Anomalous Left Main Coronary Artery: Approach to Engaging the Anomalous Vessel
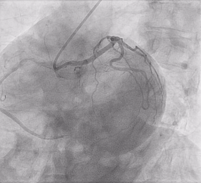
Here, we share a coronary angiography demonstrating anomalous left main (LM) coronary artery originating from the right coronary sinus in a 79-year-old male with no previous cardiac disease history (see below, Videos 1-5).
A 6 French AL1 guide catheter was used to engage the anomalous LM coronary artery originating from the right coronary cusp in this case.
Anomalous LM originating from the right sinus of Valsalva is a rare coronary anomaly. Anomalous LM is generally best engaged with an Amplatz Right (AR), short Amplatz Left (AL) such as an AL0.75 or AL1, or with a multipurpose catheter with clockwise maneuvering. Further evaluation of an anomalous LM to accurately delineate the course is generally recommended with a computed tomography or magnetic resonance imaging scan.
Pradnya Brijmohan Bhattad, MD; Luigi Pacifico, DO
Cardiovascular Medicine, Saint Vincent Hospital, UMass Chan Medical School, Worcester, Massachusetts
Disclosures: The authors report no conflicts of interest regarding the content herein.
The authors can be contacted via Pradnya Brijmohan Bhattad, MD, at pradnyabhattad20@gmail.com.
Find More:
The Latest Clinical & Industry News: Cath Lab Digest
Podcasts: Cath Lab Conversations
Cardiovascular Ambulatory Surgery Centers (ASCs) Topic Center


