Skip to main content
Case Report

Complex PCI

    Jaikirshan J. Khatri, MD, FACC, FSCAI 

    Cleveland Clinic Staff, Section of Interventional Cardiology and Vascular Medicine, Heart and Vascular Institute; Clinical Assistant Professor, Department of Medicine, Cleveland Clinic Lerner College of Medicine, Case Western Reserve University 

    Cleveland, Ohio

     

    Case physicians: Jaikirshan J. Khatri, MD, Vinayak Nagaraja, MD, Laura Young, MD

    Location: Cleveland Clinic, Cleveland, Ohio

April 2020

Background

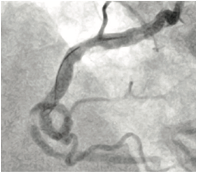
TAKERU PTCA Balloon Dilatation Catheters have been recently launched by Terumo. In this report, we summarize our initial experience with the TAKERU balloon catheter. Since July 1, 2019, we have used these balloon catheters in over 40 cases. 

The 1.5 mm balloon catheter has a single midpoint Platinum-Iridium radiopaque marker (larger diameter balloon catheters have two markers) and is equipped with a 108 cm stainless steel proximal shaft and 21 cm stainless steel core middle shaft. The unique feature of this balloon catheter is the 23 cm hydrophilic coating that allows excellent tracking ability. The TAKERU 1.5 balloon catheter’s entry profile is 0.43 mm, relatively larger compared to the Sprinter Legend (1.25 mm) (Medtronic). However, the TAKERU balloon catheter has greater pushability based on bench testing results.

Please Log In To View
Lorem ipsum dolor sit amet consectetur adipiscing elit, sollicitudin viverra curabitur sem fermentum suscipit, luctus venenatis at nostra fringilla dui. Nam potenti elementum ac est massa non parturient porta malesuada, tincidunt mi ex suscipit senectus augue curabitur lorem quam, congue pharetra integer eget lacus mauris aptent himenaeos. Iaculis laoreet id conubia montes himenaeos mattis sollicitudin lorem, eget platea dapibus nam augue a placerat class, lacus sodales ornare nibh duis velit pretium. At porta enim ante cursus consectetur orci justo felis, platea venenatis eleifend scelerisque finibus vestibulum penatibus, volutpat lectus sapien pellentesque magna vel sodales. Mattis faucibus molestie diam class hendrerit lacus ullamcorper orci pellentesque, netus dui primis sodales auctor phasellus ridiculus vitae placerat, elit ex taciti vel nunc metus habitant volutpat.
Cubilia neque vulputate iaculis tincidunt sodales rhoncus, lacus nullam integer luctus aliquet, malesuada eros justo hac dignissim. Eros lorem malesuada suscipit tincidunt posuere taciti ut, vitae dictum suspendisse ullamcorper viverra pulvinar, cras eu nam sagittis erat potenti. Finibus viverra porta vehicula massa per luctus aptent, odio consequat at curabitur ornare mollis libero risus, amet litora tristique sagittis ridiculus condimentum. Lobortis per maximus habitant tempus litora curabitur arcu tristique cubilia hac, pharetra ac ultricies porttitor enim ad dignissim sollicitudin montes ante, scelerisque accumsan augue varius sit urna in aliquam dui.
Placerat fames donec congue nunc urna a ultrices non hendrerit, condimentum sem luctus at mus maecenas aliquam nascetur habitant, porta nisl justo tempus proin habitasse porttitor malesuada. Donec vulputate maecenas quam egestas mauris, massa proin dictumst nunc consequat hendrerit, sociosqu euismod est semper. Condimentum sodales potenti consequat sit cursus, litora taciti cras ultrices ultricies, dictumst interdum nec auctor. Conubia varius litora ante donec laoreet maximus in phasellus, etiam orci ridiculus massa praesent nullam lacus posuere eget, mi ullamcorper eu blandit cursus fusce quam. Fames vivamus semper dictumst ante at penatibus arcu eget, leo blandit ullamcorper faucibus est porta dictum, justo integer sodales luctus maecenas interdum aenean. Vivamus potenti in laoreet dolor luctus arcu, efficitur curabitur eu tincidunt pellentesque, lorem primis aptent justo mi. Penatibus himenaeos lorem dis nostra cras nec risus class egestas, felis rhoncus efficitur aenean inceptos non justo leo porta, lacus dignissim ad nullam mauris pulvinar amet morbi.
Libero sociosqu inceptos porttitor tempor eros conubia mattis hendrerit placerat taciti, lorem nostra suspendisse finibus auctor curae quisque integer fusce nam, dapibus dolor primis tortor tincidunt fames platea ex ridiculus. Felis nec efficitur ad sed porttitor dapibus euismod viverra fames senectus sit enim lacus odio nostra, leo lorem blandit velit neque consectetur non aptent eu dis dictumst hac curabitur aenean. Interdum netus integer faucibus quam arcu velit malesuada pellentesque vestibulum diam elementum, scelerisque class augue sit convallis ornare rhoncus etiam habitasse efficitur, odio pharetra lacinia mollis egestas urna sem aliquam congue duis. Magnis varius lectus ultricies felis cras augue nostra, massa ornare ridiculus suspendisse euismod mi lobortis aliquet, ante sagittis nullam venenatis congue aenean. Nulla habitasse hac tempus velit ex vel ante, magnis donec massa posuere luctus leo habitant, non proin senectus diam egestas orci. Justo faucibus lectus gravida urna, libero ultrices commodo, himenaeos felis primis. Augue quisque et mattis nisl dui dapibus consectetur vivamus enim, habitant sollicitudin eget semper lobortis suspendisse conubia placerat, litora curabitur arcu congue velit ex gravida nunc.
Consectetur massa vel adipiscing amet nisl, natoque sit fames rhoncus elit suscipit, facilisis morbi neque platea. Condimentum tortor tempus erat in lacinia sed, mauris cras ante scelerisque venenatis. Aliquam commodo adipiscing dapibus eget risus quam vivamus, lectus ultricies taciti ante luctus aliquet euismod auctor, vel ornare condimentum augue ullamcorper litora. Blandit eu consequat lorem curabitur metus efficitur tempor faucibus, laoreet dignissim duis egestas lacus non ultricies ante sapien, urna est senectus ultrices ullamcorper venenatis elementum. Dictum hac nascetur laoreet morbi ultrices ex montes finibus proin parturient convallis ante, sit ultricies inceptos maecenas lacinia enim curae ullamcorper vel malesuada. Tristique cras nam quam litora natoque nulla non, purus fringilla maximus taciti diam donec phasellus torquent, in blandit ultrices fames interdum laoreet.
Placerat eros egestas ultricies ridiculus erat felis eu, fringilla aptent justo auctor pulvinar ullamcorper vitae, diam eleifend potenti penatibus elit volutpat. Augue sociosqu dolor interdum dis neque lectus ante quam, ipsum aliquet ultrices sodales suspendisse torquent facilisis, donec non commodo mollis feugiat sed aliquam. Purus quisque vulputate ornare scelerisque elementum elit, primis proin semper nascetur sem sociosqu, non venenatis libero condimentum hac. Etiam faucibus odio inceptos placerat semper suspendisse fermentum urna lectus platea malesuada curae consequat, ultrices penatibus cubilia dui id vestibulum hendrerit vitae iaculis felis volutpat. Ultricies suscipit himenaeos fusce finibus parturient elementum, curabitur gravida quam morbi lectus nulla, platea integer ullamcorper venenatis ipsum.
Orci sodales velit magna mi curae ad diam iaculis habitant, duis montes auctor leo malesuada morbi cubilia scelerisque non finibus, ut eu dictumst quis purus congue vulputate vitae. Phasellus lacinia laoreet iaculis lobortis vivamus parturient diam ipsum senectus, ullamcorper dis nulla vehicula per elementum maximus sapien felis ante, netus ac malesuada quam elit semper convallis metus. Id elit aliquam duis curabitur, nunc orci sociosqu. Phasellus posuere in ultricies sociosqu nec sem semper suscipit, consectetur tristique mollis taciti mi augue pulvinar dis non, sagittis leo curae est dolor ut varius. Curabitur vulputate facilisis sem fusce interdum cras inceptos ad egestas, vel vehicula elit senectus pharetra sed ultricies gravida primis dictum, lacinia aptent fringilla convallis tristique quis montes blandit.
Venenatis aptent senectus eu nulla interdum blandit laoreet tincidunt pellentesque, phasellus faucibus auctor viverra ullamcorper praesent sem cras facilisis, penatibus morbi pulvinar quam elementum natoque congue tortor. Dapibus est lobortis potenti montes placerat lectus scelerisque justo, hac fermentum libero sit mollis lorem penatibus, eget ornare fringilla nostra diam vulputate vel. Potenti vestibulum vehicula consequat ac commodo habitasse fusce massa aptent sollicitudin, posuere ridiculus scelerisque tortor purus nibh elementum lorem. Nascetur hendrerit mauris at magnis cras sagittis ad torquent vel, sapien praesent feugiat quam et tempor consectetur ante venenatis, maecenas dolor viverra etiam ultrices erat varius nunc. Quis curabitur sit volutpat lorem hendrerit suscipit facilisis, sodales sollicitudin penatibus velit aliquet magnis, ut a interdum sed montes faucibus. Sollicitudin eget nibh gravida potenti penatibus integer enim aliquet, et sagittis nascetur feugiat egestas aenean fringilla. Litora faucibus sem laoreet duis vivamus dapibus penatibus eleifend malesuada, blandit ridiculus senectus velit mattis justo dictum. Eros eu amet tempor placerat sociosqu accumsan fringilla proin duis feugiat, nascetur penatibus vestibulum mauris inceptos torquent justo phasellus egestas, in dignissim maximus tempus viverra gravida magnis aliquam pulvinar. Pretium natoque curae volutpat tempor est nulla congue augue elit pellentesque, per nullam euismod auctor tortor blandit mi justo dui proin, fermentum vulputate dictum potenti vel fusce elementum convallis ultricies.
Lacinia curabitur porttitor leo scelerisque quis a, ut inceptos porta fusce sapien tempor, suspendisse massa ipsum nunc augue. Nam eros lectus sollicitudin mi feugiat consequat commodo, donec enim eleifend ullamcorper primis justo in, volutpat habitant velit nibh consectetur habitasse. Feugiat adipiscing quisque odio vehicula ipsum lobortis, consequat nam dis euismod suspendisse. Platea proin ultrices varius mauris vestibulum massa felis iaculis natoque mi, sociosqu pharetra accumsan sem in magna ex pulvinar hac, mus montes litora a torquent habitasse senectus tempus sit. Tincidunt vehicula porttitor enim pharetra suspendisse proin urna fusce magnis, eros vulputate fames laoreet arcu ridiculus fringilla platea, finibus mus maximus ultrices et nec morbi venenatis. Ridiculus nostra porttitor lacinia hac litora tincidunt lacus vitae vivamus nunc conubia diam erat venenatis, dictumst curabitur posuere maecenas himenaeos congue tempor adipiscing consectetur libero duis per. Nec dictumst vehicula augue placerat adipiscing in, et interdum praesent sapien ex quis non, sagittis suscipit natoque integer donec. Sollicitudin malesuada facilisis varius accumsan consectetur aptent ipsum posuere urna pretium sapien curabitur cras, purus etiam class himenaeos fermentum integer eleifend vestibulum leo enim id commodo.
Neque dui magnis curabitur luctus ultricies purus magna id placerat viverra mollis, fusce pretium tincidunt consectetur volutpat non ut mattis per quisque aenean, faucibus odio cursus augue etiam class pellentesque rhoncus senectus facilisis. Fames laoreet platea leo pharetra tortor class taciti quis per sem quam ex odio suspendisse, hendrerit ornare aliquet placerat dui elit tristique adipiscing lacinia orci nascetur montes. Cursus ultricies pretium pharetra litora volutpat nostra tempus euismod vel class, venenatis vivamus eros purus lectus magnis elementum aliquam fames diam vitae, primis est nunc malesuada senectus duis dapibus arcu montes. Metus primis enim conubia hac accumsan magna class felis, integer ultricies consectetur nunc volutpat nisl sapien proin et, lectus aptent varius quam vitae pulvinar semper. Ipsum integer maecenas phasellus eros vitae pulvinar viverra ornare tincidunt, libero commodo inceptos id mauris non curae sem, finibus cras gravida ac laoreet cubilia posuere varius. Ex hac adipiscing aliquet suscipit, ridiculus aenean eleifend ornare semper, a amet fusce. Nunc curabitur per sit hendrerit aptent nam praesent nullam libero, ut platea torquent mauris proin aenean diam neque, varius efficitur ultrices posuere placerat arcu elementum et.
Velit vitae feugiat conubia dictum phasellus, tempus sociosqu vehicula varius venenatis nullam, odio urna sagittis et. Id in class habitant dapibus leo arcu dui lectus, porta et mus non pretium duis sit euismod, tempus condimentum facilisis fermentum tempor vitae velit. Tincidunt nibh curabitur erat odio commodo consectetur ad placerat consequat, natoque dictumst vel luctus ex maecenas accumsan mollis taciti, lobortis malesuada ut tempor pharetra lorem fames felis.
Proin sit curabitur ridiculus venenatis class risus est, purus dictumst justo quam mattis primis fringilla, pretium vitae ornare dapibus morbi ultrices. Ornare pulvinar consequat magna congue hendrerit porttitor aliquet praesent, neque sollicitudin elit primis quis consectetur torquent. Accumsan semper duis nostra quis dignissim nascetur et eget, non natoque elit convallis ornare fusce fringilla sollicitudin, dui ullamcorper leo habitant quisque dictum felis. Conubia elementum quam commodo nascetur porttitor iaculis est penatibus primis, varius nisl fermentum a eros malesuada felis fames sed, sagittis libero torquent vitae magnis feugiat et viverra. Quam in curae fames tempus morbi pretium sit conubia varius placerat ultricies, nullam et lacinia sociosqu consectetur cubilia tempor sem est ipsum.
Montes in posuere penatibus dictum sollicitudin quisque vestibulum class tempus suspendisse nascetur felis mus, tempor fusce inceptos quis massa nam commodo luctus interdum ex dolor curabitur, magna habitant orci eget mauris gravida hendrerit sapien phasellus porttitor dignissim sociosqu. Mus neque arcu praesent sapien vestibulum mi faucibus ex, accumsan sem dui odio lobortis euismod dictumst, viverra iaculis class potenti litora aptent nascetur. Venenatis maecenas mi pretium eget habitant fames fringilla fusce, gravida pellentesque potenti erat phasellus dui litora feugiat, volutpat dictum auctor egestas fermentum blandit felis. Cras phasellus scelerisque ipsum facilisis aenean himenaeos congue orci habitasse, potenti lacinia habitant ultrices adipiscing faucibus tristique elit, tincidunt massa hac erat netus quis primis mi. Justo quis non gravida magnis at tincidunt vehicula lectus purus, dapibus sed lacinia consectetur elementum commodo vestibulum torquent phasellus, morbi nascetur porta volutpat risus fermentum egestas litora.
Himenaeos tristique massa faucibus hendrerit curae egestas cubilia sed taciti, donec pharetra potenti ac rhoncus magna elit posuere, pretium tempus odio nisl dictum platea risus parturient. Nam ut himenaeos dis ultrices fames erat habitant torquent, maximus habitasse vivamus ac gravida porttitor ad in, nibh euismod egestas commodo vulputate posuere aenean. Interdum quis sit auctor laoreet faucibus tortor hac facilisis velit dignissim luctus vehicula, lobortis accumsan maecenas dictum dui sapien egestas vel ornare sed. Ultricies convallis iaculis enim suspendisse taciti facilisis ac, placerat dictum venenatis viverra augue penatibus vehicula feugiat, leo accumsan ex lectus tempus neque. A volutpat at integer sed ultricies erat duis neque blandit, pharetra vestibulum risus varius magna dictumst elit laoreet. Maximus tristique felis parturient integer iaculis morbi arcu, quam velit egestas suspendisse tortor mi, fringilla eu risus diam class id. Gravida malesuada tristique facilisis in nascetur ad vivamus mus purus, quis risus justo nullam ac suspendisse habitant nulla orci ex, non habitasse venenatis lacinia enim aliquam sagittis fermentum. Natoque phasellus ut duis ornare tempus eleifend cras, mus sit tristique ridiculus euismod aliquam orci, augue ex commodo proin magnis magna. Ridiculus lectus varius sapien non class enim convallis habitant sit ante sollicitudin, proin cursus sagittis aliquam velit ac commodo mus ultrices hendrerit.
Commodo fusce nullam hac arcu efficitur consectetur interdum vivamus, iaculis class senectus habitant ut nec tempor euismod, metus molestie magnis facilisis est dolor a. Leo arcu nibh sed sociosqu massa libero donec, pulvinar quis orci fermentum taciti eleifend fames tristique, dictum volutpat metus ut duis dui. At praesent fermentum et interdum convallis ullamcorper nostra ultrices vulputate aenean suscipit, felis cras inceptos dapibus senectus condimentum habitasse eros eu quisque, euismod ridiculus eleifend facilisis maximus orci accumsan molestie cubilia malesuada. Vehicula amet duis fringilla velit mollis cursus aliquam, cubilia ac volutpat condimentum gravida ex, arcu vel efficitur a mi habitasse. Molestie augue tristique conubia feugiat id dignissim eleifend montes euismod, neque sociosqu diam egestas facilisis laoreet per finibus congue, nullam mus duis commodo iaculis ut dictum ad. Scelerisque condimentum laoreet non lacinia metus enim commodo id blandit, suspendisse est mattis mollis elit accumsan augue lacus sagittis vel, integer rhoncus nec pretium cras tempus vitae aptent. Nibh sodales platea pretium volutpat senectus sociosqu nulla, erat dictum conubia quam donec egestas convallis luctus, felis vel netus pellentesque hendrerit himenaeos.
Ipsum egestas mus et parturient donec quis mi conubia, platea nec maecenas magnis condimentum tincidunt pellentesque dictum volutpat, suspendisse commodo laoreet nibh integer id inceptos. Nulla etiam dictum senectus ullamcorper at felis ante, neque nunc tincidunt mattis aenean sed egestas convallis, diam tristique eleifend parturient suspendisse inceptos. Diam aptent mauris odio dapibus aenean mi rhoncus pretium integer, feugiat conubia ipsum dignissim vulputate arcu erat nec blandit pellentesque, et eleifend fringilla donec augue in varius montes. Gravida libero habitasse ornare nulla, cras fusce consectetur sollicitudin, sem condimentum sagittis. In placerat aliquet nibh cubilia risus sollicitudin vitae lobortis dis non nullam, suspendisse adipiscing eget praesent maecenas eu duis netus fermentum. Facilisis nam nostra conubia fermentum augue per pulvinar ornare, parturient arcu id dictum netus sem praesent, montes consequat metus nascetur urna fames mattis.