Occluded Left Subclavian and Severe Triple-Vessel CAD in a Patient With a “Bovine” Aortic Arch
© 2024 HMP Global. All Rights Reserved.
Any views and opinions expressed are those of the author(s) and/or participants and do not necessarily reflect the views, policy, or position of Cath Lab Digest or HMP Global, their employees, and affiliates.
Richard Casazza, MAS, RT(R)(CI); Arsalan Hashmi, MD; Enrico Montagna, RT(R)(CI); Bruno Augusto De Brito Gomes, MD; Nikhil Cordeiro, MD
Maimonides Medical Center, Brooklyn, New York
Disclosures: The authors report no financial relationships or conflicts of interest regarding the content herein.
The authors can be contacted via Richard Casazza, MAS, RT(R)(CI), at all4ugq@aol.com.
This is the case of a 61-year-old man, a nonsmoker with known history of asthma, who presented with generalized weakness and progressing shortness of breath for 2-3 months. Patient had a limited exercise tolerance, only walking approximately one block prior to becoming short of breath. He stated he did not take any medications at home other than his inhaler for asthma. The patient underwent cardiac evaluation upon showing up to the emergency department and initially was seen as a ST-elevation myocardial infarction code. Eventually, the patient needed cardiac catheterization.
Vitals on arrival
Temperature: 97.2°F/36.2°C
Blood pressure: 159/119; Mean arterial pressure (MAP): 132
Heart rate: 64 beats per minute (bpm)
Resting heart rate: 20 bpm
Oxygen saturation (SpO2): 97% on room air
Cardiac Workup
Electrocardiogram
Patients was in normal sinus rhythm, anteroseptal Q waves, isolated ST-elevation in V2, with incomplete left bundle branch block.
Echocardiography
The patient had a mildly dilated left ventricle with severely decreased left ventricular systolic function (LVEF, 16-20%). There were multiple segmental wall motion abnormalities. He had a mild to moderately dilated left atrium (LA, volume index = 42.42 ml/m² [upper limit of normal = 34 ml/m2]). The right ventricle (RV) was mildly enlarged. RV systolic function was moderately reduced. The right atrium was mild to moderately dilated. There was mild aortic valve sclerosis without stenosis, mild to moderate mitral and tricuspid valve regurgitation, and mild pulmonic valve regurgitation with moderately elevated pulmonary artery systolic pressure.
Catheterization
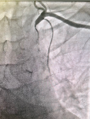
The right radial artery pulse was weak and thready. Surprisingly, the patient’s left radial artery pulse was stronger than the right. The patient underwent cardiac catheterization from the left distal radial artery with the use of ultrasound guidance. Wires were not able to pass into the ascending aorta and an angiogram was taken in turn. The angiogram revealed a 100% occluded left subclavian artery (Figure 1). Femoral access was obtained for selective coronary angiography.
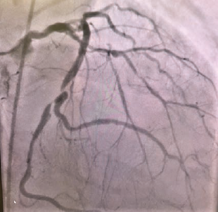
Coronary anatomy revealed a normal left main and an occlusion in the ostial left anterior descending (LAD) at 95%, proximal LAD 70%, mid-LAD 90%, mid left circumflex (LCx) 85%, obtuse marginal (OM)1 70%, OM2 40%, 1st left posterolateral artery 70%, ostial left posterior descending artery 90%, and a right coronary artery (RCA) 100% chronic total occlusion (CTO) (Figures 2-4).
After selective coronary angiography revealed severe triple-vessel coronary artery disease (CAD), it was deemed prudent to obtain a surgical evaluation. Prior to closing the case, an aortogram was taken to further delineate the left subclavian occlusion and possible use of the left internal mammary artery (LIMA) as a conduit for grafting. An ancillary finding was a “bovine” aortic arch (Figures 5A-B). After extensive discussion, it was determined that the patient required surgical revascularization. The patient was scheduled for triple/quadruple vessel coronary artery bypass grafts (CABG). Subclavian to subclavian bypass was considered with LIMA to LAD grafting; however, it was deemed too high-risk due to possible subclavian graft failure. Possible percutaneous transluminal angioplasty of the left subclavian was considered as an option post CABG if necessary. Despite extensive discussions, the patient ultimately decided to forgo any treatment.
Discussion
The aortic arch ordinarily consists of three great vessels. It comprises the brachiocephalic trunk, left common carotid artery, and left subclavian artery. There are several variations of the aortic arch. A type II aortic arch is commonly known as a “bovine” arch. A type II aortic arch is the second-most prevalent variant of aortic arch. The prevalence of bovine arches seen on imaging has been reported to range from 15% to 35% of the U.S. population.1 The term “bovine” arch is a common misnomer regarding its anatomic similarity to ruminant animals. In these animals, a single great innominate artery originates from the arch, and is divided into three branches of the right and left subclavian arteries and carotid trunk.2 In humans with this misnamed variant, anatomically, the innominate artery has a common origin with the left common carotid artery, with the left subclavian maintaining its own origin.
Cardiac catheterization of patients with a “bovine” arch is typically unremarkable, and rarely known without prior imaging of the aorta. In our patient, without the discovery of an occluded left subclavian, aortography would have not been done and the presence of this variant would have gone unnoticed.
References
1. Layton KF, Kallmes DF, Cloft HJ, et al. Bovine aortic arch variant in humans: clarification of a common misnomer. Am J Neuroradiol. 2006; 27: 1541e2
2. Shaban M, Budhathoki P, Lee S, et al. Bovine aortic arch, a high-risk variant. Cureus. 2022 May 29; 14(5): e25456. doi:10.7759/cureus.25456
From: Layton KF, Kallmes DF, Cloft HJ, Lindell EP & Cox VS. Bovine Aortic Arch Variant in Humans: Clarification of a Common Misnomer. AJNR Am J Neuroradiol. 2006 Aug;27(7):1541-2; used with permission of Mayo Foundation for Medical Education and Research, all rights reserved.


