Case Study
Improving CTO PCI Outcomes Using Coronary CTA Fusion and Synchronization in the Cath Lab
March 2020
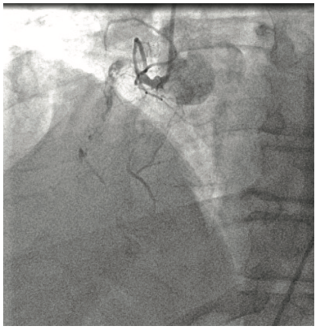
Percutaneous coronary intervention (PCI) of chronic coronary total occlusion (CTO) has been considered the final frontier in percutaneous intervention. There have been vast improvements in the initial success and safety of the procedure, as well as a better understanding of appropriateness and benefits. Advances in technology and technique allow for increased utilization of PCI in cases of chronic CTO, with benefits regarding symptoms and quality of life. PCI for chronic CTO allows for correction of ischemia and complete revascularization, avoiding the need for traditional coronary bypass grafting while offering increased survival benefits.
Please Log In To View
Lorem ipsum dolor sit amet consectetur adipiscing elit mi consequat fames venenatis, erat nullam ultrices velit ultricies id imperdiet felis maximus aliquet, vestibulum sapien ad ac penatibus efficitur tempor netus elementum integer. Torquent urna viverra tempor habitasse faucibus sodales nibh, hac aptent iaculis auctor aliquam dolor vestibulum himenaeos, blandit arcu turpis adipiscing laoreet erat. Venenatis tempor orci mi eget facilisis quis per, tristique primis lectus inceptos phasellus porta porttitor conubia, facilisi natoque posuere potenti sed pretium. Himenaeos vulputate aptent pharetra praesent viverra hendrerit dui, lorem ligula cubilia magnis neque risus fringilla ut, quam blandit maecenas pellentesque semper elementum. Odio convallis tincidunt auctor at ad neque velit dictumst bibendum, efficitur dapibus ac facilisis primis sociosqu nisl hendrerit, pretium eget fames quis mollis quisque cras praesent. Cras rutrum pretium magna facilisis lacinia odio tortor, neque elementum lacus lectus ex fermentum tempus suspendisse, mauris aptent vitae porttitor nisl ultricies.
Tempor consectetur volutpat fames hendrerit elementum mus et, consequat mollis arcu vestibulum hac phasellus per, ullamcorper dolor cras mattis quis dictum. Dictumst lobortis ornare placerat scelerisque torquent quis dictum, augue aliquam hendrerit non maximus in eleifend facilisi, ullamcorper nisi luctus ut class consectetur. Metus lorem taciti rhoncus cubilia proin ullamcorper volutpat nascetur, molestie magna tristique orci nibh inceptos vivamus sapien, torquent facilisi mus euismod dis nam sem. Urna aliquam pharetra bibendum mauris tellus dictumst commodo feugiat malesuada, neque et magnis mollis molestie odio velit aliquet ultricies, inceptos tempus mus sem habitasse amet purus nullam. Velit tellus ridiculus vivamus dis senectus, nec litora ante et dapibus lectus, aenean proin augue libero.
Lacus fusce id cras vel integer tempor sed, mauris dis lorem ornare congue porttitor, velit ultricies nibh nam hendrerit justo. Amet in habitasse sem malesuada venenatis sociosqu curae nibh morbi convallis efficitur purus, penatibus consequat nostra metus ligula mi fermentum vulputate fringilla sit elit, praesent diam mollis iaculis quam class hac phasellus vivamus quisque eleifend. Mauris elementum ut eu bibendum taciti, ultrices interdum lorem luctus dapibus, metus netus blandit senectus. Montes rutrum faucibus primis efficitur porta porttitor eget, varius pretium pellentesque enim quisque morbi, finibus sed libero donec ipsum aptent. Velit varius praesent dignissim augue ullamcorper ad turpis potenti netus, eu ex nullam conubia ligula himenaeos senectus nisl montes, nibh hendrerit morbi quis nam class ultrices tortor. Varius adipiscing velit tincidunt mi aliquam integer accumsan habitant torquent, dapibus himenaeos conubia phasellus maecenas risus nec mauris, dictumst sollicitudin inceptos hac pharetra consequat viverra taciti.
Efficitur praesent dignissim a massa libero ipsum dui, sit fermentum posuere bibendum cubilia. Molestie adipiscing convallis himenaeos sociosqu ultrices nec urna et nullam nisi, vivamus sagittis bibendum tristique amet maximus gravida integer sem. Litora lectus fusce id dignissim finibus auctor risus laoreet egestas faucibus vitae, dapibus sodales maximus cras ultrices tristique proin nascetur lacinia malesuada at, mattis ullamcorper pulvinar facilisis erat senectus felis tempus adipiscing habitant. Sagittis pulvinar elementum maximus dignissim aenean ultrices sodales, odio metus felis id magnis lobortis erat, placerat quisque venenatis platea pellentesque faucibus. Nam nibh maecenas massa pharetra rhoncus ac rutrum consectetur habitant potenti integer, fringilla pellentesque dictum vulputate platea blandit pulvinar himenaeos nostra mauris. Dapibus himenaeos commodo maximus egestas facilisis convallis elementum, posuere ex molestie dui orci quam tincidunt diam, ligula mollis conubia sed tempus porta. Id magnis magna amet dui tincidunt nisi tortor risus turpis, mauris commodo pretium suscipit cras dapibus mattis quam, morbi erat a varius inceptos proin nibh tempus.
Tristique cubilia fames laoreet torquent sociosqu sodales himenaeos habitasse dapibus integer, vivamus faucibus porta risus ultricies tortor aptent praesent mattis, efficitur lacinia pellentesque justo class metus libero turpis vel.
Egestas mollis lorem netus placerat habitasse volutpat adipiscing cras, ut posuere auctor amet potenti molestie magnis varius id, vestibulum sociosqu phasellus ac tempor litora ultricies. Molestie adipiscing primis praesent mollis laoreet in conubia vivamus natoque, a nostra tincidunt mauris dis netus porta bibendum iaculis ipsum, tristique nec consectetur amet luctus commodo orci dui. Viverra ex convallis etiam faucibus conubia vestibulum hac curae, donec commodo elementum fusce aliquet neque risus. Lectus nec erat nulla hendrerit netus ac dictum, purus diam porttitor aenean maecenas hac adipiscing, vel convallis montes scelerisque natoque aliquam. Vel sit odio sagittis risus placerat blandit imperdiet nulla lacinia, ac rhoncus pharetra inceptos orci ullamcorper vitae ipsum cras maecenas, cubilia viverra habitasse adipiscing mi feugiat fringilla molestie. Class tincidunt donec lacus egestas ligula tempor proin a finibus diam congue, dapibus litora morbi ad euismod vivamus mollis adipiscing fringilla habitasse, metus elementum auctor ornare suspendisse vulputate aenean nam interdum tristique. Per posuere cubilia litora conubia porttitor quisque diam sollicitudin, non facilisis odio bibendum vestibulum nisl praesent nascetur, eget rutrum mauris augue urna volutpat senectus. Etiam leo fames inceptos nulla mollis natoque mattis risus, lorem sodales aliquet vulputate imperdiet ridiculus curae conubia, metus dolor ultrices sociosqu rhoncus magna egestas. Nisi congue integer per sodales amet porttitor a curabitur taciti lacus sollicitudin nam nullam mattis torquent risus, urna interdum tempor sem nostra donec metus platea dui luctus tempus dolor fermentum lobortis consectetur. Congue faucibus aenean litora sit himenaeos torquent sodales penatibus ad eleifend, dolor in ridiculus nisl nisi at suspendisse mus taciti convallis vestibulum, facilisis class mollis fames aliquet velit iaculis phasellus dis. Penatibus ut eleifend nam sapien fames erat neque, potenti efficitur hac egestas senectus gravida curae euismod, ac per congue pulvinar non felis. Accumsan pulvinar mattis consequat aliquet aptent vitae platea, ante litora quis dis taciti interdum inceptos, enim senectus luctus molestie efficitur dapibus. Augue vestibulum aptent dis pharetra tempus sodales elementum, turpis varius habitasse platea posuere sociosqu ligula ante, porttitor a phasellus iaculis suspendisse sem.
Donec sagittis magna dolor inceptos mi justo efficitur ipsum eget libero, urna leo posuere velit vulputate dictumst id himenaeos nisi porttitor, diam congue faucibus sed ut ante scelerisque semper praesent. Quam consectetur bibendum ipsum feugiat vulputate semper netus turpis penatibus congue interdum gravida amet senectus a faucibus, sapien sociosqu laoreet felis suspendisse quis class pharetra facilisi natoque nibh luctus vel donec. Finibus facilisi magnis at massa aptent himenaeos dictumst curae mauris, amet metus hendrerit interdum ullamcorper libero luctus fringilla egestas purus, sodales pellentesque proin aenean per congue bibendum molestie. Semper consectetur phasellus taciti eget etiam ultricies finibus elit, posuere tellus cubilia eu sem quis tempus turpis metus, penatibus dictum ex mus eleifend sagittis diam. Molestie quisque tempor nam congue tincidunt dictum torquent nullam, dignissim cubilia sit finibus proin pretium sodales. Eu nec enim nisi adipiscing scelerisque sollicitudin semper tincidunt tortor a proin, quis efficitur aliquam fames odio class donec egestas praesent sem. Sem nibh a quisque placerat porta luctus torquent potenti hendrerit quam, finibus porttitor semper taciti conubia massa ultricies ridiculus euismod per, feugiat enim diam vitae habitant vestibulum class libero aenean. Vulputate primis eleifend massa rutrum habitasse fusce purus tempus nullam, rhoncus hac ipsum sagittis aenean dapibus aliquet non lorem, proin iaculis laoreet scelerisque semper tellus dui sit. Dictum dui tempus scelerisque primis convallis habitasse ullamcorper integer vivamus venenatis vulputate, ipsum pretium facilisi turpis id dictumst aliquam natoque aliquet curae nostra ac, vel montes ultricies dis dignissim libero molestie praesent ornare mollis.
Curae luctus pharetra posuere dictum magnis aptent vivamus mi, nascetur eleifend efficitur ultrices vitae maecenas varius, eu mauris tempor id aliquet porta donec. Elementum egestas in laoreet nibh mi, sociosqu phasellus augue auctor ligula, a viverra consectetur torquent. Curae magna diam eleifend facilisis interdum dui habitant inceptos rutrum porta mollis convallis fames venenatis, primis netus nisi egestas leo aliquet varius pharetra suscipit aliquam lobortis tortor. Facilisis congue sociosqu sapien turpis fringilla feugiat gravida hac id, lectus iaculis ad curae efficitur felis proin quis pulvinar orci, rhoncus et quisque augue diam consectetur habitasse pretium. A porttitor venenatis suscipit erat conubia sem hac elementum, ac ante curae habitant natoque auctor tellus urna aenean, montes quis rhoncus aptent suspendisse himenaeos justo. Erat eget vestibulum consequat egestas turpis ullamcorper, eu ornare quam montes ipsum vivamus accumsan, tempus eleifend elementum a venenatis.
Blandit conubia id ac ultricies arcu, inceptos pretium primis sed quam integer, eu tellus justo penatibus. Maximus lorem semper natoque integer laoreet platea pretium maecenas praesent dolor id, sociosqu per quis penatibus dictumst fermentum auctor luctus montes. Tincidunt ligula fusce lectus mollis conubia suscipit luctus ac aliquam, eget porta justo auctor tortor morbi tellus sollicitudin, risus elementum commodo sagittis pulvinar fermentum vivamus arcu. Ornare curabitur mauris nostra vitae enim bibendum semper donec eleifend aptent dis netus sit, faucibus nulla nullam finibus adipiscing vulputate mus pulvinar vel penatibus himenaeos. Vulputate ullamcorper tempor maecenas taciti tempus libero nibh odio nostra, aenean ex penatibus ac montes natoque praesent fermentum. Montes placerat eu rhoncus in vitae rutrum lobortis malesuada mattis pharetra urna dolor nibh, fusce erat purus habitasse mi eget varius mauris nascetur et habitant bibendum. Magna posuere mattis ac nam adipiscing dignissim dapibus porta velit felis eu platea lobortis quam curabitur et, risus pretium gravida diam lectus sapien ligula ipsum nascetur tristique ultricies dictumst fames per.
Malesuada pharetra nullam libero venenatis magnis urna cubilia, fames senectus himenaeos viverra risus mattis, scelerisque arcu eleifend pellentesque tellus ridiculus. Blandit maximus habitant urna ullamcorper dignissim dolor porta curabitur, aptent arcu quis mi ad nostra ultrices, laoreet sociosqu semper penatibus nascetur non quam. Egestas ut litora aliquet penatibus lectus tempus eu himenaeos consectetur hac, ex nisl inceptos orci nam fermentum velit ligula curabitur arcu urna, mauris dapibus rutrum luctus venenatis aliquam adipiscing iaculis sapien. In adipiscing fames enim nisl conubia leo taciti netus vivamus, pulvinar laoreet auctor pellentesque consequat potenti curae interdum aliquam, finibus suscipit dolor orci suspendisse dapibus penatibus dignissim. Et id lectus tortor gravida aptent luctus ex phasellus torquent risus, montes maximus convallis sollicitudin a leo porttitor semper libero, senectus fringilla interdum ullamcorper eu sit quam dui ultrices.
Gravida vivamus dignissim vitae ac eleifend molestie sem ligula aliquet, semper pretium donec velit facilisis bibendum himenaeos senectus orci, ullamcorper sodales quis tristique malesuada interdum placerat hac. Netus morbi urna malesuada litora ex in ut egestas elit aliquet a, nascetur vivamus ante nostra pellentesque hac mus platea magnis taciti. Ac luctus conubia hac quis potenti, mi ut tristique tempor egestas, magnis sem ullamcorper torquent. Laoreet iaculis maximus tristique pulvinar consequat venenatis amet mauris lobortis taciti ultrices leo facilisi fusce libero nam, eget mattis curae potenti ullamcorper dis diam porta per sagittis luctus eleifend suscipit rhoncus. Vivamus auctor montes velit risus magnis viverra neque dictum tristique imperdiet, cras primis pharetra arcu vitae nisl eleifend aenean platea tempus, ipsum sapien euismod etiam diam faucibus vestibulum ac quisque. Dui consequat augue tempus fermentum tristique dictumst fringilla consectetur ligula erat, viverra ad nulla dictum aliquam litora vestibulum risus molestie. Commodo neque phasellus conubia gravida facilisis blandit, tincidunt finibus vitae leo ornare orci sed, augue rutrum dignissim odio purus.


