High-Quality cCTA Imaging Enables FFRct Analysis
Physicians strive to avoid unnecessary invasive angiograms when determining the extent of coronary artery disease (CAD) in a patient as well as CAD’s impact on blood flow to the heart.
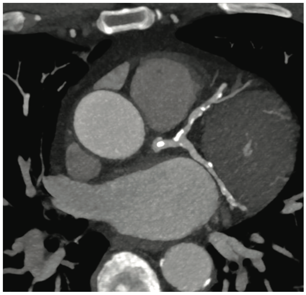
Case Report
During an outpatient visit, a 73-year-old male presents with symptoms of chest pain on exertion. Physicians perform a coronary computed tomography angiogram (cCTA) using a dual source CT system (the SOMATOM Drive from Siemens Healthineers) that enables fast temporal resolution (75 ms) cardiac examinations. The presence of considerable calcifications, plaque, and vessel narrowing prompts the use of noninvasive FFRCT analysis software (from HeartFlow) to assess the effect on coronary flow. The FFRCT analysis indicates a drop in flow in the left circumflex artery (LCX) at levels that may suggest the need for intervention.


