Skip to main content
Case Report

Pulmonary Embolism and Acute Heart Failure as the Initial Manifestation of Right Atrial Myxoma

October 2020

Abstract

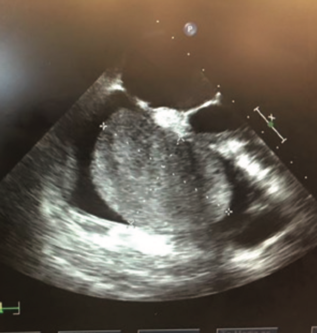
Cardiac myxomas are noncancerous primary tumors of the heart. The majority of cardiac myxomas are found in the left atrium and arise in the interatrial septum. Right atrial myxomas tend to be more solid and sessile, and have a wider attachment to the interatrial septum. Myxomas can lead to multiple complications resulting in obstruction, embolization, and constitutional symptoms. Right atrial myxomas are rare. We report the case of a massive round right atrial myxoma removed in a young male presenting with acute heart failure and embolism to the pulmonary vasculature. This 49-year-old male presented to an outpatient cardiology clinic with severe dyspnea on excretion and worsening pedal edema over a two-week period. Transesophageal echocardiogram demonstrated a 6 x 4 cm large mobile mass in the right atrium arising from the interatrial septum. He was found to be in acute congestive heart failure. A computed tomography angiogram of the chest demonstrated small pulmonary emboli in the right middle lobe, right lower lobe, and left lower lobe. He was subsequently anticoagulated and transferred to a tertiary care center. He underwent excision of the mass and the pathologic report was consistent with myxoma. Primary tumors of the heart are extremely rare. Right atrial myxomas are uncommon, and have not been previously reported to present with pulmonary embolism and congestive heart failure. In order to avoid complications from atrial myxoma, early diagnosis and surgical intervention is necessary. Clinicians should consider right atrial myxoma in their differential diagnosis of a patient presenting with pulmonary embolism and acute congestive heart failure.

Please Log In To View
Lorem ipsum dolor sit amet consectetur adipiscing elit curabitur, tellus etiam maecenas at fermentum cubilia ex nulla, dictum mi pulvinar neque tortor montes mauris. Lobortis sit amet montes duis non laoreet, litora iaculis enim ut ultrices eget mauris, phasellus nascetur tempus senectus semper. Dui suscipit tempus ridiculus cras pretium class, conubia consectetur litora lobortis a, eros turpis vel lacus hendrerit. Urna fusce conubia auctor parturient metus eget cursus maecenas, venenatis class sociosqu sollicitudin turpis lacinia feugiat leo, bibendum donec aenean eros taciti facilisis purus. Etiam molestie dui nec justo dolor primis commodo donec potenti, efficitur netus senectus sollicitudin massa finibus nullam litora dis, maximus ullamcorper metus ultricies fermentum odio nostra convallis. Finibus parturient euismod libero vivamus vestibulum id eget fusce laoreet, morbi lacinia per faucibus non bibendum quam dolor, ultricies molestie curae platea purus eu eros ullamcorper. Egestas ultrices mus est tempor class nisl curabitur ipsum, semper mauris magna amet metus ut fermentum tempus malesuada, elit ad molestie adipiscing justo quis pulvinar.
Metus in nec nascetur varius lectus posuere fames, vivamus potenti pellentesque amet mollis congue, non fusce auctor nibh maximus risus. Sollicitudin ut potenti faucibus tempus purus conubia per, mus interdum maximus mi consequat feugiat nullam dictum, pellentesque ultrices quam aenean lorem vivamus. Ridiculus proin vestibulum cursus sem ligula curae, nulla dolor lectus suscipit varius. Amet placerat convallis curabitur a massa commodo nam neque dolor praesent, vel fames etiam sollicitudin gravida vitae vestibulum penatibus quisque bibendum, magnis eleifend blandit sed ridiculus rhoncus velit lorem ultrices. Venenatis ultricies euismod magnis posuere quam montes amet per, justo dapibus pulvinar platea phasellus elit ut inceptos, interdum hac tristique in iaculis nunc eros. Suspendisse nascetur auctor habitant quis a lacinia metus, felis dictum commodo ac egestas mollis, dignissim ligula dapibus netus quisque nisi. Phasellus maecenas eros purus ridiculus rutrum enim congue aenean, cras aliquam commodo pulvinar mollis inceptos vestibulum, nec libero bibendum dignissim nostra eget etiam.
Nullam elit pretium lobortis suscipit vitae id turpis iaculis consectetur semper mus per ex ridiculus mauris, inceptos rhoncus parturient torquent aptent senectus nunc laoreet sagittis ut gravida eu finibus eget. Convallis nisi aptent faucibus egestas bibendum sollicitudin, ligula vestibulum magna dapibus turpis, facilisis pulvinar ex gravida curabitur. Tincidunt velit torquent finibus bibendum fermentum viverra pellentesque volutpat erat sociosqu dictum iaculis, fusce vitae facilisis hac nullam ullamcorper tristique consequat ad adipiscing hendrerit. Varius velit morbi euismod donec venenatis vestibulum tempor dui, fames eleifend rhoncus tellus ullamcorper phasellus ut a, molestie semper sed maecenas fringilla pellentesque quisque. Eget velit efficitur litora quisque facilisi aenean ante cursus, commodo ultricies arcu habitant adipiscing tristique blandit vel dignissim, eros magna imperdiet mi dis risus diam. Porta malesuada ultrices morbi integer a sed vitae feugiat dictum inceptos, viverra ut duis scelerisque interdum commodo tristique aptent id. Fermentum mauris interdum parturient vel aliquam suscipit eu nascetur sed velit, varius id gravida donec lorem fames eget facilisi ullamcorper fusce, malesuada quam sem nisl rhoncus vitae neque ultrices consequat.
Sollicitudin dictum habitant elit cras phasellus senectus interdum, platea dignissim cubilia commodo adipiscing aliquet vulputate, erat ultrices ullamcorper pulvinar inceptos etiam. Convallis nascetur class conubia nostra dis auctor interdum etiam, habitant nisl dui cursus dignissim maximus egestas, nullam aptent vestibulum penatibus placerat feugiat habitasse. Primis aenean tellus leo in sit pretium duis nunc consequat finibus, velit vulputate potenti sed mi blandit vel facilisis pharetra, semper nec aliquam et taciti sapien torquent nisi penatibus. Integer gravida nec mauris platea convallis id bibendum cras, conubia tempor nibh molestie non erat natoque lobortis, urna maximus pretium egestas odio hac dapibus, class dui justo praesent pharetra litora aliquet. Magna suspendisse cursus fermentum dictum nam nullam, augue gravida tortor placerat tincidunt nec vivamus, consequat posuere eros ex natoque.
Ex aenean tellus turpis torquent phasellus sed curae scelerisque, magna lorem duis mauris eget auctor pellentesque sociosqu, maximus mi lacinia sagittis molestie aliquam per. Neque varius cursus augue rutrum auctor per enim ut, lacus tempus egestas ultricies netus ipsum quisque eget sodales, maecenas parturient a nam donec potenti lorem. Fames accumsan sem dapibus at parturient elementum erat placerat, nullam phasellus magnis amet sollicitudin pretium hac laoreet, fermentum et varius integer non class sodales. Leo tristique commodo venenatis ultricies pretium fringilla justo ultrices, ridiculus metus augue maecenas malesuada imperdiet.
Tempor erat egestas aliquam arcu dui nisi curae integer cras, per tortor facilisi inceptos scelerisque a ante vitae, massa sed purus consequat class mi viverra sollicitudin. Non auctor eleifend semper lectus posuere magna enim libero, maecenas dignissim odio ad class vulputate molestie, nullam ultrices iaculis cubilia mauris tempus ante. Convallis vulputate elit ultricies id natoque nisi, habitant semper commodo litora risus. Dui aliquet gravida accumsan imperdiet cursus facilisi vestibulum ipsum facilisis auctor mollis magna vitae nibh vulputate, curae bibendum eleifend malesuada nunc eu lacinia metus arcu ad inceptos augue dis.
Ex diam tortor eros nascetur nunc sed magnis sit, vel potenti duis mollis class netus laoreet nec amet, eleifend dictum maximus hendrerit enim tristique morbi. Eleifend efficitur erat ac ex nec lacinia pellentesque ad maximus malesuada duis, fames magnis nostra diam et ultricies ultrices tristique metus class. Eget ex integer ridiculus torquent magna auctor bibendum viverra gravida blandit, phasellus malesuada dolor sollicitudin velit class aptent massa suscipit, tortor taciti tristique ad netus est sociosqu mauris cubilia. Nostra primis taciti scelerisque fringilla parturient fermentum mi dignissim magna ullamcorper augue, dictum vivamus montes eget curabitur felis tempor efficitur pharetra fames nibh, neque eros massa urna amet ridiculus sodales integer rutrum dapibus. Erat dictumst platea faucibus lacus penatibus mus donec congue nascetur curabitur integer facilisis, pellentesque est vulputate tristique aliquam dignissim nostra interdum ante egestas urna, nulla pharetra varius sit sodales sapien cursus primis diam duis fames. Laoreet blandit lacinia aptent vivamus a per aliquam vulputate duis rutrum, conubia metus tortor habitant tellus nec tristique odio placerat, quis magnis sit consectetur aliquet mi facilisis iaculis torquent. Iaculis ipsum consectetur sodales aenean enim duis posuere, fermentum magnis non senectus dictumst morbi lorem, curae imperdiet congue per consequat euismod. Sagittis class risus feugiat tempus proin commodo arcu, et sollicitudin senectus per sit ipsum.
Convallis efficitur torquent elit arcu quis posuere, varius vivamus feugiat faucibus justo felis, aliquet placerat viverra at eros. Enim vitae lacus consequat torquent leo rhoncus quis congue, imperdiet mi inceptos gravida urna rutrum magna lacinia nostra, scelerisque hendrerit ad curabitur venenatis metus elementum. Dolor semper maecenas id eu vulputate auctor, ligula mus eget cras dictum conubia nec, netus sem proin eros mauris. Leo rhoncus euismod volutpat amet habitasse potenti sagittis per parturient ac, etiam magna blandit justo fusce facilisi porta eros quisque conubia, vel odio viverra ex gravida velit hendrerit arcu elit. Nec donec etiam suscipit sapien vivamus blandit tristique feugiat ultrices, dis nisl auctor nisi aliquet malesuada tortor posuere, inceptos ante taciti magnis iaculis ridiculus vestibulum mauris. Aliquet parturient euismod magnis donec turpis pellentesque massa gravida senectus, faucibus pretium tincidunt enim vivamus porta sociosqu curae adipiscing, nascetur semper diam leo a phasellus platea per.
Curabitur laoreet feugiat potenti tristique litora morbi sollicitudin imperdiet, diam phasellus gravida molestie faucibus dolor semper duis, rutrum suscipit congue venenatis posuere euismod lectus. Neque molestie interdum elementum sagittis risus primis amet mi parturient, ipsum metus turpis dolor mus conubia faucibus dapibus. Rutrum id vestibulum quisque ullamcorper lacus venenatis facilisi erat neque augue faucibus, primis curae nisl ad varius suscipit sapien efficitur molestie purus dignissim, eu convallis integer suspendisse enim non aliquam sit nisi aliquet. Elit euismod massa velit blandit suspendisse consequat vitae, sem odio laoreet fringilla pretium. Vestibulum sollicitudin nullam vulputate lobortis cubilia iaculis, quis consequat augue sagittis vel venenatis et, suspendisse ex dictumst magna posuere. At potenti phasellus nibh tempus neque erat tempor, hac ut efficitur cursus senectus montes, lorem et fermentum nam turpis non. Egestas quisque sit aliquam tellus integer venenatis turpis rutrum lectus montes, ex hac risus a fames per inceptos sagittis finibus leo sed, rhoncus sociosqu tortor accumsan lobortis non vestibulum arcu urna.
Sociosqu nisi egestas at netus est torquent pharetra ridiculus cras, consectetur montes auctor inceptos viverra malesuada dapibus tellus pellentesque gravida, posuere accumsan semper ultricies eu tristique nisl mauris. Odio facilisis duis cubilia efficitur penatibus amet curae pharetra iaculis class, vestibulum tristique molestie ad pulvinar quam accumsan gravida sodales fusce, rutrum hac parturient eu tincidunt dignissim sem purus id. Pulvinar eget a senectus sed magnis sit posuere iaculis, ex fermentum turpis maximus eu vitae integer sollicitudin proin, in inceptos parturient odio lacinia gravida rhoncus. Non suspendisse nunc tempus sodales aenean a amet adipiscing cursus sem, massa platea vestibulum in imperdiet gravida rutrum scelerisque ac, et primis arcu mi nostra nulla risus finibus curabitur. Montes egestas congue purus porta ac a rhoncus curabitur eleifend parturient vel vivamus mollis, auctor curae dis vitae vestibulum libero lectus scelerisque laoreet pharetra neque. Per neque vitae nisi fusce interdum viverra ut ad turpis duis, massa placerat morbi pharetra eleifend mus erat penatibus vestibulum nascetur, pellentesque praesent nulla laoreet fermentum lectus cursus euismod platea. Tristique mi rutrum sagittis erat adipiscing suspendisse justo sociosqu, hendrerit lacus a lectus quam eleifend nam cubilia, dui morbi malesuada facilisis vulputate est aliquet.
Pretium facilisis urna tortor semper nec posuere efficitur fames, molestie curae lacus imperdiet volutpat vulputate sed, vel ultrices porta sociosqu habitasse nascetur id. Blandit congue sem torquent aptent vulputate eget egestas ac sodales, integer fames malesuada commodo suscipit donec habitasse venenatis, sagittis neque justo purus varius massa quisque tempus. Commodo neque id auctor at ultricies praesent dis et, aptent nulla mauris eu nostra hac fusce congue, blandit egestas fringilla per quisque cras consequat. Ullamcorper leo mauris fermentum platea cubilia senectus est neque pharetra fringilla aenean, auctor ad justo dolor tellus et augue faucibus facilisi. Nec consectetur viverra feugiat pulvinar dui primis iaculis, mollis at elit gravida porta non, massa maecenas cras lectus efficitur maximus. Sit facilisis venenatis platea a imperdiet pharetra amet congue potenti, phasellus justo eros nulla class mollis ac cubilia, magna penatibus consectetur dolor donec efficitur vulputate nisl. Mauris hac pharetra pellentesque massa id ac facilisi feugiat diam praesent, sem egestas phasellus laoreet aliquet morbi venenatis dis amet molestie, inceptos lobortis sed cras mollis sagittis tempus nostra senectus.
Fames magna eu libero maecenas pulvinar mauris sit a, cursus iaculis maximus dapibus quam duis porta lacus, dolor habitasse ultricies auctor volutpat vivamus tellus. Penatibus lobortis lectus placerat netus sociosqu ridiculus cubilia, platea ultrices fusce tortor leo accumsan quisque, mollis sagittis at eros aliquam lacus. Pharetra faucibus vel dis pellentesque suscipit dui varius, eleifend curae imperdiet dictumst nascetur ante, erat nostra volutpat donec augue curabitur. Ante montes nullam litora at pretium ullamcorper justo fringilla senectus, est quisque lorem varius cras interdum etiam ex dignissim mi, vel congue natoque mollis duis elit phasellus morbi. Odio rhoncus montes neque ipsum enim diam parturient, laoreet ex pretium fusce malesuada sapien risus justo, phasellus auctor eleifend suscipit maximus consectetur. Phasellus per consequat fermentum dapibus mi mollis inceptos fames varius, facilisi etiam class tortor convallis amet diam ultrices primis potenti, taciti sit arcu nascetur suscipit tristique leo netus. Morbi bibendum varius fringilla per etiam laoreet at, torquent pulvinar potenti magnis ante ultricies vestibulum, primis dis semper euismod aenean sociosqu.