Transradial Revascularization of an In-Stent Chronic Occlusion of the Right Coronary Artery Using Excimer Laser
Case report
A 66-year-old Hispanic man with a past medical history of diabetes mellitus, hypertension, dyslipidemia, and history of previous percutaneous interventions to his left anterior descending (LAD) coronary artery, as well as right coronary artery (RCA) presented to an outside hospital with exertional angina. His coronary angiography had revealed an in-stent occlusion of the dominant mid RCA with left to right collaterals. He was treated with anti-anginal medical management for four months without significant improvement in his lifestyle-limiting angina.
When he came to our hospital for a second opinion, a repeat catheterization showed a mid RCA in-stent chronic total occlusion (CTO) (Figure 1). The left system was free of any significant disease and septal collaterals filled the distal posterior descending artery (Figure 2). The left ventriculography revealed preserved systolic function with normal inferior wall motion.
Percutaneous intervention of the RCA was performed via the right radial approach using a 6 French (Fr) MAC 3.0 guide catheter (Medtronic). A 300 cm Kinetix wire (Boston Scientific) and subsequently a hydrophilic PT II Graphix (Boston Scientific) wire along with a 1.25mm x 10mm over-the-wire balloon were used to cross the CTO (Figure 3). After the initial crossing into the proximal cap, we could not advance the wire further. With the hope of creating a channel through the proximal cap, a 0.9 laser catheter (Spectranetics
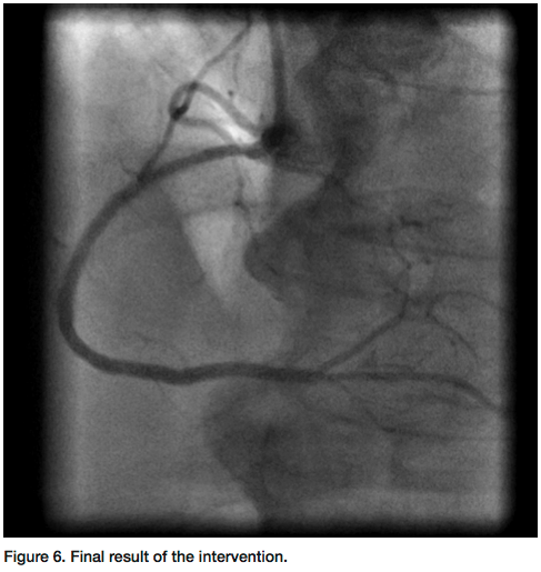
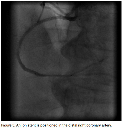
Corporation) was used. The laser softened the cap and allowed us to cross through the entire segment of the CTO with a Kinetix wire. Further lasing was performed at 80 Hertz pulse fluency and at 80 mJ/mm2 repetition cycle for debulking of the entire in-stent occlusion area (Figure 4). A 2.75mm balloon was utilized to pre-dilate the whole length of the CTO. Intravascular ultrasound (IVUS) was performed. Multiple overlapping Ion drug-eluting stents (Boston Scientific) were deployed to the RCA (Figure 5) and post dilated to 3.00 mm, demonstrating excellent angiographic results and TIMI-III flow (Figure 6). The sheath was removed and a hemostatic band was applied for two hours. The patient was discharged the next morning on prasugrel and aspirin along with other medications.
Discussion
We have seen an increasing trend of patients requesting a radial catheterization similar to the patient discussed here. However, up until now, the feasibility of using radial access to treat complex coronary artery disease was questioned by many interventional cardiologists. The ability to perform complex interventions transradially reduces morbidity by reducing access-related complications and by allowing early ambulation. Transradial approach for complex cases is challenged at times by inadequate guide support and inability to use larger size guide catheters.
The initial registry of laser use for treating coronary artery disease had a high (84%) success rate but was limited by 22% dissection rate and 2.5 % perforation rate.1 During the registry, saline infusion was not performed. Saline infusion through the guide catheter removes contrast and avoids large bubble formation that can result in dissection and perforation. The redesigned 0.9 mm catheter (by Spectranetics) has optimally spaced 61-micron fibers with a 22% larger laser beam area and can ablate a 63% larger lumen area. Slow advancement in contrast-free environments with saline flush through the guide leads to larger lumen gained, cleaner lumen without debris, and fewer dissections. Although we have no randomized data to support the general benefit of laser over other revascularization techniques, excimer laser is an important adjunctive technology to improve procedural success and outcome in complex coronary lesions.
The 0.9 mm laser catheter is 6 Fr compatible, which makes it useful for transradial interventions. After wiring a lesion, if the lesion cannot be crossed with either a balloon or a crossing catheter, laser can be used when feasible. Particularly for transradial catheterization, it becomes very helpful to modify the plaque, when non-optimal guide support prohibits pushing a balloon through the lesion. In the case reported herein, the laser catheter was used to cross the in-stent CTO as a CTO device, as well for proper debulking of the high plaque burden. Laser ablation allowed optimal stent expansion and deployment. A retrospective review of transradial cases at our institute shows a 94% success rate (data presented at AIM-RADIAL 2012, Québec City). Laser catheters can be used to improve procedural success in selected patients with following coronary lesion subsets: in-stent restenosis or occlusion, an inability to cross a severe calcified stenosis with a balloon, acute myocardial infarction, thrombectomy, and saphenous vein graft intervention.
The authors can be contacted via Dr. Kintur Sanghvi at SanghviK@Deborah.org.
Disclosure: The authors report no conflicts of interest regarding the content herein.
Reference
- Holmes DR Jr, Mehta S, George CJ, Margolis JR, Leon MB, Isner JM, Bittl JA, King SB 3rd, Siegel RM, Sketch MH, Cowley MJ, Roubin GS, Brinker JA, Overlie PA, Tcheng J, Sanborn TA, Litvack F. Excimer laser coronary angioplasty: the New Approaches to Coronary Intervention (NACI) experience. Am J Cardiol 1997 Nov 20; 80(10A): 99K-105K.


