ALCAPA Case Review in Images: An Interesting Etiology of Adult Cardiac Arrest With Eight-Year Follow-Up Post Surgical Correction
Anomalous origin of the left coronary artery from the pulmonary artery (ALCAPA) is a rare congenital coronary artery anomaly affecting 1 per 300,000 newborns.1 In patients with ALCAPA, the natural lowering of pulmonary artery (PA) pressures in the neonatal period causes a left-to-right shunt with blood from the left coronary artery reversing into the pulmonary artery and subsequent myocardial ischemia.2,3 It is very uncommon for ALCAPA to be diagnosed in adulthood, as over 90% of untreated newborns die within the first year of life. Survival without surgical correction is dependent on collateral circulation between the coronary arteries.
We present a case of a young adult female who was found to have ALCAPA after presenting with cardiac arrest.4,5
Case Report
A 37-year-old African American female with no known cardiac history presented to our emergency department after suddenly losing consciousness while folding laundry. Upon arrival of EMS, she was found to be in ventricular fibrillation requiring two shocks from an automated external defibrillator prior to return of spontaneous circulation. She was intubated and placed on hypothermia protocol. Her chest x-ray showed cardiomegaly. Her electrocardiogram (EKG) initially showed a non-specific intraventricular conduction delay which improved on subsequent EKGs. Her transthoracic echocardiogram (TTE) showed a left ventricular ejection fraction of 25%-30% with anteroseptal hypokinesis. She was weaned off the ventilator, was successfully extubated, and made a full neurologic recovery.
She underwent coronary angiography to assess for cardiac ischemia. Coronary angiography showed an anomalous left main coronary artery originating from the pulmonary artery, and supplying the left circumflex artery and left anterior descending artery. Angiography also demonstrated a very dilated right coronary artery supplying collaterals to the entire left coronary system and showing the left coronary artery emptying into the pulmonary artery (Figures 1-2, Video).
Video (below). Cine showing the right coronary artery with right-left collaterals filling the left coronary artery and pulmonary artery.
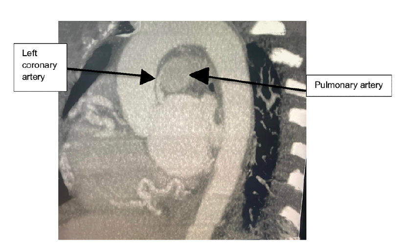
Subsequently, the patient underwent coronary CTA (CCTA) that confirmed the diagnosis (Figure 3) and showed the anomalous left coronary artery originating from the right margin of the main pulmonary artery just proximal to the main pulmonary artery bifurcation (Figure 4).
Consequently, she underwent cardiothoracic surgery, during which the left main coronary artery was ligated at the level of the pulmonary artery, and a left internal mammary artery (LIMA) was used to bypass the left anterior descending artery and a reverse saphenous vein graft was used to bypass the obtuse marginal artery. A patch reconstruction was performed on the pulmonary artery (Figures 5-6).
The patient recovered well from surgery with no complications. Transthoracic echocardiogram showed recovery of her left ventricular ejection fraction to within normal limits. Serial CCTA scans showed a widely patent LIMA graft to the left anterior descending artery seven years post surgery.
Discussion
ALCAPA is a rare congenital condition that causes death in most infants if left untreated and presents very rarely in adulthood. Embryologically, the disorder arises from abnormal septation of the aorta and pulmonary artery or from persistence of aortic buds that form the coronary arteries.6,7
The pathophysiology of ALCAPA results from a relative coronary-steal phenomenon that ensues after birth. During the neonatal period, both pulmonary artery and systemic arterial pressures as well as oxygen saturations are equivalent. After birth, the natural physiologic closure of the ductus arteriosus lowers the pressure in the pulmonary arterial circulation. This causes a decreased rate of flow in the left coronary artery and a redirection of blood flow in the left coronary artery toward the pulmonary artery,8-11 resulting in perfusion of the left ventricle with deoxygenated blood. Survival is dependent on collateral circulation between the right and left coronary artery. The extent of collateral circulation also determines the extent and distribution of myocardial ischemia.12.13
Establishment of a dual coronary system is the treatment of choice in adults with ALCAPA. The recommended procedure in adults with ALCAPA is ligating the left coronary artery at its origin from the pulmonary artery and placing a venous or arterial bypass graft from the aorta to the proximal left anterior descending artery.13-15
Our case illustrates one of the very few adults diagnosed with ALCAPA and long-term survival post surgical repair. In our case of an adult with ALCAPA, a dual coronary perfusion system surgical repair was performed by ligating the large end of the left main coronary artery at the pulmonary artery in combination with an internal mammary artery bypass to the left anterior descending artery, and reverse saphenous vein graft bypass to the obtuse marginal artery.
Complications of this procedure include stenosis of saphenous vein and arterial grafts, as well as a high percentage of redo procedures, more commonly in vein grafts. In our case, the procedure was successful with no complications. Coronary CTA seven years post surgery showed patent anastomosis without significant narrowing, indicating excellent long-term results of the LIMA graft and ligation ALCAPA repair in an adult. The saphenous vein graft to obtuse marginal graft remained patent as well.
Conclusion
Our case illustrates a successfully repaired ALCAPA and long-term survival in an adult. The dual coronary system LIMA graft with ligation surgery enables restoration of left ventricular function, reducing the risk for malignant dysrhythmia and sudden cardiac death. More data need to be collected on LIMA graft patency and long-term survival in ALCAPA repair in adults to illustrate benefit from use of a LIMA graft versus a saphenous vein graft.
The authors can be contacted via Som A. Bailey, DO, at sombailey1@gmail.com
Disclosures: The authors report no conflicts of interest regarding the content herein.
References
1. Boutsikou M, Shore D, Li W, et al. Anomalous left coronary artery from the pulmonary artery (ALCAPA) diagnosed in adulthood: Varied clinical presentation, therapeutic approach and outcome. Int J Cardiol. 2018 Jun 15; 261: 49-53. doi: 10.1016/j.ijcard.2018.02.082.
2. Cowles RA, Berdon WE. Bland-White-Garland syndrome of anomalous left coronary artery arising from the pulmonary artery (ALCAPA): a historical review. Pediatr Radiol. 2007 Sep; 37(9): 890-895. doi: 10.1007/s00247-007-0544-8
3. Kim SY, Seo JB, Do KH, et al. Coronary artery anomalies: classification and ECG-gated multi-detector row CT findings with angiographic correlation. Radiographics. 2006 Mar-Apr; 26(2): 317-33; discussion 333-334. doi: 10.1148/rg.262055068
4. Kottayil BP, Jayakumar K, Dharan BS, et al. Anomalous origin of left coronary artery from pulmonary artery in older children and adults: direct aortic implantation. Ann Thorac Surg. 2011 Feb; 91(2): 549-553. doi: 10.1016/j.athoracsur.2010.08.032.
5. Peña E, Nguyen ET, Merchant N, Dennie C. ALCAPA syndrome: not just a pediatric disease. Radiographics. 2009 Mar-Apr; 29(2): 553-565. doi: 10.1148/rg.292085059
6. Yau JM, Singh R, Halpern EJ, Fischman D. Anomalous origin of the left coronary artery from the pulmonary artery in adults: a comprehensive review of 151 adult cases and a new diagnosis in a 53-year-old woman. Clin Cardiol. 2011 Apr.; 34(4): 204-210. doi: 10.1002/clc.20848.
7. Johnsrude CL, Perry JC, Cecchin F, et al. Differentiating anomalous left main coronary artery originating from the pulmonary artery in infants from myocarditis and dilated cardiomyopathy by electrocardiogram. Am J Cardiol. 1995 Jan 1; 75(1): 71-74. doi: 10.1016/s0002-9149(99)80531-1
8. Wollenek G, Domanig E, Salzer-Muhar U, et al. Anomalous origin of the left coronary artery: a review of surgical management in 13 patients. J Cardiovasc Surg (Torino). 1993 Oct; 34(5): 399-405.
9. Takimura CK, Nakamoto A, Hotta VT, et al. Anomalous origin of the left coronary artery from the pulmonary artery: report of an adult case. Arq Bras Cardiol. 2002 Mar;78(3): 309-314. English, Portuguese. doi: 10.1590/s0066-782x2002000300006
10. Barbetakis N, Efstathiou A, Efstathiou N, et al. A long-term survivor of Bland-White-Garland syndrome with systemic collateral supply: a case report and review of the literature. BMC Surg. 2005 Dec 15; 5: 23. doi: 10.1186/1471-2482-5-23
11. Shriki JE, Shinbane JS, Rashid MA, et al. Identifying, characterizing, and classifying congenital anomalies of the coronary arteries. Radiographics. 2012 Mar-Apr; 32(2): 453-468. doi: 10.1148/rg.322115097
12. Uruski P, Lipski D, Trojnarska O, et al. ALCAPA syndrome in a 56-year-old woman with dyspnoea on exertion. Kardiol Pol. 2014; 72(11): 1165.
13. Agarwal Agarwal PP, Dennie C, Pena E, et al. Anomalous coronary arteries that need intervention: review of pre- and postoperative imaging appearances. Radiographics. 2017 May-Jun; 37(3): 740-757. doi: 10.1148/rg.2017160124
14. Kothari J, Lakhia K, Solanki P, et al. Anomalous origin of the left coronary artery from the pulmonary artery in adulthood: challenges and outcomes. Korean J Thorac Cardiovasc Surg. 2016 Oct; 49(5): 383-386. doi: 10.5090/kjtcs.2016.49.5.383
15. Vilá Mollinedo LG, Jaime Uribe A, Aceves Chimal JL, et al. Case report: ALCAPA syndrome: successful repair with an anatomical and physiological alternative surgical technique. F1000Res. 2016 Jul 13; 5: 1680. doi: 10.12688/f1000research.8823.2


