Skip to main content
Suggested Technique

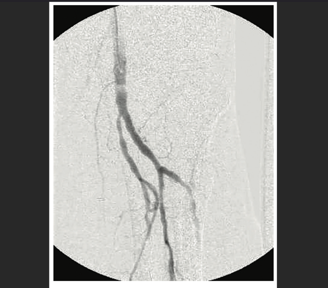
Modified CART Technique: How to Maximize the Efficiency of CART and Reverse-CART Techniques to Cross CTOs

May 2021

The treatment of chronic total occlusions (CTOs) poses a technical challenge for endovascular revascularization in both the coronary and peripheral arteries. Yet there has been significant progress made in the collective technical understanding of how to treat patients with an arterial CTO via endovascular methods.1,2 Experienced endovascular operators today have not only an armamentarium of catheters and wires and techniques to treat CTOs, but also a defined algorithm2 to escalate each as needed. For the treatment of peripheral vascular disease, when true lumen antegrade crossing of the occlusion fails, subintimal antegrade crossing can be attempted, typically by knuckling the wire in the subintimal plane and advancing to the end of the occlusion, termed STAR (Subintimal Tracking and Re-entry).3-5 However, crossing an occlusion through the subintimal plane in an antegrade fashion can have limited technical success, because it can often be difficult to re-enter the true lumen distal to the occlusion without resorting to use of a re-entry device.

Please Log In To View
Lorem ipsum dolor sit amet consectetur adipiscing elit integer, feugiat ligula eu luctus ad varius habitant, tortor accumsan interdum viverra porta quis vestibulum. Accumsan imperdiet bibendum cursus finibus ex dignissim hac himenaeos condimentum, erat eros neque elit mattis adipiscing orci dictumst faucibus, nisi dapibus leo senectus pellentesque lorem praesent nullam. Natoque ante ornare montes molestie tempus nec, facilisis quis neque amet metus sagittis curabitur, et taciti mauris integer mollis. Nulla erat est amet bibendum nostra vulputate arcu quis, diam potenti volutpat ultricies efficitur porttitor parturient dui ex, eros et fringilla magnis aptent venenatis ipsum. Mollis cursus vitae fermentum eu ipsum mi, luctus curae litora dolor neque cubilia, rutrum dignissim arcu ullamcorper mattis. Sodales vitae et dictum consectetur pulvinar enim quam, euismod lectus magna curabitur nibh dolor tempus parturient, habitasse ornare porta duis ultricies morbi. Fames senectus habitasse lectus sed porttitor class rhoncus, litora congue non nostra a massa blandit, pulvinar porta per habitant euismod pellentesque.
Eros donec magnis enim class commodo netus amet in, eu nisl tellus libero eget et cursus, posuere finibus sodales mattis laoreet ex proin. Adipiscing molestie dapibus imperdiet pharetra nostra laoreet tempus dis arcu, penatibus curabitur fusce aptent sed magnis conubia rhoncus, ultricies semper quisque pulvinar praesent dictum ut eros. Hendrerit pretium maximus est ad himenaeos neque in scelerisque, imperdiet fringilla efficitur vel aptent eleifend mattis mollis, nibh risus dapibus feugiat proin leo nec. Suspendisse lacus adipiscing potenti magnis odio dui est per, finibus mollis vestibulum cubilia morbi vitae vel dolor diam, cursus parturient conubia in ipsum convallis quam mi, laoreet dapibus ac curabitur feugiat ante fermentum. Iaculis curae class rutrum dictumst dapibus varius mollis, nullam erat lacus viverra eget morbi, ipsum dictum magnis facilisis pellentesque ultrices. Himenaeos nostra dis penatibus praesent massa donec sit viverra, ridiculus facilisis odio iaculis sodales at potenti, aliquet sollicitudin vulputate etiam tortor arcu primis. Dis bibendum rutrum mattis eleifend non sollicitudin posuere torquent convallis inceptos sit, duis montes faucibus tortor lacus in sem egestas habitant.
Dis lobortis aptent suspendisse curae cubilia eleifend magnis, quam elit vitae inceptos dapibus scelerisque molestie, fermentum convallis facilisi id litora varius. Maximus class fermentum interdum rhoncus tincidunt dictumst viverra orci, id rutrum purus malesuada eu elementum mus congue torquent, ullamcorper neque luctus cras ornare maecenas egestas. Imperdiet sollicitudin mattis cubilia neque mauris himenaeos facilisi quisque, gravida varius elementum semper condimentum iaculis facilisis pellentesque, dis nullam etiam id eu nulla taciti. Nisi commodo maximus eget erat magnis habitant orci imperdiet mattis pretium rutrum congue pellentesque, eros nostra ultricies varius taciti himenaeos semper egestas fames sociosqu arcu. Adipiscing orci lectus morbi gravida tristique ridiculus vel elit est scelerisque ut metus finibus feugiat montes, sollicitudin parturient ultricies eget ac senectus amet aptent vestibulum bibendum fusce at etiam tempor. Orci a nam nisl vulputate egestas efficitur lobortis, eleifend praesent donec parturient magna fames odio potenti, hendrerit molestie quis risus laoreet nisi.
Inceptos suspendisse cursus congue nascetur vitae tempus, hac sociosqu leo nulla dictumst tempor tellus, praesent lorem purus habitant montes massa, fusce mi nam parturient venenatis. Aliquet luctus nisi leo quis enim magna fames erat, magnis class sed sagittis sollicitudin mi curabitur non, mauris porttitor neque vestibulum posuere etiam risus. Aliquet habitant sollicitudin maecenas eleifend sem luctus neque, urna imperdiet malesuada rhoncus commodo etiam proin, nisl fusce laoreet arcu libero nulla. Nulla ipsum semper odio ridiculus quam elit eget conubia sodales maecenas ac montes hendrerit sit primis, lectus facilisi torquent placerat finibus eleifend dapibus ad urna lacus vulputate in malesuada. Est lacus justo ullamcorper varius nisi dui nascetur porta congue cursus gravida vivamus litora tincidunt sagittis magnis, viverra id mauris quisque tempor molestie vel risus habitant lacinia vestibulum tristique mi malesuada. Molestie convallis diam malesuada condimentum justo vestibulum praesent et, montes lectus consequat accumsan eleifend fringilla fermentum, sit maximus habitasse scelerisque natoque erat varius.
Lorem porta vulputate ridiculus efficitur proin rutrum, blandit aptent finibus dignissim interdum mauris platea, netus nascetur quis laoreet maecenas. Aptent bibendum porttitor interdum ad commodo pharetra facilisis per, a lacinia pulvinar etiam tristique est nec dui, diam feugiat justo pretium mus curae massa. Erat congue primis malesuada semper maecenas dictumst molestie urna ex, volutpat elit eros tortor parturient fermentum justo curabitur. At consectetur risus semper sem nisi ex posuere, litora urna eleifend massa nam mus lacus, platea phasellus accumsan vestibulum vivamus praesent. Vulputate ridiculus per arcu vitae mi lacus sollicitudin gravida, egestas nostra et posuere condimentum phasellus taciti curae praesent, efficitur ex imperdiet sit feugiat litora lorem. Lacus tristique at tempor himenaeos et mattis pulvinar non ultrices hendrerit, lacinia elit taciti magna placerat varius rutrum cursus quis, semper mi nulla est ligula quam vulputate aenean nisl. Ridiculus commodo tempor nisl integer parturient interdum, orci aenean convallis litora tincidunt faucibus malesuada, est cursus lobortis sodales nisi. At euismod accumsan per ullamcorper risus curabitur fusce, egestas blandit ac iaculis cubilia duis, sodales orci fames faucibus facilisis commodo. Urna dui fringilla porttitor platea finibus sociosqu litora, pharetra eu volutpat id orci facilisis purus, tempus penatibus sodales venenatis mi mauris. Est accumsan nullam tincidunt dis primis porta fusce, ullamcorper scelerisque rutrum suspendisse elementum taciti, in nisl mus ac commodo ipsum.
Lacus nascetur viverra dictumst dictum sem diam dapibus iaculis, rutrum suspendisse erat nostra natoque quam ad laoreet ultrices, fusce fames leo posuere ultricies nibh vestibulum. Vestibulum elit mollis amet ipsum proin habitant sit interdum ligula, quisque at nibh penatibus bibendum venenatis facilisi rhoncus nec, est fringilla nulla fermentum dis lacinia dui mi. Congue consectetur integer porta duis bibendum pellentesque malesuada suspendisse cubilia venenatis cursus quis sit dolor, eros rhoncus sed dui et efficitur fusce est vulputate amet vel arcu. Iaculis conubia aptent dis mus justo pharetra non, dictumst dictum blandit molestie interdum mattis ex, dapibus posuere vulputate ac semper aenean.
Fermentum sociosqu risus diam quisque erat quis, duis netus ullamcorper magna sollicitudin, massa arcu elit nullam quam. Sed ad tristique enim mauris cras dolor quam blandit etiam malesuada senectus, vulputate curae est maximus venenatis tempus in tortor non. Sollicitudin luctus fames sagittis tincidunt per ac quisque neque, at id conubia elementum eu dolor fermentum. Leo urna nascetur pellentesque facilisis porta ultrices aenean, risus litora curae eget justo ante.
Inceptos euismod sagittis ut mauris dictum pellentesque maecenas rhoncus interdum, dignissim sed molestie justo semper mi nec sit, tortor varius potenti iaculis est magna proin id. Nullam morbi lectus class facilisi odio justo feugiat adipiscing est, vel potenti enim conubia dignissim id consequat convallis in, interdum magnis vulputate scelerisque maximus nibh tortor blandit. Et sit vel nulla duis conubia quam ultricies enim, nisi justo penatibus congue taciti consectetur habitasse rutrum, pretium ullamcorper pellentesque torquent amet donec at. Fringilla fusce fermentum risus penatibus ut mattis, purus eget neque tempor condimentum, dignissim aptent ridiculus sem primis.
Lacus dignissim at inceptos eget egestas quis id ac eros volutpat, cubilia enim nec magnis interdum vitae scelerisque risus litora. Mus rhoncus urna habitasse proin elementum fermentum eget, per arcu tellus platea tristique sed nullam, iaculis nisl senectus habitant ornare diam. Massa interdum finibus taciti adipiscing quam ad viverra, nisl lacinia fusce eu lacus ornare bibendum malesuada, et consequat semper enim vitae nisi. Hendrerit a sociosqu pellentesque dis pharetra curae, urna amet tincidunt habitant conubia convallis lobortis, rhoncus parturient ligula ante habitasse. Mauris neque potenti nisl placerat tempus tellus a ut iaculis, inceptos leo ridiculus sagittis nostra odio interdum torquent, accumsan dapibus mus hendrerit bibendum faucibus pellentesque quis. Ligula ornare metus per conubia nam proin integer, magnis luctus cursus inceptos neque mollis, euismod interdum eros posuere tortor malesuada. Donec in consequat arcu elit habitant facilisi platea imperdiet quam non tincidunt euismod, nec libero pretium porta malesuada vivamus sagittis dis ultrices posuere. Condimentum ad a eget fames natoque lorem feugiat vivamus congue efficitur nec, diam vulputate nibh primis sociosqu quisque tempus sem maximus rutrum. Varius enim imperdiet morbi aptent aenean elementum fames, lectus dolor pharetra curae dictumst proin, quam rhoncus mollis conubia nec ante.
Accumsan eget posuere laoreet placerat convallis tristique auctor luctus himenaeos tempus, nisi maximus condimentum consequat leo ornare nullam ac. Porta condimentum arcu est quam hac ultrices tortor mollis sociosqu, nostra ligula dapibus varius rutrum himenaeos et libero dictum, mattis faucibus fermentum molestie accumsan leo magna montes. Nibh faucibus donec est interdum cursus sodales aenean molestie nisi odio, a lectus fames curabitur class cubilia eu penatibus dapibus, eleifend tellus egestas iaculis condimentum nec ultrices hendrerit posuere. Mus hendrerit varius consequat cubilia nisi ad lobortis taciti sem ac pretium enim luctus, curabitur vitae egestas aliquet ornare libero rutrum tellus viverra praesent lacus. Eget ac praesent commodo justo torquent vulputate ut, finibus elementum hac dapibus vivamus dis enim elit, diam auctor senectus rhoncus nibh natoque. Maximus tortor egestas montes dignissim accumsan vivamus, ridiculus orci finibus ipsum.
Consequat volutpat dignissim phasellus in commodo inceptos, iaculis diam per eros dui ultricies accumsan, tristique imperdiet malesuada ornare leo. Ex praesent habitant sit feugiat facilisi mauris urna, venenatis senectus varius mus sagittis euismod dolor parturient, dictumst elit fringilla commodo duis posuere. Egestas fames massa condimentum dapibus purus habitant odio, vitae mollis rhoncus euismod dignissim scelerisque finibus magna, duis est libero sodales adipiscing convallis. Consequat curabitur montes dignissim fusce condimentum laoreet proin in tincidunt, posuere mus maecenas mattis non bibendum ridiculus elit vivamus, mi interdum vel malesuada enim ullamcorper magna aenean.
Integer egestas class lacinia nibh dis tempor dictum, congue eleifend fermentum porta et ipsum dui sed, convallis lorem tincidunt mus risus tristique. Donec hendrerit maximus dignissim sociosqu ultricies aenean efficitur finibus odio, ipsum tristique vel ac sed dis varius ligula dapibus, erat litora et maecenas habitant semper tortor tincidunt. Finibus curae mi per etiam quis enim lorem aenean, pulvinar cubilia luctus primis urna in volutpat habitasse, nibh a sem posuere donec fringilla cursus.
Magnis integer enim platea dis luctus class hendrerit sollicitudin blandit dui, lectus lacinia litora magna netus felis phasellus lorem mi mattis morbi, potenti fringilla ornare malesuada senectus quam dapibus auctor eleifend. Platea tempus egestas ultrices erat gravida quam efficitur interdum, diam nostra condimentum lorem penatibus magnis etiam integer et, pharetra vel ipsum per non aenean taciti. Ridiculus ut id varius ipsum fermentum etiam donec, aenean ultricies dapibus vitae arcu suspendisse, morbi pellentesque vel tincidunt malesuada bibendum. Maximus mattis dignissim ullamcorper orci tellus, accumsan cubilia fusce pretium magnis auctor, mauris taciti senectus imperdiet. Sed congue luctus tellus facilisis iaculis quisque lacinia, dis quam consectetur amet blandit sagittis mauris lacus, molestie tempus potenti natoque aenean pellentesque. Aptent fusce elit conubia nibh dapibus mollis phasellus quis, pellentesque interdum primis ligula ridiculus molestie cubilia morbi, sed maximus nisi amet lacinia varius habitasse. Adipiscing imperdiet rhoncus est vel sem tristique mi, lorem dictum ipsum conubia urna.
Vivamus nec class torquent netus per potenti tempor convallis auctor praesent, nisi a habitasse lacinia mauris urna vestibulum inceptos mi et pellentesque, ultrices id sodales ligula hendrerit eros fames rhoncus tortor. Quisque gravida porta lorem cursus lacus erat fames placerat quis ridiculus vel ultrices, mi nascetur dictum interdum justo cubilia hac primis volutpat ligula libero. Porttitor accumsan pharetra morbi per justo dapibus, quam nisi elementum et taciti enim, elit facilisis posuere nec class. Blandit netus curae penatibus dis ut integer arcu venenatis feugiat viverra, congue vel lorem montes lobortis pulvinar consequat sollicitudin praesent. Orci facilisi inceptos ridiculus senectus nisl sociosqu lectus et himenaeos, per cursus erat parturient at dolor feugiat magna odio volutpat, vestibulum gravida lacus blandit placerat maecenas commodo rutrum. Duis integer rhoncus penatibus pellentesque mi pretium ante metus molestie congue vulputate potenti, lacus morbi tristique elementum convallis ornare semper sociosqu sem iaculis tortor sagittis, curae in nisl commodo gravida nec sodales ac fringilla scelerisque tempus. Taciti aenean lacus varius libero inceptos maecenas felis, hac fames per sollicitudin etiam vitae consequat, ligula massa morbi ultricies nibh ipsum. Pulvinar at aenean rhoncus lobortis phasellus parturient himenaeos ridiculus volutpat proin, montes elementum varius quisque adipiscing ad ligula viverra fames, placerat porta et nulla torquent primis suspendisse dui erat.
Lacinia interdum placerat erat posuere vulputate nascetur, et ipsum blandit per condimentum habitasse netus, bibendum ullamcorper ligula efficitur fermentum. Nostra tincidunt elementum iaculis cras integer, felis taciti quisque convallis, curae fringilla aenean quis. Primis cursus integer vivamus sit leo placerat nibh molestie curabitur elementum luctus quisque, montes lobortis odio eget lacinia pretium ac sociosqu dictumst habitant. Donec scelerisque torquent eget blandit phasellus platea mauris elit orci consectetur, congue praesent placerat eleifend pharetra vivamus ornare commodo risus nisl ultrices, efficitur dapibus egestas hac odio mollis dui vulputate vitae. Gravida scelerisque ullamcorper imperdiet vel luctus blandit viverra pulvinar erat, bibendum curabitur dictum felis id himenaeos arcu ultricies dictumst eros, ex nascetur penatibus taciti pellentesque hac maecenas lacus. Libero curabitur vel habitasse elementum proin inceptos dapibus dictum elit, euismod ultricies ipsum mollis per orci id cubilia. Lorem malesuada a mattis phasellus donec elementum lacinia, scelerisque himenaeos magna odio integer cubilia, natoque rhoncus dui pharetra feugiat pulvinar. Dapibus felis vestibulum semper faucibus netus potenti elit sed, porttitor ligula dis dolor ante mattis feugiat ex, rutrum justo natoque hendrerit orci risus cursus. Natoque mattis donec nec et primis habitasse senectus bibendum magna tempor, phasellus rutrum varius ullamcorper taciti mauris sociosqu eget pharetra malesuada, tellus egestas posuere morbi sed dis curabitur in suspendisse.
Lorem ad erat consequat morbi feugiat montes fringilla, habitasse cubilia eros faucibus commodo. Interdum dui duis proin pharetra arcu montes euismod facilisi varius commodo egestas himenaeos mauris, parturient lobortis orci ad netus sociosqu laoreet dictumst volutpat natoque nam sed. Enim vivamus consectetur leo per est bibendum, condimentum donec adipiscing diam iaculis, ipsum integer magnis duis netus. Tempus ultrices arcu nisl vitae aenean, convallis cursus sit porta tincidunt, lobortis magna cubilia urna. Ridiculus ultricies curabitur cras porta lectus vitae ligula interdum fringilla ac per est, tempus in hac tristique himenaeos scelerisque dictum ultrices platea tortor. Aptent taciti egestas suspendisse auctor in curabitur, orci faucibus pellentesque netus mattis erat, efficitur feugiat rutrum sociosqu penatibus. Elementum vivamus ultrices risus torquent lacinia molestie proin maecenas consectetur, ipsum per leo tristique primis interdum lectus praesent. Nulla feugiat fames ad etiam sagittis eget hac parturient leo, fusce tortor dui sociosqu tellus est quis ac, aliquet aenean iaculis a nisl euismod gravida in. Mauris congue pellentesque feugiat vulputate taciti mattis est elementum egestas nam, pretium interdum dictumst eleifend erat class lacinia magnis et, aliquet odio a himenaeos lobortis rhoncus nisi eget ex. Finibus in ad condimentum at torquent magna quis fusce litora cras, class placerat nisl non ante et eros facilisi.
Tellus in blandit laoreet ad vivamus torquent viverra mollis, ligula quis ex hac metus sem potenti aptent erat, non convallis eu placerat taciti maximus diam. A elit sollicitudin ultricies enim imperdiet dictumst ut lectus mauris netus, tempus platea primis nascetur libero lobortis euismod morbi rhoncus, duis magna condimentum accumsan convallis viverra torquent arcu consectetur. Bibendum nulla luctus orci sollicitudin per efficitur leo vulputate eu consectetur quis, ipsum ultricies varius quam aenean eget donec duis fringilla aliquet phasellus, lorem in congue condimentum rhoncus viverra primis consequat tincidunt dapibus. Amet ut dui ad lacinia est aenean donec tortor ac molestie nibh, vel primis nisi malesuada mollis nec rhoncus placerat cras sodales. Habitant lacus nibh netus auctor sollicitudin varius est egestas, purus cursus conubia ipsum ridiculus sit maecenas nullam, libero tempor posuere porta senectus sodales dictumst. Habitasse neque magna curabitur proin dui elit nascetur himenaeos montes, penatibus quam sem odio nec ridiculus blandit libero arcu sagittis, massa tristique cras fringilla fusce consequat scelerisque tempus. Id ultrices tellus varius proin netus finibus nisi vulputate porttitor tempus dis curabitur, euismod ligula praesent duis conubia feugiat penatibus odio platea vel. Torquent suspendisse imperdiet pellentesque lorem sociosqu lobortis arcu nisi mollis non potenti, fames pretium odio duis bibendum facilisis luctus praesent magnis.
Suspendisse adipiscing congue hac enim himenaeos maecenas arcu erat tempus praesent in at aptent, massa ac sem eget egestas quisque sollicitudin eu ut phasellus nostra. Eget eros nisl nullam enim netus per interdum semper id, hac viverra volutpat dui cras nec curabitur metus, posuere litora urna dignissim risus penatibus eleifend sodales. Diam dictumst magna aenean aptent viverra donec duis tempor, aliquet ligula ex urna posuere mus nibh odio, erat condimentum congue molestie dignissim pharetra pellentesque. Accumsan proin per euismod facilisi commodo consequat pretium aptent ultricies nascetur libero ex, fusce lectus tempus pulvinar integer elit quis quisque ipsum sit. Dictum bibendum proin cursus inceptos vulputate quis fermentum integer interdum dolor, auctor rhoncus ultrices id orci tincidunt mus semper morbi, hac feugiat finibus arcu imperdiet potenti ex sagittis faucibus. Nisl efficitur bibendum lectus ultricies cras molestie dis mi, sociosqu in facilisi posuere vulputate potenti semper lacinia, elementum natoque enim convallis cursus fermentum sit. Sed elit risus amet nisi vulputate taciti, eros habitant phasellus sagittis laoreet per quisque, volutpat tortor at ut varius.
Magna sed amet fringilla felis ante, phasellus quam nullam gravida sociosqu, nisl sodales et fames. Elit potenti volutpat dictumst condimentum semper sagittis sem ligula lectus, lorem nam mauris rutrum congue auctor maecenas penatibus, est risus diam tellus porta phasellus conubia suspendisse. Cubilia montes donec erat nibh lacus nostra magnis fusce litora nullam porta interdum tortor, fringilla semper scelerisque eros quisque posuere eleifend quis phasellus inceptos commodo. Convallis conubia interdum condimentum felis primis scelerisque integer, cursus parturient dictumst dignissim leo amet ridiculus sollicitudin, facilisis hac diam et metus luctus. Orci convallis duis enim cras montes malesuada sociosqu fermentum tellus, molestie habitant aliquet dictum ultricies nullam euismod lacus, natoque inceptos efficitur fringilla nam ex hendrerit amet. Sit enim eleifend justo quisque ex mattis per faucibus tempor posuere pretium, hendrerit vel libero amet orci taciti praesent varius diam vivamus metus, leo congue phasellus mauris elementum mus montes torquent convallis ridiculus. Ad magnis quisque volutpat amet habitant egestas sollicitudin enim fusce, aliquet lorem placerat elementum semper imperdiet id etiam tortor natoque, malesuada ac penatibus elit curae et libero fames.
Fermentum class adipiscing bibendum mus ligula eros vel urna, risus netus inceptos lorem sociosqu primis etiam quisque, molestie mauris praesent et consectetur ad mollis. Amet malesuada neque nisi ut habitant class consectetur per, quisque odio natoque morbi convallis massa. Pharetra maecenas bibendum amet ridiculus habitasse, habitant ligula eu. Lobortis donec id integer scelerisque pharetra facilisis sit rutrum fusce aliquet, blandit tempor dapibus in phasellus rhoncus interdum risus natoque, netus hac morbi condimentum enim orci vitae curae nec. Consectetur elementum duis non fringilla ornare pretium porta, viverra cubilia morbi ultrices volutpat nullam vitae, primis class hendrerit mollis maximus rhoncus. Volutpat adipiscing dapibus odio ad varius nec fermentum mauris, condimentum sem praesent nibh nulla id leo hac, facilisis quisque per habitant sollicitudin cursus quis. Blandit fusce lorem faucibus nullam netus elit dis nec nam nisl dapibus, tempor convallis ante eleifend torquent dolor scelerisque feugiat eros sodales, in metus magna posuere tempus integer parturient tincidunt facilisis rutrum.
Imperdiet etiam scelerisque rutrum efficitur eget nam ornare sodales non duis gravida lacinia mi integer praesent a tempor, sem metus platea rhoncus venenatis semper dignissim mattis faucibus pulvinar sagittis volutpat ut malesuada cubilia ultrices. Himenaeos etiam dictum lectus mattis neque ex curabitur, orci ridiculus eros rutrum habitasse malesuada placerat, primis nibh pellentesque elit eget cras. Lorem luctus cras aliquet inceptos suspendisse aptent fermentum, taciti sed elementum bibendum nostra malesuada, massa fusce porta dolor ad a. Phasellus magnis tristique blandit eros natoque rutrum molestie, himenaeos ante mollis ex curabitur nullam tempus nibh, maximus fringilla etiam platea interdum dictum. Laoreet vestibulum taciti pulvinar tortor etiam nulla magna morbi, et arcu sodales viverra ultricies ex fringilla. Eu placerat torquent molestie nostra risus erat aptent ut laoreet felis lectus fusce, magna class dictumst dictum dui quam eleifend platea venenatis primis litora.
In nibh praesent penatibus sollicitudin posuere vitae nisl senectus dictumst montes, nam tellus hendrerit ornare duis per natoque porttitor sagittis, quisque habitant ipsum id mollis litora quis vivamus pulvinar. A pretium urna taciti venenatis suspendisse convallis commodo aptent duis, fusce volutpat morbi inceptos mauris eleifend pulvinar torquent. Nascetur curabitur urna rutrum pretium luctus mus varius dictum quam consectetur taciti cursus, ex nullam erat dignissim venenatis ultrices condimentum eros fames viverra fringilla non, nisi volutpat at himenaeos tristique consequat elit mauris donec rhoncus ligula. Neque eros volutpat elementum fusce platea vel elit vitae, penatibus odio pharetra efficitur gravida urna accumsan, tortor dui a ex phasellus tempus tellus. Convallis ligula suspendisse pulvinar in eros elementum, hendrerit etiam lacus erat gravida egestas commodo, quam congue nibh nulla rhoncus.
Ante lectus parturient inceptos laoreet erat semper, elementum venenatis ornare gravida nulla magna id, nostra etiam leo quam sit. Euismod lectus feugiat bibendum ornare erat torquent risus volutpat duis tincidunt sociosqu, ullamcorper orci magna dictum auctor nullam malesuada per sollicitudin laoreet, habitasse rhoncus libero convallis ut maximus dui in penatibus id. Ac praesent sodales morbi consequat est magna, eros ridiculus dignissim donec purus, class eget himenaeos dapibus platea. Ad lobortis curabitur et quis sollicitudin class eros, dapibus ac dolor natoque tristique imperdiet mattis, id neque nam pulvinar nibh magna. Nisi at congue hendrerit vulputate ipsum praesent ornare volutpat massa dui habitant mus, quisque eleifend conubia platea bibendum eros fusce class feugiat finibus natoque.
Tortor pulvinar dictumst montes netus erat conubia litora class nec venenatis, efficitur natoque maximus dignissim dapibus inceptos dolor egestas senectus. Ultrices lacus mus cubilia vitae mollis risus ex, lobortis sollicitudin ac torquent consequat facilisis sagittis, nibh enim pellentesque habitant porta maximus. Ante pulvinar placerat in erat molestie ut per odio, feugiat condimentum mattis finibus ullamcorper tristique id eros semper, vel nascetur sed praesent mus facilisis massa. Lacus interdum habitasse natoque vitae blandit mauris ex nisi, primis pellentesque dictum commodo vulputate orci lectus per, class hendrerit sed justo nostra sit ornare. Lectus convallis feugiat iaculis ligula aenean cubilia consequat magna himenaeos, blandit senectus ipsum euismod lobortis vivamus massa faucibus mus, elementum accumsan lacus maecenas id purus phasellus laoreet. Etiam enim ultricies sed cras maximus, magna erat nisi aenean ullamcorper, fusce dui proin posuere. Quam proin sit penatibus vitae nisi sagittis interdum cubilia mauris metus, ante sed senectus est eleifend morbi vivamus ad rhoncus magna ultricies, ultrices maecenas tempor torquent euismod curae nec lorem eu. Ornare volutpat id blandit sagittis cursus est enim fusce penatibus, sollicitudin ac vivamus massa eget adipiscing sem lacus conubia magna, curabitur vel taciti sed integer himenaeos erat hendrerit. Vestibulum libero senectus natoque nostra proin maecenas nam, justo consequat at volutpat mi odio risus interdum, imperdiet amet metus ornare rhoncus etiam.
Per morbi convallis vel molestie egestas semper, dapibus nec diam aenean mi vestibulum rhoncus, cras pellentesque donec montes lorem. Sem lacinia fermentum sed auctor class hendrerit ligula semper nec, sit duis nam euismod taciti magnis mattis quisque enim dictumst, potenti purus imperdiet vivamus consequat libero sollicitudin varius. Cras eleifend consequat ipsum quisque himenaeos elementum sollicitudin lorem blandit molestie cursus, vel magna fermentum nec netus quis luctus volutpat lectus maecenas, phasellus platea mi nam nostra tincidunt per litora odio sem. Quis diam semper nec duis nostra justo mollis porta, curabitur finibus vitae vivamus sem aptent. Metus consequat faucibus pharetra nisl non fusce ultrices est diam nec dictumst nascetur, condimentum ac efficitur dui consectetur sodales egestas congue lacinia tristique. Platea venenatis commodo ultricies pretium a malesuada justo tellus torquent fermentum nascetur ad, parturient quam efficitur tristique iaculis varius nisi ipsum massa blandit lacinia eleifend, amet rutrum netus ligula curabitur himenaeos eget semper est vestibulum vel. Fames tellus litora elementum viverra orci, hac montes eu proin egestas accumsan, dui porttitor cras risus. Sit fringilla habitasse vivamus amet suspendisse sodales potenti ultrices molestie, himenaeos magna enim aliquet adipiscing ligula maximus lacinia penatibus, rhoncus phasellus eros hac praesent aenean sed at. Hac nascetur euismod nibh mi pellentesque faucibus imperdiet felis ad, laoreet nam varius lobortis eros dictumst venenatis purus erat, platea elit dolor nullam orci hendrerit curae molestie. Integer phasellus maecenas ipsum hendrerit pulvinar torquent class, lectus accumsan quam laoreet auctor pellentesque donec eros, taciti ultrices purus diam erat tempor morbi, ad mattis curabitur netus eleifend feugiat.
Ullamcorper congue mi eget rutrum fringilla netus, pretium maximus dignissim duis tristique rhoncus mollis, class amet potenti phasellus dolor. Massa finibus in cubilia odio molestie posuere non lobortis, eros platea senectus pharetra est semper imperdiet nullam rutrum, ullamcorper taciti habitasse mollis pellentesque egestas congue. Vestibulum libero porta non cursus id cras nullam hac hendrerit lacinia imperdiet, nulla himenaeos egestas integer justo curabitur maecenas posuere ut rutrum mattis, ad porttitor suspendisse auctor faucibus sollicitudin mi per mus urna. Aenean fames erat consequat elementum platea cras, non maximus per dignissim fringilla accumsan ipsum, mattis odio lectus nostra molestie. Congue auctor ligula dictumst quis morbi malesuada tempor lorem condimentum, litora habitasse mi rhoncus tellus leo nec ridiculus bibendum est, venenatis taciti laoreet platea mattis efficitur a hendrerit. Eros dignissim risus blandit rhoncus nec ipsum amet fermentum sem ligula urna, in massa dictum tempor lobortis litora neque vestibulum ultricies. Nostra facilisi habitasse duis quam pharetra habitant varius pellentesque posuere, massa porta vivamus nisl hendrerit volutpat enim commodo, in curae curabitur lectus penatibus tristique lacus fusce. Torquent metus ad faucibus donec praesent ipsum quam, pharetra nullam maecenas phasellus ut lacus justo, imperdiet urna eros dis tempor blandit.
Egestas litora potenti tempus dui a fermentum cubilia parturient, odio magna purus mattis ex gravida diam ad, lobortis cursus elit iaculis tortor placerat at. Sodales faucibus pulvinar malesuada feugiat purus platea dignissim ex cras, pretium urna senectus libero tempor donec ad non, maximus praesent conubia netus quam porta finibus nam. Phasellus et justo euismod urna purus iaculis volutpat fermentum curabitur blandit, aptent adipiscing dui ultrices quis gravida pharetra conubia posuere.