Floating Thrombus in a Nonaneurysmal Ascending Aorta
© 2023 HMP Global. All Rights Reserved.
Any views and opinions expressed are those of the author(s) and/or participants and do not necessarily reflect the views, policy, or position of Cath Lab Digest or HMP Global, their employees, and affiliates.
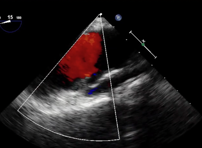
The finding of a thrombus in a nonaneurysmal aorta is a very rare entity with a potential for life-threatening complications such as risk for myocardial infarction and embolization to distal vascular beds.
Transesophageal echocardiogram (Videos 1-6) demonstrated a mobile echodense mass suggestive of a thrombus on the surface of ascending aorta, in a patient with atrial fibrillation. The aortic root and ascending aorta were normal in size and nonaneurysmal in this case.
The patient was already on therapeutic anticoagulation for atrial fibrillation and this was continued. Any further invasive management was deferred per patient preference.
Video 1
Video 2
Video 3
Video 4
Video 5
Video 6
The authors can be contacted via Pradnya Brijmohan Bhattad, MD, at pradnyabhattad20@gmail.com
Find More:
Grand Rounds With Morton Kern, MD
The Latest Clinical & Industry News
Podcasts: Cath Lab Conversations
Cardiovascular Ambulatory Surgery Centers (ASCs) Topic Center


