Benefits of “Dual Prep” With Rotational Atherectomy and Subsequent Use of Intravascular Lithotripsy (IVL)
© 2025 HMP Global. All Rights Reserved.
Any views and opinions expressed are those of the author(s) and/or participants and do not necessarily reflect the views, policy, or position of Cath Lab Digest or HMP Global, their employees, and affiliates.
Stephan H. Heo, MD, FACC, FSCAI
Cardiovascular Specialists of New England, Londonderry, New Hampshire
With an aging population, the need to modify severely calcified coronary lesions prior to stent deployment is as common and difficult as ever. In this case, we highlight the treatment strategy of a tight lesion in a large vessel that was resistant to balloon dilatation. Utilizing the Society for Cardiovascular Angiography and Interventions (SCAI) treatment algorithm,1 this case highlights how intravascular lithotripsy (IVL) after initial use of atherectomy allows operators to safely and effectively achieve desired calcium modification to promote stent expansion and prevent poor clinical outcomes in these types of situations. This case also highlights how the use of intravascular imaging, such as optical coherence tomography (OCT), can help inform the need for additional calcium modification post atherectomy to further improve vessel compliance and pliability to obtain the optimal stent results.
Case Report
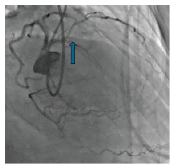
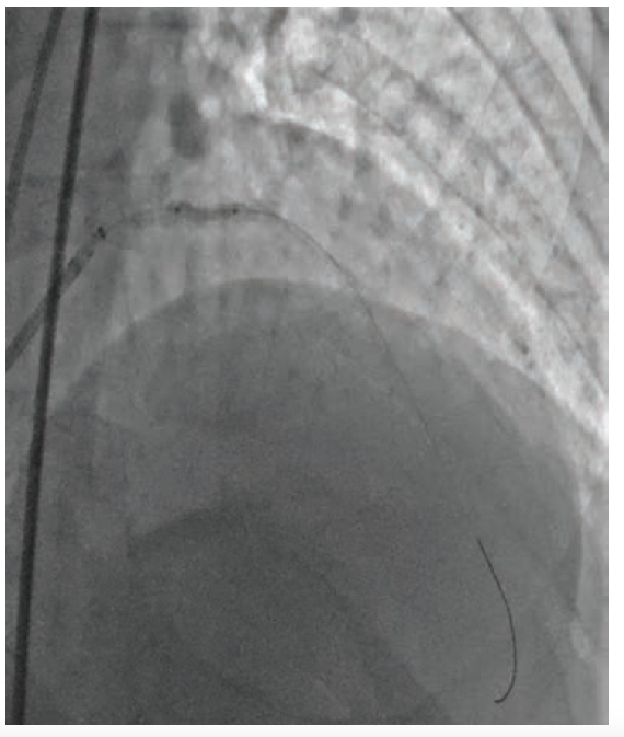
The patient is a 77-year-old male with a history of hypertension and hyperlipidemia who presented to our group at Cardiovascular Specialists of New England (CSNE) after a cardiac catheterization showed a chronic total occlusion of the proximal left anterior descending (LAD) coronary artery (Figure 1). A cardiac stress PET showed a large reversible defect in the anterior and anterolateral walls of the left ventricle. He continued to have exertional angina despite maximum medical therapy. We performed a repeat angiogram with dual injections from the right coronary artery and left main. After successful traversal of the chronic total occlusion of the LAD using a Turnpike Spiral microcatheter (Teleflex) and .014-inch Mongo wire (Asahi Intecc), 2.5 mm and 3.0 mm noncompliant balloons were unable to expand the lesion (Figure 2).
Rotational atherectomy was performed using a 2.0 mm burr. Subsequent angiography showed an excellent result post atherectomy (Figure 3A). However, OCT intravascular imaging showed persistent presence of circumferential calcium greater than 270 degrees and 0.5 mm in depth, with a minimal lumen area (MLA) of 7.06 mm2 (Figure 3B).
A 4.0 mm IVL was performed without difficulties. Repeat OCT showed significant expansion and both multiplane and longitudinal fractures (Figure 4A-B). A 4.5 mm Onyx stent (Medtronic) was placed and the final angiographic result showed a significant increase in MLA (Figure 5).
Discussion
This case showcases the need for an adjunctive calcium modification strategy post atherectomy due to the mechanistic limitations of atherectomy within large vessels. Intravascular imaging was critical to help understand the presence, morphology, and treatment strategy of the unmodified calcium present within the vessel. The concentric, deep calcium remaining in the vessel was effectively modified by Shockwave coronary IVL without any procedural complications. The procedural flow and outcome of this case matches the results and conclusions of the Dual-Prep registry — a first-of-its-kind, rigorous, 100% imaging-guided prospective study on the safety and efficacy of IVL post atherectomy within 120 severely calcified coronary lesions.2 As in this case, Dual-Prep investigators chose IVL post atherectomy based on the unlikelihood of efficacy of additional atherectomy within large vessels and were able to achieve desired calcium modification without any notable increase in procedural complications. This real-world case also supports the Dual-Prep conclusion that it may be possible to facilitate better stent expansion and eccentricity with a rotational atherectomy and IVL combination strategy versus a standalone atherectomy or alternative combination strategy.
This article is sponsored by Shockwave Medical.
Dr. Heo is a paid consultant of Shockwave Medical. Views expressed are those of the authors and not necessarily those of Shockwave Medical.
In the U.S.: Rx Only. Prior to use, please reference the Instructions for Use for the information on indications, contraindications, warnings, precautions, and adverse events. www.shockwavemedical.com/IFU
© 2025 Shockwave Medical Inc. All rights reserved. SPL-74945 Rev. A.
References
1. Riley RF, Patel MP, Abbott JD, et al. SCAI Expert Consensus Statement on the Management of Calcified Coronary Lesions. J Soc Cardiovasc Angiogr Interv. 2024 Jan 31; 3(2): 101259. doi:10.1016/j.jscai.2023.101259
2. Nakamura M, Nehiro K, Yutaka T, et al. TCT-382 Dual-Prep Registry: Atherectomy Devices and Intravascular Lithotripsy for the Preparation of Heavy Calcified Coronary Lesion Registry. J Am Coll Cardiol. 2024: 84(18_Supplement): B104. https://www.jacc.org/doi/10.1016/j.jacc.2024.09.436
Find More:
Cardiovascular Ambulatory Surgery Centers (ASCs) Topic Center
The Latest Clinical & Industry News
Grand Rounds With Morton Kern, MD
Peripheral Artery Disease Topic Center


