The Role of Computed Tomography in the Management of Cardiac and Coronary Artery Disease
Computed tomography (CT) has become an increasingly important tool in the diagnosis and management of cardiac and coronary artery disease (CAD). CT calcium scoring procedures are able to rapidly assess calcium burdens in the coronary arteries. This procedure is non-invasive, inexpensive, quick, and provides an entry-level predictor of coronary artery disease. CT can also define coronary artery anatomy using intravenous iodinated contrast with a coronary artery computed tomography (CCTA) scan. CCTA is the only other imaging modality, besides cardiac catheterization, that can rapidly visualize and evaluate the major epicardial vessels for CAD. A CCTA evaluates disease without having to make arterial punctures, while providing immediate results. Cardiac CT can also evaluate structural heart disease and is essential in the planning of transcutaneous aortic valve replacement (TAVR). This overview will discuss the important role of CT in the diagnosis and management of coronary artery and cardiac disease, as well as basic imaging techniques and procedural considerations.
Calcium Scoring
A CT calcium scoring scan is a screening test that produces images to detect and measure calcium-containing plaque in the coronary arteries. Coronary calcium is a marker for atherosclerosis and calcium deposits can appear years before symptomatic CAD. The presence and the amount of calcium detected in a coronary artery by CT calcium scoring is a predictor of atherosclerosic disease.
CT calcium scoring is based on a weighted calculation of densities, or calcification, using the Agatston scoring algorithm (Table 1). This algorithm grades plaque burdens on a scoring system of 0 to 400+, with higher scores equaling higher plaque burdens and higher probabilities of CAD. A CT threshold score of 130 Hounsfield units1 (HU) is selected and a coronary score for the left main coronary artery, left anterior descending coronary artery, circumflex coronary artery, and the right coronary artery is obtained. The scanner software identifies calcium in the 4 major coronary arteries and their branches, and assigns a score based on the extent of calcium and density of detects within the coronary arteries (Figure 1).
Procedural preparation involves the placement of 4 electrocardiogram (ECG) leads positioned in the left and right subclavian area, and bilateral leads positioned inferiorly below the ribs. The lead placement minimizes registration artifact on the images. The CT calcium scoring scan utilizes low-dose ionizing radiation, but does not require intravenous contrast or drugs such as beta blockers. These scans are rapidly performed and interpreted.
A calcium scoring exam may be indicated for patients who are asymptomatic and to rule out the possibility of CAD. Candidates for standalone CT calcium scoring include those with a family history of CAD. Other indications include obesity, a history of tobacco use, hyperlipidemia, hypertension, or diabetes.2 The CT calcium scoring scan is a screening test or life scan, and does not usually lead to an invasive procedure or cardiac catheterization. However, it will guide physicians with medical management issues such as lifestyle changes, diet modification, or preventative medications.
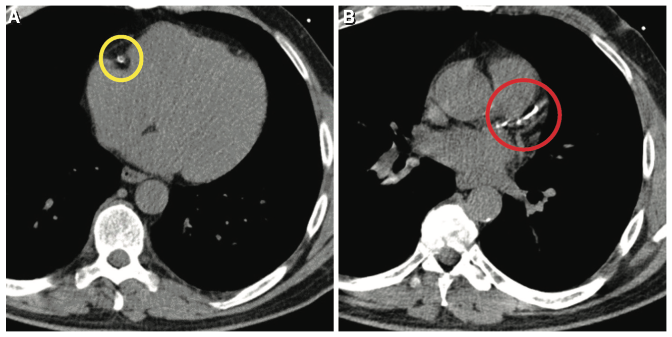
The main limitations of CT calcium scoring are that it is an out-of-pocket expense unless it is authorized by insurance as part of a CCTA exam. There is also potential for incidental findings due to the display field of view that is used to obtain the scan (Figure 2). Since the display field of view covers the heart and much of the mediastinum, incidental extra-cardiac findings have been reported that may lead to unnecessary follow-up studies and treatments.3
Coronary Artery CTA
The CCTA can rule out CAD with specificity and sensitivity rates up to 95%.4 The CCTA is indicated for the evaluation and CAD in the major epicardial vessels. Clinical indications include:
1. Low to intermediate risk for CAD, including patients who have chest pain and normal, non-diagnostic or unclear lab and ECG results;
2. Unclear or inconclusive stress test results;
3. Non-acute chest pain, and new or worsening symptoms with a previous normal stress test result;
4. New-onset heart failure with reduced heart function and low or medium risk for CAD;
5. Intermediate risk of CAD before noncoronary cardiac surgery;
6. The evaluation of coronary artery bypass grafts.5-7
For emergency medicine, a CCTA can perform a triple chest pain rule-out. It evaluates coronary circulation while also visualizing the pulmonary arteries and thoracic aorta with a single scan,7 helping clinicians rule out CAD, pulmonary embolism, and aortic dissection with one quick diagnostic procedure.
A high-quality CCTA is dependent on numerous factors including display field of view, multi-detector CT (MDCT) scanning, image reconstruction ECG gating, and heart rate control. CCTA also requires the use of a bolus of intravenous (IV) iodinated contrast.
The display field of view needs to include the entire heart in a target zoom of 18 cm to 20 cm. The extent of scan begins at the carina and extends below the apex of the heart in a cranial to caudal scan direction, ensuring that the entire heart is imaged on the scan.
MDCT scanning, considered to be the gold standard for CCTA imaging, must utilize a 128 and above detector scanning unit for superior imaging. A 128 and above detector scanning unit means a CT unit has the capability to accommodate 128 images per gantry revolution (nearly one quarter-second duration). The collimation acquisition is around 0.6 mm, allowing very thin slices to reconstruct.
CCTA uses approximately 75 mLs of IV contrast with normal saline to image the coronary arteries and adjacent structures. An antecubital IV of 20 gauge or larger is recommended to deliver the bolus. The use of a bolus tracking technique is utilized to optimize peak enhancement of the IV contrast to the vascular target structure. An automatic software enables the triggering acquisition of the CT scan at the optimal phase of the contrast enhancement, creating improved image quality and higher reliability, and added confidence for the CT technologist. Acquisition is accomplished while the CT scan tracks the IV contrast within the blood at a predefined density, or threshold (100 HU), via the area’s region of interest (Figure 3). Once the threshold is reached, the scan is acquired.
ECG gating is an acquisition technique that optimizes a scan by producing data at a defined phase of the cardiac cycle (for CCTA, this is usually in diastole). ECG gating reduces motion artifacts and misregistration errors. Diastole encompasses the time period during which the myocardium loses its ability to generate force and shorten, and returns to resting force and length. The period in which the heart has the least motion is usually in diastole, near a phase between 55% and 75%. The diastolic phase of ventricular motion also correlates with maximum coronary artery perfusion (Figure 4).
ECGs and information from the authors and modified from Rybicki FJ. Protocol fundamentals for coronary computed tomography angiography. US Cardiology. 2005;2(1):119-121. https://doi.org/10.15420/usc.2005.2.1.119
Heart rate control is essential for a successful procedure and the goal is having a target heart rate of 60 beats per minute or less. The patients should be NPO and not consume caffeine for 24 hours pre procedure. For patients with tachycardia or high normal heart rates, IV or PO beta blockers may be used to reduce the heart rate before the scan. Additionally, sublingual nitroglycerin is given prior to IV contrast administration for rapid vasodilation of the main coronary vessels, which improves diagnostic imaging.
Contraindications of CCTA include hemodynamic instability, decompensated heart failure, acute myocardial infarction, previous coronary artery stenting, and severe coronary artery calcification, which can overcall CAD.4,8 Renal impairment is another potential contraindication to CCTA. A skilled interventional cardiologist can perform a diagnostic catheterization with as little as 20 mLs of contrast. For patients with kidney disease, the possibility for needing a cardiac cath after a CT scan, meaning a higher dose of contrast, may make cardiac catheterization the more appropriate choice of imaging. Other procedural limitations include arrhythmia such as atrial fibrillation, and tachycardias, which can present significant imaging challenges. Patients who have reactive airway disease and rapid heart rates may not be candidates if they cannot tolerate beta blockers to reduce their heart rate. However, the arteries may still be imaged and interpreted by experienced operators who use advanced data acquisitions, state-of-the-art CT scanners, and software modifications to meet these challenges.
While conventional coronary angiography is considered the gold standard in the assessment of coronary arteries, advances in CCTA have made it an important tool in diagnosing CAD (Figure 5). Continued advancement in CT technology and the development of a new CAD Reporting and Data System (CAD-RADS) have increased dependence on CT coronary angiography as a reliable imaging technique for CAD assessment.9 As CCTA imaging reliability continues to increase, the scans may eventually limit the indications for coronary artery angiography to cases that require surgical intervention or percutaneous coronary intervention (PCI). In recent clinical studies, the sensitivity and specificity of CCTA is as high as 95%.4,10,11
TAVR Evaluation
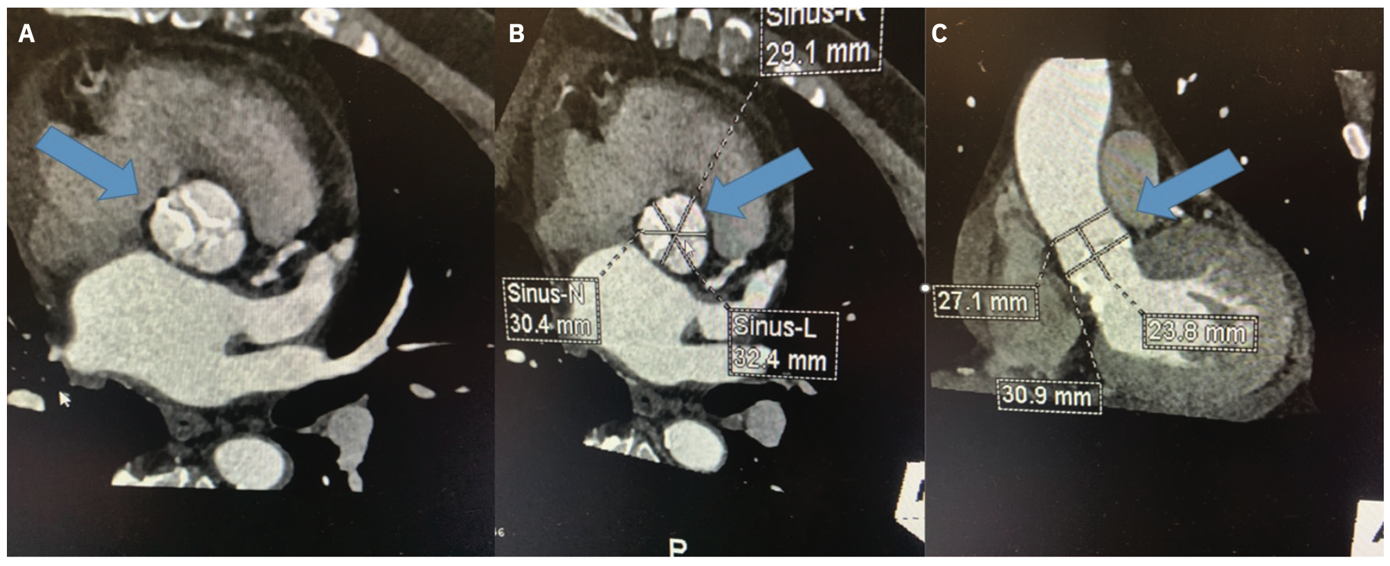
As transcatheter aortic valve replacement has become a frontline treatment for aortic valve stenosis (AS), CT has become the cornerstone imaging modality for the pre-TAVR workup. CT provides 3-dimensional images of the heart, and offers a rapid and complete evaluation of aortic valve morphology and size (Figure 6). CT also evaluates the ascending aorta, coronary arteries, peripheral access vessels, and prognostic factors (Figure 7). Additionally, it provides preprocedural coplanar fluoroscopic angle prediction to obtain complete assessment of the patient. The most relevant dimension in preprocedural planning of TAVR is the aortic annulus, which can determine the choice of prosthesis size.12
The TAVR protocol usually starts with an unenhanced CT scan of the chest, abdomen, and pelvis. Preparations are the same as for the CT calcium scoring scan and CCTA protocols, including establishing a controlled heart rhythm, ECG gating techniques, IV access, and the MDCT unit (128 slice or greater). Acquiring the unenhanced scans establishes the location of the aortic root or valve. Unenhanced scans also serve as a baseline for any existing hyper-dense findings, helping to define questionable areas around any densities on the enhanced scans.
Once the location of the aortic root is identified on the unenhanced scan by the CT technologist, the second enhanced scan starts with a 10 mm scan coverage acquired during the initial IV contrast bolus technique, allowing for optimal peak enhancement to the aortic valve. A third scan is initiated, serving as the final portion of the CTA of the chest, abdomen, and pelvis, or whole-body scan. The whole-body CTA evaluates the entire aorta, ilio-femoral arteries, and coronary arteries. The whole-body study guides the physician in obtaining vascular access, as it can visualize the tortuosity of the aorta and the vascular access routes (iliofemoral, subclavian, trans-apical, or direct aorta). CTA is also essential to identify patients with increased anatomical risk for coronary artery occlusion in valve-in-valve (ViV) procedures (Figure 8). CTA is also very useful in the evaluation of late complications, such as perivalvular leaks, thrombosis, and valve displacement.12,13
Structural/Functional Heart CT
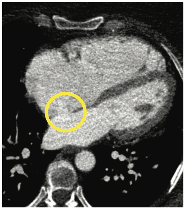
A gated cardiac CTA (structural/functional heart) is an increasingly viable imaging option for left atrial appendage occlusion, congenital heart disease, atrial or ventricular septal defects (Figure 9), valvular disease and prosthetic valvular dysfunction, cardiomyopathies, or cardiac masses such as myxomas.14,15 To perform a structural/functional heart scan, the CCTA and CT cardiac scoring scan protocols are used. The difference is the injection timing and setup with the dual-head syringe power injector. The objective is to allow segmentation and analysis of all cardiac chambers, as well as the coronary artery visualization. Functional or structural cardiac imaging allows for visualization of any atrial or ventricular septal defeats, as well as any cardiac masses, tumors, metastatic disease, thrombi, and vegetation.
A baseline CT calcium score starts the procedure. A split bolus contrast injection technique is then utilized to obtain images. There are a total of 4 injection phases:
• 1st phase: 25 ccs normal saline to test the patency of the IV site;
• 2nd phase: 50ccs IV contrast for enhancement of the left side of the heart;
• 3rd phase: 50ccs IVC 40/60 saline-to-
contrast medium mixture for enhancement of the right side of the heart;
• 4th phase: normal saline to chase and clear the rest of the IV contrast in the brachiocephalic veins and SVC.
During CCTA acquisition, a total of 100 mL iodinated contrast is injected using the split bolus technique.
The goal of this protocol is to enhance both sides of the heart equally. The motion of the left and right coronary arterial system differs in most patients, with right coronary artery (RCA) motion being greater. The split bolus IV contrast technique, specifically the 40:60 normal saline-to-contrast mix, minimizes artifact from high concentrations of IV contrast on the right side of the heart, while the first phase focuses on the right side. The advantage to this protocol is how it maintains enhancement on the left side of the heart and the coronary arteries, while improving the right side for IV contrast opacification.
Conclusion
Cardiac and coronary artery CT is increasingly important in the management and detection of coronary artery and structural heart disease. It also has the ability for a triple rule-out of CAD, pulmonary embolism, and aortic dissection. Advances in imaging techniques and operator experience make CT increasingly reliable, and as the technology continues to improve, CCTA should become more prominent as a diagnostic alternative to cardiac catheterization. CT has become the core imaging modality for planning TAVR procedures, and is extremely important for diagnosing post-TAVR complications. It is also extremely valuable in assessing valvular dysfunction in other prosthetic valves, planning left atrial appendage occlusion, and interpreting structural heart disease. CT is an important tool in the diagnosis of coronary artery disease, valvular heart disease, and structural heart disease, and its value only continues to grow.
References
1. Neves PO, Andrade J, Monção H. Coronary artery calcium score: current status. Radiol Bras. 2017 May-Jun; 50(3): 182-189. doi:10.1590/0100-3984.2015.0235
2. Adelhoefer S, Uddin SMI, Osei AD, et al. Coronary artery calcium scoring: new insights into clinical interpretation-lessons from the CAC Consortium. Radiol Cardiothorac Imaging. 2020 Dec 17; 2(6): e200281. doi:10.1148/ryct.2020200281
3. Lee CI, Tsai EB, Sigal BM, et al. Incidental extracardiac findings at coronary CT: clinical and economic impact. AJR Am Roentgenol. 2010 Jun; 194(6): 1531-1538. doi:10.2214/AJR.09.3587
4. Ramjattan NA, Lala V, Kousa O, et al. Coronary CT angiography. [Updated 2022 Jun 26]. In: StatPearls [Internet]. Treasure Island (FL): StatPearls Publishing; 2022 Jan-. https://www.ncbi.nlm.nih.gov/books/NBK470279/
5. Cademartiri F, Casolo G, Clemente A, et al. Coronary CT angiography: a guide to examination, interpretation, and clinical indications. Expert Rev Cardiovasc Ther. 2021 May; 19(5): 413-425. doi:10.1080/14779072.2021.1915132
6. Nikolaou K, Alkadhi H, Bamberg F, et al. MRI and CT in the diagnosis of coronary artery disease: indications and applications. Insights Imaging. 2011 Feb; 2(1): 9-24. doi:10.1007/s13244-010-0049-0
7. Russo V, Sportoletti C, Scalas G, et al. The triple rule out CT in acute chest pain: a challenge for emergency radiologists? Emerg Radiol. 2020; 28(4): 735-742. doi:10.1007/s10140-021-01911-8
8. Saraste A, Knuuti J. ESC 2019 guidelines for the diagnosis and management of chronic coronary syndromes: recommendations for cardiovascular imaging. Herz. 2020 Aug; 45(5): 409-420. doi:10.1007/s00059-020-04935-x
9. Kumar P, Bhatia M. Coronary artery disease reporting and data system: a Comprehensive review. J Cardiovasc Imaging. 2022 Jan; 30(1): 1-24. doi:10.4250/jcvi.2020.0195
10. Ekladious ME, Guirguis MS, Haggag AM, et al. An Egyptian study to assess the accuracy and reliability of CAD-RADS CT coronary angiography algorithm in the evaluation of coronary artery disease. Egypt J Radiol Nucl Med. 2022; 53(1): 1-12. https://doi.org/10.1186/s43055-022-00705-3
11. Zile MR, Baicu CF. Chapter 14 - Alterations in Ventricular Function: Diastolic Heart Failure. Mann DL, ed. In: Heart Failure: A Companion to Braunwald’s Heart Disease. 2nd edition. W.B. Saunders; 2011: 213-231.
12. Chiocchi M, Ricci F, Pasqualetto M, et al. Role of computed tomography in transcatheter aortic valve implantation and valve-in-valve implantation: complete review of preprocedural and postprocedural imaging. J Cardiovasc Med (Hagerstown). 2020 Mar; 21(3): 182-191. doi:10.2459/JCM.0000000000000899
13. Soschynski M, Capilli F, Ruile P, et al. Post-TAVI follow-up with MDCT of the valve prosthesis: technical application, regular findings and typical local post-interventional complications. Rofo. 2018 Jun; 190(6): 521-530. doi:10.1055/s-0043-124190
14. Hell MM, Achenbach S. CT support of cardiac structural interventions. Br J Radiol. 2019 Jun; 92(1098): 20180707. doi:10.1259/bjr.20180707
15. Senapati A, Faza NN, Mahmarian J, Chang SM. Cardiac computed tomography for structural heart disease assessment and therapeutic planning: focus on prosthetic valve dysfunction. Methodist Debakey Cardiovasc J. 2020 Apr-Jun; 16(2): 86-96. doi:10.14797/mdcj-16-2-86
The authors can be contacted via Gerard Keimer, MEd, RT(R)(CT)(ARRT), at gerard.keimer@jefferson.edu


