A Rare Case of Platypnea-Orthodeoxia Syndrome, Masquerading as Acute Respiratory Failure
Platypnea-orthodexia syndrome (POS) is an uncommon condition of positional dyspnea and hypoxia which improves with recumbency. Hypoxia in POS is secondary to mixing of deoxygenated venous blood with the oxygenated arterial blood via a shunt. POS remains a diagnostic challenge in patients with profound resting hypoxemia. However, use of echocardiography with agitated saline, cardiac catheterization and computed tomography (CT) scan can help in the diagnosis. Etiologies can be broadly classified into intracardiac shunts, such as an atrial septal defect (ASD) and patent foramen ovale (PFO), or extra cardiac, which includes intra-pulmonary arteriovenous malformations, ventilation perfusion mismatch, and lung parenchymal diseases. Treatment of POS secondary to intracardiac shunting is curative, with percutaneous closure in the setting of normal pulmonary pressures. We report a case of POS in a 71-year-old male with profound hypoxemic respiratory failure who underwent successful transcatheter closure of his PFO with subsequent resolution of his symptoms.
Case Report
A 71-year-old gentleman with a past medical history of an inferior wall myocardial infarction status post thrombolytics 30 years ago, cryptogenic cerebrovascular accident with no residual deficits, hypertension, and hyperlipidemia, and who is an ex-smoker, presented to an outside facility with dry cough and worsening shortness of breath for 4-6 weeks. He had an extensive environmental exposure history working as a machinist with carbide metals for approximately 20 years.
Upon initial evaluation, he was afebrile with a blood pressure of 140/71 mmHg, pulse of 84 beats per minute, and O2 saturations in low 80s. On examination, he was in mild respiratory distress. Cardiac auscultation revealed 1/6 soft ejection systolic murmur with coarse breath sounds on lung auscultation. The remainder of the examination was unremarkable. His labs were notable for elevated white blood cell count of 17,000 with a left shift; other parameters were within normal limits. His chest x-ray was unremarkable for any acute pathology.
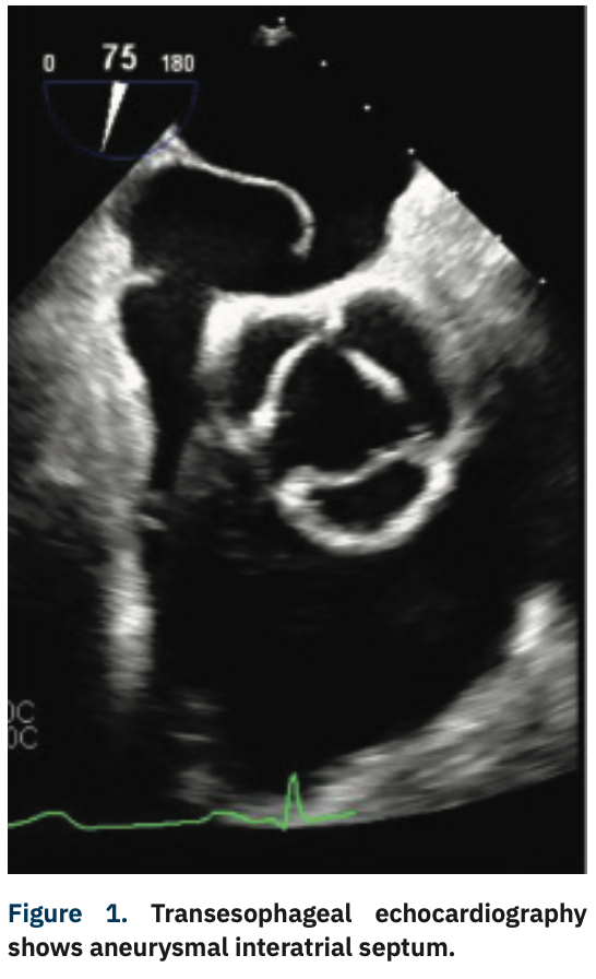
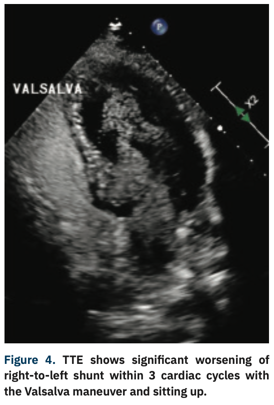
He was admitted with diagnosis of acute hypoxic respiratory failure secondary to a presumptive diagnosis of hypersensitivity pneumonitis given his history and was started on intravenous steroids. Despite treatment, he continued to get progressively hypoxemic, requiring high-flow O2. After an extensive and detailed pulmonary workup at the outside facility, he was transferred to our facility for further evaluation and management. Repeat echocardiography demonstrated a large PFO using agitated saline. A subsequent transesophageal echocardiogram (TEE) revealed normal biventricular size and function, an atrial septal aneurysm (Figure 1), and color-flow Doppler suggested the presence of a PFO with predominant right-to-left shunting (Figure 2). Right heart catheterization demonstrated normal central filling pressures with no evidence of left-to-right shunting.

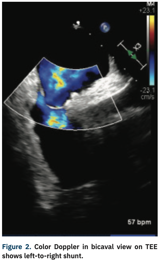
Given the degree of right-to-left shunting with agitated saline at baseline, there was a high index of suspicion for Platypnea-orthodeoxia syndrome. Repeat echocardiography with agitated saline in both supine and upright position was performed and demonstrated a profound right-to-left shunt within one cardiac cycle in the upright position (Figures 3-4).

His clinical presentation was attributed to Platypnea-orthodeoxia syndrome secondary to his large PFO. Percutaneous closure of the PFO was performed with 30 mm Gore Cardioform device (W. L. Gore & Associates). Immediately after closure, he had complete resolution of his symptoms and profound baseline resting hypoxemia with O2 saturation measuring 97% on room air.
Discussion
Platypnea-orthodexia syndrome (POS) is a rare condition characterized by arterial desaturation and dyspnea upon sitting or standing.1,2 Acute hypoxemic respiratory failure is a very unusual presentation for POS, as it does not typically present with such profound hypoxemia while at rest. There are several causes for POS, but it is classically highlighted as right-to-left shunting through a PFO.3,4 However, the precise mechanism of shunting through the PFO despite normal hemodynamics remains unclear.5 Oxygen saturation needs to be assessed in the sitting up and recumbent positions. If there is decrease of greater than 5% in saturated O2 from the supine to upright position, the index of suspicion for POS should be high. Since the most common etiology for POS is an intracardiac shunt, a transthoracic echocardiogram with agitated saline should be performed to differentiate between an intracardiac and extracardiac shunt. Definitive treatment of POS secondary to an intracardiac shunt involves correction of the primary cardiac anomaly. Percutaneous closure of the PFO or ASD is definitive therapy, with symptomatic improvement in greater than 95% of patients.6-9 Our case report highlights the diagnostic dilemma in patients presenting with hypoxemic respiratory failure and underlying POS. Though positional dyspnea and hypoxia are the hallmark of POS, not all patients will present with classic symptoms, as seen in our patient. Identification and correction of the shunting through transcatheter techniques allows for complete resolution of POS.
References
1. Seward JB, Hayes DL, Smith HC, et al. Platypnea-orthodeoxia: clinical profile, diagnostic workup, management, and report of seven cases. Mayo Clin Proc. 1984; 59: 221-231.
2. Robin ED, McCauley RF. An analysis of platypnea-orthodeoxia syndrome including a “new” therapeutic approach. Chest. 1997; 112: 1449-1451.
3. Guérin P, Lambert V, Godart F, et al. Transcatheter closure of patent foramen ovale in patients with platypnea-orthodeoxia: results of a multicentric French registry. Cardiovasc Intervent Radiol. 2005; 28: 164-168.
4. Delgado G, Inglessis I, Martin-Herrero F, et al. Management of platypnea-orthodeoxia syndrome by transcatheter closure of atrial communication: hemodynamic characteristics, clinical and echocardiographic outcome. J Invasive Cardiol. 2004; 16: 578-582.
5. Zanchetta M, Rigatelli G, Ho SY. A mystery featuring right-to-left shunting despite normal intracardiac pressure. Chest. 2005; 128(2): 998-1002.
6. Adolph EA, Lacy WO, Hermoni YI, et al. Reversible orthodeoxia and platypnea due to right-to-left intracardiac shunting related to pericardial effusion. Ann Intern Med. 1992; 116: 138-139.
7. Hirai N, Fukunaga T, Kawano H, et al. Platypnea-orthodeoxia syndrome with atrial septal defect. Circ J. 2003; 67: 172-175.
8. Nakahira A, Matsumura Y, Tatsumi H, et al. Platypnea-orthodeoxia diagnosed by sitting transesophageal echocardiography. Ann Thorac Surg. 2010; 89: 1284-1286.
9. Fox JL, Brown E, Harrison JK, et al. Platypnea-orthodeoxia and progressive autonomic failure. Am Rev Respir Dis. 1989; 140: 1802-1804.
Disclosures: The authors report no conflicts of interest regarding the content herein.
The authors can be contacted via Muhammad Umair Bakhsh, MD, at mbakhsh@ccvmg.com


