Advanced Radial Access Techniques for Complex Coronary Interventions in Challenging Anatomies
© 2024 HMP Global. All Rights Reserved.
Any views and opinions expressed are those of the author(s) and/or participants and do not necessarily reflect the views, policy, or position of Cath Lab Digest or HMP Global, their employees, and affiliates.
Ahmed Hassaan Qavi, MD1,2; Prasanna M. Sengodan, MD2
1Interventional Cardiology Fellow; 2ECU Health Heart & Vascular, East Carolina University Health Medical Center, Greenville, North Carolina
The American College of Cardiology/American Heart Association guidelines recommend radial artery access as a Class I indication for most percutaneous coronary interventions (PCIs).1 The Society for Cardiovascular Angiography and Interventions also endorses the radial approach as the standard of care for coronary angiography and intervention when feasible.2 Radial access is critically important in PCI, as it significantly reduces bleeding complications and vascular site complications compared to femoral access.
This approach also decreases the risk of major adverse cardiovascular events and improves procedural efficiency, making it a cost-effective option that optimizes healthcare resources and improves overall patient outcomes.3,4 As cardiac catheterization via right radial artery approach becomes increasingly prevalent, we occasionally encounter unfavorable anatomy of not only the coronary arteries, but also the right subclavian artery, which can complicate both diagnostic and interventional procedures. While switching to femoral artery access may seem like a logical alternative, these challenges can be effectively managed with the Radial to Peripheral (R2P) Destination Slender® Guiding Sheath (Terumo Interventional Systems). Its fully hydrophilic coating ensures a smooth transition within the radial artery, and its Slender Technology™ is designed to allow for optimal management of the radial access site during coronary procedures. The R2P Destination Slender® Guiding Sheath’s extended length provides the necessary support within complex subclavian artery anatomies, enabling successful PCI while retaining the benefits of radial access, such as quicker ambulation, enhanced patient comfort and satisfaction, and reduced overall procedural costs.5 Additionally, Terumo Interventional Systems has introduced the FineCross M3 coronary micro-guide catheter, which is very helpful in complex coronary anatomy and chronic total occlusions.* Its tapered stainless steel braid design enhances pushability for accessing and crossing intricate lesions, while the unique, ultra-flexible distal 15 cm ensures optimal trackability around tight bends and tortuous anatomy. The FineCross M3 coronary micro-guide catheter’s stainless-steel shaft tapers from a proximal 2.5 French (Fr) to a distal 1.7 Fr, improving crossability and guidewire handling. The Runthrough® coronary guidewire (Terumo Interventional Systems) remains the frontline workhorse wire preferred by many interventional cardiologists due to its nitinol core-to-tip design, and balanced hydrophilic and hydrophobic coating. An all-in-one workhorse wire, the Runthrough® offers a soft, atraumatic, low tip weight, making it suitable for accessing both simple and complex lesions. Lastly, the TR Band™ Radial Compression Device (Terumo Interventional Systems) continues to be the preferred choice for radial hemostasis and is the only device clinically proven to achieve reliable hemostasis with less than 1% radial artery occlusion.
Our case exemplifies the benefits of these new and innovative products, and how they helped us to successfully complete percutaneous intervention in a retroflexed left circumflex artery lesion with a challenging subclavian anatomy.
Clinical Case
An 83-year-old female with a history of hypertension, hyperlipidemia, diabetes mellitus, and chronic kidney disease presented to our hospital with shortness of breath and supraventricular tachycardia (SVT). Her SVT was managed effectively with intravenous beta blockers. On further examination, she was found to have decompensated heart failure with new left ventricular (LV) dysfunction, accompanied by ST depressions in lateral leads and an elevated troponin I level peaking at 0.85 ng/mL, suggestive of a non-ST segment elevation myocardial infarction (NSTEMI). Notably, she had undergone multiple prior cardiac catheterizations, the most recent a few months prior, which demonstrated widely patent coronary arteries.
Procedure
Given the NSTEMI, we decided to proceed with a left heart catheterization, selective coronary angiography, and potential PCI. We prefer the right radial artery access approach as part of our routine cardiac catheterization protocol and in this case, sought to avoid femoral artery access due to the patient’s advanced age and and higher bleeding risks with a relatively lower body mass index.
Right radial artery access was obtained using a radial 6 Fr, 10 cm length Glidesheath Slender® Introducer Sheath (Terumo Interventional Systems). We accessed the LV cavity with a 5 Fr, 100 cm length radial Tiger 4.0 catheter (Terumo Interventional Systems), recording an LV end-diastolic pressure of 6 mmHg. The ostia of the right coronary artery (RCA) and left main coronary artery (LMCA) were sequentially engaged using the same Tiger catheter. The diagnostic coronary angiogram revealed a large caliber and dominant RCA with an anterior take-off, showing a proximal RCA stenosis of 25%-30% and minor luminal disease in the mid RCA. The ostial LMCA, a large caliber vessel, displayed 25% stenosis. The left anterior descending artery (LAD), also a large caliber vessel, had a 30%-40% eccentric stenosis in its mid segment, with small to medium diagonal branches showing no obstructive disease. The left circumflex artery (LCx) exhibited a focal 90% stenosis after the take-off of a large caliber obtuse marginal branch (OM) artery (Figure 1).
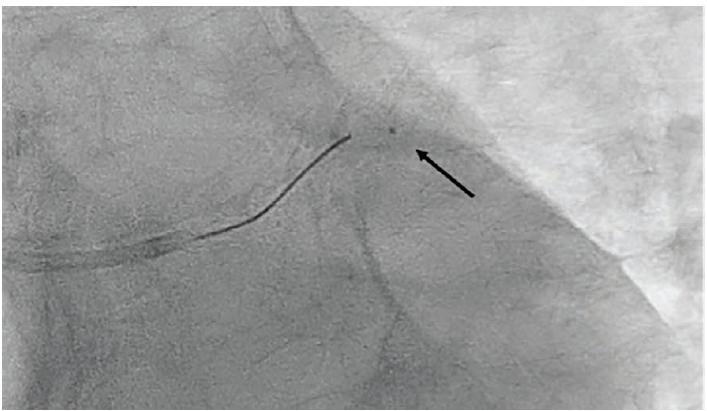
The LCx proximal lesion was the identifiable culprit for the NSTEMI presentation and we proceeded with PCI. The patient was pre-loaded with 600 mg of clopidogrel bisulfate. Due to the acute, near 90-degree take-off of the LCx and tortuosity in the right subclavian artery, we switched to a 6 Fr, 75 cm length R2P Destination Slender® Guiding Sheath. The LMCA ostium was engaged with a 6 Fr Extra Backup (EBU) 3.5 guide catheter (Medtronic) for the intervention. We used a 2.5 Fr, 130 cm length FineCross M3 coronary micro-guide catheter telescoped over a Runthrough® coronary guidewire. The FineCross M3 coronary micro-guide catheter supported the traversal of the unfavorable LCx angle, allowing us to advance the guidewire across the lesion into the distal LCx with minimal difficulty. The tip of the FineCross M3 catheter is highly radiopaque, enabling excellent visualization as seen in Figure 2, where the tip is at the acute angle. The Runthrough® guidewire was then exchanged for a Hi-Torque Wiggle™ Guidewire (Abbott) over the FineCross M3 microcatheter, using a Trapper Exchange Device (Boston Scientific) to facilitate removal of the microcatheter without losing wire position.
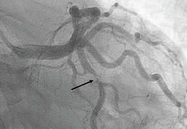
To aid intravascular ultrasound (IVUS) catheter delivery, the mid LCx was predilated with a compliant 2.5 mm x 15 mm balloon dilatation catheter at high pressures (16 atmospheres [atm]). However, the IVUS catheter could not traverse past the proximal LCx bend due to the acute angle and tortuosity, and was withdrawn. With no angiographic evidence of calcification, lithotripsy or atherectomy was deemed unnecessary, with adequate expansion confirmed in two orthogonal views. We proceeded with stenting the mid to proximal LCx using a 2.75 mm x 18 mm Xience Skypoint drug-eluting stent (Abbott), deployed at 14 atm. Post dilation was performed using a 3.0 mm x 8 mm noncompliant balloon, serially inflated to a maximum of 14 atm in the proximal and mid portions. Final angiography revealed TIMI-III flow, no evidence of proximal or distal edge dissections, no perforation, and minimal residual stenosis (Figure 3). At the end of case, all catheters and wires were removed, and hemostasis of the right radial artery was seamlessly and successfully achieved using a TR Band™ Radial Compression Device. The total contrast volume used was 150 mL, with a case duration of 1.3 hours. The patient was discharged the next day without complications and is doing well on follow up. Her discharge medications included a minimum of one year of aspirin 81 mg daily and clopidogrel 75 mg daily.
This case report is sponsored by Terumo Interventional Systems.
**FineCross M3 is intended to be percutaneously introduced into blood vessels and support a guide wire while performing PCI (percutaneous coronary intervention). The product is also intended for injection of radiopaque contrast media for angiography. The product should not be used in cerebral and peripheral vessels. The FineCross M3 coronary micro-guide catheter is not indicated for use in chronic total occlusions as used in this article. Refer to the product labels and packaging insert for complete warnings, precautions, complications, and instructions for use.
References
1. Levine GN, Bates ER, Bittl JA, et al. 2016 ACC/AHA guideline focused update on duration of dual antiplatelet therapy in patients with coronary artery disease: A report of the American College of Cardiology/American Heart Association Task Force on Clinical Practice. Circulation. 2016 Sep 6; 134(10): e123-e155. doi:10.1161/CIR.0000000000000404
2. Shroff AR, Gulati R, Drachman DE, et al. SCAI expert consensus statement update on best practices for transradial angiography and intervention. Catheter Cardiovasc Interv. 2020 Feb; 95(2): 245-252. doi:10.1002/ccd.28672
3. Rao SV, Tremmel JA, Gilchrist IC, et al; Society for Cardiovascular Angiography and Intervention’s Transradial Working Group. Best practices for transradial angiography and intervention: a consensus statement from the society for cardiovascular angiography and intervention’s transradial working group. Catheter Cardiovasc Interv. 2014 Feb; 83(2): 228-236. doi:10.1002/ccd.25209
4. Jolly SS, Yusuf S, Cairns J, et al; RIVAL trial group. Radial versus femoral access for coronary angiography and intervention in patients with acute coronary syndromes (RIVAL): a randomised, parallel group, multicentre trial. Lancet. 2011 Apr 23; 377(9775): 1409-1420. doi:10.1016/S0140-6736(11)60404-2
5. Bertrand OF, Rao SV, Pancholy S, et al. Transradial approach for coronary angiography and interventions: results of the first international transradial practice survey. JACC Cardiovasc Interv. 2010 Oct; 3(10): 1022-1031. doi:10.1016/j.jcin.2010.07.013

Read More Case Reports:
Crossing Severely Stenotic and Tortuous Complex Lesions With Ease — Two New Devices Facilitate Successful Outcomes


