Left Main Coronary Artery Occlusion Following Transcatheter Aortic Valve Replacement
We report herein a case of hemodynamic collapse immediately after transfemoral transcatheter aortic valve replacement (TAVR) using a balloon-expanding valve, resulting from extrinsic compression of the left main coronary artery by the native calcified leaflets. Due to early identification and immediate stent implantation in the left main coronary artery, the patient was successfully treated and had an uneventful hospital stay until discharge. Potential risk factors include shallow sinus of Valsalva, low coronary ostia height, heavily calcified aortic cusp and valve leaflets, and the use of balloon-expandable valves. However, a correct diagnosis of this complication can lead to a successful percutaneous treatment, as presented in this case.
Case Presentation
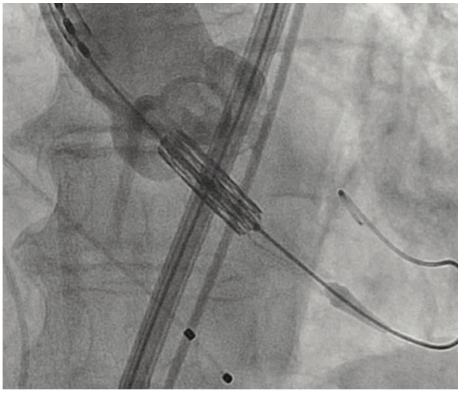
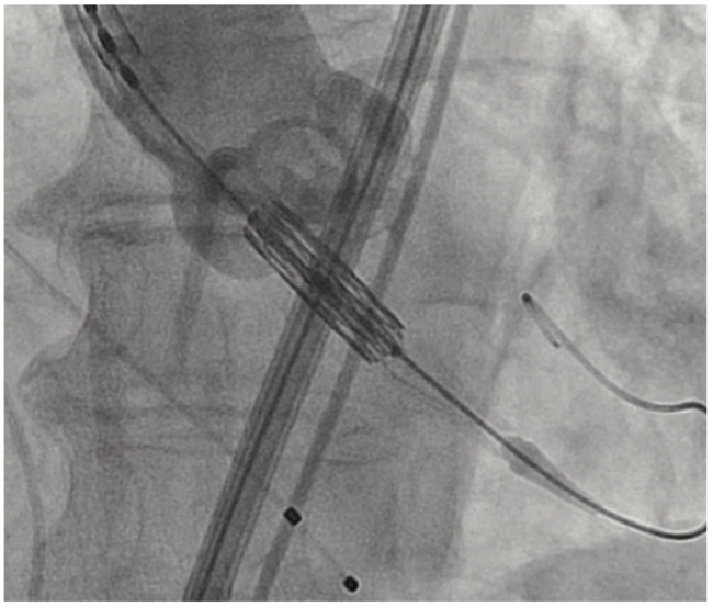
An 81-year-old female with symptomatic severe aortic stenosis, logistic EuroSCORE I (European System for Cardiac Operative Risk Evaluation) of 14.46%, EuroSCORE II of 3.44%, and Society of Thoracic Surgeons (STS) estimated surgical mortality of 3.371%, underwent TAVR. Transthoracic echocardiogram (TTE) showed a heavily calcified aortic valve with a mean gradient of 68 mmHg, aortic valve maximum velocity (Vmax) of 4.2 m/sec, calculated aortic valve area of 0.8 cm2, and normal left ventricular systolic function. Computed tomography angiography (CTA) demonstrated heavily calcified aortic root, leaflets, and annulus. Transfemoral implantation of a 23 mm Sapien 3 (Edwards Lifesciences) valve was performed (Figures 1-2). Using a 20 mm balloon for pre-dilation, the valve was implanted successfully in a 50-50 position (Figure 3). The immediate post-deployment aortogram showed leakage of dye outside the left sinus with no evidence of cardiac tamponade. Despite that fact, the patient developed immediate hemodynamic collapse. QRS widening and ST-elevation were visible on the monitor. Narrowing of the left main coronary artery (LMCA) with reduced TIMI flow (0-1) was evident in angiographic images (Figures 4-5). The patient had a cardiac arrest, cardiopulmonary resuscitation was initiated, and she went into cardiogenic shock. The patient stabilized with the placement of venoarterial extracorporeal membrane oxygenation (VA-ECMO) and the insertion of the Impella device (Abiomed) (Figure 6). An emergent percutaneous intervention was performed within minutes from collapse by the deployment of two drug-eluting stents from the LMCA into the left anterior descending (LAD) coronary artery (Figure 7) using the Culotte technique with final kissing-balloon dilatation. After the restoration of coronary flow, the patient was admitted to the cardiothoracic intensive care unit. She remained stable. The ECMO and Impella implant was removed after 7 days. Postprocedure on day 14, the patient was discharged to a rehabilitation facility. Echocardiography showed a well-functioning valve with acceptable residual gradient and mild to moderate paravalvular leak.
Discussion
Transcatheter aortic valve replacement (TAVR) has emerged as a treatment modality for patients that are inoperable with severe symptoms from aortic valve stenosis, and those who have a moderate or high risk of mortality from surgical aortic valve replacement.1 However, the TAVR procedure is associated with potentially life-threatening complications, such as acute coronary obstruction. Although the occurrence of acute coronary obstruction is reportedly less than 1%, it is associated with high mortality.2 The left coronary artery has been documented as the most commonly involved coronary artery (87%),3 because the bioprosthetic leaflet can come into contact with the coronary ostium or the aortic root surrounding it.4
There are established risk factors for left coronary artery occlusion. Ribeiro et al identified low coronary ostial height (<12 mm), and in a sinus of Valsalva, diameter below 30 mm.2 Both distance and a narrow root can increase the chance that the native valve leaflets are displaced over and obstruct the ostia when incorporating the aortic bioprosthesis.3 Additionally, other important risk factors include female gender and older age. In general, women are about 50% of patients treated with TAVR, and comprise the vast majority of patients experiencing coronary obstruction after TAVR (>80%).2 The association between female sex and coronary obstruction may be due to anatomic differences in aortic sinus of Valsalva (SOV) dimensions and coronary height according to sex.5 Less common predictors include dislodgment of calcified material, and leaflet avulsion and migration into the coronary ostium.6 Patients at high risk for coronary complications can undergo different measures, such as simultaneous angiography during balloon valvuloplasty or coronary protection with a guidewire.2 Despite these established risk factors and implemented protective measures, coronary occlusion during TAVR is not always predictable.7
LMCA occlusion is typically shown by the TEE, which demonstrates the disappearance of the diastolic coronary flow after implantation of the transcatheter heart valve.8 Angiography can confirm this complication and reveal the size of the territory at risk if occlusion occurs.4 Unfortunately, aortic root angiography is not often performed for coronary ostial evaluation.4 A common issue that arises is poor contrast enhancement. Fluoroscopic and cardiac CT assessment can assist in identifying high-risk cases.4
Conclusion
While left coronary artery occlusion is rare, mortality from left main artery occlusion complications remains high. Our case highlights the importance of anticipating and preventing such complications.
Disclosures: The authors report no conflicts of interest regarding the content herein.
The authors can be contacted via Monarch Shah, MD, at monarch.shah08@gmail.com
References
1. Lefèvre T, Kappetein AP, Wolner E, et al; PARTNER EU Investigator Group. One year follow-up of the multi-centre European PARTNER transcatheter heart valve study. Eur Heart J. 2011 Jan; 32(2): 148-157. doi: 10.1093/eurheartj/ehq427
2. Ribeiro HB, Webb JG, Makkar RR, et al. Predictive factors, management, and clinical outcomes of coronary obstruction following transcatheter aortic valve implantation: insights from a large multicenter registry. J Am Coll Cardiol. 2013 Oct 22; 62(17): 1552-1562. doi: 10.1016/j.jacc.2013.07.040
3. Spina R, Khalique O, George I, Nazif T. Acute left main stem coronary occlusion following transcatheter aortic valve replacement in a patient without recognized coronary obstruction risk factors: a case report. Eur Heart J Case Rep. 2018 Oct 23; 2(4):yty112. doi: 10.1093/ehjcr/yty112
4. Dvir D, Leipsic J, Blanke P, et al. Coronary obstruction in transcatheter aortic valve-in-valve implantation: preprocedural evaluation, device selection, protection, and treatment. Circ Cardiovasc Interv. 2015; 8(1): e002079. doi:10.1161/CIRCINTERVENTIONS.114.002079
5. Ribeiro HB, Nombela-Franco L, Urena M, et al. Coronary obstruction following transcatheter aortic valve implantation: a systematic review. JACC Cardiovasc Interv. 2013; 6: 452-461. doi: 10.1016/j.jcin.2012.11.014
6. Kim RJ, McGehee E, Mack MJ. Left main occlusion secondary to aortic root rupture following transcatheter aortic valve replacement managed by left main stenting. Catheter Cardiovasc Interv. 2014; 83: E146-E149. doi: 10.1002/ccd.25061
7. Okuyama K, Jilaihawi H, Makkar RR. Leaflet length and left main coronary artery occlusion following transcatheter aortic valve replacement. Catheter Cardiovasc Interv. 2013; 82(5): E754-E759. doi:10.1002/ccd.25059
8. Bartorelli AL, Andreini D, Sisillo E, et al. Left main coronary artery occlusion after percutaneous aortic valve implantation. Ann Thorac Surg. 2010; 89(3): 953-955. doi:10.1016/j.athoracsur.2009.08.024


