Conversations in Cardiology: Avoiding Catastrophe – Managing an Errant Inferior Epigastric Artery Puncture
Morton Kern, MD, with contributions from Phillip Mumford, MHA, MBA, BSHA, RCIS, Conroe, Texas; Duane Pinto, MD, Boston, Massachusetts; Steve Ramee, MD, New Orleans, Louisiana; Ken Rosenfield, MD, Boston, Massachusetts; Curtiss Stinis, MD, La Jolla, California; Zoltan Turi, MD, Hackensack, New Jersey
© 2024 HMP Global. All Rights Reserved.
Any views and opinions expressed are those of the author(s) and/or participants and do not necessarily reflect the views, policy, or position of Cath Lab Digest or HMP Global, their employees, and affiliates.
Morton J. Kern, MD, MSCAI, FACC, FAHA
Clinical Editor; Interventional Cardiologist, Long Beach VA Medical Center, Long Beach, California; Professor of Medicine, University of California, Irvine Medical Center, Orange, California
Disclosures: Dr. Morton Kern reports he is a consultant for Abiomed, Abbott Vascular, Philips Volcano, ACIST Medical, and Opsens Inc.
Dr. Kern can be contacted at mortonkern2007@gmail.com
On Twitter @MortonKern
Anatomical image reprinted with permission from Wooten C, et al. Anatomical significance in aortoiliac occlusive disease. Clin Anat. 2014 Nov;27(8):1264-74. doi:10.1002/ca.22444
Colleagues,
I received a query about hemostasis after inadvertent entry into the inferior epigastric artery. A percutaneous coronary intervention (PCI) was completed without a problem.
Assuming 5000u heparin intravenous (IV) was given, does one wait for anticoagulation to wear off or reverse heparin and then remove the sheath? Do you use manual compression, a vascular closure device, or preemptively obtain contralateral femoral access and perform balloon internal tamponade, or something else?
Your thoughts?
Mort Kern, Long Beach, California: I am worried about the intraabdominal course of the inferior epigastric artery (IEA). Retroperitoneal hemorrhage seems likely, as manual compression may fail. Depending on the distance from the IEA puncture site to the common femoral artery, I would favor Angio-Seal (Terumo Interventional Systems). If I was more concerned about the inability to seal the puncture or the failure to secure hemostasis, I would get access in the common femoral and have balloon tamponade ready to stabilize the bleeding, then consider options. I’ve not encountered this situation before.
Phillip Mumford, Conroe, Texas: I share Mort’s perspective on the use of an Angio-Seal for achieving an effective closure, as manual compression may not be reliable, given the height of the stick. Additionally, I recommend obtaining contralateral access to verify that the Angio-Seal has sealed properly. If contralateral access is not already available, it will delay timely intervention if necessary.
Curtiss Stinis, La Jolla, California: Sadly, I have a fair amount of experience with this scenario. If you train fellows long enough, this is something that you will likely see at some point.
The main concern with creating a hole in the IE is retroperitoneal bleeding. I have seen this with through-and-through sheath insertion, and I have also seen it with only 18-gauge needle injury/laceration of the IE. In my opinion, any “hole” in the IE in the setting of anticoagulation (and possibly even without anticoagulation) is a potential serious situation, and should command respect and attention. It is not typically compressible with external force; thus, bleeding can be very serious. It is critical to understand the anatomy and the flow pattens of the IE. It originates from the external iliac, tracks under the inguinal ligament, and then tracks along the anterior abdominal wall and anastomoses with the internal mammary artery (IMA) up in the chest (Figure 1). When the distal aorta or iliac arteries become diseased or occluded, the IE engorges and becomes a source of collaterals to the leg. In fact, this is where the idea of doing axillo-femoral bypass came from: it already exists in nature. The reason this is important to understand is that simply performing balloon tamponade across the origin of the IE will not stop bleeding because it will back bleed from the IMA. This is also why implanting a covered stent across the IE is not always effective. In these scenarios, the most effective treatment is contralateral access followed by selective engagement of the IE, and then coil embolization of the IE distally AND proximally to the hole. This prevents any back bleeding. No arterial closure device is designed to safely work in a scenario like this.
Courtesy of Dr. Curtiss Stinis.
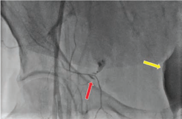
Figure 2 shows an injury to the IE that occurred due to 18-gauge needle laceration, which led to serious retroperitoneal bleeding (note yellow arrow of bladder displaced to the left from massive retroperitoneal bleed) that was only noted after the patient gradually became hypotensive during the case. Figure 3 shows an example of through-and-through sheath insertion of the IE that occurred during venous access that was properly managed with coils that extend distal and proximal to the hole. Of course, it goes without saying that proper access technique with a combination of fluoroscopy AND ultrasound could have prevented these incidents in the first place.
Options for Bleeding Control
Steve Ramee, New Orleans, Louisiana: Great question and great answers. Unfortunately, I’ve seen most of these scenarios. I can’t blame the fellows, either. The practice of control angiography at the beginning of a femoral access case has dramatically reduced, if not eliminated, retroperitoneal bleeding, which used to be the most common serious complication of femoral access.
Courtesy of Dr. Curtiss Stinis.
If I have complicated femoral access where vessel closure is not feasible or hemorrhage has resulted, including inferior epigastric access or failed closure device, I always obtain contralateral (or radial or superficial femoral artery) access so that I can use angiography to direct the use of manual compression, balloons, covered stents, or coils to confirm cessation of bleeding and vessel closure. Not to do so is ill-advised, because retroperitoneal bleeding is usually occult until it is serious, and even small needle puncture bleeds like our colleagues have shown can cause major blood loss over time.
Ken Rosenfield, Boston, Massachusetts: We really need to see the angio to establish what is the anatomical configuration and where exactly is the puncture. Does it go through the IEA and then into the iliac artery? Or is it at the junction of the two (which often happens)? Very important to obtain at least a couple of very angulated orthogonal views in these cases, to truly understand the anatomy. Often there is the appearance in one angle that you are involving the IEA with the arteriotomy, but it turns out not to be the case when viewed in another angle.
In terms of closure, while acknowledging my conflict as member of the scientific advisory board for Vasorum, I favor CELT closure in these and other cases where you want truly reliable closure. The CELT device works like a rivet, with definitive closure from both sides of the vessel wall. Whereas Angio-Seal relies upon collagen on the external surface, and often can “leak” or not seal in such cases. When it is a deep vessel (eg, if one hits the external iliac artery high [cranial]), the reliability of the closure device is critical [and potentially problematic, see Dr. Turi’s comment below]. Moreover, having contralateral access is always helpful, especially when one knows the arteriotomy is cephalad and “control” of the puncture site is precarious.
Curtiss, I completely agree with your comments for the situations you describe, where there is a “through and through” puncture of the IEA. Coiling from the contralateral approach is the way to go, hands down.
Zoltan Turi, Hackensack, New Jersey: If dye extravasation and/or other signs of hemorrhage (eg, hypotension due to blood loss, bladder compression) are already present, you will usually want to reverse anticoagulation. While IEA perforation can be lethal even if the patient is not anticoagulated, this is relatively uncommon. Anticoagulation is present during attempted closure in almost all major retroperitoneal hemorrhage. Letting anticoagulation wear off and doing manual compression may or may not be effective for reasons already mentioned. If anticoagulation had not been given, I would have deferred PCI for another day, if possible. The delay is easier to explain to the patient’s family than a retroperitoneal hemorrhage.
A closure device alone is frequently ineffective in this setting, Angio-Seal in particular, in my opinion. Passive closure devices have little to no place in this scenario. I believe this sort of case is the reason vascular closure devices with anticoagulation on board have been associated with an increased odds ratio of retroperitoneal hemorrhage after PCI (odds ratio 1.57:1, Gurm et al, Ann Int Med 2013; odds ratio 2.8:1, Ellis et al, Catheter Cardiovasc Interv 2006 [Angio-Seal])1,2; granted, the studies are only partially applicable to current imaging, access methods, technology).
Reprinted with permission from Turi Z. Overview of vascular closure. Endovascular Today. February 2008. https://evtoday.com/articles/2008-feb/EVT0208_02-php. Accessed November 14, 2024. ©2008 Bryn Mawr Communications II, LLC. All rights reserved.
In the through-and-through IEA perforation scenario, you are most frequently dealing with a high stick, and although the Angio-Seal anchor will deploy inside the artery, it is frequently the case that the plug will not travel down the steep and longer pathway past the inguinal ligament through the soft tissue to the top of the artery (Figure 4). This is also the case with multiple other devices (even Perclose [Abbott] where the knot is relatively low profile). Autopsy evidence of a gap between plug/clip/knot and the anterior wall of the external iliac artery in this scenario has shown that the transversus abdominus muscle or other tissue prevents the passage of the plug down to the anterior wall of the artery. Moreover, even if it does plug the entrance site in the external iliac, it will most often not prevent blood flowing into the IEA and out through the perforation. So, while you may not see external bleeding through the tissue track, you can simultaneously exsanguinate into the near-infinite volume of the retroperitoneal space.
If a wire (typically micropuncture wire) entered the IEA followed by a dilator and/or sheath and caused the perforation, there is very little chance a closure device will do the job. As others have nicely pointed out this is a job for coiling the IEA, and usually, but not always, going contralaterally.
Courtesy of Dr. Zoltan Turi.
Of course, the way to help avoid the IEA is ultrasound and fluoro during access. Ultrasound imaging is better at preventing low puncture, fluoro helps to avoid high puncture. Because micropuncture needles use small straight wires, it is easy to inadvertently engage the IEA during access or on the lateral side of the external iliac, the lateral circumflex of the hip. It is best to fluoro after the wire advance but before advancing a dilator; the pattern of the wire in the branch vessel instead of external iliac engagement is usually easy to recognize (Figure 5). Then, before anticoagulation, I would always do a sheath angiogram to look at puncture location and also for dye extravasation either from a branch vessel like the IEA, or from inadvertent puncture of the external iliac higher up. Even if the sheath entrance was below the inguinal ligament, a perforation may have occurred, caused by a dilator tip or wire perforating a tortuous external iliac artery. Doing the sheath angiogram at the beginning of the case allows you to stop before anticoagulation. If at the end of the case you suspect retroperitoneal hemorrhage, you can take advantage of the incidental cystogram that is already there (if you have given any meaningful amount of dye and the case lasted long enough) and look for compression (the “bladder sign”3), (Figure 6).
Reprinted with permission from Freilich MI, et al. The “bladder sign”--an important early marker of retroperitoneal hemorrhage. Catheter Cardiovasc Interv. 2012 Jan 1; 79(1): 158-165. doi:10.1002/ccd.23141
Duane Pinto, Boston, Massachusetts: I agree with what Kenny, Steve, and Curtiss have said. This is a deceptively dangerous situation. Reinforcing that this can be a perforation of the vessel with the micropuncture wire or laceration/transection of the vessel by any needle. None of these will be dealt with by closing the common femoral artery entry site. The bleeding presents in a multitude of ways, but as Curtiss said, it accumulates in the anterior abdomen and tracks along the inguinal ligament to the retroperitoneum. The person bleeds actually at a pretty fast pace, but it is a long time before anyone notices; the delay is exacerbated by the quick turnover in the holding areas and lack of familiarity for femoral access complications.
One must be knowledgeable about the Winslow pathway (Figure 1) that connects the IMA and IEA as a source of blood, even if the vessel is closed on one side of the injury. Part of the assignment is to diagnose the problem, fix it — which requires some sort of intervention in most if not all injuries, confirm that it is fixed, and then tell everyone what to worry about in case the fix wasn’t durable. As many have said, this complication is one of the remaining complications of femoral arterial access in 2024 where someone can bleed to death, and should be treated with aggressive resuscitative measures in addition to dealing with the artery.
The Bottom Line
Inadvertent punctures of the IEA are rare and mostly preventable by using good femoral access technique that employs ultrasound imaging guidance, visualization of the micropuncture wire, and femoral angiography before proceeding to PCI. If a sheath was placed in the IEA, then take all measures to minimize the chances of a retroperitoneal hemorrhage by holding anticoagulation, considering coiling, and coming back another day for PCI. I learned a lot from this conversation and hope our fellows did, too.
References
1. Gurm HS, Hosman C, Share D, Moscucci M, Hansen BB; Blue Cross Blue Shield of Michigan Cardiovascular Consortium. Comparative safety of vascular closure devices and manual closure among patients having percutaneous coronary intervention. Ann Intern Med. 2013 Nov 19; 159(10): 660-666. doi:10.7326/0003-4819-159-10-201311190-00004
2. Ellis SG, Bhatt D, Kapadia S, Lee D, Yen M, Whitlow PL. Correlates and outcomes of retroperitoneal hemorrhage complicating percutaneous coronary intervention. Catheter Cardiovasc Interv. 2006 Apr;67(4):541-5. doi: 10.1002/ccd.20671
3. Freilich MI, Gossman DE, Applegate RJ, Werns SW, Gips SJ, Turi ZG. The “bladder sign”--an important early marker of retroperitoneal hemorrhage. Catheter Cardiovasc Interv. 2012 Jan 1;79(1):158-65. doi:10.1002/ccd.23141
Find More:
Grand Rounds With Morton Kern, MD
Peripheral Artery Disease Topic Center
The Latest Clinical & Industry News
Podcasts: Cath Lab Conversations
Cardiovascular Ambulatory Surgery Centers (ASCs) Topic Center
Go to Cath Lab Digest's current issue page


