Management of Submassive Pulmonary Embolism With Aspiration Thrombectomy
This article describes a case in which a large-bore aspiration thrombectomy system was used to successfully treat a submassive saddle pulmonary embolism (PE) in a symptomatic patient with recent SARS-CoV-2 pneumonia. Details of the clinical presentation, work-up, and management are presented herein, including a description of the technical procedural steps. A discussion covers review of submassive PE management and current safety and effectiveness data with aspiration thrombectomy.
Case Description
A 34-year-old female with class 3 obesity was admitted to the hospital with new onset of exertional dyspnea. Her past medical history included prior PE and lower extremity deep vein thrombosis. Additionally, the patient was diagnosed with SARS CoV-2 pneumonia about 1 month prior to admission. Although she did not require hospitalization at the time of pneumonia diagnosis, she reported feeling unwell and being “basically bedbound” for approximately 2 weeks. The patient recently noticed burning and pain in her right calf and lateral aspect of right thigh, without edema. One week prior to admission, she experienced dyspnea following minimal exertion that began to subside over a few days. An abrupt worsening of symptoms, including lightheadedness, chest pain, and shortness of breath, prompted her to come to the hospital.
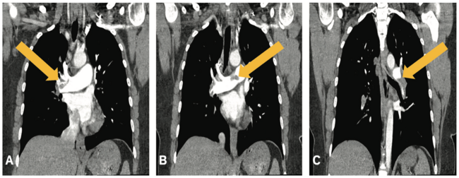
An electrocardiogram (ECG) revealed sinus tachycardia with normal blood pressure (121/77 mmHg). There were no other remarkable findings on physical assessment. The patient underwent a chest computed tomography angiogram (CTA) to rule out PE. CTA revealed extensive, acute, nonocclusive saddle PE involving the bilateral main, lobar, segmental, and subsegmental pulmonary artery (PA) divisions (Figure 1). The right ventricle (RV) was dilated with straightening of the interventricular septum and the RV/left ventricular (LV) ratio was 1.57. The main PA was also slightly dilated at 3.1 cm, suggesting right heart strain. Small, patchy, subpleural ground-glass opacities were observed in the lungs and associated with SARS-CoV-2 pneumonia.
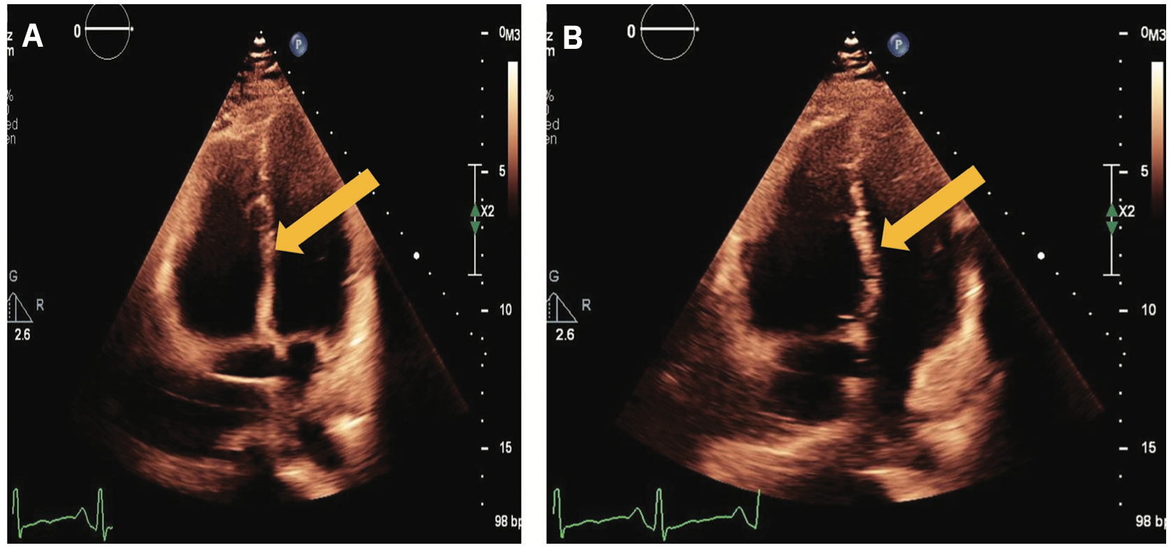
The patient’s subsequent transthoracic echocardiogram (TTE) demonstrated McConnell’s sign, a distinct feature of acute submassive PE. It is a pattern of RV dysfunction, with akinesia of the mid-free wall and hypercontractility of the apical wall.1 The TTE also revealed systolic flattening of the interventricular septum consistent with RV pressure overload, moderate dilation of the RV, and moderate-to-severe reduction in systolic RV function (Figure 2).
Following symptomatic PE diagnosis, treatment options were discussed, and the patient elected to undergo aspiration thrombectomy. Clinical considerations included the patient’s age, class 3 obesity, concerns for chronic thromboembolic pulmonary hypertension (CTEPH), and recent SARS-CoV-2 pneumonia.
Procedure
Illustration and device image provided courtesy of Inari Medical.
After obtaining informed consent, the patient was brought to the lab and right common femoral vein access was obtained. A 7 French pulmonary balloon wedge pressure catheter was advanced into the PA to measure right heart pressure and consistent with the CTA and TTE findings, elevated PA pressures were confirmed. The access site was progressively dilated with 12, 16, and 20 mm dilators. A 24 French DrySeal sheath (Gore Medical) was then introduced into the inferior vena cava.
Device image provided courtesy of Inari Medical.
After adequate anticoagulation, a Triever24 catheter (Inari Medical) was advanced to the left PA. A Triever20 Curve catheter (Inari Medical) was then telescoped through the 24 French catheter until the tip of the 20 French curved catheter was proximal to the thrombus in the left PA. This catheter placement technique is illustrated in Figure 3. Multiple aspirations were performed, yielding a large return of thrombotic fragments. To minimize blood loss, autotransfusions were performed during the procedure using the FlowSaver blood return system (Inari Medical) (Figure 4). Selective left PA angiography confirmed full opacification of the lung fields.
Illustration provided courtesy of Inari Medical.
The Triever20 Curve catheter was removed and the Triever24 catheter was advanced into the right PA (Figure 5). Multiple aspirations were performed, with retrieval of significant thrombus fragments. A post thrombectomy PA angiogram revealed full opacification of the right-sided lung fields.
Significant improvements in hemodynamics were observed and PA pressures decreased from 60/23/35 pre procedure to 25/15/18 post procedure. Heart rate (HR) on ECG decreased from 120 bpm pre procedure to 94 bpm post procedure. The patient reported immediate symptomatic relief. The femoral venous sheath was removed with a figure-of-eight suture and the FlowStasis suture retention device (Inari Medical) (Figure 6) was used for hemostasis without complications. A follow-up TTE two days later revealed resolution of RV strain and otherwise normal findings. The large thrombus burden extracted from bilateral PAs during the thrombectomy is shown in Figure 7.
Discussion
Overview
Device image provided courtesy of Inari Medical.
PE is the third most common cause of cardiovascular death, leading to 60,000 to 100,000 deaths annually.2-4 PE is stratified into categories that range from low to high risk. Severity is determined by factors including hemodynamic stability, comorbidities, RV strain on imaging, laboratory assessments,5 and ECG changes.6 High risk (massive) PE is associated with poor outcomes and clinical presentation includes hemodynamic instability (cardiac arrest, obstructive shock, or persistent hypotension). Presentation of intermediate risk (submassive) PE includes RV strain in the absence of hemodynamic instability. Patients with low risk (nonmassive) PE are hemodynamically stable, and lack imaging or laboratory features of cardiac dysfunction.3,5,6
Our patient’s PE was classified as an intermediate-high risk (submassive) saddle PE due to symptoms and associated RV strain on CTA/TTE. Saddle PE is an uncommon, acute PE that is anatomically located at the bifurcation of the main PA, with potential hemodynamic instability.7 The criteria for diagnosing submassive PE include:
- Systolic blood pressure ≥90 mmHg, and RV dysfunction or myocardial necrosis6
- RV dysfunction:
- RV dilation or RV systolic dysfunction on ECG or RV dilation on CT
- Elevation of BNP >90 pg/mL or N-terminal pro-BNP >500 pg/mL
- ECG changes (complete or incomplete right bundle-branch block, anteroseptal ST elevation or depression, or anteroseptal T-wave inversion)
- Myocardial necrosis:
- Elevation of troponin I >0.4 ng/mL or troponin T >0.1 ng/mL
- RV dysfunction:
Many patients develop long-term complications following PE, such as diminished quality of life, persistent dyspnea, impaired exercise capacity, and chronic thromboembolic pulmonary hypertension (CTEPH). This patient had a large thrombus burden and greater initial pulmonary vascular obstruction is an independent risk factor for residual pulmonary vascular obstruction (RPVO).8 RPVO occurs in 46%-66% of patients 3 months after acute PE and persists in 25%-29% at 1 year.9 RPVO following PE is associated with poor prognosis and increases the risk of adverse outcomes, including CTEPH.10-12 Removing large thrombus burden may reduce the likelihood of long-term complications.
This patient had recent SARS-CoV-2 pneumonia, and emerging retrospective studies and meta-analyses highlight the correlation between COVID-19 pneumonia and PE among hospitalized patients.13-15 Current research demonstrates a higher risk of all-cause mortality for patients who have thrombotic complications with COVID-19,16 although further studies are needed to evaluate the impact on longer-term mortality.14
Treatment
A Pulmonary Embolism Response Team (PERT) is designed to improve the efficiency of PE management by establishing a cohesive approach.17 The PERT model involves rapid consultation by a multidisciplinary team of specialists to inform treatment decisions for patients with high or intermediate risk PE. Since 2012, the number of PERTs has risen throughout the United States and across the world.18,19 PERTs are diverse in their structure and resources. The PERT initiative serves as a multicenter research platform of PE patients.18,19
Treatment of submassive PE can include anticoagulation, catheter-directed thrombolysis (CDT), and mechanical/aspiration thrombectomy. While all three strategies are appropriate management for submassive saddle PE, thrombectomy offers the ability to immediately remove thrombus burden, improve hemodynamics, and alleviate right heart strain. Since our patient was obese, reduced access site bleeding risks also influenced the decision to utilize aspiration thrombectomy. There is a growing body of evidence supporting safe and effective use of thrombectomy with minimal major bleeding events. In addition to published retrospective studies,20-22 prospective clinical studies include FLARE,23 FLASH,24,25 and PEERLESS.26
Clinical Trials
FLARE: FlowTriever Pulmonary Embolectomy Clinical Study
FLARE was a prospective, single-arm, multicenter clinical trial that evaluated percutaneous mechanical thrombectomy with the FlowTriever System for patients with intermediate-risk PE.23 Patients with acute symptomatic PE and CTA-documented RV strain (RV/LV ratio ≥0.9) were enrolled (n=106). The primary endpoint, reduction in RV/LV ratio within 48 hours, was achieved. The average decrease in RV/LV ratio was 0.38 from baseline (P<0.0001). The major bleeding event rate was 0.9% and no device-related injuries or deaths were reported.23
FLASH: FlowTriever All-Comer Registry for Patient Safety and Hemodynamics
FLASH is an ongoing, prospective, multicenter registry evaluating outcomes after treatment with the FlowTriever System in patients with intermediate or high risk PE.24 Among the first 500 patients enrolled, the primary endpoint of major adverse events within 48 hours occurred in 1.4% patients.25 All-cause mortality was 0.2% at 48 hours, and there were no device-related major adverse events or deaths.25 Significant on-table hemodynamic improvements included 23% reduction in mean PA pressure, 18% increase in cardiac index (CI) among patients with a baseline CI <2.0 L/min/m2, and 11.3% decrease in HR. Improvements in cardiac function, patient symptoms, and quality of life were sustained through latest follow-up (up to 6 months).25 Additionally, treatment with FlowTriever was resource-sparing. In FLASH, adjunctive therapy was limited (3.8%) and most patients did not require overnight intensive care unit (ICU) admission (63.1%). The all-cause readmission rate was 6.2% at 30 days. At 6 months, the rate of CTEPH was 1.6%.25
The PEERLESS Study
PEERLESS is an ongoing, prospective, multicenter, randomized, controlled trial evaluating FlowTriever versus CDT for the treatment of acute intermediate-high risk PE.26 This study is currently enrolling and is the first to directly compare mechanical/aspiration thrombectomy with CDT. Targeted enrollment is up to 700 patients, 550 will be randomized 1:1, and up to 150 patients with absolute contraindications to thrombolytics will comprise a separate nonrandomized cohort.26 The primary endpoint is a win ratio composite of all-cause mortality, intracranial hemorrhage, major bleeding, clinical deterioration and/or bailout, and ICU admission/length of stay.26
Summary
Numerous clinical studies have been performed to understand the efficacy and safety of PE treatment strategies. Results from studies of mechanical/aspiration thrombectomy are encouraging, and in addition to knowledge from PERT initiatives, data from ongoing trials will be essential in refining standards of PE care.
Takeaways
- Mechanical/aspiration thrombectomy devices are FDA-cleared for the treatment of PE and procedural technique is well established.
- The aforementioned studies indicate potential advantages of thrombectomy versus CDT, including:
- No requirement for long thrombolytic infusion (12-24 hours), which reduces bleeding risks and the need for ICU beds
- FLARE and FLASH reported significantly lower bleeding rates compared to CDT studies, including major hemorrhages and access site bleeding.
- Removal of thrombus burden may reduce the incidence of CTEPH.
- FLARE and FLASH demonstrated immediate post procedural hemodynamic and symptomatic improvements.
- Low rates of CTEPH were reported in FLASH at 6-month follow-up.
- No requirement for long thrombolytic infusion (12-24 hours), which reduces bleeding risks and the need for ICU beds
- Thrombolysis is still an option for patients in which thrombectomy is not performed due to technical challenges with catheter placement.
Conclusion
Aspiration thrombectomy offers the opportunity to effectively manage massive and submassive PE, as demonstrated in this case, while minimizing the risks and costs associated with CDT. As more clinical data is reported, thrombectomy is becoming an increasingly important treatment strategy in massive and submassive PE.
Acknowledgements. We would like to thank Kelly Koch, PharmD, at Inari Medical, who provided editorial help and Jessica Parsons, PhD, at Inari Medical, who provided excellent technical help, including images, references, and research data that made this case writeup possible.
Disclosures: The authors report no conflicts of interest regarding the content herein.
The authors can be contacted via Jon George, MD, MBA, at jon.george@pennmedicine.upenn.edu
References
1. Mediratta A, Addetia K, Medvedofsky D, et al. Echocardiographic diagnosis of acute pulmonary embolism in patients with McConnell’s sign. Echocardiography. 2016 May; 33(5): 696-702. doi: 10.1111/echo.13142
2. Benjamin EJ, Muntner P, Alonso A, et al. Heart disease and stroke statistics-2019 update: a report from the American Heart Association. Circulation. 2019 Mar; 139(10): e56-e528. doi:10.1161/CIR.0000000000000659
3. Morrone D, Morrone V. Acute pulmonary embolism: focus on the clinical picture. Korean Circ J. 2018 May; 48(5): 365-381. doi:10.4070/kcj.2017.0314
4. Data and statistics on venous thromboembolism. Centers for Disease Control and Prevention. Accessed March 21, 2022. https://www.cdc.gov/ncbddd/dvt/data.html
5. Konstantinides SV, Meyer G, Becattini C, et al. 2019 ESC guidelines for the diagnosis and management of acute pulmonary embolism developed in collaboration with the European Respiratory Society (ERS). Eur Heart J. 2020 Jan; 41(4): 543-603. doi:10.1093/eurheartj/ehz405
6. Jaff MR, McMurtry MS, Archer SL, et al. Management of massive and submassive pulmonary embolism, iliofemoral deep vein thrombosis, and chronic thromboembolic pulmonary hypertension: a scientific statement from the American Heart Association. Circulation. 2011 Apr; 123(16): 1788-1830. doi:10.1161/CIR.0b013e318214914f
7. Wong KJ, Kushnir M, Billett HH. Saddle pulmonary embolism: demographics, clinical presentation, and outcomes. Crit Care Explor. 2021 Jun; 3(6): e0437. doi:10.1097/CCE.0000000000000437
8. Picart G, Robin P, Tromeur C, et al. Predictors of residual pulmonary vascular obstruction after pulmonary embolism: results from a prospective cohort study. Thromb Res. 2020 Jun; 194: 1-7. doi:10.1016/j.thromres.2020.06.004
9. Bonnefoy PB, Margelidon-Cozzolino V, Catella-Chatron J, et al. What’s next after the clot? Residual pulmonary vascular obstruction after pulmonary embolism: from imaging finding to clinical consequences. Thromb Res. 2019 Dec; 184: 67-76. doi:10.1016/j.thromres.2019.09.038
10. Chopard R, Genet B, Ecarnot F, et al. Detection of residual pulmonary vascular obstruction by ventilation-perfusion lung scan late after a first pulmonary embolism. Am J Cardiol. 2017 Jun; 119(11): 1883-1889. doi:10.1016/j.amjcard.2017.03.002
11. Meneveau N, Ider O, Seronde MF, et al. Long-term prognostic value of residual pulmonary vascular obstruction at discharge in patients with intermediate- to high-risk pulmonary embolism. Eur Heart J. 2013 Mar; 34(9): 693-701. doi:10.1093/eurheartj/ehs365
12. Pesavento R, Filippi L, Palla A, et al. Impact of residual pulmonary obstruction on the long-term outcome of patients with pulmonary embolism. Eur Respir J. 2017 May; 49(5): 1601980. doi: 10.1183/13993003.01980-2016
13. Helms J, Tacquard C, Severac F, et al. High risk of thrombosis in patients with severe SARS-CoV-2 infection: a multicenter prospective cohort study. Intensive Care Med. 2020 Jun; 46(6): 1089-1098. doi:10.1007/s00134-020-06062-x
14. Henrina J, Santosa Putra IC, Cahyadi I, et al. Clinical characteristics and outcomes of venous thromboembolism in patients hospitalized for COVID-19: Systematic review and meta-analysis. Thrombosis Update. 2021; 2(100037): 1-13. doi:10.1016/j.tru.2021.100037
15. Klok FA, Kruip M, van der Meer NJM, et al. Incidence of thrombotic complications in critically ill ICU patients with COVID-19. Thromb Res. 2020 Jul; 191: 145-147. doi:10.1016/j.thromres.2020.04.013
16. Klok FA, Kruip M, van der Meer NJM, et al. Confirmation of the high cumulative incidence of thrombotic complications in critically ill ICU patients with COVID-19: An updated analysis. Thromb Res. 2020 Jul; 191: 148-150. doi:10.1016/j.thromres.2020.04.041
17. Schultz J, Giordano N, Zheng H, et al. EXPRESS: a multidisciplinary pulmonary embolism response team (PERT) - experience from a national multicenter consortium. Pulm Circ. 2019 Jan; 9(3): 2045894018824563. doi:10.1177/2045894018824563
18. Kabrhel C, Rosovsky R, Channick R, et al. A multidisciplinary pulmonary embolism response team: initial 30-month experience with a novel approach to delivery of care to patients with submassive and massive pulmonary embolism. Chest. 2016 Aug; 150(2): 384-393. doi:10.1016/j.chest.2016.03.011
19. Barnes G, Giri J, Courtney DM, et al. Nuts and bolts of running a pulmonary embolism response team: results from an organizational survey of the National PERT™ Consortium members. Hosp Pract (1995). 2017 Aug; 45(3): 76-80. doi:10.1080/21548331.2017.1309954
20. Buckley JR, Wible BC. In-hospital mortality and related outcomes for elevated risk acute pulmonary embolism treated with mechanical thrombectomy versus routine care. J Intensive Care Med. 2021 Aug: 8850666211036446. doi:10.1177/08850666211036446
21. Wible BC, Buckley JR, Cho KH, et al. Safety and efficacy of acute pulmonary embolism treated via large-bore aspiration mechanical thrombectomy using the Inari FlowTriever device. J Vasc Interv Radiol. 2019 Sept; 30(9): 1370-1375. doi:10.1016/j.jvir.2019.05.024
22. Toma C, Khandhar S, Zalewski AM, et al. Percutaneous thrombectomy in patients with massive and very high-risk submassive acute pulmonary embolism. Catheter Cardiovasc Interv. 2020 Dec; 96(7): 1465-1470. doi:10.1002/ccd.29246
23. Tu T, Toma C, Tapson VF, et al. A prospective, single-arm, multicenter trial of catheter-directed mechanical thrombectomy for intermediate-risk acute pulmonary embolism: the FLARE study. JACC Cardiovasc Interv. 2019 May; 12(9): 859-869. doi:10.1016/j.jcin.2018.12.022
24. Toma C, Bunte MC, Cho KH, et al. Percutaneous mechanical thrombectomy in a real-world pulmonary embolism population: Interim results of the FLASH registry. Catheter Cardiovasc Interv. 2022 Mar; 99(4): 1345-1355. doi: 10.1002/ccd.30091.
25. Toma C. Acute and long-term improvements following FlowTriever mechanical thrombectomy in pulmonary embolism patients: six-month results from the FLASH registry. Presented at the Transcatheter Cardiovascular Therapeutics Annual Meeting 2021. November 4-6, 2021. Orlando, FL, USA. Abstract TCT-12.
26. ClinicalTrials.gov. The PEERLESS Study (PEERLESS); [NCT05111613]. Last updated: April 12, 2022. Accessed April 25, 2022. https://clinicaltrials.gov/ct2/show/NCT05111613


