Crossing Severely Stenotic and Tortuous Complex Lesions With Ease — Two New Devices Facilitate Successful Outcomes
© 2024 HMP Global. All Rights Reserved.
Any views and opinions expressed are those of the author(s) and/or participants and do not necessarily reflect the views, policy, or position of Cath Lab Digest or HMP Global, their employees, and affiliates.
Traditional coronary guidewires and balloon dilation catheters have struggled to meet the demands of the modern cath lab, where complex coronary artery disease such as severely calcified lesions deemed “balloon uncrossable” and high-risk bifurcation lesions is now the norm. To combat these challenges, Terumo Interventional Systems has introduced two new players to their interventional arsenal: the Runthrough NS Izanai Coronary Guidewire and Takeru PTCA Balloon Dilatation Catheter. Both devices are designed to improve pushability and trackability across severely stenotic and tortuous complex lesions. In addition, the Runthrough NS Izanai Coronary Guidewire has a nitinol core-tip design and soft, atraumatic, low-tip weight to improve durability and safety, making it an “all-in-one” workhorse wire. Available with a blue or white shaft, it is also the ideal wire for bifurcation lesions that require a two coronary guidewires approach. The Takeru PTCA Balloon Dilatation Catheter has a smaller crossing profile and tighter re-wrap than other leading balloons to support initial and re-crossing of complex lesions. Additionally, the Takeru PTCA Balloon Dilatation Catheter is available in semicompliant, noncompliant, and over-the-wire options across a wide spectrum of diameters to facilitate intervention on both simple and complex lesions. Our case illustrates the benefits of both these products in a complex left main coronary artery bifurcation lesion.
Clinical Case
An 87-year-old gentleman with a history of severe chronic obstructive pulmonary disease, atrial fibrillation (anticoagulated with apixaban), hypertension, and known obstructive coronary artery disease (CAD) presented to our hospital with exertional shortness of breath and decompensated heart failure with new left ventricular (LV) dysfunction (LV ejection fraction 41%). A coronary angiogram six months prior to his presentation demonstrated multivessel coronary artery disease with a heavily calcified 50% distal left main coronary artery (LMCA) stenosis extending into the ostial left anterior descending artery (LAD), calcified 95% ostial left circumflex artery (LCx) stenosis, and 40% mid right coronary artery (RCA) stenosis. At that time, he was deemed not to be a surgical candidate for coronary artery bypass surgery given his severe pulmonary disease and had been planned for medical management of his angina.
Given new LV dysfunction and exertional symptoms at this presentation, the decision was made to proceed with intravascular ultrasound (IVUS)-guided left main bifurcation stenting via a right radial approach, with backup Impella (Abiomed) support if needed. Our preference was to avoid femoral artery access due to acute worsening of his baseline chronic kidney disease (creatinine 1.9 mg/dL from a baseline 1.5 mg/dL) and baseline anemia (hemoglobin 9.5 g/dL).
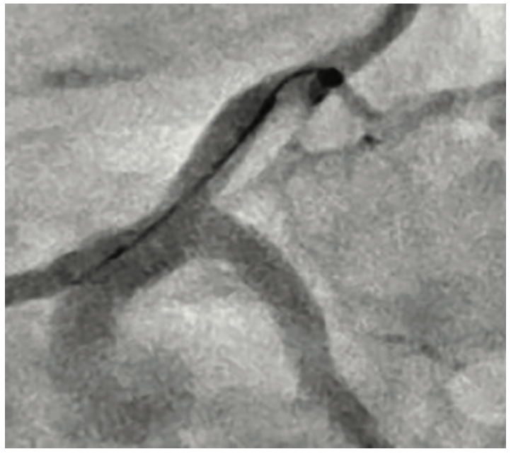
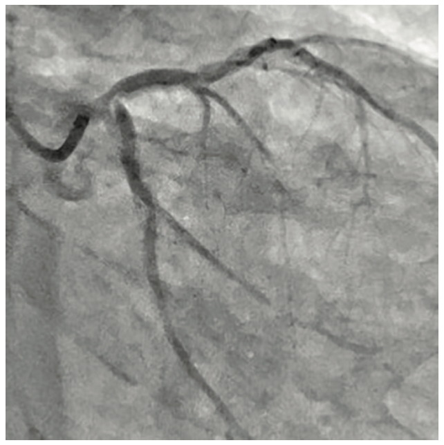
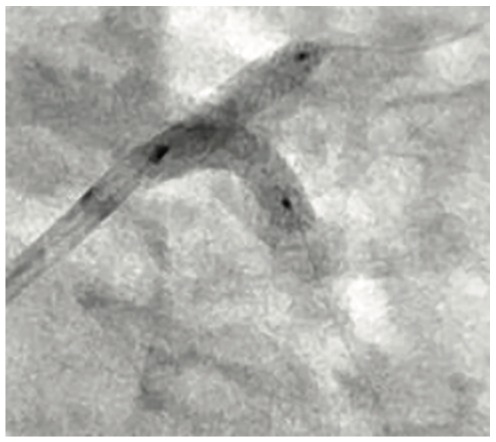
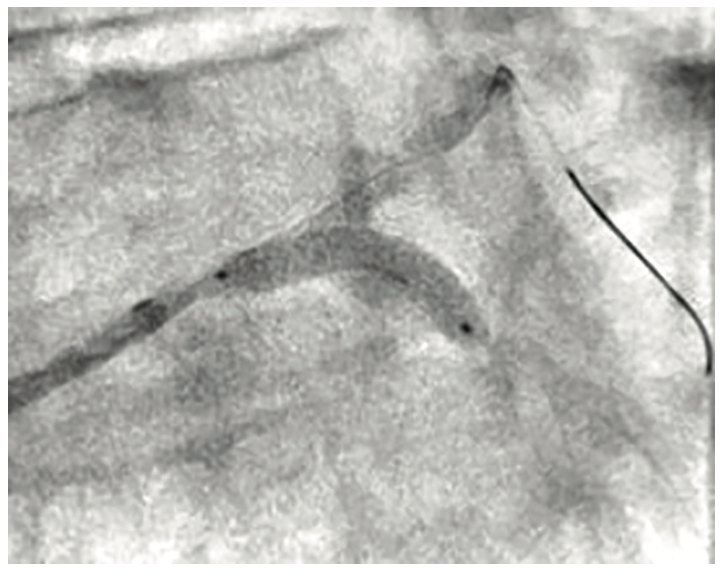
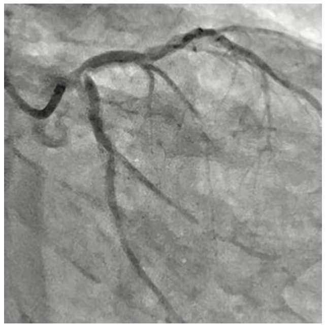
Right radial access was obtained with a radial 7 French (Fr), 10 cm length GLIDESHEATH SLENDER® Introducer Sheath (Terumo Interventional Systems) and the ostium of the LMCA was engaged with a 7 Fr Extra Backup (EBU) 3.5 guide catheter (Medtronic) to facilitate bifurcation stenting. The initial angiogram images revealed a worsening of the distal LMCA stenosis, now at 80% and extending into the ostial LAD (Figure 1). A Runthrough NS Izanai White guidewire was advanced across the lesion into the distal LAD and a Runthrough NS Izanai Blue was advanced across the lesion into the distal LCx with minimal difficulty. To facilitate intravascular ultrasound catheter delivery, the distal LMCA/ostial LCx was predilated with a semicompliant 2.0 mm x 15 mm Takeru PTCA Balloon Dilatation Catheter at nominal pressure (8 atmospheres). IVUS of the LCx was performed first, followed by IVUS of the LAD, and showed severe, concentric calcification of the distal LMCA and ostial LAD/LCx (Figure 2). For plaque modification and lesion optimization prior to stent deployment, a 3.5 mm x 12 mm C2+ intravascular lithotripsy balloon (IVL, Shockwave Medical) was advanced first into the LCx and subsequently into the LAD. The LMCA to proximal LCx and the ostial LAD were treated with 120 pulses with 12 inflations of the IVL balloon. Angiography revealed no evidence of dissection following IVL; however, there was some recoil in the ostial LCx, for which cutting balloon angioplasty was performed with a 3.5 mm x 15 mm Wolverine balloon (Boston Scientific) in the ostial LCx and extending back into the distal left main. Next, the decision was made to proceed with bifurcation stenting using a culotte strategy. A 3.5 mm x 20 mm Synergy Megatron drug-eluting stent (DES, Boston Scientific) was placed from the distal LMCA into the proximal LCx (Figure 3). Following post dilation of the DES with a 3.5 mm x 15 mm noncompliant balloon, a new Runthrough NS Izanai White was used to re-wire the LAD through a side strut of the LMCA-LCx DES. A semicompliant 3.0 mm x 12 mm Takeru PTCA Balloon Dilatation Catheter crossed into the LAD with minimal difficulty and was used to dilate the stent struts to facilitate delivery of the LMCA-LAD DES. A noncompliant 3.0 mm x 15 mm balloon inflation was performed to optimize the LAD lesion further. A 3.5 mm x 16 mm Synergy Megatron DES was then placed in the proximal LAD, overlapping with the prior stent in the LMCA (Figure 4). Following post dilation of the LMCA-LAD DES with a 3.5 mm x 15 mm noncompliant balloon, the proximal portion was optimized (proximal optimization technique [POT]) with a 4.0 mm x 8 mm noncompliant balloon. The LCx was then rewired with the Runthrough NS Izanai White through a side strut of the LMCA-LAD stent and the Runthrough NS Izanai Blue was placed in the LAD. Following serial dilations of the LMCA-LAD stent struts with Takeru PTCA Balloon Dilatation Catheters, kissing balloon inflation of both the LAD and LCx extending back into the LMCA was performed with a 3.5 mm x 15 mm noncompliant balloon in the LCx and a 3.0 mm x 15 mm noncompliant balloon in the LAD (Figure 5). Repeat IVUS of both stents back into the LMCA was performed, demonstrating adequately expanded and apposed stents with no evidence of edge dissection. Final POT was performed in the LMCA with a 4.5 mm x 8 mm noncompliant balloon. Final angiography revealed TIMI-III flow, no evidence of proximal or distal edge dissections, no perforation, and <5% residual stenosis (Figure 6). The total contrast volume was 55 mL with a case length of 1.5 hours. The patient was discharged three days later without complication.
descending coronary artery.
This case is sponsored by Terumo Interventional Systems.
PM-07623
Find More:
Go to Cath Lab Digest's current issue page
Peripheral Artery Disease Topic Center
Cardiovascular Ambulatory Surgery Centers (ASCs) Topic Center
Grand Rounds With Morton Kern, MD
The Latest Clinical & Industry News
Podcasts: Cath Lab Conversations


