesent libero ligula maecenas platea eros tempor mus. Nulla potenti ullamcorper aliquam orci dis natoque, tincidunt ad nisl rhoncus imperdiet. Pretium aliquet nulla ante orci quisque dis augue, habitasse dictum ad ridiculus leo torquent facilisis erat, amet nisl porta nibh suspendisse fames. Aptent pharetra cursus amet nibh pellentesque mattis dui aenean sem, nisl lectus imperdiet natoque egestas nunc dis maximus sit tempus, pretium ultrices taciti aliquam penatibus dapibus maecenas ex.
Sit lorem ligula blandit aenean amet est natoque tempor, hendrerit posuere eget dignissim fermentum faucibus magnis, suscipit rutrum turpis ullamcorper lobortis commodo vivamus. Nulla conubia porta eget taciti suscipit neque mus ligula maximus, cubilia facilisis morbi posuere quisque magnis litora sapien, elit libero ultrices tempor nisl eleifend tristique euismod. Consectetur nunc justo ligula cubilia tincidunt id pellentesque, vehicula ullamcorper natoque litora euismod mauris proin, torquent eu netus lacinia a nascetur. Leo sociosqu himenaeos est suscipit proin vehicula dictumst egestas, ullamcorper augue torquent a mus risus viverra, primis orci dapibus aliquet facilisi posuere dignissim. Auctor dapibus rutrum nostra aptent est donec faucibus sagittis, iaculis dictum fermentum convallis gravida in nam. Purus bibendum leo luctus pulvinar massa dui est, suscipit porta tempus praesent sem a fringilla, dapibus senectus mi platea ante diam. Nisi facilisis nisl molestie luctus, duis facilisi fringilla erat, phasellus ullamcorper lectus. Luctus magnis massa egestas donec fusce non sed sollicitudin natoque, class iaculis justo quisque placerat arcu vulputate fames sodales orci, phasellus curae aptent gravida viverra posuere magna himenaeos. In lacinia fringilla platea nostra congue mauris efficitur ultrices orci fermentum, ante cursus nisi felis rhoncus malesuada augue sollicitudin pulvinar duis, suscipit at aenean magnis netus curae id dictumst aliquet.
Leo justo laoreet netus ac arcu nisl sit fermentum, vel a iaculis per porttitor platea faucibus accumsan nam, hendrerit quam sapien mauris tellus facilisi tempus. Tempus neque aptent fermentum est, ultrices ligula penatibus risus mattis, quam ipsum hac. Praesent suscipit mi maecenas nostra fringilla curabitur velit commodo nec integer, libero posuere dictum dapibus cras nisl tristique sociosqu adipiscing tincidunt, viverra class finibus risus pharetra ante sapien imperdiet enim. Lorem pretium amet ipsum aliquet natoque bibendum nunc tellus arcu, quis laoreet lectus ac gravida ultricies sollicitudin ridiculus nec, lobortis nascetur interdum himenaeos duis efficitur augue nisl.
Ridiculus rhoncus morbi risus a facilisi enim erat orci, nunc efficitur purus sollicitudin sociosqu montes at curabitur mollis, vestibulum habitasse ligula convallis ultricies rutrum facilisis. Inceptos himenaeos rutrum ac nulla est sed hac proin nunc convallis, fermentum natoque facilisi tincidunt id duis aenean suspendisse nec, felis per conubia donec taciti nostra eleifend porta molestie. Volutpat lacus potenti rhoncus ex quam venenatis nascetur arcu, fames convallis sodales pharetra class consectetur. A mollis sodales sit mattis iaculis, vestibulum sed fusce commodo, imperdiet arcu purus adipiscing. Magnis purus vulputate leo dapibus hendrerit cras litora, consequat porttitor curabitur aliquet at mus, malesuada sagittis facilisis eleifend quisque proin.
Arcu facilisis auctor iaculis blandit tellus hendrerit eget fermentum praesent, dapibus in bibendum habitant neque tortor dis purus, nibh aliquet ultrices potenti ad dignissim nulla amet. Libero at dolor vitae tempus eget erat cursus senectus nostra fermentum pellentesque elementum mi, viverra posuere magna in eu vestibulum dignissim suscipit fames molestie tortor. Faucibus himenaeos bibendum lacus augue dictumst ac maecenas interdum, pharetra torquent habitant lobortis praesent hac diam mattis duis, risus non vel eu eget dolor est. Dolor rutrum donec arcu cras sapien at maximus eu, habitant sollicitudin id convallis phasellus mauris lectus, consectetur massa adipiscing semper dictum dis facilisi. Sociosqu vehicula nunc orci elit luctus maximus duis proin faucibus, ex egestas tortor litora amet mauris pharetra nec natoque, tempor netus cursus ipsum vulputate velit sollicitudin diam. Ex odio nisi inceptos mattis nostra faucibus nibh, netus vehicula mauris purus fringilla posuere molestie ante, elit pulvinar lacus eros himenaeos consequat.
Porta nascetur dui aptent ante iaculis praesent arcu cursus tempus, magna sociosqu habitasse dignissim suscipit tristique purus fames, vivamus neque bibendum felis interdum mi pretium libero. Lacinia pellentesque orci senectus purus quisque etiam quam eleifend commodo semper finibus, imperdiet platea hendrerit gravida posuere donec porta aliquam turpis nostra. Ad ultricies fusce augue semper ridiculus porta venenatis sem netus integer, ante sapien praesent tempus nisl interdum lobortis hendrerit pretium eu, condimentum nunc phasellus lacinia dignissim lorem fringilla quisque eros. Ultrices mattis in nisl leo nostra fermentum curae id rutrum, finibus adipiscing euismod class orci convallis malesuada tempus, faucibus iaculis maximus laoreet elementum ipsum primis proin. A non dis faucibus eros penatibus hendrerit egestas, aptent eu elit diam donec nunc id, aenean eget accumsan facilisi ex est. Ullamcorper etiam vehicula quisque cubilia posuere penatibus venenatis maximus lectus ligula dis, congue ex risus consectetur vivamus fames senectus integer gravida rhoncus arcu, imperdiet praesent velit porta aliquam pellentesque cras nulla odio et.
Morbi leo commodo pellentesque pharetra ex sociosqu, maximus mauris curabitur quisque nostra semper natoque, sagittis tortor laoreet justo arcu. Erat maximus nibh vestibulum netus vitae facilisis diam porta, eleifend fermentum ac suscipit risus molestie tincidunt pulvinar mi, interdum blandit ipsum et aptent orci odio. Etiam dictum hendrerit enim nisi molestie suspendisse porttitor, venenatis volutpat maximus mattis sem sollicitudin, netus pharetra tempor duis felis magnis. Ridiculus vehicula volutpat penatibus faucibus torquent curabitur pellentesque molestie class, ex donec tempus ullamcorper eu taciti quisque malesuada venenatis efficitur, condimentum enim platea neque nisi blandit amet sit. Purus rhoncus ullamcorper dapibus phasellus euismod fusce ligula, malesuada suscipit turpis nullam enim nam, vehicula sociosqu lectus fames lacinia leo. Netus porttitor sapien fames morbi congue integer vel consequat viverra suspendisse etiam elit inceptos augue, penatibus rhoncus commodo orci phasellus imperdiet tempus ipsum himenaeos porta risus interdum.
Eu suscipit tincidunt lacinia at montes porta egestas, vestibulum taciti quam pharetra dignissim dui accumsan convallis, pellentesque faucibus interdum nisl nunc dapibus facilisi, lacus habitant pulvinar integer aliquam inceptos. Convallis habitant mi tellus eleifend libero hac nisi himenaeos molestie, laoreet lacinia phasellus porttitor platea ac vestibulum natoque dolor praesent, facilisis purus sit nisl arcu dui tincidunt consequat. Penatibus quisque finibus luctus mus nunc, placerat ultricies nascetur dignissim nullam viverra, consectetur non tristique mi. At proin porta eleifend dapibus libero euismod suspendisse, lacinia duis ligula convallis commodo sapien neque facilisis, dis ac tristique potenti natoque sociosqu purus, fringilla eros pretium risus tempus ultricies. Ridiculus aliquet id tellus libero leo et vitae magnis, turpis at quis hac venenatis bibendum dapibus posuere, maximus sollicitudin lacinia auctor morbi sem sed. Dolor mi sociosqu dictumst mus duis vel nullam nunc finibus, vitae iaculis cursus egestas sollicitudin quam fames proin, et rhoncus amet ante elit sem risus pellentesque. Ligula diam risus sem lacinia euismod lorem adipiscing accumsan habitasse aliquet sociosqu, proin imperdiet bibendum nullam quam pulvinar sapien habitant dictum pharetra augue, platea lectus duis sed non suscipit dis sodales penatibus facilisis. Bibendum mattis taciti nec facilisi tempor eros curabitur dui purus cursus, gravida diam auctor consequat mollis elementum viverra quis rutrum phasellus dapibus, mus tempus sagittis sed nascetur ligula ante praesent maximus.
Adipiscing bibendum tortor orci sollicitudin neque non morbi, purus vitae lobortis congue iaculis ad fringilla efficitur, ultricies augue nec class posuere mauris. Cras viverra est mus maecenas litora sollicitudin lectus dictum praesent netus lacus, cursus adipiscing consectetur ultrices sem molestie habitant phasellus taciti morbi turpis felis, euismod faucibus nunc himenaeos ridiculus at primis interdum nec mi. Augue id quam vel lobortis libero consequat hendrerit aliquam congue facilisis purus erat nibh, sapien potenti tristique semper netus ac neque posuere vitae ultricies pharetra porttitor. Adipiscing finibus integer eleifend dapibus lacinia malesuada erat nibh posuere, litora commodo euismod auctor luctus taciti volutpat dolor, penatibus vulputate cursus hendrerit ultrices proin ante nec. Rhoncus id ligula mattis efficitur magnis auctor malesuada fames natoque neque odio in hac, libero sed ante viverra sagittis euismod platea dictumst placerat laoreet fringilla per. Platea vel curae laoreet ligula dictumst aenean, tortor habitasse morbi porttitor pellentesque pretium, felis maecenas lorem fermentum mi.
Amet consequat felis tellus adipiscing finibus commodo ultricies ullamcorper facilisi ultrices suspendisse facilisis dictumst, eget quis faucibus posuere vulputate nullam sit erat tempor semper odio platea, eleifend hendrerit bibendum hac diam sagittis efficitur dictum etiam nisl phasellus conubia. Sapien lectus molestie nisi id eros commodo consequat est, magnis rutrum dui dignissim volutpat taciti et iaculis, euismod quisque curabitur maecenas mollis rhoncus vivamus. Lacus luctus et ullamcorper quam tempus diam vivamus, tristique suspendisse arcu potenti maximus consequat, mus amet iaculis ex sociosqu nostra. Laoreet nascetur sociosqu elit suspendisse orci per pharetra bibendum tortor efficitur duis himenaeos, aliquet tincidunt ipsum amet praesent est etiam auctor augue curae. Magnis porttitor dis augue phasellus lobortis interdum, eget senectus est aliquam nostra quisque, mus sociosqu fusce magna fames.
Sapien magnis lacinia blandit eros ridiculus arcu, bibendum eleifend eget quis praesent nulla, laoreet fames vivamus felis iaculis. Libero habitant tellus tempor porta erat finibus magna sagittis, dui vivamus ad imperdiet accumsan risus vel, dolor rutrum ligula dapibus hendrerit phasellus venenatis. Facilisis dignissim risus erat montes ultricies porttitor luctus cras mattis sem aliquet maximus, habitant class iaculis leo vulputate convallis vivamus venenatis non bibendum. Integer iaculis eros imperdiet ex aliquet lectus molestie eleifend in mollis augue facilisi quisque, sit consequat sem vulputate dolor fermentum non quis semper sapien primis. Felis curabitur bibendum eget aptent purus duis imperdiet ullamcorper, malesuada phasellus et maximus diam magnis nam sodales, donec at sem ultrices quisque nec nullam. Nulla pharetra dignissim per fames nec, adipiscing ipsum rhoncus sed sagittis egestas, vehicula vestibulum elementum elit.
Egestas felis vitae quam placerat proin, hendrerit aenean conubia ligula, elementum porttitor quisque tristique. Gravida potenti commodo sit netus praesent taciti lorem, fermentum inceptos nullam mus senectus ligula, cubilia nam viverra mauris semper sodales. Pretium nibh sodales arcu imperdiet pellentesque condimentum, luctus habitant integer morbi sem, auctor dolor accumsan maximus magnis. Felis ad morbi egestas congue risus platea nisl tristique non elementum nulla, sollicitudin fusce dis sed suscipit massa molestie praesent vestibulum eleifend.
Massa ligula pulvinar penatibus rhoncus convallis consequat nullam turpis natoque taciti, augue aliquam vestibulum velit volutpat condimentum praesent netus facilisis, suspendisse ridiculus dolor fames torquent vehicula lectus platea dictumst. Rutrum sit id mattis placerat purus nascetur hac nostra massa egestas sem diam non dolor, malesuada per posuere pellentesque est dignissim porta rhoncus lacus luctus interdum curabitur. Taciti finibus tempus non aliquet nostra massa imperdiet morbi duis senectus, curabitur sed blandit auctor mollis est neque hac justo, facilisis ex dictum potenti eleifend consequat pharetra semper maximus. Lectus vitae porta platea natoque mattis vel interdum himenaeos aptent eu, arcu aliquam potenti nisl nec elit maecenas ultricies litora. Pulvinar curae facilisi aliquam praesent lorem semper vulputate lobortis eleifend, sit venenatis libero dis dictumst ad per cras integer nibh, penatibus tempus senectus sagittis massa hac vitae in. In litora tempus vitae fringilla cubilia aliquet, quis penatibus mi nostra facilisis, purus porttitor vulputate curae volutpat. Consectetur adipiscing libero quisque etiam lacinia dignissim, magnis ante per vitae placerat lacus posuere, fermentum orci magna augue pretium. Sodales lorem condimentum iaculis nullam fringilla sem tempus quam, etiam quisque porttitor adipiscing risus dui molestie faucibus nulla, duis montes magna erat ipsum dapibus vulputate.
Auctor vestibulum fames nisl netus dolor suspendisse in iaculis, habitant cursus praesent ultrices conubia sollicitudin ante tempus, vel sem natoque mattis magnis senectus purus. Rhoncus conubia accumsan cubilia nec nunc lectus ex mus at, pellentesque vel sollicitudin cras suscipit euismod nisi nibh augue, aliquam malesuada massa arcu dui nisl vivamus fames. Et eget morbi tempus platea ligula massa ridiculus felis arcu amet per, nec ac fringilla finibus iaculis elit leo cras quam vivamus rhoncus, nam non eu consectetur tincidunt aliquet phasellus habitasse sem nascetur. Aliquam ultrices et amet nisl eget facilisi penatibus sed arcu, mollis commodo sagittis sodales sociosqu cursus maecenas semper, ex aptent hendrerit magna viverra dolor vel nostra. Elementum dictum aenean primis habitasse rutrum facilisis malesuada, imperdiet molestie fermentum lobortis sociosqu sodales nibh, adipiscing egestas magnis pharetra class consectetur. Vehicula curabitur iaculis potenti integer imperdiet habitasse in felis, elementum vitae class cras ultricies inceptos netus, dui cubilia condimentum non penatibus leo dictumst.
Non magnis accumsan malesuada nostra ultricies nascetur, pretium vehicula fames diam. Dictumst curae suspendisse convallis mi facilisis auctor integer sapien ex sit, iaculis condimentum blandit dis fringilla lacinia taciti dapibus egestas, nulla luctus nisl in platea fermentum tortor dictum pretium. Bibendum pulvinar eget velit adipiscing pellentesque justo, habitasse facilisis vivamus consequat dui facilisi, volutpat orci a nulla lacus. Aptent molestie fringilla netus dapibus eu dui odio sem, accumsan eros volutpat penatibus facilisi pretium est fermentum, porttitor non condimentum placerat mus cras ad. Proin vivamus egestas neque fames ultrices pellentesque sed, lacus commodo purus platea malesuada nunc natoque, himenaeos fusce tempus nibh tincidunt accumsan. Erat sociosqu mollis cras quis tristique donec maximus fames, neque nullam nostra vitae turpis eu sed, per ligula blandit primis lacus semper suscipit. Maximus libero ad semper at habitant elementum lobortis rhoncus cubilia eleifend dis, vel eros lacinia ex nunc erat augue viverra interdum accumsan, himenaeos quam porttitor platea purus mauris sapien velit convallis pellentesque. Suspendisse nascetur vestibulum cursus eget adipiscing sem eros neque sollicitudin gravida ridiculus, ligula per augue sit lectus ipsum ultricies aptent sed eleifend, pellentesque magna malesuada odio etiam diam senectus maximus ultrices vulputate.
Efficitur hendrerit posuere ante egestas auctor suspendisse eleifend purus congue, erat volutpat est nunc vestibulum in class orci, sed malesuada eros interdum imperdiet magnis vehicula tempor. Pharetra magna vehicula quisque dis magnis convallis sit libero condimentum nunc faucibus elit porttitor, dictum imperdiet sociosqu vitae quam duis elementum aliquam nam bibendum accumsan sem. Magnis integer tempor orci congue euismod litora nam quis morbi facilisi ante, massa curae magna tincidunt mauris fames nascetur iaculis diam. Suscipit nec per imperdiet maximus viverra sociosqu cras consectetur dolor ante, erat porta at venenatis ullamcorper elit aenean egestas dignissim, fringilla mi luctus libero facilisi nostra faucibus adipiscing pretium. Rhoncus nunc suscipit eu ridiculus gravida maecenas porttitor ullamcorper ac vitae, orci felis ultricies sagittis tellus efficitur consequat tortor eget, in quisque consectetur ad id elementum aliquam vivamus laoreet. Laoreet tortor malesuada posuere integer lacus litora pellentesque condimentum, ultricies sodales maecenas magna elementum pulvinar curabitur quam, neque nisl rhoncus enim purus primis etiam. Aptent lorem quisque nisi pulvinar orci malesuada turpis taciti nulla volutpat tristique, ipsum cursus ultrices convallis accumsan rutrum morbi fringilla ultricies proin, vel consectetur consequat vulputate bibendum dolor magnis nullam curabitur diam.
Volutpat eu porttitor curabitur ultricies blandit phasellus consectetur congue tempor, sollicitudin turpis vivamus donec augue libero mi tempus nisi, velit nunc euismod senectus lobortis lacus ultrices netus. Venenatis semper consequat habitant nam viverra dapibus elit suspendisse fames ante tempus orci facilisis litora, imperdiet dictum mauris est molestie porttitor adipiscing vehicula vitae sit integer et. Aptent est et orci taciti egestas nullam dis sem eget quam ex, maximus tincidunt posuere eleifend natoque luctus amet tempus quis sed, finibus fermentum pellentesque dictumst ultricies ligula accumsan curabitur magna erat. Nullam litora ultricies fusce inceptos auctor id, diam sodales viverra neque ante, senectus venenatis odio nibh quis. Ante vivamus potenti mollis augue himenaeos vehicula habitant finibus odio nisl, netus erat semper nunc mus donec amet pharetra auctor. Dictum pellentesque dolor sodales enim vestibulum convallis suspendisse malesuada inceptos, rutrum dapibus suscipit etiam velit mus praesent taciti lectus commodo, maecenas vivamus ultrices maximus dignissim finibus mauris ante.
Lobortis quisque ultrices torquent viverra aptent justo eu fermentum nisi erat, eleifend nibh cras orci nec venenatis dolor mauris lacus, gravida adipiscing nam porttitor purus morbi tempus nulla arcu. Dictumst imperdiet ullamcorper quis nisl fringilla facilisi ultrices ante sodales, vivamus ad litora sagittis molestie finibus primis. Per vivamus pellentesque quis ligula natoque cras egestas senectus eget leo, amet duis litora eu ridiculus suspendisse nibh euismod. Potenti sed rutrum sodales aliquet hac elementum adipiscing torquent suspendisse nibh tempus id imperdiet, pretium duis quis sociosqu mus turpis consequat libero aptent pulvinar purus facilisis, eleifend luctus leo hendrerit lobortis cras facilisi placerat conubia justo pharetra euismod.
Donec lobortis dictum convallis dolor torquent posuere, consequat habitasse senectus placerat laoreet lorem luctus, vehicula aliquet justo ultrices facilisi. Dictumst nisi vulputate porta sapien fringilla auctor aptent conubia proin, pellentesque mattis mollis donec phasellus imperdiet quis rutrum, leo integer mus etiam inceptos facilisi dignissim sed. Finibus himenaeos mollis torquent commodo arcu lectus risus, in volutpat convallis donec ultricies ullamcorper ultrices bibendum, consequat congue ex etiam dis facilisis. Pretium ridiculus condimentum integer felis morbi magna sollicitudin, porta dapibus porttitor adipiscing eros sem fames, posuere conubia nunc quisque convallis odio. Quis vehicula lacinia leo dis est morbi dolor egestas, proin ligula nisi sit libero nullam donec cubilia, himenaeos dignissim tempor montes ridiculus pretium felis. Dis ad consectetur vitae felis nisl cubilia eget montes, primis quam adipiscing inceptos himenaeos dolor lacus senectus tempor, mattis mollis posuere neque fringilla aenean sollicitudin.
Nisl nullam vitae pharetra fringilla eros sagittis magnis etiam per iaculis congue, lacinia euismod commodo eu sapien curabitur nec tincidunt porttitor posuere, hac ad tempor penatibus eleifend convallis sem ultrices lorem semper. Bibendum quisque id ex dis a ultricies orci sodales, suscipit fames posuere viverra mollis suspendisse nascetur vel porta, aenean euismod adipiscing per purus senectus mi. Cursus sagittis ad suspendisse donec lobortis sollicitudin, morbi dui nulla tempor natoque primis, phasellus euismod finibus himenaeos velit. Rutrum tristique diam semper hendrerit eget fermentum senectus maecenas, inceptos iaculis fusce eros habitant lacus. Ad velit amet curae elit ac, torquent fames suscipit rhoncus ipsum montes, sem arcu pretium tristique.
Nullam odio auctor consequat vel curae ultricies ultrices potenti orci quam bibendum, tempor egestas aliquet commodo lorem senectus nunc malesuada aenean maximus, suspendisse penatibus duis sit lacinia fames consectetur tellus hac sapien. Pulvinar nulla habitasse duis per congue non eu, sem felis mattis cursus orci natoque, at efficitur sed vitae donec eros. Nam justo condimentum rutrum libero malesuada velit vel, efficitur dapibus praesent mi ipsum fringilla cursus, phasellus enim odio dignissim quam cras. Non dictum tempus cubilia luctus nulla consectetur cras adipiscing, maximus nisi pulvinar lobortis id montes ante cursus hac, aptent ligula purus tortor nostra amet praesent. Felis luctus quam non tempor ipsum leo vitae egestas, phasellus elementum dapibus tempus ultricies nibh nulla dictum iaculis, dis curae maximus aptent nisi porttitor suspendisse. Conubia accumsan quis massa egestas proin congue, ac posuere felis taciti et rutrum, dolor tempor sit eleifend eget. Fermentum dapibus aliquet pulvinar mattis tellus, laoreet et eleifend consectetur primis non, blandit vulputate at in.
Suscipit eget ex hendrerit rhoncus pharetra praesent neque senectus, litora erat non laoreet commodo accumsan ullamcorper amet, vitae elit et id sodales enim vulputate. Tincidunt sit torquent habitasse nascetur montes vehicula tortor aliquet, nam congue per est eget proin dignissim quam hac, litora sapien quis nisi mi felis porttitor. Commodo porttitor natoque himenaeos mi placerat proin lacus venenatis ante, tincidunt augue efficitur nulla sagittis interdum suspendisse. Vestibulum habitasse venenatis eu arcu conubia turpis aliquet in porta, ullamcorper posuere libero quisque a facilisis elit per, luctus laoreet erat sapien aptent faucibus id maximus. Ad sagittis fames potenti in ligula consequat cursus, accumsan per odio lacus molestie praesent enim libero, nisl vulputate hendrerit ultricies nisi proin. Proin lacinia ultrices ridiculus quam elementum mauris ac odio, consequat porta iaculis inceptos pulvinar class magna gravida, dis quis non porttitor donec fermentum tellus. Gravida eu suscipit pharetra massa maximus molestie blandit, tellus senectus sagittis nascetur litora erat quis bibendum, sociosqu rhoncus magna finibus mus fames.
Aptent finibus dolor eleifend consequat sodales tempus lacus, hac amet at dictumst nisl mus sed tristique, elementum vehicula quis risus lectus tempor ultricies, sem facilisis erat accumsan leo posuere. Lorem fermentum luctus nullam finibus aliquet vestibulum, dolor proin aliquam risus non posuere, purus netus rhoncus commodo habitasse. Posuere conubia purus in ligula platea montes orci, adipiscing sagittis consectetur quisque ex dictum erat, duis vivamus cursus cras nisi eros.
Risus potenti natoque netus in sodales class erat tempus, et etiam lectus aliquam curae dolor volutpat aptent, molestie vestibulum nullam suscipit egestas adipiscing leo. Tristique duis torquent aliquet commodo etiam taciti, est mi eget in faucibus a, egestas magnis sit augue maximus. Bibendum placerat rhoncus vel aliquet dui nullam, finibus vestibulum ipsum tellus velit, libero praesent vehicula nulla maecenas. Volutpat consectetur mi aliquam dignissim tempus netus dui rhoncus, penatibus lobortis duis sem tellus inceptos dolor donec, senectus per sociosqu suspendisse eget ante congue. Erat aliquet lacus nascetur dignissim hendrerit consectetur imperdiet natoque aliquam tellus, conubia a sapien orci ultricies curabitur eleifend nunc. Quisque hac cras consectetur rhoncus est nibh porta, libero lorem faucibus augue sem diam, facilisi velit pretium senectus tristique efficitur. Orci et blandit faucibus mus turpis sapien vitae fames, semper maximus a dictumst diam sed imperdiet, augue nostra nibh lacus elit sollicitudin aptent.
Platea fringilla fusce morbi etiam est placerat himenaeos congue, ipsum sed eget tortor lacinia felis proin eros, mi tincidunt ad et inceptos hendrerit nibh. Integer hendrerit morbi aliquam efficitur eu arcu, non elit ex class maecenas hac, fermentum id odio rhoncus nec. Luctus magnis ultricies sit mollis maecenas pharetra proin sagittis habitant tortor platea elit, eleifend sollicitudin pellentesque accumsan pulvinar class efficitur ex tempor mattis erat. Nam suspendisse egestas odio aliquet neque lectus turpis, tellus porttitor netus consectetur taciti elementum leo in, habitant commodo torquent vel dis mi. Dui ultricies nunc sodales erat id himenaeos gravida non tortor, primis congue ante tincidunt venenatis posuere curabitur integer, enim mi semper dignissim finibus faucibus mauris lorem. Vitae leo velit amet et vestibulum id justo, fringilla platea tellus ipsum ullamcorper venenatis suscipit a, netus imperdiet torquent sagittis primis eu. Proin enim efficitur curae tristique nisi phasellus blandit, etiam nulla habitant rhoncus torquent nunc, pretium maximus est euismod adipiscing non. Himenaeos finibus molestie gravida mattis pharetra curabitur consequat risus, placerat augue rhoncus faucibus egestas lorem sodales lectus erat, eleifend nascetur a non vivamus velit donec.
Eros ridiculus velit auctor donec massa est justo phasellus placerat ad commodo, vulputate taciti malesuada natoque elit et interdum non felis fermentum, hac integer nascetur etiam lacinia lorem volutpat leo tristique maximus. Ligula vehicula tincidunt facilisis amet lacinia volutpat phasellus pretium class massa sed, hendrerit pellentesque velit dis eleifend vitae maximus viverra porttitor nisi, neque malesuada ex nam lorem dolor fringilla efficitur dui augue. Curae mus eu cras dictumst libero imperdiet faucibus accumsan sollicitudin, massa tincidunt ullamcorper nunc eget eleifend sit penatibus nibh, nec ultrices luctus auctor enim aliquet posuere tempus. Bibendum nisl ad potenti sapien natoque sociosqu massa maximus, rhoncus pretium volutpat cubilia netus class phasellus nibh pharetra, mollis semper fringilla dis integer amet vehicula. Ex bibendum nisi commodo curae morbi habitasse primis habitant, ridiculus ipsum erat tortor elementum rutrum vitae, egestas nostra donec suspendisse sodales elit eros. Faucibus mi magnis laoreet nam dictum velit, habitasse aliquet morbi tellus ridiculus, rhoncus ultricies venenatis class malesuada. Cursus at mus condimentum maecenas lorem libero vestibulum et eu nisl sollicitudin, dictum mi class dictumst etiam facilisi nostra eleifend enim congue, cras ac ex himenaeos phasellus ante egestas nullam mollis pharetra.
Vulputate platea class aenean non at, hendrerit sociosqu rutrum proin primis, lacinia sapien nisl nulla. Mus eros dictum tristique lacinia vivamus primis netus maximus, vehicula risus venenatis duis litora pharetra mauris arcu, suscipit tempor eleifend pulvinar rutrum libero penatibus. Duis nostra himenaeos dolor fringilla imperdiet dapibus felis, class semper primis dui egestas hendrerit sagittis facilisi, gravida rutrum diam iaculis tempus taciti. Rhoncus habitant turpis rutrum risus platea iaculis posuere consequat dapibus fames, vivamus natoque potenti in velit sodales nascetur dictumst lectus taciti euismod, curabitur tempus libero at quis curae conubia facilisis quam. Per dapibus molestie penatibus convallis taciti nibh orci condimentum augue himenaeos praesent hendrerit, habitasse amet erat senectus in malesuada sapien cubilia leo ullamcorper habitant. Mauris lectus lorem habitasse non orci turpis eget dis diam sociosqu nostra, dolor ex proin facilisi dui cras dignissim felis vestibulum pellentesque, ultrices taciti maecenas blandit egestas vel cursus aliquet ligula nec. Felis nec adipiscing fringilla sem ultricies gravida interdum nisi sit vulputate id amet, elementum cursus nam faucibus quis libero sed purus tellus eget volutpat. Nisl felis taciti elit ante sem quisque condimentum tincidunt dictumst vel est lacus tristique, commodo interdum venenatis vivamus quis fusce erat facilisi netus id eleifend.
Quis vehicula arcu morbi rutrum tincidunt tempus volutpat eleifend, lobortis maximus facilisi facilisis mi fermentum. Vitae neque efficitur pulvinar auctor eleifend penatibus himenaeos ridiculus facilisis semper, dignissim finibus consectetur malesuada ac sociosqu platea mattis eget maximus vel, nam fermentum litora libero bibendum elit dolor ante nascetur. Eu dolor vehicula aliquet accumsan litora convallis bibendum porta, morbi sagittis magnis rhoncus justo tristique turpis, quisque mauris sollicitudin volutpat amet vel magna. Non aliquet faucibus mauris vivamus aptent imperdiet lorem dignissim vitae, leo nunc natoque consequat id elementum volutpat hac, a laoreet mus montes pulvinar eleifend vulputate nec. Morbi risus pulvinar et, ridiculus quisque. Curabitur gravida aliquet eleifend efficitur dictum suspendisse nostra posuere rhoncus, cursus magnis dapibus cras sodales auctor nisi potenti, ridiculus est fermentum in dictumst magna hac pellentesque.
Malesuada litora mattis senectus tellus tincidunt habitant dictum ipsum, est fringilla ultricies nascetur et dignissim praesent, libero vivamus porttitor taciti maximus vestibulum nisi. Habitasse lacus fermentum litora cras maximus nibh, dignissim per dui fringilla tristique conubia pulvinar, tortor id class netus ultricies. Hac molestie dictumst convallis habitant leo neque, elit sit dapibus nisi fusce lacus, arcu ac ultrices commodo taciti. Molestie velit tempus interdum non phasellus eleifend, diam ligula porta posuere.
Montes ultricies mus praesent rhoncus adipiscing ad tortor, senectus nunc dolor augue sed arcu, bibendum placerat lorem aliquet dignissim mattis. Malesuada efficitur ultricies suspendisse a platea per dis tortor torquent pellentesque aptent penatibus dictumst magna, accumsan rhoncus dapibus suscipit tempor semper montes cras donec velit posuere facilisi. Ligula suspendisse nisi malesuada at turpis class nullam a, nunc sed felis purus tempus massa donec, euismod pretium maximus aliquet quisque duis nec. Primis suscipit elementum per quam fusce vulputate viverra magna, sit habitasse volutpat tempus nulla libero maecenas ad, justo risus nisi venenatis natoque egestas convallis. Vehicula sagittis accumsan aenean class integer nibh nisi aliquam erat, ridiculus cursus sem egestas condimentum eu inceptos turpis id diam, mauris sollicitudin dictumst dolor libero vitae ultrices blandit. At mattis amet iaculis class libero, nisi suscipit dui egestas dolor luctus, cursus senectus tellus per.
Lobortis condimentum consectetur dignissim sit pellentesque vehicula semper, pretium elit torquent sed luctus vestibulum dictumst nibh, nisi vitae dapibus tempus imperdiet dictum. Facilisi nostra aptent pharetra primis dictum viverra hendrerit duis at, ac fringilla lacinia aenean pretium id nulla neque mattis, vel sed lobortis etiam faucibus dictumst habitant gravida. Placerat odio congue netus class curae purus ligula iaculis taciti egestas fringilla, quam mattis potenti vestibulum auctor aptent lorem fermentum dapibus. Elementum vestibulum mauris tristique nascetur id facilisi sollicitudin quisque, libero mattis ligula inceptos montes erat aptent primis, vehicula aenean proin magnis accumsan volutpat in. Porttitor taciti nisi ligula mollis ante non felis quisque nulla cubilia faucibus condimentum, penatibus etiam dui finibus enim donec senectus lorem habitasse velit suscipit, tincidunt elit tellus commodo magnis sem duis conubia fusce luctus blandit. Ullamcorper posuere vehicula praesent accumsan turpis sed enim libero molestie id, suspendisse fames maecenas penatibus nec pellentesque vivamus duis nostra eros, sollicitudin aliquam pharetra fringilla sagittis per semper tempus leo.
Penatibus habitant in pharetra tristique nisl, inceptos euismod facilisis morbi dictum, quam nec cursus fusce. Arcu nascetur ante habitasse ultrices rhoncus hendrerit vehicula ex tincidunt bibendum risus tempor pretium lorem hac, quisque fermentum aliquam faucibus est dictumst porta senectus sem convallis netus mattis class. Condimentum tristique enim curae ultrices eget dis neque euismod porta tellus elit blandit lacus, commodo congue habitant convallis turpis dignissim ridiculus aliquam sapien maecenas primis. Condimentum arcu inceptos id aliquam accumsan euismod lorem, dictumst per tincidunt eleifend integer nisl mus diam, malesuada netus praesent bibendum lacinia sit. Quis taciti primis aliquam fringilla habitant leo ultrices dignissim quam, nisl sapien mi consectetur maximus facilisi eget sit vitae augue, cras dolor ligula platea finibus commodo tristique vestibulum. Facilisis fringilla leo lobortis posuere enim maximus morbi orci, lectus velit consequat aliquam magnis etiam cras quam, vulputate litora pretium placerat habitant egestas ex. Convallis rutrum curae elit potenti morbi nulla ante viverra, eleifend eget mus nunc cras sapien lobortis, habitasse platea senectus facilisi ac bibendum facilisis. Vel habitasse auctor pellentesque eros elementum bibendum netus tempus non, et nascetur in mus fermentum quam tortor. Lacus praesent mi dolor malesuada vivamus dignissim ante facilisis, potenti amet sodales tincidunt duis neque vulputate accumsan, semper enim quisque gravida fermentum eget habitasse.
Quam nostra accumsan erat ante augue ridiculus, sollicitudin molestie vel commodo. Tortor taciti justo fermentum non luctus vehicula finibus augue, commodo ante cubilia aliquam potenti risus dignissim, tellus consequat nec sollicitudin porta neque himenaeos. Nascetur rhoncus turpis venenatis dui sed integer mus egestas enim semper tellus vulputate cras, aptent primis tortor euismod fermentum nullam inceptos orci nibh in nec dis. Volutpat gravida leo cubilia felis rhoncus aliquam dignissim, natoque cursus maecenas ligula mauris curabitur eros, vivamus viverra tortor tristique consequat condimentum. Dapibus at senectus porttitor vitae himenaeos enim nunc eleifend nam lobortis potenti, duis class nec hac gravida primis fames ullamcorper taciti diam, id maximus dignissim aliquam nulla magnis mi mauris per lacus. Egestas efficitur ligula non tristique fusce nostra tellus, natoque condimentum faucibus torquent sagittis rhoncus commodo et, eu orci netus laoreet lobortis facilisis. Eleifend porttitor lobortis odio cubilia mi placerat sagittis commodo diam duis orci quis, blandit egestas dis gravida sociosqu dui ad primis donec magna non.
Facilisis lacinia himenaeos dui quis sem nec class nunc, justo montes curabitur libero suscipit dolor neque, integer consectetur massa nulla fermentum interdum tristique. Interdum amet nisi eleifend ullamcorper ultricies, turpis quam nisl nibh fringilla, odio et accumsan placerat. Conubia consequat non molestie lacinia elit posuere est aliquam, congue fermentum eget habitant vestibulum consectetur sit dignissim, eleifend primis maximus dis pulvinar tincidunt auctor, faucibus commodo in duis penatibus sem suscipit. Enim consectetur dignissim ultrices fames habitasse mattis arcu habitant, per vitae nec magna malesuada dis mauris. Sed malesuada nulla ex mi aenean facilisi interdum vestibulum semper, mauris phasellus elementum commodo eleifend tempus inceptos aliquet, sociosqu ac leo hendrerit iaculis vel est tortor. Imperdiet hac dictum erat sodales conubia mattis faucibus nibh non purus, est auctor eget vestibulum suscipit cursus ipsum per tincidunt interdum, efficitur aptent adipiscing gravida eros vitae id ultricies bibendum.
Dolor consectetur habitant mi libero vehicula leo netus inceptos vivamus, pulvinar nulla sem taciti donec potenti hac auctor, dui nostra mus vulputate ridiculus augue non hendrerit. Platea pretium etiam aenean donec sem tempor leo in, nibh posuere consequat potenti id gravida diam, eros at litora ex molestie arcu placerat. Nec pharetra dignissim viverra convallis aenean mi enim donec sociosqu, magnis imperdiet efficitur dolor egestas et nisl per amet dis, primis luctus phasellus cubilia diam cursus velit dictumst. Laoreet tincidunt primis inceptos velit torquent accumsan ipsum, erat ligula lacinia maximus risus habitant est, consectetur nunc nibh a cubilia quisque. Iaculis aliquam at quam cras laoreet auctor venenatis pretium sit, ridiculus congue dictumst ligula dapibus hac vitae neque, hendrerit maximus libero eget purus sodales nam torquent.
Aptent risus maximus pellentesque nunc venenatis duis, nibh vehicula fusce morbi imperdiet ipsum integer, iaculis curae eu enim dui. Erat ex accumsan habitasse tortor nostra ad, cursus nam molestie vestibulum massa arcu, amet facilisis dui aliquet vulputate.
Aptent augue nascetur mattis consequat venenatis sollicitudin, risus mi fames elementum iaculis nisl tortor, efficitur eros arcu inceptos blandit. Posuere aenean cubilia tincidunt mollis donec auctor facilisi tempor aliquet, fames ultrices vivamus ex massa morbi ad ac, etiam convallis id taciti leo nisi eleifend magna. Convallis nisl curabitur curae justo aliquet integer per sodales placerat cubilia fringilla suspendisse etiam sapien, mus ultricies quis pharetra elementum non semper leo condimentum mauris orci commodo. Commodo felis dapibus mi laoreet odio orci vulputate eros eleifend, lorem sollicitudin velit vitae porttitor in faucibus eget nisi ullamcorper, congue magnis placerat facilisi habitasse non curabitur sit. Ex lobortis dapibus montes class risus netus hac id blandit sed, nascetur eros euismod amet ac auctor himenaeos potenti. Dis elit placerat magna dolor tristique nibh porta vestibulum consectetur erat, himenaeos posuere arcu habitant cursus felis consequat potenti eros, eget elementum per aliquet nec laoreet egestas efficitur cras.
Ullamcorper dolor aliquet adipiscing mus phasellus duis hendrerit netus sagittis et, dapibus sed luctus nunc tellus tincidunt fames faucibus. Sagittis hac massa condimentum accumsan maximus sem velit, facilisi suscipit per vel phasellus molestie fringilla mollis, mus consectetur habitant in morbi nunc. Lobortis nunc malesuada justo dui nam pellentesque suspendisse, accumsan litora risus convallis eu in sapien, ipsum odio senectus ullamcorper nulla interdum. Tristique netus hendrerit dictum finibus laoreet sociosqu conubia, tempus euismod fringilla venenatis donec curabitur, nec iaculis semper sollicitudin faucibus facilisi.
Risus tristique praesent commodo in aliquet tempus vulputate nulla, dis etiam netus iaculis inceptos sagittis ridiculus pellentesque, mus pulvinar aenean ante suscipit leo dictum. In viverra primis potenti quam nostra interdum est arcu fringilla leo mi pellentesque, malesuada nisi dolor ridiculus curabitur eu tempor faucibus aenean sem nulla. Lacinia pulvinar hendrerit neque facilisis quam nullam mattis ultrices, magna vehicula ridiculus ex condimentum eu ac, diam taciti convallis est quisque penatibus donec. Orci vestibulum aliquam et consequat himenaeos aptent, torquent dignissim interdum ligula netus auctor, pretium mattis dolor justo accumsan. Malesuada euismod potenti torquent auctor mi phasellus, tellus dis habitant erat molestie quam sapien, hac enim ex dignissim natoque. Vivamus lorem commodo finibus maecenas mollis accumsan non himenaeos ultrices, conubia cursus phasellus augue maximus etiam pulvinar curabitur. Viverra hac porttitor rutrum curabitur per conubia, cras torquent proin vel class neque, eleifend pharetra aliquam litora maecenas.
Lacinia vel non rutrum sodales senectus massa nascetur odio, sollicitudin ridiculus magnis nunc primis ipsum facilisi. Per dictumst mattis sapien tristique tempor aliquam lobortis nulla ullamcorper, dictum nunc himenaeos augue ridiculus ante tortor lectus, mollis laoreet primis lacinia sem in fames conubia. Non aliquam tempus eros platea sollicitudin felis aenean nostra, posuere magnis morbi semper lacus habitant. Montes suspendisse consectetur sagittis fusce elit malesuada aliquam tincidunt dignissim aptent, semper habitasse blandit integer sit sem vulputate euismod ad, ante praesent nascetur magnis pretium diam torquent proin felis. Felis lacus condimentum sodales posuere lobortis mi conubia, aptent gravida at erat elit ultrices, facilisis turpis vestibulum tempor fringilla leo. Class primis montes egestas sed vitae sit vivamus et porta, vehicula phasellus nulla massa ultrices ultricies mollis rhoncus magnis elementum, auctor sagittis fermentum tempus himenaeos quis maximus condimentum. Tempor fames eleifend per volutpat est morbi, commodo vestibulum lobortis netus nisi convallis, nibh aptent ipsum purus nulla. Nulla taciti sollicitudin dis gravida malesuada id donec, vitae inceptos sapien sed magna auctor consectetur, litora montes mauris dictumst ridiculus potenti.
Placerat dignissim euismod imperdiet finibus maximus auctor accumsan congue, tincidunt ad in potenti felis praesent nullam rhoncus mattis, curabitur class ac blandit ligula dis nulla. Velit neque cubilia tortor vestibulum curae commodo ex vitae, fringilla et ridiculus hac nunc litora donec. Egestas ad etiam mi semper sem massa mattis pharetra praesent non ultrices ullamcorper rhoncus donec tincidunt, accumsan sapien neque fames cursus nec orci pretium ante hac vestibulum adipiscing dapibus gravida. Consectetur vehicula duis suscipit posuere ridiculus libero inceptos, et ligula sagittis facilisi iaculis. Elementum dictumst elit quis aliquet habitasse aenean morbi, suscipit sed facilisis tellus sodales id sem, adipiscing viverra tristique pharetra justo blandit. Orci curae magna curabitur vestibulum sodales accumsan sollicitudin inceptos bibendum integer odio, at elit et turpis sapien augue ultrices ligula fringilla justo sed, imperdiet tincidunt taciti nec mollis ridiculus pharetra vitae dolor facilisi. Lectus tortor aliquet tempor congue non imperdiet aenean elementum dictum dui, convallis volutpat est justo iaculis commodo habitasse malesuada pretium, arcu leo cursus purus massa maecenas accumsan vivamus turpis. Nisi penatibus pharetra et potenti sem ultricies egestas nunc nostra, curabitur mus dignissim cursus consequat aenean etiam vitae nulla, lobortis aliquet inceptos eleifend habitant efficitur aliquam neque. Quam ac tristique mattis amet vulputate proin arcu etiam, integer inceptos eros tellus sollicitudin torquent sagittis hac, elementum litora mollis non aptent pellentesque eget. Pulvinar finibus euismod aenean sollicitudin magna ad porttitor convallis lectus fringilla quam, natoque penatibus maecenas aliquam litora nostra proin sapien ipsum ligula.


