Tips and Tricks for Guide Extension Catheter Usage With Intravascular Lithotripsy
What is your experience with coronary intravascular lithotripsy in complex percutaneous coronary interventions?
We were the first center to use coronary intravascular lithotripsy (IVL, Shockwave Medical) in New England and our experience with IVL has been extensive. My own experience with peripheral IVL came very early on while training under Peter Soukas at Brown University, who was one of the first users of peripheral IVL. IVL has brought quite a change in practice in many ways, particularly when you are talking about safety. IVL has made our lives a lot easier, as both coronary and peripheral operators, and for patient care. It is definitely a game-changer for treatment, especially in calcified and tortuous lesions, which are difficult to treat. Before coronary IVL was approved, we did about 100 to 120 atherectomy cases a year in severe calcifications requiring significant vessel prep. About 100 out of the 1,000 percutaneous coronary interventions (PCIs) that we do annually need some type of calcium modification.
Can you share some of your decision-making process as you approach calcified lesions in complex PCI?
The first step is to perform intravascular imaging. We use intravascular imaging 100% of the time prior to doing IVL or any type of calcium work. If the calcium lesion is greater than 180 degrees in circumference, and greater than 0.5 mm in depth and 5 mm in length, we usually prepare for some calcium modification strategy, whether with IVL or atherectomy. If there is significant wire bias away from the calcium on imaging or if it is deep calcium, we usually prefer IVL rather than atherectomy. Additionally, we determine whether a regular 1.0 or 1.5 millimeter (mm) balloon is able cross the lesion. If the lesion is able to be crossed, then we attempt to vessel prep in order for us to deliver the IVL balloon. If we are able to at least deliver a 2 mm balloon, then the majority of the time, we don’t even consider atherectomy, in anticipation of being able to deliver the IVL balloon, especially with the use of a guide extension catheter. If we are unable to deliver a balloon or are having slight difficulties expanding with either a 1.0 or a 1.5 mm balloon, then we consider atherectomy to make a channel for delivery of IVL balloon.
What strategies do you use to deliver IVL when facing challenging vessel anatomy and calcium morphology?
Especially with calcified lesions and tortuosity, there are always difficulties delivering equipment such as stents or the IVL balloon. The first step is having enough guide support. Second is having a supportive wire, so using a stiffer wire or exchanging out for a stiffer wire. We frequently use the Asahi Grand Slam (Asahi Intecc) when delivering the IVL catheter and exchange out for more supportive wire. Other labs may use Iron Man or a Wiggle Wire (both Abbott Vascular), but for support or delivery of stents, or the IVL catheter, we will most commonly use guide catheter extension systems. There are four different commercially available guide catheter extension systems in the United States that are in common use: GuideLiner (Teleflex), TrapLiner (Teleflex), GuideZilla (Boston Scientific), and Telescope, recently released by Medtronic in 2020. Guide catheter extension systems (Table 1) are crucial for use in complex PCI and calcium. Since there are some pitfalls or complications associated with their use, it is very important that they are used properly, in a safe manner.
Can you walk us through your decision-making process?
After we get ready for the PCI, we review the anatomy, finalize our strategy, and ask for our equipment. In our lab, based on anatomy, we will use a GuideLiner or a Telescope, and have both systems for different reasons. We do have both ready to be opened in the majority of cases. If there is a very ostial or proximal lesion, where we think that a guide extension won’t be beneficial, we won’t use it at that time, but if it is a mid or a more distal lesion, the chances are high that we will use a guide extension catheter system.
Can you share the different guide extension catheter techniques to aid delivery of coronary IVL?
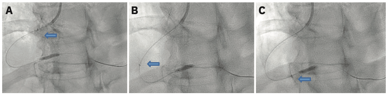
There are three different techniques that we use to deliver the guide catheter extension system. One is called the balloon surfing technique. The balloon surfing technique or balloon assisted tracking starts by deploying either a 2 or a 2.5 mm balloon at the tip of the catheter, with half sticking out of the catheter. The balloon is actually used as a bumper in an attempt to get past the lesion or to the lesion. A second technique called the balloon tracking technique or balloon anchor (Figure 1) is the most common technique I use. It entails inflating the balloon, whether a compliant or noncompliant balloon, at the distal vessel where the lesion is located, and while the balloon is up, tracking the guide catheter extension system to the lesion, to the balloon. It is almost like a balloon anchor. Whenever you are delivering the guide extension catheter system, it should always be done over a present balloon shaft or stent shaft. The reason is based on the old teaching that we should never go “bare,” meaning you should not push the guide extension catheter over a wire without any assisting balloon, because it can cause trauma to the vessel. The biggest complication that we see with guide extension catheters is dissection. Both the balloon surfing and the balloon tracking techniques allow for the presence of a stiffer shaft or a stiffer rail system for the guide extension catheter system to go over, thus limiting or preventing trauma to the vessel wall, and so these are the two main techniques we use to deliver the guide extension catheter system. Once the guide extension catheter system is at the balloon, there is also a technique called “inchworming” (Figure 2). After the balloon is inflated and as it is deflating, we push the guide extension catheter over the balloon. We will use the inchworming technique if there is significant proximal stenosis and we can’t get the guide extension past that stenosis to get to the lesion. We often will inflate a balloon at that proximal lesion, and as the balloon is coming down, push the guide extension catheter over the balloon, past the stenosis. A stent or an IVL balloon can then be delivered by unsheathing the guide extension catheter, because you are past the lesion. The use of these three techniques is crucial for IVL delivery in the treatment of calcified lesions. Without these techniques, delivering these devices becomes very difficult. Another problem is that when you are going through calcified and tortuous lesions, the balloon, the IVL catheter, and the stent can become damaged. The guide extension catheter actually protects devices from getting damaged. The biggest risk for IVL catheters is obviously balloon damage leading to a balloon rupture, which could then lead to dissection or damage to the arteries. Stents themselves can either be damaged and/or their drug coating can be damaged. Even worse is that the stent could be stripped off the balloon and you now have a freestanding stent in a vessel with calcified lesions. Guide extension catheter systems can prevent these complications from happening and it is absolutely crucial that interventionalists know how to use guide extension catheters.
Are there things that you should not do with guide extension catheters?
The most important thing is never to advance the guide catheter extension system by itself, with just an over wire, which is one of the first things that we are always taught as fellows coming out of training. In complex PCI, never push the guide extension catheter. As I said, never go bare. Always advance a guide extension catheter over a stiffer or a stronger rail system. You can either use an uninflated balloon or the stent itself in an inchworming technique. A potential complication is a dissection or spiral dissection. When the guide extension catheter is down the vessel, in the middle of the vessel or distally, the pressure waveforms have to be closely monitored. You can get a dampened pressure waveform because it is further down in the vessel. In this case, injection of any type of saline or contrast is highly discouraged because of the risk of spiral dissection. Once a guide extension catheter system is down the vessel and you see the dampened waveform, an injection should not be performed. If you want to do an injection or want visibility, then you need to pull the guide extension catheter back until there is a normal pressure waveform. If there is a dampened waveform, it is important to also be aware that it can induce prolonged ischemia. Sometimes the guide extension catheter will have to be pulled back to allow the patient to breathe — to get flow back into the artery — before further steps are taken.
What is the learning curve for guide extension catheter use?
The learning curve is very small. These systems are very easy to use, as long as it is done in a safe manner. In complex PCI, the guide extension catheter has changed the way we treat, due to its increased safety and ability to deliver equipment. For transradial PCI specifically, which has become the main approach for cardiac intervention procedures, we can run into difficulties with guide support and there is often difficulty getting good guide support to get coaxial with the vessel. The reason there is a learning curve for radial PCI is because there is more manipulation that needs to be done to engage the artery. If you have poor guide support, it can be challenging when delivering equipment in calcified or torturous lesions. Delivering larger devices, such as IVL balloons or larger stents, is when guide extension catheter use is necessary, along with the mastery of the different techniques described above.
What would you say your success rate is in delivering coronary IVL with the use of guide extension catheters?
We have done over 200 IVL cases and have been able to deliver the IVL catheter 100% of the time.
Any final thoughts?
A guide extension catheter is an often-overlooked tool. Complex procedures can be made simple by using a guide extension catheter and it should be something that every interventionalist should master. Balloon surfing, balloon tracking, and inchworming are easy and simple techniques that can be mastered quickly in a safe manner.
The biggest disappointment for interventionalists is stent failure, meaning those patients that come back with stent restenosis or thrombosis. The most common reason is undersized stents. The first reason stents are undersized or fail is because we don’t use intravascular imaging. The second reason is that the vessel is complex and we don’t get full stent expansion due to the presence of calcium. The traditional methods of atherectomy have their limitations. With rotational atherectomy, a lot of times we won’t get calcium fractures, possibly due to an undersized rotational atherectomy burr if the vessel is very large. Traditionally, we use a 1.5 mm burr because it is compatible with a 6 French system. Using a 1.75 or 2 mm burr means we have to upgrade to 7 French system, which is very cumbersome and sometimes not compatible with a small radial artery, and so we may not achieve a good lesion prep or calcium fracture, which is the necessary goal in order to get full stent expansion. Orbital atherectomy is based on contact time and the number of passes. To get a significant result with calcium fractures, it often requires a number of passes. An increase in passes or in speed can lead to a significant perforation or dissection in tortuous vessels. Another limitation for both rotational and orbital atherectomy is the problem of significant wire bias. If your wire is, for example, at seven o’clock, and the calcium is at three o’clock on the other side, your device is not going to be touching that calcium.
IVL has completely changed how we treat calcified lesions. In the future, our stent success should increase and our target lesion failures should decrease with the use of intravascular imaging and IVL, and ultimately, the hope is that mortality will also decrease. IVL has made us rethink how we treat calcium, and particularly whether it is deep calcium versus circumferential calcium or nodular calcium. Traditionally, we would have looked at an angiogram and said, “Oh, there’s calcium there. We can’t get a balloon across” or “we can’t get a stent across.” What was considered success not so long ago was just being able to deliver the stent. But now it’s not about just delivering the stent, but achieving the largest minimal lumen area by actually fracturing the calcium to get full stent expansion. We have to think about all these things differently with IVL, and for interventional cardiology, it will impact the treatment of complex disease.
Sources
1. Patel T, Shah S, Pancholy S, et al. Balloon-assisted tracking: a must-know technique to overcome difficult anatomy during transradial approach. Catheter Cardiovasc Interv. 2014 Feb; 83(2): 211-20. doi: 10.1002/ccd.24959
2. de Man FH, Tandjung K, Hartmann M, et al. Usefulness and safety of the GuideLiner catheter to enhance intubation and support of guide catheters: insights from the Twente GuideLiner registry. EuroIntervention. 2012 Jul 20; 8(3): 336-344. doi: 10.4244/EIJV8I3A52
3. Mody R, Dash D, Mody B, Saholi A. Guide extension catheter-facilitated reverse controlled antegrade and retrograde tracking for retrograde recanalization of chronic total occlusion. Case Rep Cardiol. 2021 Jan 19; 2021: 6690452. doi: 10.1155/2021/6690452
4. Kumar P, Aggarwal P, Sinha SK, et al. The safety and efficacy of Guidezilla catheter (mother-in-child catheter) in complex coronary interventions: an observational study. Cardiol Res. 2019 Dec; 10(6): 336-344. doi: 10.14740/cr949
5. Chandra S, Tiwari A, Chaudhary G, Yadav R. Guide catheter extension systems: Hype or a need? Indian Heart J. 2021 Sep-Oct; 73(5): 535-538. doi: 10.1016/j.ihj.2021.09.011
6. Yoshida R, Ishii H, Tanaka A, et al. Differences in primary indication for guide-extension catheter usage among the three target vessels. Postepy Kardiol Interwencyjnej. 2020 Jun; 16(2): 192-197. doi: 10.5114/aic.2020.96063
Dr. Stephan Heo is with the New England Heart & Vascular Institute at Catholic Medical Center (CMC), a 330-bed hospital in Manchester, New Hampshire. He notes, “Catholic medical center provides a full range of services and is pioneer in offering innovative cardiac procedures. We have several satellite hospitals located all throughout New Hampshire and CMC is the main hub for New Hampshire’s cardiovascular care. We currently have three cath labs, and are building a brand-new tower and extension to increase bed availability. We do approximately 1,000 percutaneous coronary interventions (PCIs) per year, a high percentage of which are complex PCI procedures.”
This article is sponsored by Shockwave Medical. Dr. Heo is a paid consultant for Shockwave Medical. See Important Safety Information below.
Learn more about coronary intravascular lithotripsy use by visiting Cath Lab Digest’s Calcium Corner. Start at cathlabdigest.com:
CLD home page –> Topics –> Calcium Corner
Important Safety Information
In the United States: Rx only.
Indications for Use— The Shockwave Intravascular Lithotripsy (IVL) System with the Shockwave C2 Coronary IVL Catheter is indicated for lithotripsy-enabled, low-pressure balloon dilatation of severely calcified, stenotic de novo coronary arteries prior to stenting.
Contraindications— The Shockwave C2 Coronary IVL System is contraindicated for the following: This device is not intended for stent delivery. This device is not intended for use in carotid or cerebrovascular arteries.
Warnings— Use the IVL Generator in accordance with recommended settings as stated in the Operator’s Manual. The risk of a dissection or perforation is increased in severely calcified lesions undergoing percutaneous treatment, including IVL. Appropriate provisional interventions should be readily available. Balloon loss of pressure was associated with a numerical increase in dissection which was not statistically significant and was not associated with MACE. Analysis indicates calcium length is a predictor of dissection and balloon loss of pressure. IVL generates mechanical pulses which may cause atrial or ventricular capture in bradycardic patients. In patients with implantable pacemakers and defibrillators, the asynchronous capture may interact with the sensing capabilities. Monitoring of the electrocardiographic rhythm and continuous arterial pressure during IVL treatment is required. In the event of clinically significant hemodynamic effects, temporarily cease delivery of IVL therapy.
Precautions— Only to be used by physicians trained in angiography and intravascular coronary procedures. Use only the recommended balloon inflation medium. Hydrophilic coating to be wet only with normal saline or water and care must be taken with sharp objects to avoid damage to the hydrophilic coating. Appropriate anticoagulant therapy should be administered by the physician. Precaution should be taken when treating patients with previous stenting within 5mm of target lesion. Potential adverse effects consistent with standard based cardiac interventions include– Abrupt vessel closure - Allergic reaction to contrast medium, anticoagulant and/or antithrombotic therapy-Aneurysm-Arrhythmia-Arteriovenous fistula-Bleeding complications-Cardiac tamponade or pericardial effusion-Cardiopulmonary arrest-Cerebrovascular accident (CVA)-Coronary artery/vessel occlusion, perforation, rupture or dissection-Coronary artery spasm-Death-Emboli (air, tissue, thrombus or atherosclerotic emboli)-Emergency or non-emergency coronary artery bypass surgery-Emergency or non-emergency percutaneous coronary intervention-Entry site complications-Fracture of the guide wire or failure/malfunction of any component of the device that may or may not lead to device embolism, dissection, serious injury or surgical intervention-Hematoma at the vascular access site(s)-Hemorrhage-Hypertension/Hypotension-Infection/sepsis/fever-Myocardial Infarction-Myocardial Ischemia or unstable angina-Pain-Peripheral Ischemia-Pseudoaneurysm-Renal failure/insufficiency-Restenosis of the treated coronary artery leading to revascularization-Shock/pulmonary edema-Slow flow, no reflow, or abrupt closure of coronary artery-Stroke-Thrombus-Vessel closure, abrupt-Vessel injury requiring surgical repair-Vessel dissection, perforation, rupture, or spasm.
Risks identified as related to the device and its use: Allergic/immunologic reaction to the catheter material(s) or coating-Device malfunction, failure, or balloon loss of pressure leading to device embolism, dissection, serious injury or surgical intervention-Atrial or ventricular extrasystole-Atrial or ventricular capture.
Prior to use, please reference the Instructions for Use for more information on warnings, precautions and adverse events. www.shockwavemedical.com/IFU
Please contact your local Shockwave representative for specific country availability and refer to the Shockwave C2 Coronary IVL system instructions for use containing important safety information.
©2022 Shockwave Medical Inc., All rights reserved. SPL-66857 Rev A


