Chest X-Ray Interpretation Made Easy: Understanding the Cardiac Silhouette
© 2025 HMP Global. All Rights Reserved.
Any views and opinions expressed are those of the author(s) and/or participants and do not necessarily reflect the views, policy, or position of Cath Lab Digest or HMP Global, their employees, and affiliates.
Morton J. Kern, MD, MSCAI, FACC, FAHA
Clinical Editor; Interventional Cardiologist, Long Beach VA Medical Center, Long Beach, California; Professor of Medicine, University of California, Irvine Medical Center, Orange, California
Disclosures: Dr. Morton Kern reports he is a consultant for Abiomed, Abbott Vascular, Philips, ACIST Medical, and Opsens Inc.
Dr. Kern can be contacted at mortonkern2007@gmail.com. On X @MortonKern
A critical part of a cardiology consultation and review in preparation for a cardiac catheterization should include the chest x-ray. As part of their monthly training assignments, the cardiology hospital service receives residents who work and learn about cardiovascular disease diagnosis and treatment. A teaching attending supervises the residents on the consult service and reviews the clinical history, the physical exam, laboratory data, and graphics including the chest x-ray (CXR), echocardiograms, stress testing, and other images that assist in making a correct diagnosis and treatment plan.
1. Ensure correct patient name, date, etc.
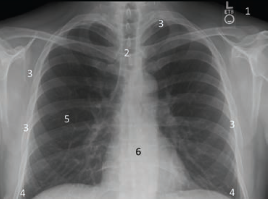
2. Check for rotation (see figures).
3. Exam CXR outside edges first – review soft tissues, ribs, edges of the lungs.
4. Review costophrenic angles, shape and elevation of diaphragms.
5. Check lung fields for masses, vascularity, infiltrates, etc.
6. Lastly, trace the cardiac silhouette, starting at the lower edge of the right atrium.
For the most part, the CXR provides evidence of lung and heart abnormalities. The information obtained from understanding the cardiac silhouette on a chest x-ray has important clinical implications. For example, finding a large, dilated heart requires an explanation, as does a small cardiac silhouette in a highly symptomatic patient with heart failure. A small heart size means something entirely different for the approach to diagnosis and treatment.
Reprinted with permission from Kern MJ. Cath Lab Digest. 2011 Aug; 19(8). Copyright HMP Global.
However, the CXR can be deceiving (that’s part of the reason why echocardiography is also so frequently used). Modern cardiology relies heavily on echocardiography to answer many of the questions that in the past were answered by physical examination (eg, finding a heart murmurs of valvular heart disease) as well as confirm cardiac chamber size and function estimated from the chest x-ray. Nonetheless, the CXR remains important to a complete diagnosis.
How Should We Approach Reading the CXR?
(Right panel) Cardiac silhouette as seen on a CXR, starting at the bottom of the cardiac silhouette at right diaphragm, the right atrial (RA) edge [1] moves upward, with the edge now representing the right pulmonary hilum [2], the overlap of the superior vena cava and ascending aorta [3], and upward to the top of ascending aorta moving to the transverse portion of the aorta [4] and then downward forming the aortic ‘knob’ [5] or bend at the transition of the transverse and descending aorta. The next portion of the silhouette is the left pulmonary hilum [6], the left atrial appendage segment [7], the left ventricle [8] and then the intersection with the left diaphragm.
There are many schema and algorithms taught to medical students on how to read a CXR.
Clearly, just looking at the cardiac silhouette on a chest x-ray is not always straightforward nor always accurate. My brief algorithm for students is shown in Figure 1. This algorithm, of course, is just a start to a more detailed study of the CXR, but it is a good place to start. The interpretation starts with knowing the chest rotation and orientation. This is important in order to appreciate the chambers, which in certain rotations may cause the heart to look larger or smaller than it actually is. Cardiology residents struggle with correctly identifying oblique rotations that impact the heart’s shape, chamber size appearance, and overlapping structures. Because this is a frequent struggle, I thought I’d address the issue of cardiac structure as seen on the routine chest x-ray to make interpretation easier. A discussion of a lateral CXR can be found elsewhere.
Reprinted via a Creative Commons License from Mori S, Shivkumar K. Atlas of Cardiac Anatomy: Anatomical Basis of Cardiac Interventions, Volume 1, Cardiotext Publishing, Amara Yad open access (2022). https://cardiotextpublishing.com/openaccess/atlas-of-cardiac-anatomy. Creative Commons license Attribution-NonCommercial-NoDerivatives 4.0 International. https://creativecommons.org/licenses/by-nc-nd/4.0/
__________________________________________________________________________
Sidebar
The Amara Yad (The Immortal Hand) Project
Note: The following is taken from:
1. Mori S, Shivkumar K. Atlas of Cardiac Anatomy: Anatomical Basis of Cardiac Interventions, Volume 1, Cardiotext Publishing, Amara Yad open access (2022). https://cardiotextpublishing.com/openaccess/atlas-of-cardiac-anatomy
2. Shivkumar K, Krumholz HM. The Amara Yad Project: A New Resource for Cardiac Anatomy. J Am Coll Cardiol. 2025 Jan 28; 85(3):292-294. https://doi.org/10.1016/j.jacc.2024.12.007
The Amara Yad (The Immortal Hand) project and the generation of the Atlas is a physician-led initiative with a single goal: to honor the victims of medical exploitation through corrective action. As its first act, Amara Yad is publishing a new generation of open-access digital anatomic atlases of the highest quality. These digital atlases will be made available gratis to all users to support the life-saving mission of the profession, made possible with the generous backing of the Amara Yad Project initiated by the UCLA Cardiac Arrhythmia Center in 2022.
The History of the Amara Yad Project
Between 1938 and the end of World War II, the University of Vienna anatomist Eduard Pernkopf published a series of anatomical atlases. He used the bodies of over 1,300 murdered victims of Nazi terror as subjects for his work. The Nazi history of the Pernkopf atlas series was concealed in the 1950s. Swastikas and SS insignia proudly displayed in the illustrators’ signatures of those atlases were erased (partially) from prints in subsequent editions of the atlas. For decades, physicians used Pernkopf ’s atlases without the knowledge that bodies depicted in those works belonged to the victims of Nazi atrocities. The atlases were regarded as preeminent anatomical resources, a clinical necessity, and remained in use even after their depraved origins had been exposed. Importantly, no effort was made to surpass this work and provide a definitive resource for the world.
____________________________________________________________________________
Cardiac Anatomy 101 and the Cardiac Silhouette
Reprinted via a Creative Commons License from Mori S, Shivkumar K. Atlas of Cardiac Anatomy: Anatomical Basis of Cardiac Interventions, Volume 1, Cardiotext Publishing, Amara Yad open access (2022). https://cardiotextpublishing.com/openaccess/atlas-of-cardiac-anatomy. Creative Commons license Attribution-NonCommercial-NoDerivatives 4.0 International. https://creativecommons.org/licenses/by-nc-nd/4.0/
Looking at a chest x-ray, recall how the heart is positioned in the chest (Figure 2). The fist-sized heart has a conical shape, with the base of the heart near the center line of the chest and the apex oriented at about 45 degrees toward the left of the center. On the CXR, the cardiac structures are outlined with edges made of overlapping structures. The most anterior structure is the right ventricle, but the left ventricle makes up much of the cardiac silhouette (Figure 3). Starting at the bottom of the cardiac silhouette at the right diaphragm, the right atrial (RA) edge (1) continues upward, with the edge now representing the right pulmonary hilum (2) further up, the overlap of the superior vena cava and ascending aorta (3) and upward to the top of ascending aorta, moving to the transverse portion of the aorta (4), and then downward, forming the aortic ‘knob’ (5) or bend at the transition of the transverse and descending aorta. The next portion of the silhouette is the left pulmonary hilum (6), the left atrial appendage segment (7), the left ventricle (8), and then the intersection with the left diaphragm.
On the left panel of Figure 3, an anterior view of the dissected heart can be appreciated in exquisite detail.
The image comes from the Amara Yad Project, Atlas of Cardiac Anatomy,1 which is an expertly crafted anatomic depiction of the heart chambers, conduction system and valves. This book (free online) should be mandatory reading for all students of cardiology at any age or stage of training. When I saw these images, now published in monthly installments in JACC,2 I was completely enthralled and wanted to share even this small sample of this remarkable work with our students, nurses, and trainees. I hope you will look at this book.
Interpreting LAO and RAO Views
The contours of the heart change with chest rotation, also known as oblique views. Figure 2 also depicts the change in heart shape with the LAO and RAO views. Using the correct nomenclature prevents ambiguity and confusion in discussions. Left shoulder toward the camera is left anterior oblique (LAO). Right shoulder forward is right anterior oblique (RAO).
AP = anterio-posterior, SP = spinous process, LC = left clavicular head, RC = right clavicular head. Positions of the patient are shown on the far right side.
Rotation of the heart (Figure 5) changes the projection of the heart shadow on the CXR. The neutral anterio-posterior (AP) position changes the heart silhouette from globular to a longer, more triangular shape as the right ventricle (RV)/left ventricle (LV) is projected outward during increasing RAO rotation. Conversely, the cardiac shape becomes more globular and rounded as the heart is rotated LAO (Figure 6), where the heart moves more centrally and then to the patient’s right on LAO projection. The changes to the shape of the cardiac silhouette help us understand the true chamber dimensions. If the CXR is rotated, we modify our interpretation to account for those changes.
The ‘Gunsight’ Method for CXR Alignment
An easy way to know if the chest is rotated uses a ‘gunsight’ method. First, we look at the most anterior 2 bony structures, the right and left clavicles (RC and LC), shown on Figure 7 in an enlarged the top part of the CXR. Then look at the spinous process, the most posterior bony structure. The spinous process aligned between the two heads of the clavicles acts like a gunsight, telling us the chest is squared (perpendicular) to the camera and thus the cardiac silhouette can be used to accurately interpret heart size. Using these 2 landmarks, the CXR is centered when the spinous process can be seen equidistant between the 2 clavicular heads. This centering establishes a true AP orientation. If the spinous process is superimposed over the LC, then the chest is positioned LAO. Conversely, if the spinous process is over the RC, then the chest is rotated RAO. The heart then follows the rules for these obliques. Figure 8 depicts the concept of the gunsight aligning the heads of the clavicles with the spinous process. You can see that when the patient is rotated right anterior oblique, the right head of the clavicle overlies the right clavicle and when rotated left anterior oblique, the left clavicle is covered by the spinous process. This is then synthesized in the Figure 9 in which the center image has the heads of the clavicles between the spinous process. The center frame CXR is an anteroposterior non-rotated image showing the aligned clavicles with the dotted line of the spinous process. The left anterior oblique rotation (Figure 9, left image) shows the heart is rounder, and the spinous process overlies the left clavicle. The RAO CXR (Figure 9, right image) shows the heart is more triangular, and the right head of the clavicle overlies the spinous process. My suggestion to the residents is after confirming the name on the film, first check the rotation as the starting point for discussing all cardiac structures based on the cardiac silhouette.
LV Angiography and the Oblique Views
The oblique angulations are also critical to our appreciation of ventriculography as well as a chest roentgenology. Figure 10 shows cineframes of left ventriculograms in the left anterior oblique view and the right anterior oblique views. When injecting the LV during ventriculography, in the LAO with cranial projection, we see the heart on end with the segments of the LV wall numbered (Figure 10 legend). In the RAO view, the heart is elongated. The 5 segments of the LV are used to describe wall motion and LV contraction (1 = basal anterior; 2 = anterior; 3 = apical; 4 = inferior, and 5 = inferior basal at the plane of the mitral valve). For a quick reference, the LV shape can easily be recalled by remembering hand position in Figure 2. This is an easy method to remember the heart shape and can then be applied to the chest x-ray.
The Bottom Line
Interpreting CXR can be daunting. The understanding of oblique views on the cardiac silhouette will assist in the correct cardiac diagnosis in some cases and help during left ventriculography. The ‘gunsight’ method is an easy way to ensure the accuracy of the oblique projection and avoid confusion. I would like to thank the Amara Yad Project and the team that produced the Atlas.1 It is a must-read for all those interested in cardiovascular disease.
Acknowledgements: The images of the heart used for this editor’s page were taken from the Atlas1 with gratitude to the authors who have made a magnificent contribution to medical knowledge across the world for the benefit of all individuals and for posterity.
References
1. Mori S, Shivkumar K. Atlas of Cardiac Anatomy: Anatomical Basis of Cardiac Interventions, Volume 1, Cardiotext Publishing, Amara Yad open access (2022). https://cardiotextpublishing.com/openaccess/atlas-of-cardiac-anatomy
2. Shivkumar K, Krumholz HM. The Amara Yad Project: A New Resource for Cardiac Anatomy. J Am Coll Cardiol. 2025 Jan 28; 85(3): 292-294. doi: 10.1016/j.jacc
3. Kern MD. Angiographic projections made simple: an easy guide to understanding oblique views. Cath Lab Digest. 2011 Apr; 19(8). https://www.hmpgloballearningnetwork.com/site/cathlab/articles/angiographic-projections-made-simple-easy-guide-understanding-oblique-views
Find More:
Cardiovascular Ambulatory Surgery Centers (ASCs) Topic Center
The Latest Clinical & Industry News
Grand Rounds With Morton Kern, MD
Peripheral Artery Disease Topic Center


