Crossing in a Severe, Complex, Calcified PCI With the New FineCross M3 Micro-Guide Catheter After Crossing Failure of Multiple Wires
Earlier this year, Terumo Interventional Systems launched the FineCross M3 Micro-Guide Coronary Catheter, an upgrade of the original FineCross, to aid in crossing tight coronary lesions. We present a case in which the FineCross M3 Micro-Guide Coronary Catheter aided in crossing a severely calcified, tortuous left anterior descending (LAD) lesion to deliver a ViperWire (Cardiovascular Systems, Inc.) for orbital atherectomy, subsequent intravascular lithotripsy (IVL) (Shockwave Medical), and successful percutaneous coronary intervention (PCI).
The FineCross M3 is a 130 cm Micro-Guide Coronary Catheter (Terumo Interventional Systems) with a 75 cm hydrophilic coating and a 1.7 French (Fr) tip that will allow for the passage of a max guidewire outer diameter of .014 inch. The advantage of this micro-guide catheter is the hydrophilic coating, which significantly aids in crossing severely stenotic lesions with minimal resistance.
Clinical Case
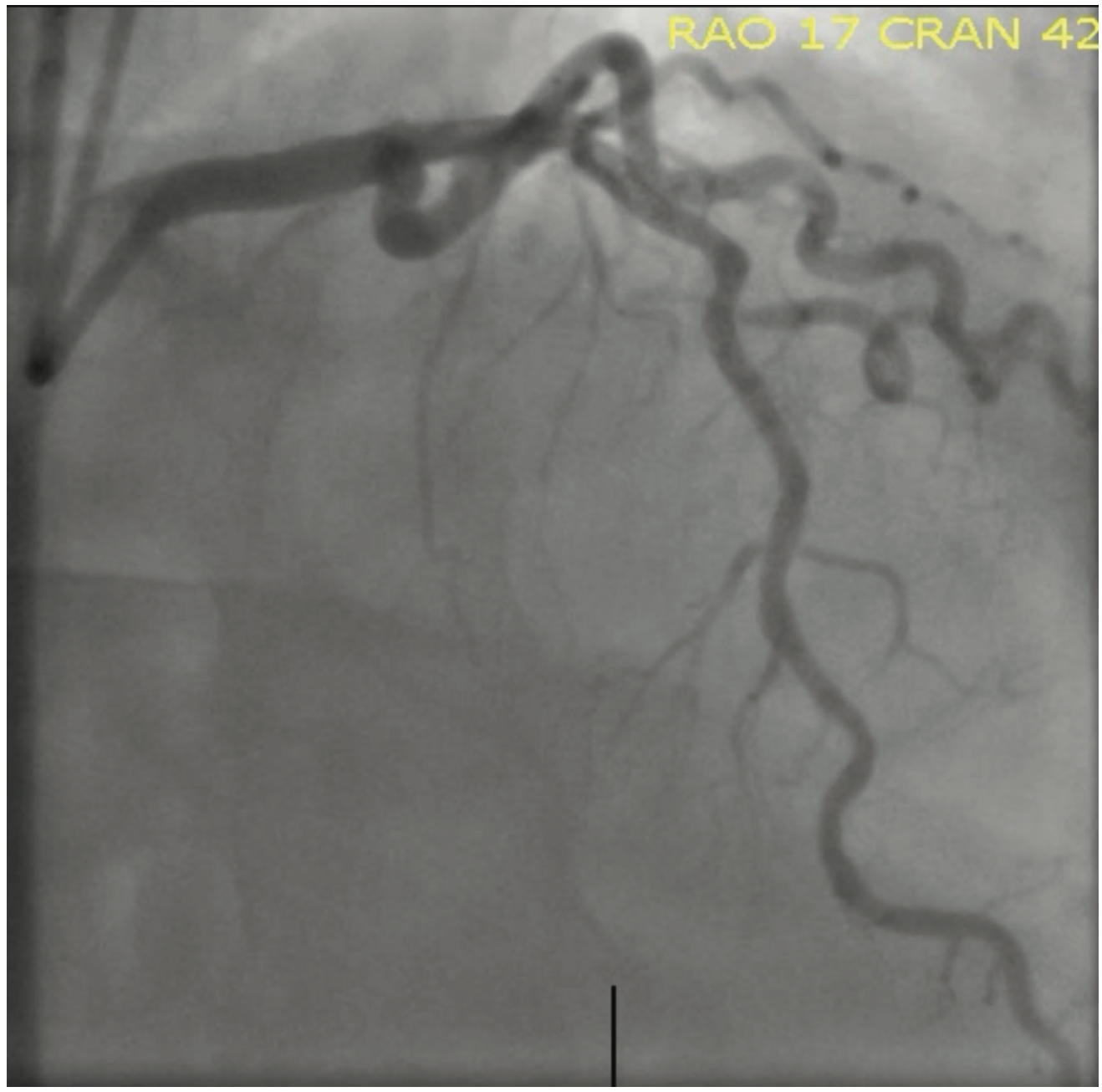
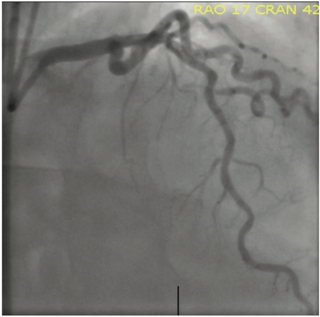
A 70-year-old gentleman initially presented for PCI after being referred for Canadian Cardiovascular Society (CCS) class 3 angina refractory to antianginal therapy (amlodipine and metoprolol succinate) after an abnormal coronary computed tomography angiography (CTA). The CTA showed a long area mid to distal LAD that was a severe stenosis with severely calcified complex plaque, with vulnerable plaque features demonstrating positive remodeling and calcium blooming, and a fractional flow reserve (FFR)CT value of <0.5 in the distal segment (Figures 1-2). His other comorbidities included hypertension and tobacco use. An initial attempt at revascularization failed after attempts to pass a 2.5 mm, 2.0 mm, and 1.5 mm Takeru PTCA Balloon Dilatation Catheter (Terumo Interventional Systems), and a Runthrough Coronary Guidewire (Terumo Interventional Systems) would not cross secondary to calcification and tortuosity (Figure 3). This index procedure was aborted and the patient was rescheduled for complex PCI. Three weeks later, he was admitted for a second attempt. A 7 Fr extra backup catheter (EBU) 3.5 guide with side holes (Medtronic) was used to engage the left main. This time, a Runthrough guidewire was advanced across the lesion into the distal LAD. Attempts at intravascular ultrasound (IVUS) (Philips) failed but did reveal a very narrow, concentrically calcified lesion in the proximal LAD. The decision to perform lesion modification was made. Next, a ViperWire was introduced; however, it would not cross the mid lesion. At this point, we chose to use the FineCross M3 Micro-Guide Coronary Catheter (Figure 4), which delivered easily and allowed us to introduce the ViperWire. Next, orbital atherectomy was performed for a total of 7 runs between 10-14 seconds from the proximal lesion through the mid lesion. The FineCross M3 Micro-Guide Coronary Catheter was then re-introduced over the ViperWire and this allowed for the exchange of a Tru-Torque guidewire (Teleflex). Next, a 3.0 mm x 12 mm IVL balloon was used to further fracture the concentric calcifications and optimize lesion prep to allow for maximal diameter stent placement (Figure 5). The proximal to mid LAD was treated with 80 bursts with 8 inflations of the IVL balloon. Angiography revealed no evidence of dissection and TIMI-III flow. Next, a 2.5 mm x 12 mm IVL balloon was used to treat the mid to distal LAD, after IVUS would not cross distal to the treated mid-portion LAD. A 6 Fr GuideLiner (Teleflex) was used to place a 2.5 mm x 24 mm Synergy stent (Boston Scientific) to the distal LAD, which was then followed in overlapping fashion with a 2.75 mm x 24 mm Synergy stent to the mid LAD (Figure 6). The proximal to mid LAD stents were further optimized with a 2.75 mm x 20 mm noncompliant (NC) balloon, inflated to 22 atmospheres for multiple inflations. Final angiography revealed no evidence of proximal or distal edge dissections, excellent stent apposition with minimal residual stenosis, and TIMI-III flow (Figure 7).
Conclusion
Courtesy of its low profile and long hydrophilic coating, the Terumo Interventional Systems FineCross M3 Micro-Guide Coronary Catheter offers excellent deliverability through heavily, calcified concentric plaques, as in our case, where traditional workhorse wires were unable to cross and be delivered distal to lesions. This case demonstrates an optimal scenario for use of the FineCross M3 Micro-Guide Coronary Catheter in severely calcified, complex coronary lesions.
Acknowledgements: With support from John Goad, MD, and Shawn Groves, MD.
This case is supported by Terumo Interventional Systems.
Keep Reading:
Re-Defining Balloon Uncrossable
Having the Right Equipment for Solving Complex Radial to Peripheral Procedures


