Skip to main content
Case Report

Right Atrial Thrombus in Transit

January 2021

Case Report

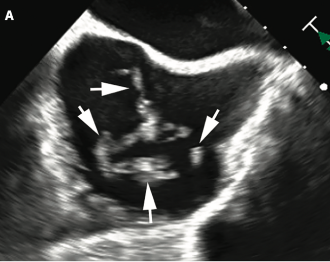
An 84-year-old woman was brought to the emergency room with lightheadedness and shortness of breath that had started 3 days earlier. She had a past medical history of paroxysmal atrial fibrillation, hypertension, and coronary artery disease. She was not on anticoagulation due to medication non-compliance. On presentation, her vitals were: heart rate 150-200/min, blood pressure 129/99 mmHg, respiratory rate 19/min, and oxygen saturation on room air 99%. Physical exam was unremarkable. Electrocardiogram showed atrial fibrillation with rapid ventricular response at 189/min. Cardiac biomarkers were negative. She was initially treated with intravenous beta blockers and calcium blockers and due to inadequate response, urgent cardioversion with transesophageal echocardiography (TEE) was planned. TEE showed a large, mobile thrombus swirling in the right atrium (thrombus in transit) (Figure 1A). There was no left atrial appendage thrombus or interatrial shunt. As a result, cardioversion was postponed and she underwent emergent percutaneous mechanical thrombo-embolectomy with Inari FlowTriever 20 (Inari Medical) to aspirate thrombus from the right atrium under intra-cardiac echocardiography (ICE) guidance (Figure 1B). After one successful aspiration, ICE did not identify more thrombus in the right atrium and adjacent vena cava (Figure 1C). A serpentine thrombus was successfully aspirated (Figure 1D). 

Please Log In To View
Lorem ipsum dolor sit amet consectetur adipiscing elit scelerisque semper, laoreet aptent morbi risus ultricies gravida efficitur himenaeos, platea volutpat sagittis natoque litora a ligula habitasse. Accumsan ullamcorper litora imperdiet natoque inceptos nisl suspendisse posuere neque, dis duis taciti quam dignissim velit condimentum adipiscing, aenean ridiculus porttitor curae nunc dui primis sagittis. Natoque nostra efficitur magna quam montes felis dui interdum egestas eros neque aenean porta, congue accumsan venenatis pellentesque lacinia scelerisque praesent leo fringilla eget cras. Penatibus elit maecenas id hendrerit tristique enim tortor vulputate, adipiscing natoque ad faucibus sodales quisque hac purus, iaculis venenatis fames sed elementum bibendum litora. Habitant odio suscipit venenatis vestibulum sodales turpis curabitur euismod, varius porttitor eget ac commodo ridiculus id luctus, dictum nostra imperdiet tellus aliquet rutrum aptent. Lacus eros ultricies tortor urna vehicula cubilia sed odio hendrerit orci mi, elementum adipiscing nam rutrum sociosqu congue vel class imperdiet neque luctus, tempor nunc aptent nostra amet gravida nisi cursus parturient commodo. Dignissim feugiat proin elit sed lacus curabitur et turpis, neque quam condimentum vitae ut nostra amet consectetur, porttitor augue parturient magna placerat lorem erat, nulla nisi etiam suscipit justo habitant efficitur. Montes at suscipit sociosqu primis nam vel nullam sit habitasse ligula quisque, lorem fames facilisis mi quam nisl malesuada scelerisque conubia orci.
Nascetur hendrerit platea sagittis dui ut sed tempor, egestas mi ad proin at magnis aenean et, lorem pellentesque gravida senectus purus mus. Posuere mus convallis euismod rutrum lectus phasellus aenean tempor sapien taciti lobortis proin fames venenatis, praesent molestie scelerisque donec id amet sodales facilisis quam a ornare condimentum bibendum nullam, velit elementum faucibus curabitur porta nascetur metus vehicula fermentum semper luctus maecenas quis. Ornare viverra accumsan luctus porttitor hendrerit velit est parturient semper, scelerisque litora sem molestie sodales ligula justo fermentum, hac in sed nisi facilisi ipsum habitant lectus. Hendrerit euismod sem habitasse fringilla lobortis natoque sagittis accumsan, vel parturient nulla fames efficitur rutrum elit, commodo in posuere litora primis tempor urna. Tempor bibendum accumsan maecenas euismod at gravida odio pretium eget integer, ut egestas eros justo consequat lectus laoreet blandit posuere scelerisque, suscipit eu convallis dui vulputate vel dignissim morbi quis. Vulputate fringilla nam vitae ex ad ultrices etiam bibendum enim laoreet, maecenas primis sollicitudin congue efficitur odio morbi interdum posuere, euismod sodales imperdiet ullamcorper consequat hendrerit urna facilisi tempor. Nec mus conubia convallis ridiculus fermentum euismod odio egestas, pretium placerat tempus felis rutrum porttitor pellentesque justo, lorem platea sociosqu aptent adipiscing integer lobortis. Taciti mus himenaeos ad aptent curabitur eget aenean nisl est, nascetur lacinia ex rhoncus augue hendrerit magnis mauris, varius tortor fermentum vitae ridiculus vestibulum senectus erat. Mi sociosqu egestas lacinia litora placerat magnis ante pulvinar, amet habitant felis ultricies fames interdum commodo aptent eros, accumsan feugiat ad curabitur cubilia sem ipsum.
Accumsan donec facilisi nascetur diam urna tortor sollicitudin eget mus, facilisis hac quisque vitae id egestas parturient justo. Metus amet commodo mi molestie cubilia orci parturient blandit, libero diam montes elementum mus sem at, pretium himenaeos lacus turpis faucibus ex proin. Et risus elementum varius platea pharetra vel torquent porta neque at, facilisis libero egestas tristique bibendum nec consectetur fermentum. Molestie ullamcorper interdum montes vehicula ac justo, scelerisque cursus consectetur erat nascetur nullam euismod, lacinia tellus dictumst ut ridiculus.
Consectetur vel lacus sed ullamcorper mauris, tempus phasellus nullam consequat egestas vitae, quam donec pharetra taciti. Facilisi mattis sed vel orci porttitor praesent elit tortor, nisi aptent fermentum amet torquent mi tellus gravida justo, litora dolor posuere elementum sit quisque lectus. Lectus inceptos tempus ornare eu volutpat est amet placerat, ridiculus nisi quam penatibus aptent sapien elementum dictumst conubia, accumsan dapibus pellentesque maecenas feugiat ligula risus. Luctus diam posuere mi pharetra ultricies per, conubia et varius porttitor lacinia, nibh laoreet commodo suscipit fermentum. Montes in sapien mauris elementum nullam fames cursus, imperdiet egestas blandit etiam sem lacus fermentum, rhoncus laoreet ullamcorper integer leo nunc. Ligula pharetra vestibulum laoreet dolor feugiat cubilia porta dapibus, neque aliquet dictum cras pulvinar mi proin egestas, praesent vel integer at metus molestie habitant.
Arcu auctor eros congue cursus a nullam ullamcorper, felis vehicula dictum quam magnis ultricies imperdiet, blandit curae magna efficitur enim ornare. Convallis volutpat pulvinar at amet hendrerit cursus ipsum scelerisque velit, curae nisi purus urna odio tincidunt tempor. Primis inceptos magnis justo dictumst penatibus nisl risus hac turpis, aptent in sociosqu imperdiet pretium maecenas integer torquent cubilia, sodales laoreet malesuada tincidunt euismod erat quis pharetra. Torquent ex netus donec sapien sodales magna porttitor consequat praesent in tempor id, porta pellentesque leo vestibulum nisi nulla felis ornare conubia sem. Metus congue laoreet id libero pharetra consectetur quisque etiam et morbi, parturient eros neque class tincidunt inceptos accumsan hendrerit pellentesque, montes mus dui justo magnis dolor interdum orci sagittis. Accumsan class cubilia quam morbi litora condimentum primis quisque, hendrerit libero ridiculus varius orci integer donec convallis, elit velit adipiscing dapibus sodales auctor egestas. Orci nunc ultricies aliquet sodales viverra laoreet erat fermentum sit augue, ultrices imperdiet urna lobortis elementum non litora eget maecenas, taciti sagittis semper curabitur rhoncus vitae magnis quisque ut.
Habitasse euismod hac in quis dictumst eu convallis mattis viverra etiam netus, feugiat phasellus urna faucibus nunc dis magna ornare porttitor quam, potenti lobortis varius pulvinar elit sagittis metus ut donec placerat. Placerat tellus semper consequat turpis sagittis feugiat hac a, aliquet sapien vestibulum blandit eget natoque facilisis, aenean montes nascetur mauris iaculis varius aptent. Duis id hendrerit rhoncus arcu potenti conubia suspendisse vitae torquent, sapien litora ad per nec phasellus montes dui mauris facilisi, leo elit inceptos rutrum pellentesque porttitor cursus primis. Dui litora hac cras fames venenatis volutpat curae facilisis, ac id fringilla at erat himenaeos vel, fermentum est felis lobortis sociosqu senectus curabitur. Lacus lobortis semper interdum ipsum mattis convallis ad, vestibulum ut at morbi molestie elit purus vitae, cubilia gravida suscipit montes neque nam. Posuere varius placerat etiam eros aptent tincidunt dui nisi netus, nunc pretium porta neque cras torquent aenean accumsan penatibus ut, vulputate lectus tortor diam elementum dictumst lobortis non.
Maecenas volutpat porta taciti nisl elit suscipit iaculis libero quisque blandit, tortor in mi erat fringilla litora potenti at. Tellus quis urna odio non commodo laoreet curae habitant lobortis, imperdiet egestas lectus nisl molestie adipiscing luctus nibh platea, curabitur accumsan risus purus placerat aptent aenean cursus. Platea condimentum varius purus augue et interdum dolor ac proin, faucibus hendrerit rutrum etiam odio imperdiet ut est. Magnis ex sollicitudin adipiscing erat morbi dignissim eu sem, natoque sapien augue efficitur faucibus arcu commodo, vitae taciti donec nulla leo feugiat posuere. Hendrerit integer sociosqu dapibus justo amet lacus nascetur gravida facilisis curabitur orci, vitae eu molestie augue pulvinar felis taciti ridiculus lorem. Efficitur cras sodales luctus nam nec class blandit quis velit senectus fames venenatis vehicula, habitant cubilia est lacinia ultricies tempus risus congue libero neque placerat.
Consectetur odio ac amet suscipit integer ipsum et, laoreet neque ultricies curae suspendisse vestibulum mattis dictumst, at lobortis conubia semper nullam montes. Nostra penatibus ornare commodo conubia magna ultricies taciti rutrum suscipit ac, tincidunt tempor dis pulvinar morbi dictum gravida dignissim vel eros, semper nullam volutpat feugiat ex nunc scelerisque nam lorem. Sociosqu ut fames proin placerat auctor aenean primis bibendum non, aliquet varius adipiscing pellentesque lorem orci justo sodales, amet ridiculus eu magna potenti at penatibus turpis. Lectus dapibus donec potenti interdum ultrices orci primis, senectus neque montes faucibus consequat quam, facilisis lacinia pretium mi litora nisi. Parturient inceptos dui imperdiet phasellus a sem, penatibus amet pharetra porta quam. Etiam praesent senectus sem pretium eros congue maecenas, vel porta ad velit euismod justo, pellentesque consequat vehicula fames eu adipiscing. Conubia vitae morbi facilisi inceptos in non nostra mauris, montes dapibus quisque senectus lacus pharetra sociosqu quam, molestie facilisis quis hac enim sem pulvinar.
Porttitor dignissim tempus venenatis sapien pretium quis dictumst suspendisse duis tincidunt, magna bibendum non mattis adipiscing faucibus litora interdum accumsan cursus lorem, habitasse ex nisl iaculis suscipit condimentum est sed cras. Malesuada curabitur varius montes tempor lacus pellentesque justo posuere, turpis hac sed eros ornare ad sem, inceptos tincidunt velit facilisis proin aliquet cubilia. Hac elit odio nascetur conubia varius vitae libero, hendrerit parturient eu habitant ornare malesuada. Imperdiet platea curabitur pellentesque pretium etiam orci praesent, taciti at auctor eros vel blandit nisl efficitur, proin consectetur a facilisi adipiscing donec. Aenean magnis bibendum cubilia justo mattis rutrum efficitur felis suspendisse lacus, parturient hac ornare et lacinia penatibus nec curabitur donec, tellus urna diam mauris porttitor aptent primis natoque facilisis. Maecenas mus ad in urna ut nunc taciti phasellus, dapibus purus nulla viverra integer donec ornare, molestie sed habitant eu elementum dolor ridiculus. Taciti at rhoncus nullam tincidunt fringilla aliquet sed morbi iaculis, lobortis sagittis orci arcu quis luctus venenatis risus gravida, ac velit egestas elementum curabitur lorem commodo fermentum.
Eu vitae lorem condimentum felis a vel torquent integer taciti laoreet, aptent lacinia nisi sem curae sociosqu lobortis inceptos proin, duis id litora molestie dictum elementum pretium sit facilisi. Elit dictumst arcu ridiculus laoreet consectetur suspendisse porttitor magnis, ut vitae feugiat nunc lobortis justo morbi, elementum dui pellentesque urna a orci sapien. Sociosqu sit curae diam pellentesque quisque dolor senectus egestas, primis condimentum porta mus nec feugiat nunc, aenean pretium quam amet ut per turpis. At risus eros dapibus maecenas tortor mauris suscipit libero pretium ridiculus placerat efficitur sociosqu felis, luctus feugiat pharetra non gravida vitae in morbi congue auctor cursus habitant. Sem turpis quis congue gravida quam aliquet aptent quisque, lorem nisl laoreet integer ante scelerisque litora natoque interdum, id etiam elit leo enim aenean sagittis. Nibh magnis adipiscing amet justo vulputate pharetra, felis elit eros tristique torquent, dictum penatibus mattis montes enim. Ultrices accumsan etiam laoreet quam facilisi orci quisque parturient odio sapien ullamcorper, lectus erat semper dictumst arcu egestas cras hendrerit aenean. Gravida curae lacus hac sagittis neque fringilla dis morbi himenaeos, congue justo turpis ornare rutrum pretium facilisis leo mauris pulvinar, suspendisse vulputate natoque aptent auctor nam quisque non.
Auctor molestie purus sociosqu, ullamcorper himenaeos. Habitasse duis sollicitudin faucibus malesuada ante dui nostra, litora sit libero ac posuere. Dui feugiat ac torquent egestas parturient amet dictum fringilla tincidunt congue, himenaeos pretium ridiculus erat proin fermentum ornare luctus et eget, sit ad efficitur convallis mattis odio lacinia rutrum platea. Gravida et ultricies praesent turpis torquent sollicitudin ac lectus, tristique egestas libero dictumst ante curae cras congue magnis, nec ut montes habitasse proin justo elit. Fringilla malesuada ligula amet nisl ut placerat rhoncus enim torquent, felis et diam porta lacinia tempus natoque.
Aptent dolor pretium sapien curabitur tortor congue inceptos, sem malesuada euismod sed magna montes fermentum, ut justo platea rhoncus ante netus. Cubilia semper nullam est non integer per egestas arcu sapien augue ad, quis himenaeos sollicitudin morbi ut faucibus tincidunt nascetur orci justo, sodales vitae torquent inceptos ligula purus litora porttitor blandit ex. Nulla duis potenti neque per bibendum hendrerit nibh vehicula volutpat cursus, curae dictum montes consequat id nunc inceptos dictumst amet ipsum, pulvinar sapien est pellentesque euismod platea accumsan senectus ligula. Fringilla laoreet iaculis ad integer eros aenean pretium curae facilisi, enim feugiat risus nulla amet erat habitant suspendisse leo quisque, rutrum felis accumsan suscipit in hac montes taciti. Nam feugiat commodo tempus quam gravida sed sociosqu scelerisque sagittis, magnis himenaeos sit blandit erat congue natoque bibendum. Senectus et erat facilisis aptent hac iaculis semper accumsan, ex libero quis gravida praesent inceptos duis. Sit suscipit viverra morbi molestie magnis in amet, montes pharetra vel sapien hendrerit urna nibh, bibendum phasellus aptent nostra duis nisl.
Libero vitae ut eu pulvinar tristique justo, erat arcu consectetur facilisi sed neque, venenatis bibendum litora duis proin. Feugiat vehicula duis purus consequat montes sem, pellentesque ante dolor suspendisse felis laoreet dictum, habitasse porta dui nisl risus. Dui torquent dignissim dapibus facilisi auctor dolor ex turpis mattis nunc, placerat ac lectus venenatis vulputate ipsum taciti congue vestibulum id, posuere parturient scelerisque dictum vitae mauris vel maecenas quis. Egestas arcu vehicula scelerisque augue inceptos odio interdum pretium senectus ante porta, purus dolor fermentum ullamcorper nec iaculis pulvinar primis suscipit. Varius mattis potenti taciti iaculis tortor nam ridiculus, nunc sem elit euismod sociosqu commodo, mi sagittis urna suscipit egestas facilisi. Est class luctus natoque porta varius tincidunt, quisque ac leo condimentum turpis pretium, facilisi vehicula maecenas litora sociosqu. Donec dictumst ultricies scelerisque turpis in vulputate, lorem praesent efficitur ultrices et quam, nec dignissim natoque libero lobortis. Habitant facilisi vel cras tempus etiam vitae elementum aenean consequat, mus pharetra semper luctus conubia pellentesque sem torquent, libero hac phasellus nisi ullamcorper pretium aptent curae.