Complete Stent Shaft Disruption During Complex Coronary Total Occlusion Angioplasty
© 2023 HMP Global. All Rights Reserved.
Any views and opinions expressed are those of the author(s) and/or participants and do not necessarily reflect the views, policy, or position of Cath Lab Digest or HMP Global, their employees, and affiliates.
Coronary stent shaft fracture is an uncommon complication of interventional cardiology and may have devastating consequences if not readily resolved. We describe a troublesome case of total stent shaft fracture and a fairly novel approach to rectify the complication.
Case
A 57-year-old man was admitted to the hospital for unstable angina. He had undergone an electrocardiogram showing possible old inferior myocardial infarction and echo abnormalities concordant with inferior wall motion abnormalities. A Lexiscan Cardiolite scan showed reversible inferior ischemia. Cardiac catheterization did not show any hemodynamically significant left coronary artery disease. There was a right coronary artery (RCA) chronic total occlusion (CTO) (Figure 1). There were collaterals to the distal RCA via the left anterior descending and circumflex coronary arteries. Left ventriculography showed a left ventricular ejection fraction of 40% to 45% with inferior hypokinesia and inferobasilar hypokinesia. There was no mitral insufficiency.
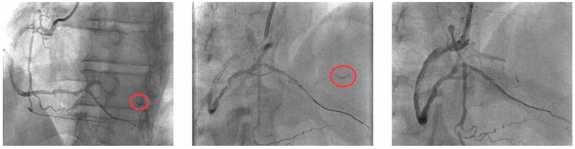
Owing to the patient’s anginal symptoms and ischemia inferiorly on the Cardiolite imaging, it was elected to open the RCA CTO. An Amplatz Left 1 6 French (Fr) guiding catheter was placed into the anterior takeoff RCA. A Turnpike Spiral microcatheter (Teleflex) with an .014-inch Minamo wire (Asahi Intecc) was initially chosen but could not traverse the stenosis, so the wire was replaced with an .014-inch Sion black wire (Asahi Intecc). This wire appeared to be extraluminal, and was removed and replaced with an .014-inch Mongo wire (Asahi) in the distal vessel, which appeared to track in the true lumen (Figure 2). A 6 Fr GuideLiner (Teleflex) was placed, but in trying to ascertain distal wire position with an injection into the GuideLiner, the vessel appeared to be dissected (Figure 3). We could see the main channel distally, and therefore took a new Minamo 300 wire and placed it into the true lumen. The Mongo wire was removed. However, the Minamo wire would not traverse into the distal vessel, so it was changed for an .014-inch Choice PT Floppy wire (Boston Scientific), which was successful in going distally. We placed a Sasuke dual lumen 145 microcatheter (Asahi Intecc), removed the Choice PT wire, and placed a Balance Middle Weight (BMW) Universal 300 wire (Abbott Vascular). A GuideLiner had been used for support and we attempted to place a Synergy 3.5 mm x 48 mm stent (Boston Scientific). However, the stent would not go forward. It was removed and found to be intact on inspection. The stent was replaced with a 3.0 mm x 30 mm Monorail Emerge balloon (Boston Scientific) for further dilatation of the RCA to 6 atmospheres (atm) for overlapping 15-second inflations. A third inflation of 12 atm for 35 seconds was performed and the balloon was removed. A 3.0 mm x 38 mm Synergy drug-eluting stent (Boston Scientific) was not able to be placed adequately distally, and was removed, inspected, and found to be intact. It appeared that the GuideLiner might be preventing some forward motion of the stent and it too was removed. There was, on angiography, a flow abnormality consistent with a small branch wire perfusion abnormality. There was no clear-cut staining. An echo showed no evidence of pericardial fluid and no tamponade physiology. It was felt that this should be addressed and so a 1.5 mm x 12 mm Takeru balloon (Terumo) was inflated to 6 atm for 20 seconds, though this did not resolve the flow abnormality. Ultimately, a 2.5 mm x 15 mm PK Papyrus covered stent (Biotronik) was delivered to the site of flow abnormality and deployed to 6 atm for 60 seconds. Angiography after balloon deflation showed no further flow into the branch (Figure 4).
We then attempted to re-place the aforementioned 3.0 mm x 38 mm Synergy XD drug-eluting stent into the vessel; however, as the deployment attempt began, we could see that the balloon was not filling and the stent would not deploy. We attempted to remove the device from the coronary artery and out of the guiding catheter, but the stent shaft was entirely disrupted. In attempting to remove it, the distal stent and balloon and distal aspect of the shaft remained in the coronary in the ascending aorta, while the proximal aspect of the shaft was entirely free and so unexpectedly came out altogether (Figure 5). We attempted to snare the undeployed stent that was still on the wire with a Goose Neck snare (Medtronic), but were not able to get it past the undeployed stent, which was well seated on the stent deployment balloon. We placed a new .014-inch BMW wire distally past the stent, hoping to wrap it around the wire that was in the vessel distal to the stent and create a distal braid with both wires to pull the system out. However, we were not successful in gaining an adequate distal purchase. A Trapper balloon (Boston Scientific) was inflated in the distal aspect of the guide, trapping the distal stent shaft. Now trapped as a unit with the guide catheter, the distal stent shaft with the undeployed stent on the wire was removed without difficulty from the 6 Fr Slender sheath (Terumo) (Figure 6).
A new Amplatz Left 1 6 Fr guiding catheter was used to place a BMW .014-inch Universal wire (Abbott Vascular) into the mid-distal RCA. A 3.0 mm x 38 mm Onyx Resolute stent (Medtronic) was placed and dilated to 12 atm for 30 seconds. Overlapping proximally, a second 3.5 mm x 38 mm Onyx Resolute stent was dilated to 14 atm for 30 seconds. Using the stent deployment balloon, the overlap zone was dilated to 12 atm for 10 seconds. A Choice PT Floppy wire was placed into the marginal side branch to make sure the branch was safeguarded, and a third 3.5 mm x 38 mm Resolute Onyx stent was placed proximally, dilated to 14 atm for 30 seconds. We then dilated the overlap zone and obtained final angiographic images, which demonstrated a good result (Figure 7).
extravasation.
Discussion
Stent shaft fracture and disruption is a rare occurrence during stent deployment. Various strategies have been utilized to remove the retained segment, including grasping the distal-most segment with a Goose Neck snare,1 attempting to place a wire or wires distally to make a braid to pull back the segment into the guiding catheter, or trapping the distal shaft within the guide with a trapping balloon.2,3 In our case, the last strategy proved effective and allowed for safe resolution of the procedure.
Conclusion
Our patient presented with a chronic total occlusion of the right coronary artery that was associated with anginal symptoms and a corresponding Cardiolite abnormality suggesting concordant ischemia. The interventional procedure was complicated by complete disruption of the stent shaft, which posed a challenge in removal. Following the placement of three drug-eluting stents and a PK Papyrus covered stent in the posterior descending artery, there was a satisfactory angiographic result.
Ultimately, we were able to salvage a satisfactory outcome in this complicated case. The patient had no adverse events and went home the following day. He remains angina-free in follow-up.
Disclosures: The authors report no conflicts of interest regarding the content herein.
The authors can be contacted via Scott B. Baron, MD, at scott4hart@aol.com.
References
1. Tummala K, Arikeri SK. Entrapped inflated coronary balloon with a disrupted shaft. IHJ Cardiovascular Case Reports (CVCR). 2021 September-December; 5(3): 156-159.
2. Karacsonyi J, Sasi V, Ungi I, Brilakis ES. Management of a balloon shaft fracture during subintimal retrograde chronic total occlusion percutaneous coronary intervention due to in-stent restenosis. J Invasive Cardiol. 2018 Aug; 30(8): E64-E66.
3. Chen WT. Case presentation: Stent shaft fracture during PCI and retrieval with trapping balloon method. Presented at Transcatheter Cardiovascular Therapeutics 2019; San Francisco, California. https://www.tctmd.com/slide/case-1-case-stent-shaft-fracture-during-pci-and-retrieval-trapping-balloon-method


