From the Journal of Invasive Cardiology: "King Ghidorah Technique for a Trifurcation Lesion in a Very High-Risk NSTEMI"
Reprinted with permission from: J INVASIVE CARDIOL 2024;36(6). doi:10.25270/jic/23.00301. Epub February 28, 2024.
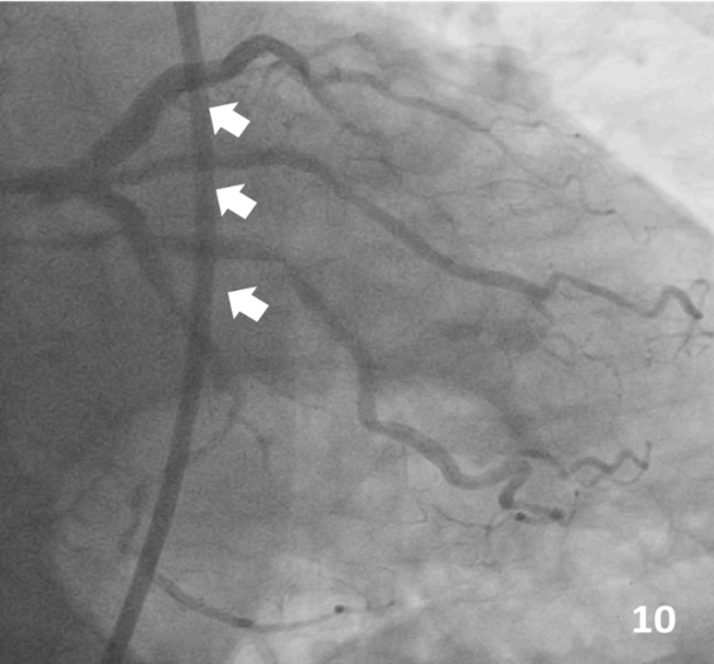
A 66-year-old male Jehovah’s Witness arrived at the emergency room having experienced typical persistent angina. Upon arrival, he was hemodynamically unstable. Electrocardiogram showed a high-risk pattern (Figure 1) and hs-cTn of 21 000 ng/L. Coronary angiography showed critical left distal main disease with trifurcation lesion to the left anterior descending artery (LAD), ramus intermedius, and left circumflex artery (LCx) (medina 1-1-1-1), and an 80% lesion in the middle segment of the LAD (Figure 2, 3).
Keep reading and view the PDF at invasivecardiology.com.
Find More:
The Latest Clinical & Industry News
Grand Rounds With Morton Kern, MD
Podcasts: Cath Lab Conversations
Go to Cath Lab Digest's current issue page


