Embolization of Prosthetic Valve Into the Ascending Aorta During Transcatheter Aortic Valve Replacement (TAVR)
Abstract
We report a case of a 77-year-old Caucasian male who underwent transcatheter aortic valve replacement (TAVR) with the rare complication of valve embolization into the ascending aorta. The patient underwent evaluation for TAVR after reporting symptomatic aortic stenosis. During the rapid ventricular pacing phase of the procedure, the replacement valve embolized into the ascending aorta and was carefully secured proximal to the origin of the right brachiocephalic artery. After the initial valve was dilated, a second valve was deployed in the aortic annulus, resulting in a successful procedure. The patient was discharged in stable condition.
Transcatheter aortic valve replacement (TAVR) is an expanding therapeutic approach for the management of aortic stenosis, the most common cardiac valvulopathy globally1 with a prevalence as high as 4.6% in people over 75 years old.2 Common complications of TAVR include but are not limited to annular rupture, paravalvular leak, valve embolization, conduction disturbances, and stroke.3,4 Embolization of the prosthetic valve during TAVR has been reported to occur in approximately 1% of cases.5,6 Several risk factors exist for prosthetic valve embolization during TAVR including large aortic annulus size, small sinotubular junction, minimal annular or leaflet calcium, bicuspid anatomy, among others.3 There have been several case reports of prosthetic valve embolization during TAVR being successfully managed percutaneously in hemodynamically stable patients,7-9 but embolization of the valve to the ventricle may be an indication for emergent intraoperative conversion to open sternotomy.3
Case Report
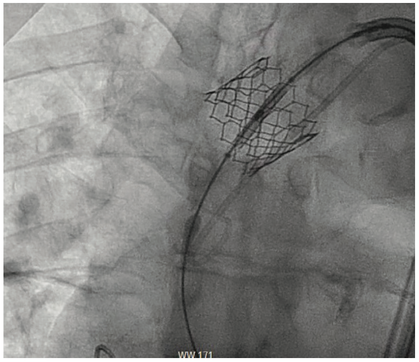
ascending aorta.
A 77-year-old Caucasian male with a past medical history significant for aortic stenosis, hypertension, hyperlipidemia, prior myocardial infarction, and coronary artery disease status post multiple coronary stents presented with exertional retrosternal chest pain and dyspnea on exertion. As part of his evaluation as a candidate for TAVR, the patient underwent cardiac catheterization, which showed in-stent restenosis, and the TAVR was planned. Preoperative measurements of the aortic valve were as follows: annulus area 458.7 mm2, annulus-derived diameter 24.2 mm, annulus perimeter 78.4 mm, Sinus of Valsalva diameter 36.0 mm, and sinotubular junction diameter 28.0mm. A Sapien S3 (Edwards Lifesciences) 26 mm valve size was selected.
During the TAVR procedure, a Sapien 3 26 mm valve was loaded over a Safari wire (Boston Scientific) and advanced into the aortic annulus under fluoroscopy, with good planar angle positioning confirmed using contrast injection. After valve placement, rapid ventricular pacing was performed and the valve was deployed. However, immediately following deployment, the valve embolized into the ascending aorta. The valve was carefully pulled distally and secured just proximal to the origin of the right brachiocephalic artery. It was dilated with an extra 4 mL volume with two inflations performed. To confirm the patency of the right subclavian artery and the right brachiocephalic artery, access was subsequently obtained in the right radial artery, and no difference in the arterial pressure was noted as the catheter was advanced from the right radial artery into the aortic root. A second Sapien 3 26 mm valve was then loaded over the Safari wire and was similarly advanced into the aortic annulus under fluoroscopy, with good coplanar angle positioning confirmation via contrast injection. After rapid ventricular pacing, the second valve was deployed without issue. A post procedure aortogram confirmed good valve positioning, the absence of significant paravalvular leak, and patency of the left coronary artery. A limited echocardiogram also confirmed good valve positioning, the absence of paravalvular leak, and the absence of pericardial effusion. The patient tolerated the procedure well and left the cardiac catheterization laboratory in a stable condition. After chest x-ray confirmed stable positioning of the embolized valve in the ascending aorta, the patient was discharged on postoperative day one with a scheduled follow-up visit in three weeks.
Discussion
Due to its minimally invasive nature, TAVR has grown increasingly popular in the management of aortic stenosis, which can be fatal if left untreated. In inoperable or extremely high-risk patients, the 2010 PARTNER (Placement of AoRtic TraNscathetER Valves) 1B trial (NCT00530894) demonstrated a superiority of TAVR to medical therapy alone for the management of aortic stenosis. The 2019 PARTNER 3 trial (NCT02675114) demonstrated a superiority of TAVR to SAVR (surgical aortic valve replacement) in low-risk surgical candidates.1 Despite these clear benefits of the TAVR procedure, intra and postoperative risks remain, including annular rupture, paravalvular leak, valve embolization, conduction disturbances, and stroke.3,4
Our case describes a successful TAVR procedure complicated by a prosthetic valve embolization into the ascending aorta, which was ultimately secured at the base of the right brachiocephalic artery. As described in the transcatheter heart valve embolization and migration (TRAVEL) registry, predisposing factors for prosthetic valve embolization have been identified and include malpositioning (50.2%), manipulation (20%), post-dilation (5.9%), sizing errors (5.1%), and fast-rate pacing (4.8%).5
Our case report highlights the importance of anticipating and preventing such complications.
Disclosures: The authors report no conflicts of interest regarding the content herein.
The authors can be contacted via Monarch Shah, MD, at monarch.shah08@gmail.com
References
1. Mas-Peiro S, Fichtlscherer S, Walther C, Vasa-Nicotera M. Current issues in transcatheter aortic valve replacement. J Thorac Dis. 2020 Apr; 12(4): 1665-1680. doi: 10.21037/jtd.2020.01.10
2. Rajput FA, Zeltser R. Aortic valve replacement. In: StatPearls. StatPearls Publishing, Treasure Island (FL); 2021. PMID: 30725821.
3. Bricker RS, Cleveland JC Jr, Messenger JC. Mechanical complications of transcatheter aortic valve replacement. Interv Cardiol Clin. 2021 Oct; 10(4): 465-480. doi: 10.1016/j.iccl.2021.06.007
4. Toggweiler S, Gurvitch R, Leipsic J, et al. Percutaneous aortic valve replacement: vascular outcomes with a fully percutaneous procedure. J Am Coll Cardiol. 2012 Jan 10; 59(2): 113-118. doi: 10.1016/j.jacc.2011.08.069
5. S Kim WK, Schäfer U, Tchetche D, et al. Incidence and outcome of peri-procedural transcatheter heart valve embolization and migration: the TRAVEL registry (TranscatheteR HeArt Valve EmboLization and Migration). Eur Heart J. 2019 Oct 7; 40(38): 3156-3165. doi: 10.1093/eurheartj/ehz429
6. Walther T, Hamm CW, Schuler G, et al; GARY Executive Board. Perioperative results and complications in 15,964 transcatheter aortic valve replacements: prospective data from the GARY registry. J Am Coll Cardiol. 2015 May 26; 65(20): 2173-2180. doi: 10.1016/j.jacc.2015.03.034
7. Chawla KK, Huang X, Hadro N, Islam AM. A novel technique to manage transcatheter aortic valve embolization. Catheter Cardiovasc Interv. 2021 Apr 1; 97(5): 955-958. doi: 10.1002/ccd.29279
8. Saltiel A, Rabinovich Y, Rubinstein C, et al. A novel endovascular treatment for transcatheter aortic valve embolization. J Vasc Surg Cases Innov Tech. 2021 Oct 25; 7(4): 755-758. doi: 10.1016/j.jvscit.2021.10.010.
9. Ueno G, Ohno N, Toma M, et al. Successful recovery from transcatheter aortic valve embolization by thoracic endovascular stent-graft repair. Gen Thorac Cardiovasc Surg. 2020 Aug; 68(8): 851-854. doi: 10.1007/s11748-019-01225-0


