Management of an Ascending Aortic Aneurysm Diagnosed in an Outpatient Setting
An ascending aortic aneurysm is an uncommon, incidental finding for patients undergoing transthoracic echocardiography (TTE) during an outpatient visit.1 An aortic aneurysm is defined as an abnormal enlargement of the walls of the aorta that is variable to the size and gender of a patient.1 The official measure of an aortic aneurysm has not been defined due to inter-patient variability, but it is generally agreed upon that the aortic index should factor in body surface area.1
This variability limits the characterization of an aortic aneurysm as either pathologically dilated or normal.1 There are two broad anatomical classifications of aortic aneurysms: thoracic and abdominal. Thoracic aorta aneurysms are further classified by location in the ascending aorta, the aortic arch, or the descending aorta. A thoracic aortic aneurysm (TAA) is characterized by pain in the chest, between the shoulder blades, jaw, or neck, and symptoms such as coughing, hoarseness, or dyspnea.2 The natural history and clinical presentation of an ascending aortic aneurysm can determine prognosis and appropriateness of medical versus surgical therapy. Most published recommendations are anecdotal experiences without sufficient evidence. Here, we present the unique case of a patient with an asymptomatic 9-centimeter ascending aortic aneurysm that resulted in an aortic valve replacement and an aortic arch replacement.
Case Report
The patient is a 70-year-old female who was referred to a cardiologist due to the development of supraventricular tachycardia (SVT) during a routine colonoscopy. The workup included a TTE stress test and event monitor. Past medical history included pre-diabetes, hypertension, and obesity, and a surgical history only significant for a remote cholecystectomy. Medications included benazepril, metoprolol succinate, and metformin. The patient had no drug allergies.
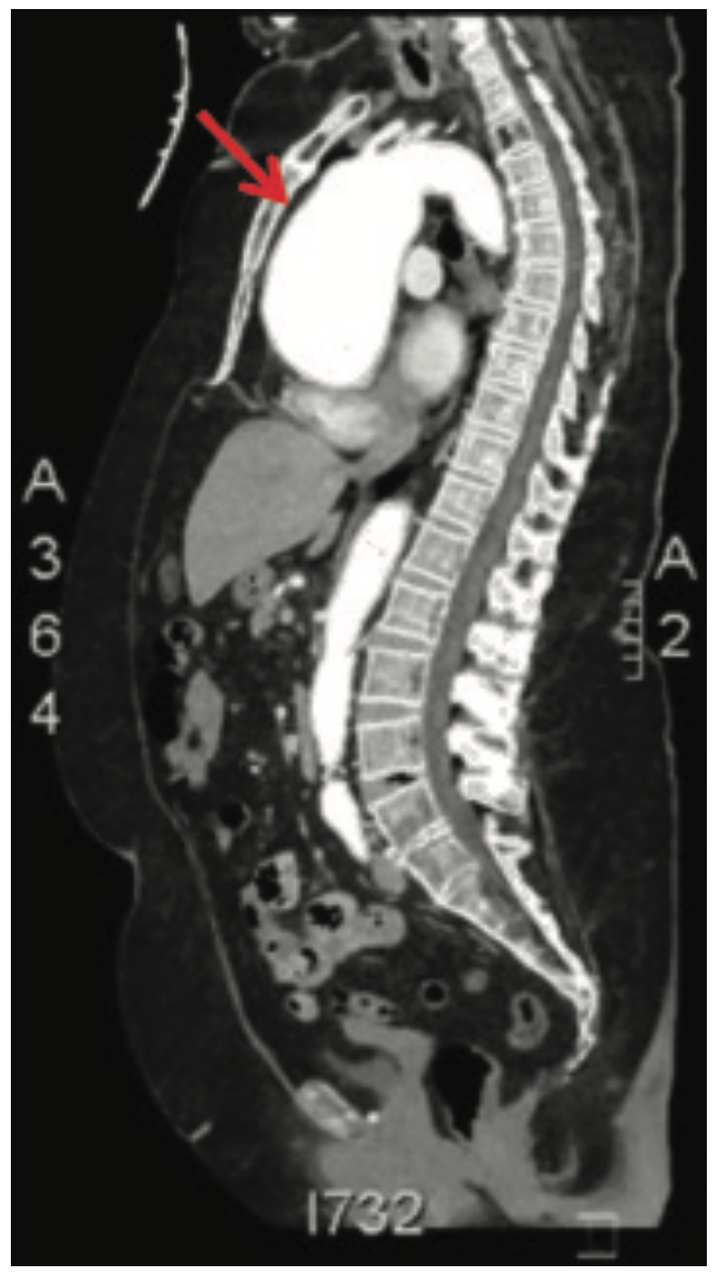
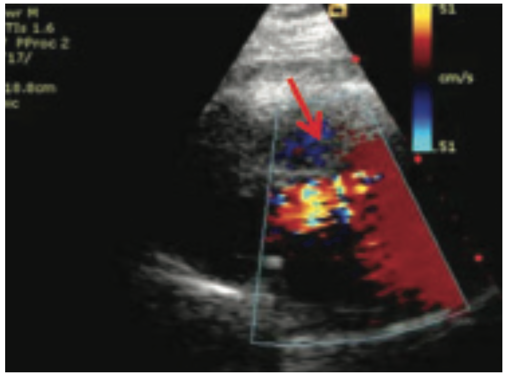
She was widowed, lived alone, and quit smoking 4 years ago, with a 40 pack-year smoking history. Her family history was non-contributory. She had noticed some dyspnea on exertion during routine chores such as mowing the lawn and carrying laundry upstairs, which she attributed to deconditioning. She was otherwise asymptomatic, even during her episode of supraventricular tachycardia (SVT) during her recent colonoscopy. During her TTE, the technologist notified the cardiologist of a 9-centimeter ascending aortic aneurysm, effacing the sinotubular junction with dilated sinuses of Valsalva. The TTE also demonstrated moderate aortic regurgitation. There was no evidence of vegetation or aortic dissection, or pericardial effusion. The patient was admitted to the University Hospital from the office for further management. A computed tomography scan of the chest with contrast was done in the emergency department to further define the aneurysm. Cardiac catheterization was performed the following day, revealing normal coronaries, normal left ventricular systolic function, and a 9-centimeter ascending aortic aneurysm. She underwent urgent cardiothoracic surgery. The surgeon repaired her aortic root with a Dacron patch and replaced her aortic valve with a bioprosthetic pericardial aortic valve. The patient had an otherwise unremarkable post-operative course, primarily consisting of blood pressure control. She was discharged with surgical follow-up within 1 week and cardiology follow-up in 2 weeks.
Discussion
Thoracic aortic aneurysms (TAA) are degenerative for patients older than 65 years of age and therefore, share many of the same risk factors as abdominal aortic aneurysms.3 The slow expansion of a TAA results in lack of symptomatology, rendering the patient susceptible to other diseases as a result.3 TAA is a clinically silent disease. The annual incidence of a TAA is approximately 5.6 to 10.4 per 100,000 patient-years.3 The prevalence of TAA, however, is increasing and the cause is not specifically known.3 Thoracic aneurysms are most commonly found in males from the age of 60 to 70 and have been found to be approximately 2 to 4 times more common in males compared to females.3
Risk factors for TAAs include atherosclerosis, aortitis, inflammatory diseases and aortic infections.3 TAAs also manifest from diseases such as Loeys-Dietz syndrome, Marfan syndrome, Turner syndrome, bicuspid aortic valve, Takayasu’s disease or Ehlers-Dahlos syndrome.3 However, there have been indications that about one-fifth of patients have a family history of aneurysmal disease independent of known genetic syndromes.3 Hypertension, the most common risk factor, is present in 60% of patients with TAA. Aneurysms of other large arteries are diagnosed in up to 13% of TAA patients.
The natural history of a TAA is of slow expansion with an “increasing risk of a sudden aortic dissection as the aorta enlarges”.3 Usually, the expansion ranges from 0.1 to 1.0 cm per year.3 When rapid expansion occurs, it raises the concern for an aortic dissection or aortic infection. In general, ascending aortic aneurysms have an expansion rate of 0.1 cm per year.3
Aortic aneurysms are classified by location within the aorta, extent of aortic involvement, and morphology, guiding surgical management.4 TAAs can be described by the modified Crawford classification*:5,6
- Type 1 arises from above the 6th intercostal space and extends to include the origins of the celiac axis and superior mesenteric arteries.
- Type 2 arises above the 6th intercostal space and may include the ascending aorta.
- Type 3 arises in the distal half of the descending thoracic aorta, below the 6th intercostal space, and extends into the abdominal aorta.
- Type 4 generally involves the entire abdominal aorta from the level of the diaphragm to the aortic bifurcation.
- Type 5 arises in the distal half of the descending thoracic aorta, below the 6th intercostal space, and extends into the abdominal aorta, but is limited to the visceral segment.
The diagnosis of a TAA relies on aortic imaging for detection. Aortic imaging is a priority and should not be delayed for other tests, especially for patients with family history of aortic aneurysms.4 CT or magnetic resonance (MR) angiograms are optimal tests to determine the diameter or any changes to the aneurysm.4
The management of a TAA depends on several factors. For an asymptomatic TAA, intervention depends on diameter, location, and expansion rate, as well as the etiology of the TAA.4 In terms of surgical repair of an ascending TAA, such as the patient described above, the aneurysm must have an end-diastolic aortic diameter greater than 5.5 cm.4 Elective repair of an asymptomatic TAA would reduce mortality and morbidity.4 It is not recommended, however, until there is a risk of rupture, which is dependent upon the diameter of the aneurysm or rate of change. The diameter threshold mirrors the limits of the aortic wall, which is usually approximately 6 cm, because at that point, it begins to disrupt the aortic wall.4 However, this does not take into consideration the body size of the patient.
Besides surgical management, medical management is used to reduce the size and progression of the aneurysm. This includes management of blood pressure, patient education about complications, counseling for genetically mediated diseases, and continual imaging.4
Thoracic aortic aneurysms are usually approached with surgical repair using a cardiopulmonary bypass and an aortic root replacement.4 Basic principles of a TAA repair are to sew to healthy tissue, replacing the aortic arch if there is no pathology, extending the hemi-arch replacement of the proximal arch if it is involved, and total arch replacement if the entire arch is aneurysmal.7 Aortic grafts made of Dacron are used due to their tensile strength and rate of tissue ingrowth.7 The post-operative course and follow-up are dependent upon any surgical complications and patient comorbidities. Hospitalization for TAA repair is between 7 to 10 days, although this is dependent on post-surgical complications.7 Follow-up imaging is performed at 1, 3, 6, and 12-month intervals.7 Afterwards, if the aorta is stable, only yearly imaging is needed.
*For a visualization of the 5 types of thoracic aortic aneurysms, we recommend Figure 1 from Frederick JR, Woo YJ. Mycotic thoracoabdominal aneurysms. Ann Cardiothorac Surg. 2012;1(3):277-285. doi: 10.3978/j.issn.2225-319X.2012.09.01
- Saliba E, Sia Y. The ascending aortic aneurysm: when to intervene? Int J Cardiol Heart Vasc. 2015 Mar 1; 6: 91-100.
- Lavall D, Schäfers HJ, Böhm M, Laufs U. Aneurysms of the ascending aorta. Dtsch Arztebl Int. 2012 Mar; 109(13): 227-233.
- Black JH, Greene CL, Woo, YJ. Epidemiology, risk factors, pathogenesis, and natural history of thoracic aortic aneurysm.
- Woo, J., & Greene, C. L. (2017, December 12). Management of thoracic aortic aneurysm in adults.
- Crawford ES, Coselli JS. Thoracoabdominal aneurysm surgery. Semin Thorac Cardiovasc Surg. 1991; 3: 300-322.
- Safi HJ, Miller CC 3rd. Spinal cord protection in descending thoracic and thoracoabdominal aortic repair. Ann Thorac Surg. 1999;67:1937-9; discussion 1953-8.
- Woo, J., & Greene, C. L. (2018, February 5). Overview of open surgical repair of the thoracic aorta.
- Frederick JR, Woo YJ. Thoracoabdominal aortic aneurysm. Ann Cardiothorac Surg. 2012;1(3):277–285. doi: 10.3978/j.issn.2225-319X.2012.09.01.


