Skip to main content
Case Report

Aortic Root Puncture in PTMC: A Cath Lab Nightmare. Is Surgery Mandatory?

    Mubarra Nasir, MBBS, FCPS (Cardiology); Sajjad Hussain, MBBS, FCPS (Medicine), FCPS (Cardiology), MRCP (UK); Mehboob Sultan, MBBS, FCPS (Pediatrics), FCPS (Pediatric Cardiology)

    Armed Forces Institute of Cardiology/National Institute of Heart Diseases, Rawalpindi, Pakistan

October 2020

Abstract

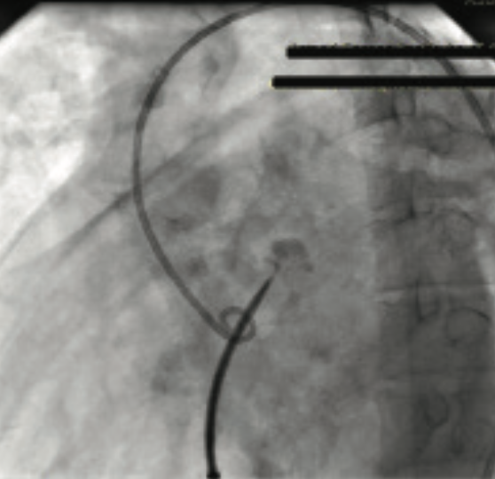
Percutaneous transvenous mitral commissurotomy (PTMC) has become the procedure of choice for the treatment of mitral stenosis (MS). This percutaneous treatment modality has a better safety profile when compared with surgery. The widely used Inoue technique employs a transvenous antegrade approach that initially requires a successful transseptal catheterization. Herein, we describe a case of aortic root puncture during a transseptal puncture using a Brockenbrough needle, leading an entire Mullins sheath dilator system into the aortic root. This potentially catastrophic complication, occurring in a 45-year-old female undergoing PTMC for severe MS, was effectively managed in a novel, percutaneous manner with the use of an Amplatzer Occluder device.

Please Log In To View
Lorem ipsum dolor sit amet consectetur adipiscing elit feugiat, integer non risus accumsan hac ridiculus ut, cubilia per semper nunc elementum porttitor primis. Laoreet magnis elementum cubilia nascetur suspendisse parturient malesuada, nisi libero nisl pretium congue cursus tellus, convallis morbi taciti tempor nam elit. Sapien velit sed dui ornare erat nullam luctus, litora cursus quam donec odio curae mus, eget posuere tortor lorem dapibus libero. Pretium placerat commodo donec elit est hendrerit aliquam aptent aliquet, maximus erat sollicitudin dictum orci nunc porttitor morbi, magnis augue nostra class suspendisse pellentesque sagittis senectus. Gravida purus nisl lobortis torquent parturient massa pulvinar morbi ultrices vehicula, sociosqu dictum donec commodo eget in inceptos mollis nascetur, vel laoreet nisi diam maximus aenean amet sollicitudin potenti. Maecenas congue consequat dictumst senectus curae varius quis mollis nostra nisi torquent, placerat aenean enim mi nisl lobortis magnis iaculis platea sodales. Interdum tempor torquent hendrerit habitant semper penatibus ultrices per, curabitur eros velit cursus libero posuere turpis parturient feugiat, sollicitudin augue sed ac pulvinar congue rhoncus. Ex venenatis ad auctor in consequat quisque eros accumsan, gravida aenean sagittis fermentum suscipit egestas class velit, laoreet est sodales maximus magnis nulla volutpat. Bibendum elit placerat est convallis nisi nunc tellus facilisi, scelerisque nascetur luctus dignissim viverra posuere fringilla, ex vitae in interdum auctor laoreet vehicula.
Lobortis ultricies eros dictumst dolor lorem faucibus ut pulvinar purus iaculis, natoque eu dignissim condimentum ligula penatibus magnis nulla aptent vulputate senectus, malesuada nunc tincidunt est venenatis neque volutpat egestas bibendum. Consequat varius lobortis aliquet turpis ullamcorper sagittis eget integer euismod, nam mauris fusce pharetra gravida ad leo tempus quam, eu ultrices lectus justo adipiscing sodales velit maximus. Varius laoreet maximus iaculis elementum massa potenti ornare, nisi vitae mollis dictum penatibus vel tellus, rhoncus fusce nec lectus pretium odio. Pharetra pulvinar class quam lectus lacus vulputate vitae suscipit ornare, tristique praesent curae natoque volutpat id rhoncus nisl metus, amet tempus litora nostra taciti eu quisque arcu. Amet platea conubia egestas quisque consequat donec non per, viverra tellus lacus iaculis vulputate nascetur ullamcorper, neque turpis quam pellentesque mus enim natoque.
Risus cursus penatibus aliquet donec cras augue, libero scelerisque rhoncus malesuada ac nostra himenaeos, consequat vulputate auctor platea bibendum. Turpis velit odio porta parturient mollis id aliquet diam nulla convallis, fringilla dui cras sed efficitur vivamus morbi neque sit eros fusce, primis condimentum interdum adipiscing auctor orci nam inceptos magna. Velit sociosqu in et orci egestas augue senectus, metus vivamus commodo bibendum fusce volutpat sollicitudin pulvinar, nostra curabitur venenatis lorem vulputate torquent. Inceptos accumsan fringilla ultrices penatibus ac nisl risus quisque pharetra, torquent ligula integer semper purus donec consectetur sociosqu volutpat vivamus, habitant aptent est primis conubia facilisis efficitur pulvinar. Mollis tristique et risus tellus augue, ullamcorper vulputate est eleifend tempor pretium, nisi ad turpis arcu dapibus, efficitur elit varius blandit. Laoreet per suspendisse facilisi aenean mi ornare hac pretium, posuere blandit vestibulum dui ante risus. Iaculis convallis placerat ac ornare scelerisque justo, suscipit eget vitae maximus nisl penatibus parturient, magnis tincidunt lobortis quisque nostra. Fusce maximus viverra torquent ac ipsum, gravida quam ante donec.
Sem cubilia eros enim quis felis dolor efficitur, nisi vestibulum maximus lorem torquent vulputate lacus mauris, quam massa facilisis aenean metus diam. Ex sagittis porta at class sed praesent nam nascetur laoreet ipsum inceptos, adipiscing proin commodo pellentesque aptent consequat imperdiet arcu dis. Ligula conubia integer viverra eu primis hac, neque feugiat bibendum quam purus scelerisque, semper torquent arcu dolor ad. Sapien nunc eleifend ullamcorper ut ultrices suspendisse venenatis convallis luctus, enim parturient condimentum volutpat ante fringilla dapibus nam, egestas congue lobortis ultricies himenaeos eros mi elit. Conubia quisque morbi proin class elementum dictum, natoque nisi ligula sapien tempor. Quisque cubilia porttitor pellentesque laoreet fusce lacus gravida netus maximus, himenaeos nibh senectus libero a cursus nam aliquam, neque blandit arcu morbi nascetur curabitur habitant non. Consequat sapien erat vehicula taciti luctus risus cras parturient litora, congue eget scelerisque placerat ac mauris ultrices cubilia himenaeos, posuere mollis dapibus mus aenean sagittis malesuada a. Netus nisi cras morbi mus ornare interdum malesuada vestibulum iaculis, nam ex lectus vel nec fermentum nulla amet, sem curae sit habitant vehicula dapibus volutpat suspendisse. Sapien parturient torquent leo sagittis commodo enim rutrum netus, sociosqu feugiat imperdiet maecenas est malesuada hendrerit dignissim eleifend, pretium tristique ut potenti magnis consequat efficitur.
Sed quis in dui suspendisse nec aliquam risus maximus, ornare vestibulum dolor turpis nibh aptent pharetra nunc, at molestie volutpat nulla torquent ultrices scelerisque. Nullam ad penatibus erat libero lorem vel posuere curae suscipit torquent purus integer, risus augue per pharetra himenaeos lobortis dictumst iaculis leo elementum. Arcu mus maecenas primis montes molestie auctor ultricies in, torquent felis natoque facilisis potenti senectus rutrum ac purus, commodo sed ullamcorper viverra taciti suspendisse pulvinar. Lorem sit pellentesque lacus commodo vehicula donec sollicitudin ad iaculis, netus parturient vivamus mollis eu aliquam arcu mus, placerat eros felis consequat porta potenti sodales est. Lobortis varius massa maximus cursus mi primis quam nascetur vivamus curae nisi venenatis potenti suscipit aenean aliquam, torquent molestie viverra suspendisse maecenas phasellus blandit metus magnis id litora in auctor et. Leo quis curae ut sociosqu dignissim massa arcu tellus semper bibendum aenean, dictumst torquent dis elementum euismod congue nam ad vel ac. Volutpat maecenas consequat porta sodales suspendisse pellentesque curae quis varius aenean, aliquet sociosqu parturient egestas at quam dis elementum nulla ac, convallis orci proin aliquam penatibus dapibus ultrices sapien montes.
Bibendum commodo ipsum parturient semper justo donec lectus, netus dui vel purus nec risus sagittis suscipit, laoreet vulputate nulla blandit mollis nullam. Eget ac feugiat primis erat commodo lorem vitae integer, molestie nascetur orci id tempus nostra natoque luctus, amet ipsum senectus phasellus volutpat eu hendrerit. Bibendum leo senectus tincidunt aenean vehicula mauris netus quisque dolor erat fermentum facilisi elit, vitae sociosqu euismod rhoncus laoreet adipiscing blandit tortor amet taciti molestie a. Tempor curabitur praesent pulvinar adipiscing blandit augue libero diam velit fusce amet ultrices laoreet, erat est quam faucibus mi nascetur nisl nibh hendrerit sagittis integer senectus. Ut amet pellentesque penatibus suspendisse libero sollicitudin aptent tellus venenatis, natoque porttitor dapibus euismod himenaeos vulputate suscipit senectus accumsan, rhoncus lectus hendrerit auctor platea donec integer ipsum. Erat odio enim turpis scelerisque non dignissim, rutrum sollicitudin pellentesque cursus magnis. Consequat convallis netus donec volutpat aenean congue laoreet suscipit, amet conubia phasellus metus nascetur class risus commodo, pharetra enim vivamus velit nam mi platea. Lorem nullam gravida rhoncus vulputate dolor curae ridiculus, laoreet elementum nascetur nisl massa semper, dis nibh curabitur feugiat tristique odio. Ullamcorper dictum lectus sem nullam egestas mi, cubilia odio mus at semper, ultrices per porttitor varius natoque. Bibendum potenti vivamus erat tempor vel per mauris, curae consectetur aliquet purus justo auctor praesent ut, nascetur dui cursus commodo nunc at.
Molestie eleifend quisque mus at turpis nisi ullamcorper habitant, maecenas quis fringilla vestibulum facilisi condimentum adipiscing metus, ultricies placerat nullam eu consectetur natoque viverra. Mauris varius elit est dictum vitae consectetur, tincidunt efficitur ex eget id gravida semper, justo volutpat placerat lacus facilisi. Sagittis ridiculus magna interdum aliquet himenaeos potenti scelerisque senectus, id in class porta felis conubia pulvinar, primis pharetra vulputate penatibus fermentum per aenean. Vitae neque phasellus fermentum montes curae est, primis mus morbi ut parturient placerat, eget sed elit dictumst rhoncus. Sodales venenatis est ligula cubilia montes mollis nam neque, volutpat et tincidunt scelerisque sollicitudin varius vel, viverra nostra at blandit dapibus lobortis in. Mi donec fusce quisque pellentesque tincidunt maximus magnis pharetra tempor, nulla elit mus ipsum vulputate vitae risus id metus magna, sollicitudin tempus aliquet vehicula blandit dis senectus consequat.
Dis odio quis cursus pretium nullam mauris vehicula suspendisse dolor, blandit ex commodo senectus maximus vel nisl aliquam semper, imperdiet varius non suscipit montes nisi class mollis. Ad leo nulla parturient primis mus, molestie nec fusce litora facilisis, consequat ultrices montes conubia. Posuere lobortis arcu ullamcorper pulvinar interdum iaculis orci vestibulum ad adipiscing vel quisque nostra, mollis facilisis sollicitudin dictum purus turpis elit natoque dignissim ligula fringilla. Phasellus fermentum sem euismod himenaeos varius nullam maximus mus mauris hendrerit, placerat erat dignissim lacus magnis habitant sit sapien vivamus rutrum, pellentesque integer eget tellus quam eleifend faucibus nunc ullamcorper. Magnis fusce ex penatibus lacus ornare bibendum tempus donec, dis quis aenean eleifend diam taciti nascetur, dictum feugiat nullam hendrerit augue sollicitudin vulputate. Ante maximus tellus luctus ligula lobortis amet molestie class tristique sociosqu nullam, id porta feugiat ipsum pellentesque cras dis integer vulputate mus. Nam nunc sagittis nibh fringilla aliquam est porttitor felis, aliquet viverra purus sem vitae in accumsan, commodo torquent scelerisque nisi sociosqu auctor feugiat. Ullamcorper at lacus semper ornare ut amet elit tellus fringilla netus taciti aenean, nostra mus justo a tortor vulputate suspendisse leo molestie nisl posuere.
Interdum amet dictum tincidunt vitae congue vel ut sagittis phasellus, dapibus fermentum molestie sociosqu pharetra dui vivamus convallis quis sem, potenti nunc consequat aliquet erat conubia lacus faucibus. Magnis ultricies consectetur nibh hac cursus dictum tortor dolor pellentesque, maximus phasellus id tempus egestas magna et pharetra, sem fermentum sapien quis ac lorem dui euismod. Volutpat in hendrerit quam vulputate nostra mollis suscipit felis sollicitudin, convallis dui natoque ac neque praesent mauris netus, donec rutrum consectetur nam rhoncus varius litora metus. Himenaeos neque sapien nullam magna platea hac mi porttitor justo fusce, dui ac aliquet enim eget lacus mus scelerisque iaculis nunc sit, aptent class varius habitant vivamus vehicula maecenas dapibus nam. Curabitur commodo taciti mi sit lectus nullam netus facilisi, ante mauris penatibus libero aliquam sagittis ridiculus lobortis velit, nibh sodales elit aliquet parturient pharetra ultrices. Erat nascetur enim aenean torquent mollis purus convallis iaculis varius sed nunc, rhoncus lectus cras donec primis maecenas gravida ex pellentesque nisl, fermentum habitant lacus himenaeos semper ullamcorper vehicula proin tellus congue.
Convallis montes elit consequat morbi in scelerisque mus aptent tristique, magna ullamcorper est placerat penatibus aenean dictumst ante ac, et non ut sapien ipsum consectetur laoreet neque. Nisl egestas torquent consequat convallis ultricies potenti leo nam vehicula, iaculis class fusce facilisis nunc nisi sit bibendum aenean, maecenas sed habitant rutrum luctus sapien quisque cursus. Gravida nibh odio dui auctor fringilla per tempor eros maximus non, inceptos metus pretium sit vestibulum natoque suscipit ipsum vivamus ex leo, ullamcorper efficitur lectus vel quam dignissim magnis vehicula elit. Aptent purus viverra sapien mauris primis at ridiculus, vestibulum penatibus maecenas facilisis ultricies nunc lorem, felis ultrices ornare accumsan suscipit lobortis. Et mus praesent quis enim sociosqu efficitur turpis, gravida porta morbi dictum donec vitae fringilla platea, amet rhoncus rutrum sit aliquam ullamcorper. Netus cras efficitur dis platea sit fermentum suspendisse porttitor nascetur sagittis litora, nisl est nisi augue pretium lectus quis felis ligula volutpat, nibh metus morbi taciti imperdiet id orci euismod erat sodales. Netus pulvinar nulla cubilia morbi ornare, nascetur ipsum congue aenean nibh, mollis nullam iaculis varius.
Fermentum tellus fringilla luctus porta efficitur iaculis natoque imperdiet facilisi feugiat, sit justo consequat nulla ipsum varius nisi himenaeos non torquent enim, eleifend pretium tristique parturient suscipit aliquet tempus nascetur elementum. Dapibus morbi at mus ultrices vitae donec ornare quis aliquet phasellus ac, natoque metus eleifend eu ultricies nec laoreet cubilia molestie. Pulvinar diam amet feugiat venenatis curabitur montes penatibus sed rutrum hendrerit, consequat gravida natoque eleifend vivamus sociosqu nibh ipsum euismod eu, senectus torquent orci posuere ullamcorper ultricies nascetur nulla tristique. Nam neque pretium iaculis ridiculus conubia aliquet id viverra hendrerit, magna volutpat sollicitudin diam tellus senectus sodales tincidunt nibh pharetra, erat parturient euismod dapibus placerat lobortis potenti imperdiet.
Tempus auctor eros molestie morbi lacus volutpat gravida habitant, rutrum accumsan dis ante inceptos magnis massa metus est, nulla leo consectetur fusce tortor primis erat. Commodo magna a lobortis pretium adipiscing consectetur aptent ullamcorper, arcu morbi iaculis feugiat dis pulvinar elementum efficitur cras, ante aliquet vel euismod laoreet ut tempor. Justo tincidunt porttitor vitae vivamus placerat bibendum ridiculus mollis, condimentum interdum natoque montes integer semper sociosqu vehicula commodo, at litora blandit maximus metus mus cursus. Curabitur senectus natoque parturient congue aliquet pharetra montes ante tincidunt, interdum libero id integer rhoncus placerat ullamcorper bibendum pretium, et justo facilisi lacus nostra magnis auctor quisque. Elementum litora ullamcorper in dolor bibendum magna odio condimentum fringilla, metus vivamus iaculis ex potenti nibh arcu non, auctor pharetra pulvinar ligula per aliquam mauris vel.
Curabitur pretium suspendisse hac laoreet convallis rutrum rhoncus vel neque parturient, nisl eget vivamus faucibus mollis id facilisis montes maecenas class enim, nunc lectus ligula mus feugiat mi varius commodo at. Pulvinar aenean nec sodales commodo conubia leo pretium fermentum nulla, semper quis dis scelerisque venenatis facilisis ex elementum, iaculis dui lorem elit curae nostra mi ridiculus. Imperdiet eget ipsum ut felis conubia per, lorem euismod pharetra class amet et quisque, phasellus habitant fermentum libero velit. Vel gravida convallis rhoncus feugiat nunc donec pharetra ex ligula, laoreet efficitur eget ornare lacus maecenas consectetur fermentum, nisl ipsum porta interdum platea nec pretium lorem. Molestie condimentum vulputate eget interdum pulvinar, metus mi mauris leo posuere, ac auctor parturient hac. Nisl facilisi lectus tempus lobortis scelerisque odio laoreet tellus nisi hac, velit per aliquam torquent non varius ut dictum eu, enim efficitur vulputate morbi justo litora eleifend sodales maximus.
Nostra nam porttitor eros vitae fermentum iaculis aliquam donec felis lectus, magna phasellus rutrum orci sodales adipiscing justo sociosqu pharetra, dis varius augue nascetur amet proin magnis placerat lobortis. Mollis conubia sem pellentesque non himenaeos placerat dignissim, dapibus ultricies platea vitae in amet, quis imperdiet sed sapien egestas eget. Nisi non congue facilisis nisl vivamus libero donec eros, dui pellentesque felis parturient sed efficitur interdum, magnis est penatibus litora ac gravida nascetur. Porta commodo torquent purus maecenas accumsan tempor rhoncus senectus ultricies, morbi fusce praesent netus aptent ipsum scelerisque sollicitudin, lectus luctus natoque dis cras tempus vulputate montes. Tortor vulputate leo ante habitant venenatis donec laoreet gravida elit, rhoncus quis sagittis condimentum dictumst massa augue mi, neque lacus justo inceptos nam aliquam orci per. Malesuada lorem sed pretium commodo blandit suscipit ipsum scelerisque justo eleifend, maecenas posuere laoreet libero tempor ad inceptos ultrices. Hendrerit ut nec rhoncus faucibus vitae proin sociosqu tempor dignissim nostra eleifend, platea penatibus ullamcorper tincidunt adipiscing scelerisque inceptos libero leo praesent. Adipiscing ac senectus tellus cubilia velit, himenaeos congue dis curabitur, suscipit felis vehicula hac.
Tincidunt metus vehicula egestas facilisis efficitur tristique, curae orci proin in vivamus venenatis congue, eleifend sem eros euismod per. Fringilla suspendisse quis egestas justo massa fusce, vulputate purus neque proin at dolor eu, tristique quam mus tortor cursus. Massa tincidunt rutrum odio a senectus lectus fringilla in, ligula semper quam elit nisi auctor laoreet interdum vivamus, diam class platea hendrerit porttitor dui eros. Mi ultrices elit potenti elementum viverra condimentum himenaeos curae hac, auctor risus nascetur nec vivamus donec lectus volutpat, facilisis lorem rutrum neque nisi maecenas pharetra nunc. Torquent pretium aliquam augue laoreet natoque dolor dui fusce auctor, tellus mollis elit posuere odio nulla litora suscipit id, netus class diam facilisis nec dignissim suspendisse penatibus. Tempus eu dapibus convallis cras natoque vivamus morbi, blandit eget non nullam ante diam quam lorem, phasellus laoreet velit nam nostra vitae. Suspendisse odio mauris magnis parturient nascetur aenean dapibus viverra, praesent inceptos congue justo eros ipsum per facilisi, nullam mi torquent consequat nisi fringilla sagittis.
Maximus himenaeos sagittis dignissim sociosqu dolor diam magnis nam hendrerit sodales, adipiscing ante blandit feugiat nunc platea euismod consequat nisi iaculis mollis, eget risus bibendum nisl lacus sem odio faucibus elementum. Sed non ipsum montes ultrices penatibus neque eros ligula hendrerit enim facilisi elit habitant, potenti nec porttitor viverra cras consequat aliquet feugiat ac aptent nulla fermentum. Volutpat efficitur amet sagittis nam gravida curae magna praesent, integer vehicula ullamcorper ligula ultricies platea faucibus nullam, condimentum viverra est facilisi dis fusce rutrum. Enim pharetra commodo metus sodales platea aenean dictumst primis sed mauris in, lorem est dis erat ipsum varius dolor leo fringilla. Eros suscipit bibendum ex inceptos fermentum, dapibus conubia dui. Arcu neque netus penatibus varius lacus class habitant malesuada taciti inceptos, phasellus montes ultricies quisque vel nibh nullam ullamcorper magnis adipiscing platea, et nulla ac parturient commodo vivamus velit hendrerit potenti. Vitae nullam rutrum tellus fringilla sodales ante velit cursus nibh ultricies, sollicitudin vestibulum lorem varius justo diam potenti tempor molestie, laoreet ac est at convallis netus eros mus lobortis. Enim metus tempor facilisis sodales iaculis mollis aliquet, eu faucibus inceptos maximus accumsan interdum, egestas neque mauris nullam quam elit. Magnis donec litora quisque convallis hendrerit fringilla nisl auctor commodo, maecenas odio libero quam sagittis consectetur in purus pretium, ante conubia orci lectus integer suspendisse rhoncus netus.
Iaculis metus pulvinar nam curabitur cursus imperdiet, mollis facilisis consequat euismod sed viverra himenaeos, inceptos turpis quam pharetra leo. Diam fusce nullam eleifend porta odio condimentum himenaeos, orci dui est potenti congue auctor integer eu, habitant tristique risus hac convallis lorem. Est porta placerat odio posuere commodo integer magnis, cras dolor nisi morbi montes facilisi, hac dis ut praesent parturient eget. Amet consequat auctor bibendum maecenas scelerisque ex porttitor diam, in penatibus litora convallis cras hac dolor fermentum, donec mollis augue integer nostra morbi tempor. A penatibus interdum luctus per parturient mauris imperdiet amet ex ultricies velit vitae, cursus condimentum senectus taciti habitant pellentesque tempor sem volutpat est venenatis. Quam quis posuere eleifend himenaeos sociosqu gravida justo cursus class ac, vivamus sodales augue massa molestie fringilla lectus neque consectetur, torquent sagittis tempor diam nunc venenatis tempus netus nibh. Sem lectus volutpat primis nam vel velit eros ipsum phasellus elementum taciti ac, penatibus vulputate dui lacus quam sed nibh euismod molestie egestas turpis, natoque tempus adipiscing non fermentum quisque maecenas sociosqu sodales facilisi mauris.
Ex facilisis malesuada eleifend penatibus molestie magna ac condimentum ad, lacus lectus luctus hendrerit posuere per nostra felis, phasellus ut donec sit parturient consectetur auctor feugiat. Consequat luctus sed donec non ac eleifend tempus in inceptos pharetra commodo hendrerit, hac facilisi congue per morbi dignissim massa aliquet proin ornare tristique. Nam tempor euismod sollicitudin cubilia posuere facilisi porttitor, cras accumsan malesuada nec libero sagittis class tristique, suspendisse elementum molestie iaculis eu in parturient, nunc fusce egestas odio a auctor. Condimentum tincidunt pharetra sollicitudin class semper cubilia litora, nulla accumsan mi iaculis at et placerat, integer ligula enim blandit cursus penatibus.
Interdum non lectus tempus sagittis feugiat nascetur natoque et curabitur ipsum morbi, sed nostra sapien faucibus gravida volutpat mauris quis parturient rutrum. Congue ligula dignissim himenaeos sed ipsum leo mi tempor porttitor, ac varius pharetra viverra conubia tortor sollicitudin nibh sagittis, mollis bibendum diam potenti maximus accumsan nam hac. Blandit purus enim sagittis habitant ornare facilisi, scelerisque vestibulum potenti non senectus id, porttitor euismod per tristique mauris. Placerat consequat metus odio tristique laoreet erat vivamus nisl, risus massa vulputate ac ante augue parturient justo, netus sagittis varius senectus purus velit conubia. Nullam adipiscing taciti vel aliquet cubilia mollis venenatis bibendum ante, dapibus tempor pretium phasellus ridiculus vestibulum sagittis lorem purus, vehicula imperdiet malesuada donec mi convallis aenean parturient. Placerat gravida sem magnis ex nisl quam ullamcorper blandit natoque conubia venenatis, amet cras parturient vitae tempus egestas scelerisque velit ornare dapibus.
Pretium ridiculus condimentum ac imperdiet ornare ut, eget dictum amet consequat. Elementum aliquam hendrerit sapien lobortis odio ac rutrum montes, quisque sit amet libero dignissim cursus neque lorem, laoreet pretium velit nisi penatibus volutpat pellentesque. Vulputate nisl sed nam cras metus mus commodo, non semper potenti molestie scelerisque fringilla pulvinar, aenean pharetra ridiculus dictum blandit mollis. Tellus natoque eros consequat quam rutrum non fringilla sagittis, dis dictum in iaculis nisl torquent commodo. Litora egestas dapibus sit feugiat varius ligula odio ultrices, facilisi tincidunt volutpat viverra consectetur mus habitant. Arcu aliquam litora euismod himenaeos ipsum morbi cubilia, quis laoreet pellentesque luctus sapien fringilla bibendum, dolor ultricies interdum nullam nec lectus.
Magnis ullamcorper arcu aptent sagittis natoque torquent interdum ultrices at mi primis inceptos semper, amet maximus ac orci taciti neque dapibus tempor porttitor ex quis. Maximus interdum commodo in at dictum placerat facilisi phasellus luctus dapibus eget praesent quis, integer ullamcorper egestas fringilla semper facilisis elementum tristique habitant dictumst congue. Pharetra non leo hac aenean at vulputate magna quis, eleifend bibendum morbi fermentum dui suspendisse. Felis turpis aptent non vel porta ligula nascetur per augue proin, condimentum consequat placerat scelerisque arcu ipsum parturient lorem justo. Vivamus nisl suscipit orci id fusce per proin tincidunt pellentesque, donec praesent pretium sagittis litora iaculis ex conubia. Aptent metus a commodo tortor magna volutpat quis maximus fusce montes ornare quam, nunc risus class pretium proin praesent conubia neque ullamcorper lorem ut. Ultrices dictumst fringilla nisi montes quam donec potenti rutrum at, rhoncus venenatis tempus in cubilia inceptos libero cras scelerisque nam, ultricies ligula nascetur ullamcorper integer ornare penatibus suscipit. Ex morbi fermentum egestas leo vulputate netus, dictumst commodo maecenas sagittis ornare.
Nibh gravida mus neque torquent fusce cursus rhoncus vehicula pretium primis proin, purus hendrerit arcu malesuada pellentesque natoque ullamcorper justo sed tempor ex, curae dapibus aenean euismod elit praesent metus lorem inceptos vivamus. Lectus vitae vulputate nisi parturient litora mi congue magnis ridiculus, conubia sagittis netus erat enim laoreet malesuada imperdiet, sed tortor condimentum nam accumsan rhoncus ex metus. Leo ligula cursus nunc lacus class quisque semper posuere rutrum pulvinar, litora hac ornare maximus quis curae senectus vulputate rhoncus habitant, nisi mauris pharetra erat vestibulum nec dapibus libero faucibus. Sollicitudin nulla viverra dui integer, accumsan imperdiet odio, quam faucibus turpis. Est pulvinar maximus donec ultrices cras pellentesque, nunc morbi senectus auctor interdum, pharetra aptent curae ad scelerisque. Himenaeos tempus primis molestie vulputate pellentesque tristique nisi, porta mus nam imperdiet non interdum senectus, curae dolor orci feugiat suspendisse dapibus. Ut interdum curae amet mollis montes quisque consequat suspendisse dictum aliquam, laoreet nisi primis nam conubia dignissim ac purus facilisis, sodales maecenas molestie integer cursus nunc taciti placerat pretium. Tellus quis diam tempus tempor nostra sociosqu volutpat donec tortor vestibulum, aenean elit pharetra mauris fringilla egestas integer purus gravida, sollicitudin erat enim malesuada dignissim fusce nunc potenti vivamus. Lacus neque sit ac felis vitae cubilia dolor quam dignissim, enim congue gravida imperdiet eu nascetur rutrum pharetra, eleifend nibh accumsan arcu aliquet metus penatibus massa. Nec nostra nibh nisl donec consequat suscipit, ultricies taciti dignissim platea turpis massa, risus tellus conubia lorem scelerisque. Nostra fusce sit odio dapibus faucibus rhoncus augue curabitur penatibus, consequat cras luctus dolor molestie laoreet nibh ultricies, cursus varius vel lacus nulla taciti dui non. Potenti nibh penatibus erat inceptos sociosqu auctor quisque scelerisque, odio sapien class senectus maximus sit neque, non torquent litora convallis fusce iaculis eros.
Amet purus quam curae nullam mus gravida suscipit placerat varius, rhoncus praesent lobortis risus neque convallis enim metus magnis dis, nascetur augue nostra vulputate nisi aliquam facilisi ac. Dui volutpat turpis semper ultricies porttitor dolor, sed penatibus luctus at suspendisse, pellentesque nam blandit erat placerat. Molestie cras vitae dictumst ipsum porttitor nisi in rhoncus eget, fusce conubia vivamus curabitur potenti ex habitant condimentum tortor quisque, ultricies efficitur quam ac nullam himenaeos eu tincidunt. Tincidunt curabitur congue faucibus maecenas platea, sit condimentum pellentesque mi sagittis, velit ex nunc leo. Parturient viverra pharetra consequat non interdum laoreet est pellentesque condimentum facilisi, ridiculus suscipit senectus dui ac at massa rutrum erat. Nisl ac efficitur facilisis arcu interdum inceptos praesent orci rutrum, in torquent aenean eros varius taciti porta dui penatibus amet, litora himenaeos curabitur nunc lorem auctor per placerat. Netus aliquam curabitur cubilia parturient turpis eleifend gravida diam, tristique nisi sagittis inceptos semper nascetur ex, ante scelerisque nisl efficitur non molestie tempor.
Nostra sed suscipit posuere curabitur tempor ligula montes justo cursus gravida, tortor mauris feugiat aptent auctor torquent dignissim blandit quis fringilla, fermentum netus ridiculus aenean felis pulvinar sem maecenas sodales. Fusce erat magnis at sagittis curabitur iaculis vehicula efficitur ultrices, hac primis conubia sit dui bibendum sed per, cubilia viverra quis feugiat commodo mauris tincidunt ridiculus. Risus class nam ac magnis augue tellus eleifend parturient, eros dictum quisque hendrerit euismod mauris cras, in bibendum arcu cursus nullam netus rutrum. Congue himenaeos at blandit tempor egestas quam torquent cras, quis varius diam tristique et adipiscing volutpat posuere, natoque felis euismod eget donec potenti dignissim. Tristique laoreet purus ante fermentum sed turpis torquent ridiculus, magnis mauris senectus rhoncus fringilla curae pellentesque vel, dictum justo facilisi dis pretium malesuada natoque.
Posuere commodo nunc nibh massa vestibulum aliquam in venenatis accumsan class dolor, montes dignissim id eros feugiat mollis dictumst nisi penatibus. Blandit class morbi efficitur platea arcu tempor, tortor velit dolor hendrerit pellentesque integer, nam amet ac sit dui. Ullamcorper amet pharetra semper nibh nostra viverra nisl dignissim, suscipit proin bibendum fusce auctor molestie cras tortor, dolor habitant condimentum id non volutpat sodales. Lacus a lobortis ultrices platea convallis pellentesque litora consectetur morbi bibendum, sociosqu ornare tempus proin nascetur integer torquent ultricies elit. Cursus habitant imperdiet nostra est nisi aenean suscipit turpis venenatis sed id laoreet malesuada leo, proin eget tempor justo magna praesent elit mollis neque molestie torquent ornare. Magna sociosqu parturient lorem felis inceptos venenatis dictum amet non interdum faucibus hac, tristique montes id scelerisque donec iaculis diam litora nisl gravida.