Inadvertent Transarterial Temporary Pacemaker Lead Placement: An Unusual Complication
Temporary pacemakers are utilized in emergency situations when severe bradyarrhythmias secondary to acute myocardial infarction (AMI) and to non-AMI related cardiac disorders occur. Malposition of pacemaker lead is a rare, underreported complication during pacemaker implantation. The incidence of inadvertent lead malposition has been estimated at 0.34% with abnormal thoracic anatomy, underlying congenital heart disease, prior surgery, and inexperienced operator reported as major risk factors.1
Case Report
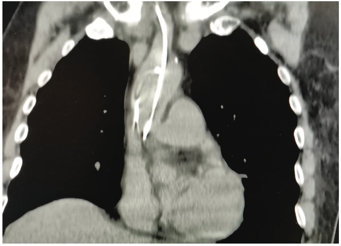
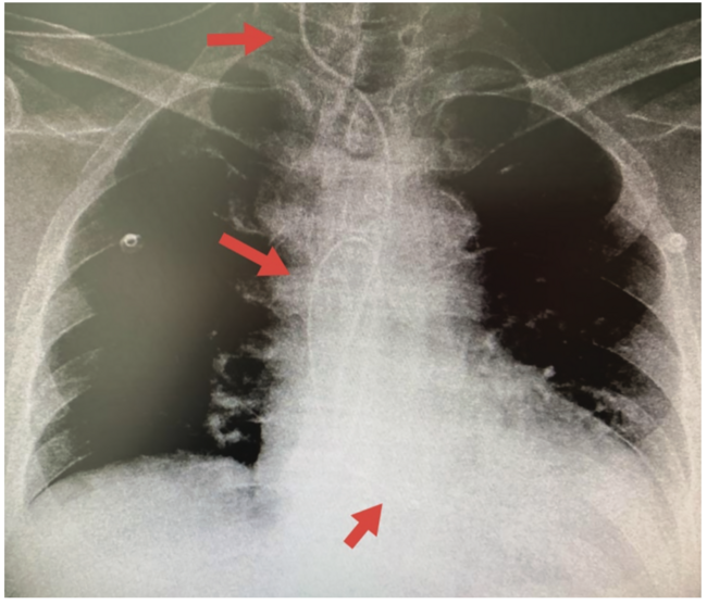
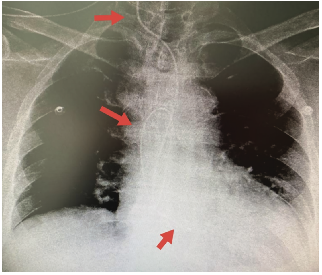
We report the case of a 77-year-old male who underwent temporary pacemaker lead implantation after a symptomatic 2:1 Mobitz type II second-degree block and left bundle branch block conduction (Figure 1). The temporary pacemaker was implanted apparently through the right jugular vein without fluoroscopic guidance, only by monitor guidance. After medical stabilization the patient was referred to our tertiary care center for further management. A cardiovascular system examination was unremarkable. Electrocardiogram showed a paced left bundle branch block pattern; however, with a high threshold stimulation level. The x-ray showed an abnormal lead path (Figure 2). A computed tomography angiography was performed that documented an intra-arterial lead with entry into the right common carotid artery and with the tip crossing the aortic valve and ending in the left ventricular outflow tract (Figure 3). Removal of the lead and relocation of the temporary pacemaker was requested by interventional cardiology. The fluoroscopy showed a temporary pacemaker lead with an arterial course with a loop in the ascending aorta and the tip crossing the aortic valve (Figure 4). A puncture of the right common femoral vein was performed, and a 6 French introducer sheath was placed. The temporary pacemaker lead was advanced to the right ventricle (Figure 5). The intra-arterial lead was removed and an angiogram was performed through the introducer sheath, confirming the arterial site (Figure 6). The introducer sheath was subsequently removed without complications.
Video 1 (corresponding to Figure 3). A computed tomography scan documented an intra-arterial lead with entry into the right common carotid artery, with the tip crossing the aortic valve and ending in the left ventricular outflow tract.
Video 2 (corresponding to Figure 6). Angiogram through the introducer sheath confirming the arterial site.
Discussion
In this case, the temporary pacemaker lead was unintentionally malpositioned through arterial access, suspected due to a high threshold stimulation level. An x-ray and computed tomography scan confirmed an abnormal lead path.
Early recognition required careful reading of the 12-lead surface electrocardiogram pacing morphology and other imaging modalities, including chest x-ray, computed tomography, and fluoroscopic images.
Complications of transarterial lead malposition include thromboembolic events, valvular and coronary ostial damage, aortic dissection, and vascular complications from arterial access.2,3 Rapid identification of lead position is critical during implantation and immediately after the procedure, with immediate correction necessary, if malpositioning is detected, to prevent these events.4
Conclusion
Inadvertent pacemaker lead malposition is a rare but potentially serious complication. In emergency situations and without fluoroscopic guidance, such complications do occur. The present case was intended to alert physicians about this rare complication and highlight the importance of prevention and early detection, especially under fluoroscopic guidance.
Disclosure: The authors report no conflicts of interest regarding the content herein.
The authors can be contacted via Juan Guzmán Olea, MD, at dr.jguzmanolea@gmail.com
References
1. Chen ZW, Huang PS, Lin PC, et al. Inadvertent malposition of temporary pacemaker lead in the left ventricle in a patient with acute myocardial infarction. Str Circ J. 2021 May 28;3,2,3:11-15. doi: 10.6907/SCJ.202104_3(2).0003
2. Bajaj RR, Fam N, Singh SM. Inadvertent transarterial pacemaker lead placement. Indian Heart J. 2015 Sep-Oct; 67(5): 452-454. doi: 10.1016/j.ihj.2015.05.018
3. Wilkoff BL, Love CJ, Byrd CL, et al; Heart Rhythm Society; American Heart Association. Transvenous lead extraction: Heart Rhythm Society expert consensus on facilities, training, indications, and patient management: this document was endorsed by the American Heart Association (AHA). Heart Rhythm. 2009 Jul;6(7):1085-104. doi: 10.1016/j.hrthm.2009.05.020
4. Trohman RG, Sharma PS. Detecting and managing device leads inadvertently placed in the left ventricle. Cleve Clin J Med. 2018 Jan; 85(1): 69-75. doi: 10.3949/ccjm.85a.17012


