The Takeru™ PTCA Balloon Dilatation Catheter for Pre Intravascular Lithotripsy (IVL)
© 2025 HMP Global. All Rights Reserved.
Any views and opinions expressed are those of the author(s) and/or participants and do not necessarily reflect the views, policy, or position of Cath Lab Digest or HMP Global, their employees, and affiliates.
Daniel Vilchez, MD
Interventional Cardiologist, St. Mary’s Medical Center, Huntington, West Virginia
The presence of heavily calcified lesions increases the complexity of percutaneous coronary intervention (PCI) and is associated with adverse outcomes1 such as increased risk of death, myocardial infarction, target vessel revascularization, and stent thrombosis. Challenges associated with the treatment of these lesions include difficulties in pre-dilation, an increased risk of dissection, and difficult stent delivery and expansion. To increase the success of PCI, atheroablative techniques have traditionally been used. The use of intravascular lithotripsy (IVL) is a recent addition to the available resources for treatment of complex calcified disease. Intravascular lithotripsy has been associated2 with decreased rates of target vessel revascularization and stent thrombosis. However, deliverability of IVL devices can be challenging. Thankfully, the low-profile design coupled with increased pushability of Terumo’s Takeru™ PTCA Balloon Dilatation Catheter facilitates the use of IVL in heavily calcified lesions.
Clinical Case
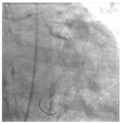
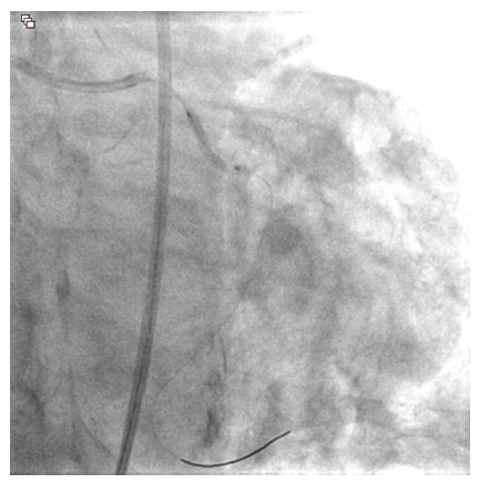
An 81-year-old male with hypertension, diabetes, and hyperlipidemia was referred for evaluation of an abnormal stress test. He originally complained of shortness of breath with exertion. A pharmacologic stress test was performed at an outside facility and showed inferior wall ischemia with a normal ejection fraction. He underwent coronary angiography via a right radial approach that revealed a heavily calcified, eccentric lesion in the large, codominant circumflex artery with TIMI-3 flow (Figure 1). Due to a small ulnar artery, the decision was made to access the right femoral artery in preparation for complex intervention. Utilizing a 6 French Judkins Left 4 guide catheter, the left system was engaged. The lesion was wired with a Runthrough® Izanai™ wire (Terumo Interventional Systems) and pretreated with balloon angioplasty using a 2.0 mm x 15 mm Takeru™ RX balloon (Terumo Interventional Systems) (Figure 2). A 2.5 mm x 15 mm Takeru™ RX noncompliant (NC) balloon was then advanced to perform further pre-dilation balloon angioplasty (Figure 3).
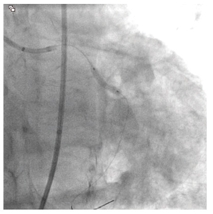
Despite this, access past the mid-portion of the lesion continued to prove difficult due to the significant angulation of the lesion. Utilizing a 6 French GuideLiner catheter (Teleflex), the 2.0 mm x 15 mm Takeru™ RX balloon was able to be advanced past the mid-portion of the circumflex lesion for additional angioplasty. Following this, IVL was performed using 60 shocks (6 inflations) of a 3.0 mm x 12 mm Shockwave lithotripsy balloon (Shockwave Medical) (Figure 4).
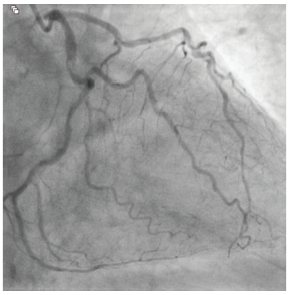
IVL allowed for delivery of a 3.0 mm x 22 mm Onyx Frontier drug-eluting stent (Medtronic) and a 3.5 mm x 26 mm Onyx drug-eluting stent, deployed in an overlapping fashion from the distal to mid left circumflex artery, respectively (Figures 5-6).
Finally, the stents were post-dilated with a 4.0 mm x 12 mm Takeru™ RX NC balloon. The result demonstrated 0% residual stenosis with TIMI-3 flow, free from dissection or perforation (Figure 7).
Conclusion
Integrating a multifaceted approach to complex PCI has improved the ability to manage heavily calcified lesions that may have previously been too difficult to treat. Using the Takeru™ RX NC balloon to perform pre-dilation in heavily calcified lesions aids in the delivery of an IVL catheter to further treat nodular, concentric, and even eccentric calcified lesions, as in the case herein.
Acknowledgements. With support from Jessica Smith, Cardiology FNP-C.
This case report is sponsored by Terumo Interventional Systems.
References
1. Shah M, Najam O, Bhindi R, De Silva K. Calcium modification techniques in complex percutaneous coronary intervention. Circ Cardiovasc Interv. 2021 May; 14(5): e009870. doi:10.1161/CIRCINTERVENTIONS.120.009870
2. Kereiakes DJ, Di Mario C, Riley RF, et al. Intravascular lithotripsy for treatment of calcified coronary lesions: patient-level pooled analysis of the Disrupt CAD studies. JACC Cardiovasc Interv. 2021 Jun 28; 14(12): 1337-1348. doi:10.1016/j.jcin.2021.04.015
PM-08922
Find More:
Cardiovascular Ambulatory Surgery Centers (ASCs) Topic Center
The Latest Clinical & Industry News
Grand Rounds With Morton Kern, MD
Peripheral Artery Disease Topic Center


