Hemodynamics That Can Make For a Lifesaving Decision in the Cath Lab
Every day in the cath lab we see important and potentially life-changing or life-threatening scenarios involving patients with coronary artery disease, valvular heart disease, or cardiomyopathy. There are several critical hemodynamic measurements that may be lifesaving: arterial pressure (blood pressure [BP]), left ventricular end-diastolic pressure (LVEDP), pulmonary capillary wedge (PCW) pressure and right atrial pressure (RA). Low arterial pressure can be serious and an early warning sign of trouble to come. Hypotension may require emergency action in addition use of other hemodynamics (e.g. LVEDP, PCW, RA) in order to make a rapid diagnosis leading to the correct treatment. As our lab staff are in the process of hemodynamic case reviews, I wanted to discuss arterial hypotension and its causes to prevent potentially avoidable disasters. Other variables like LVEDP, PCW, and RA will be addressed in future editor’s pages.
Arterial Pressure
Reprinted with permission from Kern M, Sorajja P, Lim MJ. The Cardiac Catheterization Handbook. 6th ed. Philadelphia, PA: Elsevier; 2016: 137.
Normally, arterial blood pressure is 120/80 mmHg. As we perform a cath, we should be constantly observing the BP and should be alarmed to a degree when we see BP <90/60. In concert with observing the BP, we should look at the heart rate as well. Low BP with low heart rate may indicate a vagal reaction, while low BP with new tachycardia carries more serious connotations, as it is one of the signs of bleeding. Hypotension usually occurs in the cath lab for easily identifiable causes (vasovagal reaction, transient ischemia, or arrhythmia). At other times, the immediate cause is unknown, prompting activation of the team to identify and treat the patient’s condition(s).
Reprinted with permission from Kern MJ. Cath Lab Digest. 2013 Nov; 21(11):4-14. Copyright HMP Global.
The causes of life-threatening hypotension include left main coronary stenosis, acute myocardial infarction, cardiac tamponade, retroperitoneal bleeding, and anaphylactic contrast reaction. Non-life-threatening hypotension may be due to a vasovagal reaction, sensitivity to pre-medications, or may be artefactual due to loose pressure tubing connections or transducer system errors. For example, a loose tubing connection can register a low blood pressure.
Arterial hypertension (pressure >200/100), while not immediately life-threatening, requires urgent attention to reduce the chance of a stroke or heart failure. Sudden hypertension in the cath lab has been known to be inadvertently induced by the administration of a vasoconstrictor medication unsuspectedly taken from the back table (that’s why we label our meds.)
Hypotension After Coronary Injection
Hypotension after a coronary contrast injection is an early warning sign of trouble. For the right coronary artery (RCA), a vagal response (low BP, low heart rate) would be common and is transient. For the left coronary artery, hypotension can herald danger, with the most immediate life-threatening event being left main (LM) obstruction due to dissection, thrombus, or spasm (Figure 1). A LM ostial stenosis is detected by pressure damping on the coronary angiogram, which takes on a ventricular-like wave pattern (Figure 2). Removal or readjustment of the catheter is important to discriminate between non-coaxial malalignment of the catheter tip and true LM narrowing. In patients with LM disease, forceful injections or catheter manipulations with plaque disturbance may cause acute myocardial ischemia due to closure of the vessel. Hypotension during coronary angiography associated with ST segment changes is indeed a life-threatening emergency that requires emergent evaluation, and possibly angioplasty or bypass surgery.
Hypotension After Ventriculography
Rarely, hypotension after ventriculography may occur due a contrast reaction, arrhythmia (ventricular tachycardia [VT]/ventricular fibrillation [VF]) or left ventricular (LV) perforation. We have previously discussed the dangers of end-hole catheter ventriculography1 by showing a patient with extensive myocardial contrast staining following LV injection using a universal radial Jacky catheter (Terumo) (Figure 3).
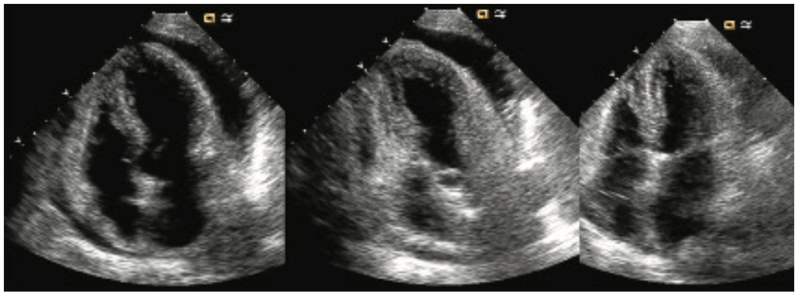
In another case illustrating tamponade after an LV gram or during a percutaneous coronary intervention (PCI) with wire perforation, the arterial pressure tracing (Figure 4) shows a narrowed pulse pressure, tachycardia, and large differences in systolic pressure variation between inspiration and expiration (pulsus paradoxus), typical hemodynamic findings for pericardial tamponade. Noting such a pressure, the operators should prepare to perform immediate pericardiocentesis, begin fluid resuscitation, and notify the operating room as the situation requires. An in-lab echo is very helpful in identifying the fluid and assisting in the pericardiocentesis. Figure 5 shows echocardiographic frames of the effusion, bubble contrast during pericardiocentesis image, and a post-cath evacuation of the pericardial fluid.
The hemodynamics before pericardiocentesis show arterial pressure pulsus paradoxus with a mean arterial pressure of 110 mmHg (Figure 6). The middle frame shows elevated right atrial and pericardial pressures. In this case, although RA/pericardial pressures are not identical, the blunted pressure waveforms and near-mean equalization at around 22 mmHg are consistent with the echo findings. After pericardiocentesis, arterial pulse pressure and respiratory variations have resolved with an increase in mean arterial pressure and decrease in RA pressure. The final RA pressure at 12 mmHg suggests some effusive-constrictive pericardiocentesis remains.
Hemodynamic Waveforms of Tamponade Versus Constricted Physiology
For a quick review, recall that tamponade compresses the heart and elevates all chambers with near end-diastolic equilibration.2 Tamponade blunts the X and Y descents of atrial phasic waveforms (Figure 7, left). Compare the findings in the left image of Figure 7 with those of constrictive pericarditis (Figure 7, right). Pericardial constraint permits early rapid LV filling with a sudden cessation of further filling over diastasis, i.e. the early ‘dip’, followed by a diastolic plateau in both the RV and LV diastolic filling pattern. The right atrial pressure waveform has a steep X and Y descent and W configuration. There is some overlap of hemodynamic filling patterns during early and mid phases of tamponade.
Hypotension After TAVR
Reprinted with permission from Jilaihawi H, Kar S, Doctor N, et al. Contemporary application of cardiovas- cular hemodynamics: transcatheter aortic valve interventions. Cardiol Clin. 2011 May; 29(2): 211-222. doi: 10.1016/j.ccl.2011.01.002.
The complications of transcatheter aotic valve replacement (TAVR) have been discussed3 and are listed on Table 1. Hypotension after TAVR can be caused by the acute coronary occlusion and is associated with the marked ST segment changes of coronary occlusion. The left main occlusion, of course, is the most life-threatening, but also hypotension can occur from occlusion of the right coronary artery (Figure 8).
Reprinted with permission from Ren X, Banki NM. Classic hemodynamic findings of severe aortic regurgita- tion. Circulation. 2012; 126(3): e28-e29. doi: 10.1161/CIRCULATIONAHA.112.103937.
Hypotension after TAVR may also occur due to acute aortic regurgitation due to perivalvular leak or leaflet failure. On examination of hemodynamic tracings immediately after TAVR implant in those patients becoming hypotensive, check for wide pulse pressure and look for other causes of aortic regurgitation as noted above. Hemodynamics can separate acute from sub-acute aortic regurgitation physiology. Acute aortic insufficiency is characterized by near-normal arterial pulse pressure and somewhat slower upstroke, but a very dramatic large upstroke of the LV diastolic pressure curve and slightly increased pulse pressure (Figure 9, left). Compare the left image of Figure 9 to the chronic or subacute aortic regurgitation image on the right, where the pulse pressure is markedly enlarged, with equilibration of left ventricular end-diastolic pressure with aortic diastolic pressure, and rapid rise in the LV diastolic pressure wave over diastole (Figure 9, right).
Another clue to severe, acute aortic regurgitation is a marked increase in left ventricular end-diastolic pressure and left ventricular diastolic pressure with marked upslope of pressure. In addition, in severe aortic regurgitation, the aortic pressure matches left ventricular pressure. A periaortic regurgitant leak may mimic acute aortic regurgitation. The treatment for severe aortic regurgitation during TAVR is rapid atrial pacing (Figure 10). Rapid pacing shortens the diastolic filling period, reduces the aortic flow into the left ventricle, and stabilizes the patient until the perivalvular leak can be closed.
Severe aortic regurgitation post TAVR due to failed leaflet deployment may require a valve-in-valve insertion to restore normal hemodynamics (Figure 11). On rare occasions, hypotension after TAVR may be due to acute mitral regurgitation (Figure 12). The pulmonary capillary wedge or left atrial pressure shows a markedly elevated new V wave (Figure 13), characteristic of mitral regurgitation due to systolic flow into the atrium. The height of the V wave is determined by the compliance of the left atrium. Another setting where monitoring the PCW (or LA) pressures may be important is that of balloon percutaneous mitral valve valvotomy (Figure 13).
Courtesy of Dr. Raj Makkar. From Kalra A, Makkar RR, Bhatt DL, et al. Transcatheter and Doppler wave- form correlation in transcatheter aortic valve replacement. Open Heart. 2018; 5(1): e000728. doi: 10.1136/ openhrt-2017-000728.
A differential list of causes of hypotension in cath lab can be found in Table 2 and a full review of pertinent hemodynamics can be found elsewhere.4,5 I hope this brief hemodynamic review will remind us of the quick reactions that may be needed, and will help staff identify dangerous conditions and prevent problems in your lab.
Disclosures: Dr. Morton Kern reports he is a consultant for Abiomed, Abbott Vascular, Philips Volcano, ACIST Medical, Opsens Inc., and Heartflow Inc.
Dr. Kern can be contacted at mortonkern2007@gmail.com.
On Twitter: @drmortkern
- Kern MJ, et al. Conversations in cardiology: The end of the end-hole LV gram – a consensus of operators. Cath Lab Digest. 2013 Nov; 21(11): 4-14. Available online at https://www.cathlabdigest.com/articles/Conversations-Cardiology-End-End-hole-Left-Ventriculography-%E2%80%93-Consensus-Operators. Accessed January 17, 2019.
- Kern MJ, Seto AH. Your wire went where? Coronary perforation with tamponade and what to do next. Cath Lab Digest. 2019 March; 27(3): 4-8. Available online at https://www.cathlabdigest.com/content/your-wire-went-where-coronary-perforation-tamponade-and-what-do-next. Accessed January 17, 2019.
- Kern MJ. The “big 5”: avoiding the most dangerous complications of TAVR. Cath Lab Digest. 2019 Sept; 27(9): 6-10. Available online at https://www.cathlabdigest.com/content/big-5-avoiding-most-dangerous-complications-tavr. Accessed January 17, 2019.
- Nishimura RA, Carabello BA. Hemodynamics in the cardiac catheterization laboratory of the 21st century. Circulation. 2012; 125:2138-2150.
- Kern MJ, Goldstein JG, Lim MJ (eds). Hemodynamic Rounds: Interpretation of cardiac pathophysiology from pressure waveform analysis. 4th Ed. Wiley-Liss, New York, 2017.


