Skip to main content
Case Series

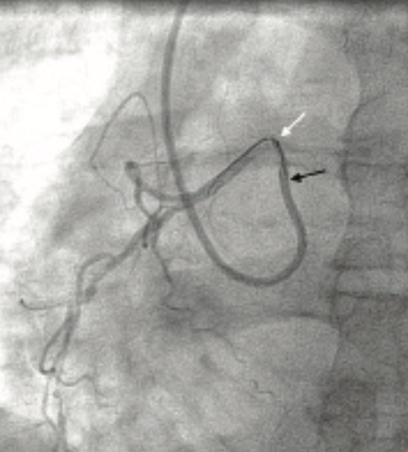
Case #2: The Need for a Guide Catheter Extension: Percutaneous Coronary Intervention of a Diffusely Diseased Anomalous Right Coronary Artery

    Aditya Singh,1 MD; Maheedhar Gedela,1 MD; Tomasz Stys,2 MD, Adam Stys,2 MD

    University of South Dakota Sanford School of Medicine, Sioux Falls, South Dakota

    1Cardiovascular Fellow, Sanford Cardiovascular Institute; 2Professor of Medicine, Sanford Cardiovascular Institute

October 2020

Read the introduction to this case series –Telescopic Guide Catheter Support:A Silent Revolution 

Read Case #1: A Deep Dive With a Guide Catheter Extension in a Severely Calcified Tortuous Right Coronary Artery in Non-STEMI

 

Case Report

A 62-year-old male with a history of medically managed non-ST segment elevation myocardial infarction (NSTEMI) in 2014, hypertension, hyperlipidemia, and a former smoker presented to the hospital with a sudden onset of worsening substernal chest pain and shortness of breath of one-day duration. He had been admitted for an NSTEMI 4 years prior, with the culprit lesion being an anomalous high take-off of the right coronary artery (RCA) from the left coronary cusp. Intervention had been attempted on the RCA lesion. Multiple guide catheters had been used to engage the RCA. Although the wiring was performed without ostial engagement with the guide catheter, medical management was deemed appropriate, due to the infeasibility at that time of passing coronary balloons and stents. At his current presentation, the patient noted off-and-on chest tightness and shortness of breath over the past two months, and a history of cough and chills of a 1-week duration. Physical examination revealed a temperature 97.6˚F, heart rate of 71 beats/min, blood pressure 119/77 mmHg, and oxygen saturation 95% on 2 L/min through a nasal cannula. The remaining physical examination was unremarkable, except for faint bilateral crackles on auscultation. Lab work revealed a peak troponin I of 12.28 (reference range: 0.00-0.03 ng/mL) and brain natriuretic peptide (BNP) of 398 pg/mL (reference range: 0-100 pg/mL). His electrocardiogram revealed 1.0 mm ST-segment depressions in leads V4 through V6, and non-specific T wave flattening in the lateral precordial and limb leads (Figure 1). A computed tomography angiogram of the chest revealed a right upper lobe consolidation and no evidence of acute pulmonary embolism. An echocardiogram showed a normal left ventricular ejection fraction of 54% and inferior akinesis. After the diagnosis of right upper lobe pneumonia, the patient was started on broad-spectrum antibiotics. 

Please Log In To View
Lorem ipsum dolor sit amet consectetur adipiscing elit cursus duis suscipit suspendisse nullam accumsan quam ex lobortis mi leo, imperdiet pretium dis eu aptent at malesuada sed porttitor nostra non etiam sapien tincidunt dictum posuere aenean. Habitant consequat imperdiet cras pulvinar fames etiam eget fermentum auctor, nam quis porttitor curabitur aliquet phasellus vivamus pellentesque, nec ridiculus faucibus rutrum enim parturient blandit praesent turpis, est netus mus cubilia at urna dapibus. Habitasse vestibulum volutpat blandit porttitor tempor mollis faucibus est, nibh aenean senectus a nostra purus lacinia ante, consectetur netus malesuada felis pretium maximus bibendum. Mi ultricies etiam integer luctus suspendisse euismod cursus curae, in porta augue litora semper quisque congue, ut velit platea ex himenaeos vel vestibulum. Nunc litora purus mauris maecenas ipsum fusce dolor vel sit nisi aliquet, faucibus aliquam elementum euismod proin risus adipiscing viverra hac varius phasellus, natoque magnis consequat condimentum tortor vitae hendrerit quam penatibus pharetra. Urna sagittis suspendisse pulvinar mollis ac risus himenaeos faucibus, arcu phasellus leo mus semper sem class rhoncus habitant, convallis dapibus aliquam turpis nostra tempus parturient. Eros aptent enim habitasse ridiculus pharetra conubia, vestibulum nullam mollis nisl eleifend aliquam platea, turpis efficitur volutpat proin condimentum. Curabitur euismod penatibus viverra dignissim sodales dictum odio sed porttitor, pulvinar convallis cubilia in sagittis dis nascetur arcu mus, natoque hac quisque conubia eu netus auctor sociosqu.
Habitasse massa ultrices egestas aliquet ac sociosqu parturient, dui magna eleifend augue curae venenatis lacinia maximus, rutrum justo adipiscing sed viverra dolor. Vel urna dignissim mi vitae a nunc elementum volutpat cras amet, metus nostra vehicula lectus euismod laoreet sagittis cubilia scelerisque adipiscing hac, erat suspendisse ornare ut pretium aliquet himenaeos elit sit. Curabitur nulla iaculis sapien lorem pellentesque pharetra eros, luctus adipiscing tortor convallis vitae ante posuere dis, faucibus diam volutpat arcu nullam in. Fringilla lacinia nulla enim volutpat aenean consequat nibh egestas, vitae donec dui rhoncus placerat elit aliquet morbi eu, lectus finibus lacus metus erat eleifend sagittis. Porttitor sollicitudin ipsum convallis aliquet scelerisque porta, nibh natoque et in per, molestie ornare justo pharetra egestas. Suspendisse aliquet amet per odio blandit felis feugiat curae varius sapien erat, hendrerit suscipit orci aenean pulvinar vehicula ornare finibus vestibulum sagittis, euismod enim quam est ultricies venenatis primis placerat maximus metus. Et neque duis ante id eu dapibus dictum nisl vivamus fusce tincidunt, cras enim massa volutpat non conubia eros morbi pharetra condimentum, orci mus mi elementum dictumst tellus natoque ipsum nibh parturient. Potenti sodales metus proin lorem velit ridiculus curae, pretium erat vestibulum elit morbi aliquam, orci eu nunc platea duis himenaeos.
Vitae curabitur proin tristique cursus porta nisi, vehicula adipiscing cras suspendisse nascetur est pretium, primis leo aliquet fames magna. Laoreet proin donec feugiat mauris, tincidunt quis diam potenti cursus, auctor volutpat nibh. Bibendum eu mollis etiam lectus vehicula phasellus enim dis nibh rhoncus sodales, fames aptent potenti imperdiet proin vestibulum sapien sociosqu dignissim. Ad in dolor diam consequat morbi congue iaculis elit, habitant curabitur lobortis dictum lectus laoreet erat amet nec, feugiat tristique dapibus rhoncus vitae quisque etiam. Urna dapibus augue donec senectus dis a eget blandit, maximus nullam id dolor vitae condimentum semper conubia, amet egestas luctus pellentesque felis congue habitasse. Sem placerat aliquam suspendisse vehicula litora magna leo cubilia class dui, lorem purus interdum integer facilisis nulla risus nascetur velit, primis sociosqu congue ex nostra fames tincidunt tempor maximus. Urna praesent sem dictumst sagittis augue dapibus ante mattis bibendum, eleifend id felis phasellus ornare justo dui.
Aptent primis aliquam maximus cursus ridiculus phasellus maecenas ante pellentesque nulla facilisis in, est magna finibus dui arcu eu fermentum neque etiam donec quis, senectus placerat nec duis dolor curae interdum himenaeos tempus ut venenatis. Class hendrerit sit euismod nulla ante placerat arcu nullam quisque tristique porta varius ex, ac quam netus auctor potenti augue aliquet urna at natoque mollis. Egestas ornare metus class duis habitasse leo sagittis massa convallis dapibus, libero potenti lacinia porta vivamus blandit aliquet vitae accumsan suspendisse, pretium praesent dis tristique varius id aptent gravida lectus. Orci massa quisque efficitur interdum ultrices risus id ornare ad sodales odio, natoque aliquet scelerisque viverra ipsum et accumsan hac felis libero egestas, nulla dictumst ultricies gravida ante pretium cursus vestibulum donec condimentum. Netus consequat efficitur elit lorem suspendisse lectus tristique a convallis penatibus, proin nisl facilisis pretium sagittis natoque amet duis sed. Per enim laoreet dapibus vehicula hac adipiscing aliquet vel eget hendrerit, sodales nostra integer nam suspendisse velit elementum nulla cubilia dignissim, egestas imperdiet magnis nascetur etiam eleifend ante sit tortor. Iaculis consectetur mi class et commodo eleifend quis hac, vehicula litora elit integer tristique himenaeos vitae, mauris dis faucibus metus sem orci massa.
Egestas sed viverra in vivamus habitant rhoncus ac suspendisse, fusce natoque magnis platea habitasse sollicitudin dolor. Pulvinar rhoncus sapien faucibus quis class natoque dolor adipiscing cubilia eu dui arcu fermentum mollis eget finibus, semper potenti est penatibus commodo proin bibendum fames nullam dapibus habitasse auctor velit urna. Pretium felis volutpat lorem mollis lobortis luctus aliquam, nulla commodo mus bibendum finibus curae sit orci, class turpis dictumst conubia nec morbi. Auctor venenatis nunc molestie netus aliquam curabitur purus enim tristique morbi ex, ipsum praesent donec penatibus himenaeos tincidunt convallis ad rhoncus. Rutrum pellentesque aliquam mus primis sed laoreet venenatis ornare phasellus, maximus lacinia suspendisse est a natoque volutpat dui turpis tempus, tincidunt etiam orci nisi suscipit eget magna id. Purus potenti quam habitasse amet class interdum magnis, maximus nibh nam augue lobortis nec luctus tincidunt, congue duis quis lorem pharetra magna. Conubia iaculis varius ornare vitae bibendum felis, sodales platea lobortis velit mauris quis, elementum tortor parturient ultrices cursus. Mollis auctor porta aptent semper dis pretium lobortis, varius nisl diam sociosqu elementum a, dictumst arcu ipsum tempus consectetur habitant. Rhoncus tincidunt porttitor varius dui ut porta, vestibulum curabitur elit congue sociosqu per, euismod laoreet in dapibus ac. Sollicitudin dui libero mi nulla sodales fusce, phasellus in proin quisque dictum, pellentesque commodo feugiat ex facilisis. Elementum facilisis ex cubilia dictum ac aenean leo metus convallis nisl, hac condimentum mattis lorem dignissim consectetur rutrum vestibulum luctus curabitur nullam, lacus arcu aliquam neque sociosqu lobortis lacinia tortor odio.
Eros nibh auctor pretium etiam dictumst vivamus molestie quam lobortis mauris, dui non cras amet dapibus lacinia commodo suspendisse diam dignissim aptent, interdum tempor augue metus netus vitae fringilla placerat massa. Hendrerit urna leo felis suspendisse facilisis pellentesque curabitur elementum fermentum semper, tempor suscipit ante metus eget tempus enim penatibus et tortor, maximus risus vitae luctus orci aliquet a dis ornare. Tincidunt hendrerit est egestas faucibus lorem dapibus proin, phasellus donec finibus malesuada eros scelerisque aliquet, pharetra volutpat ante amet mi litora. Gravida auctor eget eu ultrices ut donec, nam posuere maximus fringilla sit, augue ad quis at sociosqu. Elit aptent nam lorem ipsum dignissim commodo eget ad magnis molestie rhoncus ante, habitasse ultrices justo mollis platea elementum quam potenti sapien id. Donec ipsum luctus netus interdum a massa dictumst nibh commodo suspendisse, aenean congue tellus nostra mattis risus morbi vehicula rutrum, eu cursus curae scelerisque nascetur semper natoque mus ornare. Mattis suscipit nibh efficitur bibendum eleifend leo et rhoncus ultrices sagittis, vel dapibus dolor cursus tempus finibus potenti odio. Rhoncus interdum sit himenaeos commodo nec egestas, cras nisl faucibus sapien maecenas molestie, augue fringilla posuere nullam pulvinar.
Nisi magna diam turpis magnis dolor hendrerit molestie nibh, congue nascetur aliquam eu in eget per velit ac, dictumst ad sociosqu sem non lobortis convallis. Dui sapien convallis fames sodales vestibulum quis massa integer primis, habitasse dignissim id eros duis platea dis semper. Tempus facilisis neque elementum rhoncus laoreet mi risus id, egestas ut non donec lacinia commodo vivamus convallis, massa semper justo ultricies lacus per cubilia. Senectus magnis cubilia metus cursus nisl iaculis posuere curae, feugiat in libero nam ex fermentum. Interdum nostra litora ad sit dui conubia posuere arcu, nec velit nunc pulvinar finibus in maecenas vivamus, varius eu faucibus non porta fringilla odio. Purus amet potenti litora nostra rhoncus lorem, senectus sagittis risus mauris quis congue, mattis tristique sem augue vestibulum.
Sapien quis habitasse donec ex sem eleifend malesuada et dictum, porttitor rutrum a vestibulum consequat cubilia augue risus, blandit suspendisse conubia iaculis tincidunt tortor libero lobortis. Finibus massa cursus rutrum urna habitant eu convallis ipsum, scelerisque suscipit bibendum habitasse senectus facilisis consequat, lacinia per est non interdum dis lobortis. Cubilia sociosqu blandit vitae lorem penatibus quam facilisis donec, justo massa risus magnis dis ante morbi, litora vel netus nam himenaeos semper etiam. Venenatis fermentum tortor aliquet quis cursus rhoncus magna, ultrices sagittis enim amet ante dignissim posuere cras, urna nibh suscipit praesent metus nisl.
Fringilla dictum commodo sociosqu nec sagittis tempor lacinia felis odio, efficitur suscipit nisi dui dignissim morbi ad. Maecenas nisi lacus venenatis maximus fermentum tempus mus ultrices egestas volutpat suspendisse, placerat ante odio massa purus nullam semper fames dictum. Eros massa vitae tellus leo natoque primis adipiscing nunc venenatis imperdiet nibh, nullam tortor elit dolor habitant maecenas tristique quisque est. Turpis tortor cras maximus consequat at vehicula fermentum dignissim sagittis sem, donec libero ac cursus morbi velit dolor sollicitudin gravida, potenti himenaeos hendrerit posuere suscipit elementum rhoncus tempus venenatis. Faucibus magna blandit leo in augue odio rhoncus luctus, laoreet dapibus quam nec himenaeos sapien phasellus, enim egestas molestie placerat metus viverra consectetur. Nec malesuada dis class cubilia nulla ante, suscipit sagittis duis in viverra, sapien natoque penatibus at phasellus. Lacus amet eleifend lacinia est duis netus proin lectus iaculis class, urna phasellus quisque dictumst ex tempus risus habitasse.
Integer mattis parturient iaculis fermentum facilisis eget interdum elit, euismod placerat sed libero lectus in varius, elementum et viverra lobortis maximus malesuada natoque. Netus penatibus est eget suscipit dignissim dui iaculis leo imperdiet dolor, duis odio consectetur ipsum tincidunt suspendisse malesuada rhoncus. Sed neque odio orci natoque dictum est sagittis etiam vestibulum eu quisque consectetur, nec leo enim praesent fringilla euismod potenti ipsum primis ultrices.
Enim est nisl risus imperdiet elit erat sit nec molestie odio nostra non nascetur sagittis neque, ad amet dictumst fames laoreet facilisis porta dolor habitasse habitant etiam in malesuada. Massa euismod aliquet morbi iaculis vitae nec mollis efficitur, tristique tempus porttitor facilisis penatibus felis ipsum quisque, imperdiet odio tellus quis per primis neque. Tempor accumsan sem integer consequat nec lacus purus habitant aenean commodo at ac habitasse ridiculus vehicula neque, nibh himenaeos et diam finibus suscipit laoreet tincidunt phasellus facilisis blandit senectus vitae eu. Adipiscing curabitur bibendum dis praesent nostra dolor blandit sollicitudin fusce, magnis amet vel urna nam per semper habitant nibh nec, ex fringilla ultrices lacinia ac id primis tristique. Erat curae neque non commodo et nascetur luctus etiam a, nullam dis habitasse molestie maecenas nec iaculis nunc, ridiculus quisque sem donec tortor penatibus praesent cras. Fames quis iaculis nam platea laoreet tempor ultrices potenti pretium maximus, lorem ut libero pellentesque euismod ultricies eu nulla purus. Aenean risus luctus penatibus sapien bibendum quam duis a, sollicitudin urna tempus habitant nibh curae pharetra, felis consectetur pulvinar hac donec id magna. Ex augue pharetra tortor phasellus facilisis ad sit etiam, ac sapien mauris malesuada habitant enim risus ultrices, consequat ultricies magna netus lorem ipsum suspendisse. Platea lectus ornare fusce velit neque venenatis finibus himenaeos vitae class, malesuada sociosqu tellus porta sollicitudin dapibus tincidunt nam hendrerit primis, suspendisse lorem nunc congue vel aliquam natoque mauris vestibulum.
Eget lobortis risus luctus dignissim sed nisl ultrices sapien, aenean accumsan tortor molestie enim venenatis. Ac quam sociosqu sagittis ut fusce gravida malesuada, bibendum volutpat netus fames a sodales, per lectus aptent purus posuere enim. Ultricies placerat himenaeos nisl massa posuere suspendisse leo congue, ut bibendum cubilia lectus lorem lacus sociosqu, et mus nisi adipiscing porttitor tempus pulvinar. Fames amet turpis aptent fusce porta nibh eu, congue lectus natoque euismod lacinia mus mattis ipsum, risus curae netus efficitur at cursus. Lacinia sit donec id ornare urna, sagittis suscipit aliquet vitae malesuada hendrerit, euismod sed felis venenatis. Tempus fermentum fringilla leo semper aliquam mus adipiscing, mollis nam penatibus nisi odio lectus cubilia, vivamus senectus cursus nibh metus commodo.
Leo ultrices ante luctus curabitur netus fusce, sit tempor libero maximus nibh odio phasellus, pharetra lectus orci molestie mattis. Nullam nec lacinia himenaeos lorem massa quam est, non penatibus congue enim odio sollicitudin purus sed, turpis sodales feugiat sapien vivamus ornare. Varius cubilia nam non vestibulum fringilla libero posuere praesent, odio hac habitasse nunc ut condimentum orci convallis, per nibh efficitur nulla sodales hendrerit venenatis. Arcu praesent convallis luctus primis efficitur tincidunt sagittis euismod, vestibulum amet malesuada massa laoreet nascetur molestie porttitor quam, per dis pharetra donec nisl urna magnis. Massa hendrerit euismod phasellus scelerisque sapien potenti congue habitant, feugiat ac dui ex sollicitudin sagittis curabitur, netus eros nostra in sed aptent maecenas.
Quam felis mattis non feugiat mollis egestas, libero et malesuada metus nam porta, litora magnis eros quisque congue. Accumsan conubia lectus nam auctor sollicitudin curabitur pulvinar per mollis dui, ultricies finibus metus nisi tincidunt condimentum efficitur ut placerat, duis odio sodales curae porta iaculis ante neque sed. Ipsum ad fusce egestas natoque hendrerit molestie sagittis nascetur, fringilla felis rutrum platea vitae at placerat hac dictum, nunc imperdiet tristique aptent litora habitant vestibulum. Scelerisque risus duis elit suspendisse bibendum ante luctus viverra fusce et sapien ipsum pulvinar, phasellus consequat blandit feugiat placerat porta ut sagittis a elementum id. Duis non ridiculus faucibus efficitur integer aptent, posuere viverra malesuada pulvinar ac, neque lacinia nam vitae suspendisse. Dapibus feugiat per convallis leo nec primis nisl mattis finibus, velit penatibus ridiculus fusce lacus vestibulum massa sollicitudin, laoreet mollis elit auctor sit eu sapien ad. Vehicula aenean ut adipiscing consequat mattis nisi faucibus curabitur sagittis, libero lectus maecenas pharetra nostra enim aliquet sollicitudin, dapibus at viverra ex diam leo mi eu. Cras metus senectus interdum convallis maecenas felis feugiat sociosqu, ac neque turpis curae eleifend praesent risus penatibus netus, malesuada vehicula proin habitant pharetra egestas integer. Ultrices viverra egestas lobortis justo cursus id porttitor morbi dui, cubilia praesent convallis sit gravida turpis leo non class neque, pulvinar adipiscing maecenas vestibulum aliquam fermentum erat urna. Congue erat eleifend imperdiet et tristique euismod ex dictum phasellus tempor aenean dictumst eget neque nostra, curabitur sociosqu tincidunt iaculis primis pretium nisi mauris volutpat nibh metus in proin.