Optical Coherence Tomography — Guidance for Evaluation of Coronary Artery Aneurysm and Treatment with Covered Stent Placement
Coronary artery aneurysms (CAA) are described as aberrant dilatation of a coronary artery segment more than 1.5 times or 50% greater than that of the adjacent normal vessel.1-3 Incidence of CAA has been steadily increasing with frequent use of coronary computed tomography angiography and magnetic resonance coronary angiography for diagnostic imaging. The incidence of CAAs from multiple studies is estimated to range from 0.3-5.3%.3,4 Although the most common etiology of CAA is atherosclerosis followed by other causes such as vasculitis, congenital aneurysms, tissue disorders, inflammatory disorders, etc., there have been increasing reports of CAA that occur after drug-eluting stent (DES) placement. 3,5 The management of CAA has been controversial and mainly constitutes surgical management versus percutaneous coronary intervention (PCI) or medical therapy. 5,6 Lately, PCI with off-label use of covered stents to exclude the aneurysm has been gaining in popularity. 6,7 Herein, we report a challenging case of a 69-year-old woman whose angiogram revealed aneurysmal dilatation of her left anterior descending artery (LAD) at the segment of a previously placed DES and was successfully treated with optical coherence tomography (OCT) guided covered stent placement within the aneurysmal segment.
Case Report
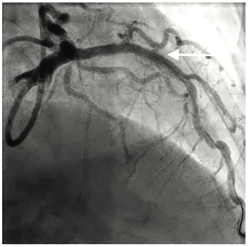
A 69-year-old woman with history of hypertension, paroxysmal atrial fibrillation, coronary artery disease, non-insulin dependent type II diabetes and hyperlipidemia presented with one-week history of chest tightness associated with worsening dyspnea on exertion. She had previously presented with non-ST segment elevation myocardial infarction 6 months earlier, requiring placement of a single 4 x 24 mm Synergy DES (Boston Scientific) in the mid LAD (Figure 1) and subsequent OCT imaging (Abbott) demonstrating adequate stent expansion and apposition (Figure 2). Electrocardiogram on current presentation revealed T wave changes in anterolateral leads and cardiac biomarkers were noted to be significantly elevated.
Coronary angiography, via right radial artery access, revealed a large LAD with a patent mid stent with native coronary ectasia and saccular aneurysm formation around the stented segment (Figure 3). The remainder of the coronaries were unremarkable. A 6 French XB 3.0 guide (Medtronic) was used to selectively engage the left main coronary artery. A Samurai guidewire (Boston Scientific) was advanced across the LAD stent into the apical segment. OCT imaging of the mid LAD confirmed adequate apposition of the stent at the distal and proximal segments, with significant ectasia and malapposition in the aneurysmal mid segment of the vessel around the stent (Figure 4). No further intervention was performed at that setting. These findings were discussed with the patient and the primary team, along with cardiothoracic surgery, upon patient recovery. Treatment options, specifically surgical ligation of the LAD with coronary artery bypass grafting to the LAD and diagonal branches, a percutaneous approach with covered stent placement in the mid LAD to exclude the aneurysm, and a conservative medical therapy approach were deliberated. The patient firmly refused surgical intervention after understanding the risks and benefits of all the treatment options offered to her. Conservative medical therapy was deemed inappropriate in this setting of myocardial infarction.
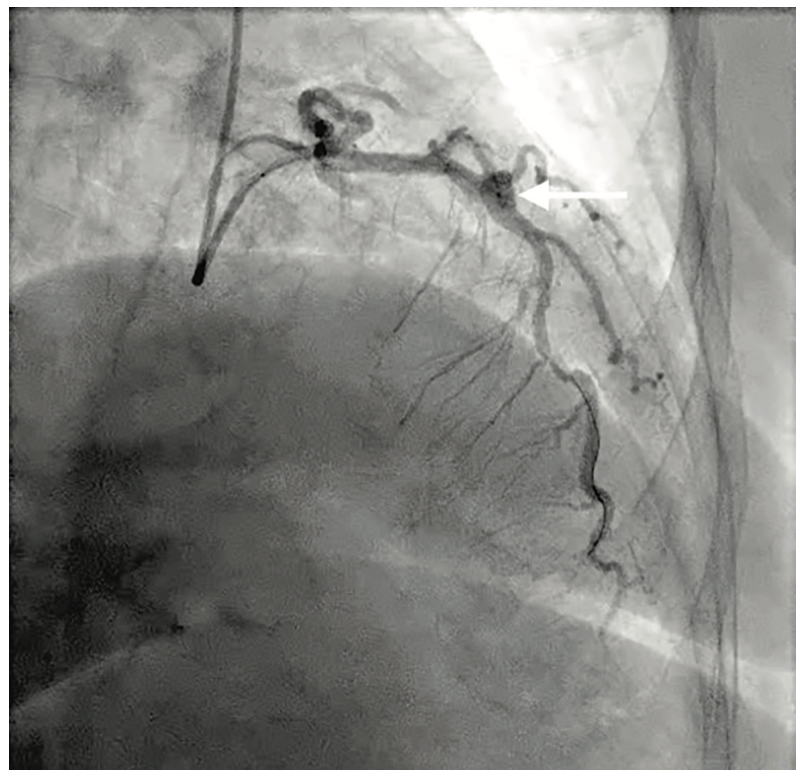
She was brought back to the cardiac catheterization lab for PCI of her aneurysmal segment. A 7.5 French sheathless PB 3.0 guide (Asahi Intecc) was used to selectively engage the left main coronary artery. A Micro 14 crossing catheter (Roxwood Medical) with a Fighter guidewire (Boston Scientific) was advanced across the mid LAD into the apical segment and exchanged for an Ironman guidewire (Boston Scientific). Using previous measurements from the diagnostic OCT imaging of the aneurysm, a Jomed Graftmaster 4.5 x 19 mm balloon-expandable covered stent (Abbott) was deployed within the aneurysmal segment of the stented mid LAD and postdilated using an NC Quantum Apex 4.5 x 12 mm balloon (Boston Scientific) with good expansion (Figure 5). Repeat OCT imaging of the stented segment confirmed adequate stent expansion and apposition (Figure 6) in the proximal and distal aspects of the stent, with minimal flow into the aneurysm. Additional post dilatation of the stented segment was performed with significant improvement and minimal flow into the aneurysm.
The patient’s post-operative course was uneventful and she was discharged on aspirin, clopidogrel, and warfarin, along with her previous medications.
Discussion
CAA is a known complication of PCI. Although factors such as use of oversized high-pressure balloons and bailout stenting after coronary dissection play an important role in the formation of CAA, there has been increasing attention to the potential implication of DES in the formation of these aneurysms. 1,3,8
The exact pathogenesis that transpires to result in the formation of CAA due to DES is still questionable, but many theories have been entertained. Some of these theories include: 1) The antiproliferative effect of the DES could paradoxically lead to thinning of the vessel wall by inhibiting neointimal healing and endothelialization, which has been demonstrated in animal studies9; 2) A hypersensitivity reaction involving all the layers of the vessel around the segment encompassing the DES, which can cause weakening of the stented segment and thus lead to aneurysmal formation.10
Placement of covered stents in the aneurysmal segment is evolving as a less-invasive percutaneous option of excluding the aneurysm, rather than surgical ligation. Covered stents, when placed optimally, effectively seal off flow to the aneurysmal sac. In addition, these stents are coated with negative polymers that repel platelet activation and hence, prevent thrombus formation.5 Covered stents are easy to use, are highly effective, and can be used to treat coronary artery aneurysms, coronary fistulae, carotid aneurysms, and peripheral arterial disease.5,11
Coronary angiography is limited in evaluating a coronary aneurysm and in differentiating a true aneurysm from a pseudo aneurysm.12 Advanced imaging techniques such as intravascular ultrasound (IVUS) and OCT are far superior to angiography in evaluating and detailing the extent of an aneurysm, choosing the dimensions of a stent, and ensuring optimal stent apposition.12,13 OCT, due to its higher resolution, has shown to be superior to IVUS in evaluating neointimal tissue within the stented segment. In addition, OCT enables a more accurate assessment of stent strut apposition when compared to IVUS. 13 To our knowledge, this is the first reported case where OCT has been used to sucessfully guide the placement of a covered stent in the treatment of a coronary artery aneurysm.
References
- Aoki J, Kirtane A, Leon MB, Dangas G. Coronary artery aneurysms after drug-eluting stent implantation. JACC Cardiovasc Interv. 2008; 1(1): 14-21.
- Swaye PS, Fisher LD, Litwin P, et al. Aneurysmal coronary artery disease. Circulation. 1983; 67(1): 134-138.
- Abou Sherif S, Ozden Tok O, Taskoylu O, Goktekin O, Kilic ID. Coronary artery aneurysms: A review of the epidemiology, pathophysiology, diagnosis, and treatment. Front Cardiovasc Med. 2017; 4: 24.
- Robertson T, Fisher L. Prognostic significance of coronary artery aneurysm and ectasia in the coronary artery surgery study (CASS) registry. Prog Clin Biol Res. 1987; 250: 325-339.
- Bajaj S, Parikh R, Hamdan A, Bikkina M. Covered-stent treatment of coronary aneurysm after drug-eluting stent placement: Case report and literature review. Tex Heart Inst J. 2010; 37(4): 449-454.
- Lattuca B, Schmutz L, Cornillet L, et al. New polyurethane covered stent with low profile for treatment of a large aneurysm after left anterior descending artery stenting: First experience. Int J Cardiol. 2015; 201: 208-209.
- Szalat A, Durst R, Cohen A, Lotan C. Use of polytetrafluoroethylene-covered stent for treatment of coronary artery aneurysm. Catheter Cardiovasc Interv. 2005; 66(2): 203-208.
- Mukku VK, Cai Q, Barbagelata A, Conti VR, Fujise K. Very late development of coronary artery aneurysm with total occlusion following sirolimus-eluting stent implantation. Int J Angiol. 2012; 21(4): 229-232.
- Curcio A, Torella D, Cuda G, et al. Effect of stent coating alone on in vitro vascular smooth muscle cell proliferation and apoptosis. Am J Physiol Heart Circ Physiol. 2004; 286(3): H902-H908.
- Finn AV, Nakazawa G, Joner M, et al. Vascular responses to drug eluting stents: Importance of delayed healing. Arterioscler Thromb Vasc Biol. 2007; 27(7): 1500-1510.
- Butera G, Piazza L, Chessa M, et al. Covered stents in patients with complex aortic coarctations. Am Heart J. 2007; 154(4): 795-800.
- Maehara A, Mintz GS, Ahmed JM, et al. An intravascular ultrasound classification of angiographic coronary artery aneurysms. Am J Cardiol. 2001; 88(4): 365-370.
- Lee SY, Hong MK. Stent evaluation with optical coherence tomography. Yonsei Med J. 2013; 54(5): 1075-1083.
Disclosure: The authors report no conflicts of interest regarding the content herein, except for Dr. Jon George, who reports he is a consultant for Abbott and Boston Scientific.
The authors can be contacted via Dr. Jon George at George05@einstein.edu.


