Not the Usual Suspect: Intracoronary Hematoma Presenting as an Acute STEMI
© 2025 HMP Global. All Rights Reserved.
Any views and opinions expressed are those of the author(s) and/or participants and do not necessarily reflect the views, policy, or position of Cath Lab Digest or HMP Global, their employees, and affiliates.
Yashwant Agrawal, MD1; Dominika M. Zoltowska, MD1; Anthony Elghoul2; Anwita Reddy Nimma2; Tim A. Fischell, MD, MSCAI3
1Chandler Regional Medical Center, Chandler, Arizona; 2BASIS Chandler, Chandler, Arizona; 3Professor of Medicine, Michigan State University; Clinical Professor, Western Michigan University Homer Stryker MD School of Medicine; Borgess Heart Institute, Kalamazoo, Michigan
Disclosures: The authors report no conflicts of interest regarding the content herein.
The authors confirm that informed consent was obtained from the patient for the publication described in the manuscript and the publication thereof.
Corresponding author: Dr. Yashwant Agrawal, yashwantagrawal.agrawal@gmail.com
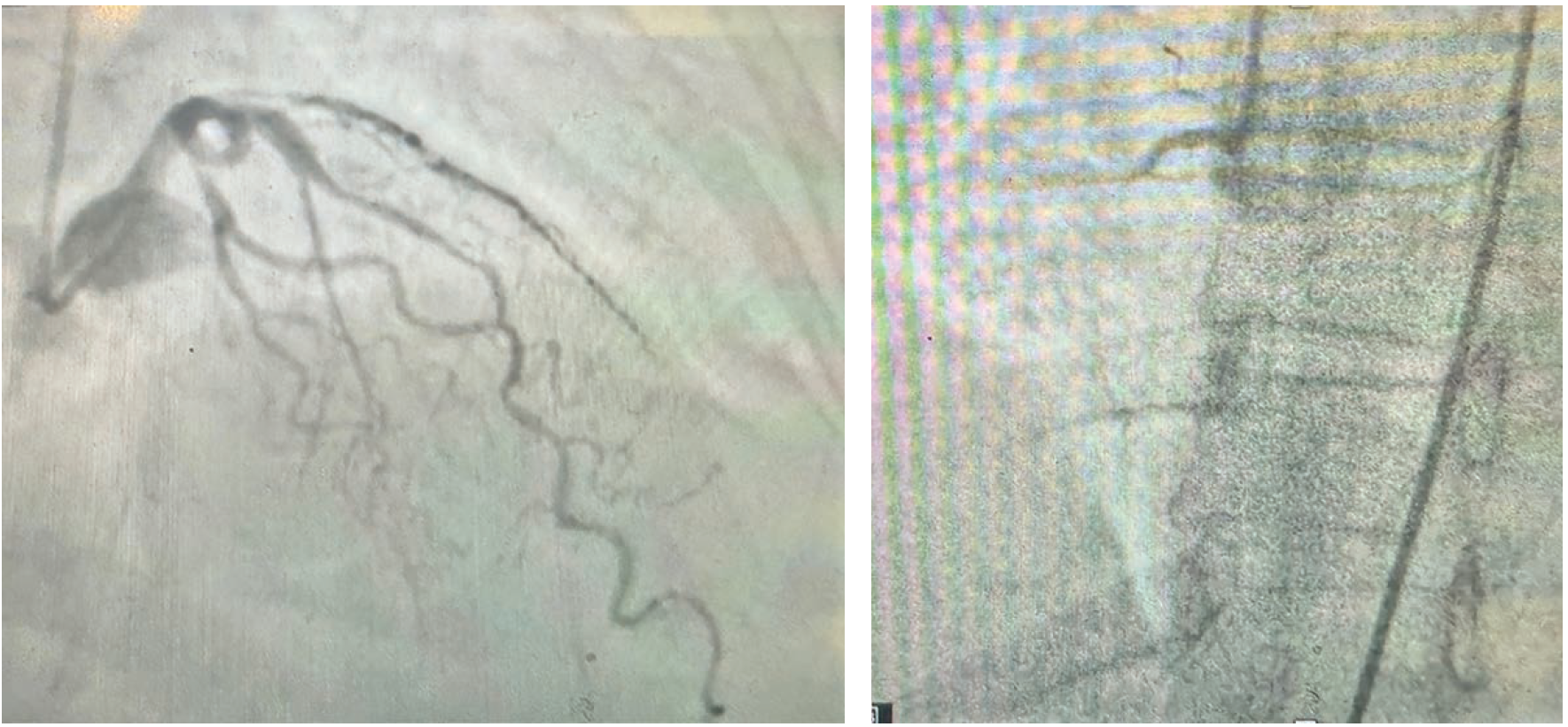
A 70-year-old female with no significant medical history presented with two hours of worsening left-sided chest discomfort and diaphoresis. An electrocardiogram (ECG) revealed acute inferior ST-elevation myocardial infarction (STEMI) (Figure 1). Coronary angiography showed a 60%-70% stenosis involving the proximal-mid left anterior descending (LAD) coronary artery with the appearance of spontaneous coronary artery dissection (SCAD) and a 100% occluded proximal right coronary artery (RCA) (Figure 2A-B).
After failing to cross the lesion with a workhorse wire, a Pilot 50 (Abbott) was successful. Percutaneous transluminal coronary angioplasty (PTCA) was unsuccessful in restoration of TIMI flow. Intravascular ultrasound (IVUS) showed a large intramural hematoma (IMH) in the distal RCA and severe stenosis with the presence of fibrofatty plaque through the proximal RCA (Video 1) (Figure 3). A Penumbra mechanical thrombectomy catheter was inserted and intracoronary (IC) injection revealed flow in the distal coronary bed. Mechanical thrombectomy was unsuccessful as well (Video 2), chosen in consideration of a thrombotic component contributing to this unusual STEMI. The Penumbra catheter was re-inserted, and IC 200 mcg of nicardipine was administered, which also failed. One mg of IC tPA was then injected, which restored flow (Video 3). Next, 2.75 mm x 38 mm and a 3.0 mm x 48 mm drug-eluting stents from the mid distal to the proximal RCA were successfully deployed (Video 4). Post percutaneous coronary intervention IVUS revealed well apposed and expanded stents (Video 5). The patient was discharged 2 days later on guideline-directed medical therapy. An outpatient workup for fibromuscular dysplasia was unremarkable.
Conclusion
Spontaneous or trauma-related coronary intramural hematoma, a subset of coronary artery dissection, is a rare, challenging, and under-recognized diagnosis constituting 1% to 4% of all MIs.1 IMH occurs with blood accumulation between the intima and media layers of the intra-arterial wall. SCAD, stress, connective tissue disorders, and iatrogenic events are the most common causes of IMH. In hemodynamically stable lesions and patients, medical management can be pursued. Otherwise, PTCA, especially using a cutting balloon to decompress the hematoma, and stent placement to prevent luminal collapse, is performed. In refractory cases, emergent coronary artery bypass graft surgery is to be considered.
Our patient had a spontaneous right coronary artery IMH causing inferior STEMI, identified on IVUS with IC tPA used to treat no-reflow phenomena and stent placement to prevent collapsing of the coronary lumen secondary to the IMH.
Reference
1. Saw J, Mancini GBJ, Humphries KH. Contemporary review on spontaneous coronary artery dissection. J Am Coll Cardiol. 2016 Jul 19; 68(3): 297-312. doi:10.1016/j.jacc.2016.05.034. Erratum in: J Am Coll Cardiol. 2016 Oct 4; 68(14): 1606. doi:10.1016/j.jacc.2016.08.002
Find More:
Peripheral Artery Disease Topic Center
Cardiovascular Ambulatory Surgery Centers (ASCs) Topic Center
The Latest Clinical & Industry News
Grand Rounds With Morton Kern, MD


