Retrograde Transpedal Artery Access for Critical Limb Ischemia Interventions at Health Central Hospital Heart & Vascular Institute
Introduction
Peripheral arterial disease (PAD) presents a wide variety of challenges to peripheral vascular interventionalists, especially when treating chronic total occlusions (CTOs). In complex superficial femoral artery (SFA) to popliteal occlusions, an antegrade recanalization attempt can fail in up to 20-40% of cases.1
Critical limb ischemia (CLI) management has been dominated by endovascular advances in the last decade. The latest paradigm change in preventing amputation in CLI patients is utilization of pedal artery access.2,3 Pedal artery access requires that the peripheral interventionalist master the following components of tibiopedal access:
- Retrograde pedal artery access of the tibioperoneal vessels and combination access with the antegrade femoral artery;
- The use of duplex ultrasound for securing access of infrapopliteal arteries;
- Skills to reenter the true lumen from an intimal dissection plane;
- Use of equipment such as snares to capture wires and establish a rail to enable delivery of balloons and stents.
The advent of retrograde tibiopedal approach to revascularize complex lesions in patients with CLI has proven to be feasible, safe, and favorably modifies the failure rate associated with the antegrade-only approach. We recently performed three cases of SFA revascularization using a retrograde tibiopedal approach at Health Central Hospital with excellent outcomes. Herein, we present one of three cases and discuss the technique, safety, efficacy, and benefit of this emerging treatment approach.
Case report
A 49-year-old Hispanic male presented with peripheral arterial disease (PAD), coronary artery disease (CAD), chronic renal insufficiency, hypertension (HTN), dyslipidemia, obstructive sleep apnea and mild obesity. He had an ankle-brachial index (ABI) of 0.5 on the left leg, associated with severe claudication. A year prior he underwent successful left superficial femoral artery (SFA) revascularization with atherectomy and balloon angioplasty, but subsequently re-occluded. Subsequent attempts to open the left SFA were not successful and hence the new attempt to revascularize this long chronic total occlusion of the left SFA via left pedal artery access.
The patient’s groins (bilateral) were prepared in the usual sterile fashion. Using a 5 French (Fr) sheath (Terumo Pinnacle) inserted in the right common femoral artery (CFA), a 5 Fr Soft-Vu Omni Flush (AngioDynamics) was advanced over a 0.035-inch x 260cm stiff-angled Glidewire (Terumo) to secure contra lateral iliac access into the left CFA and left SFA.
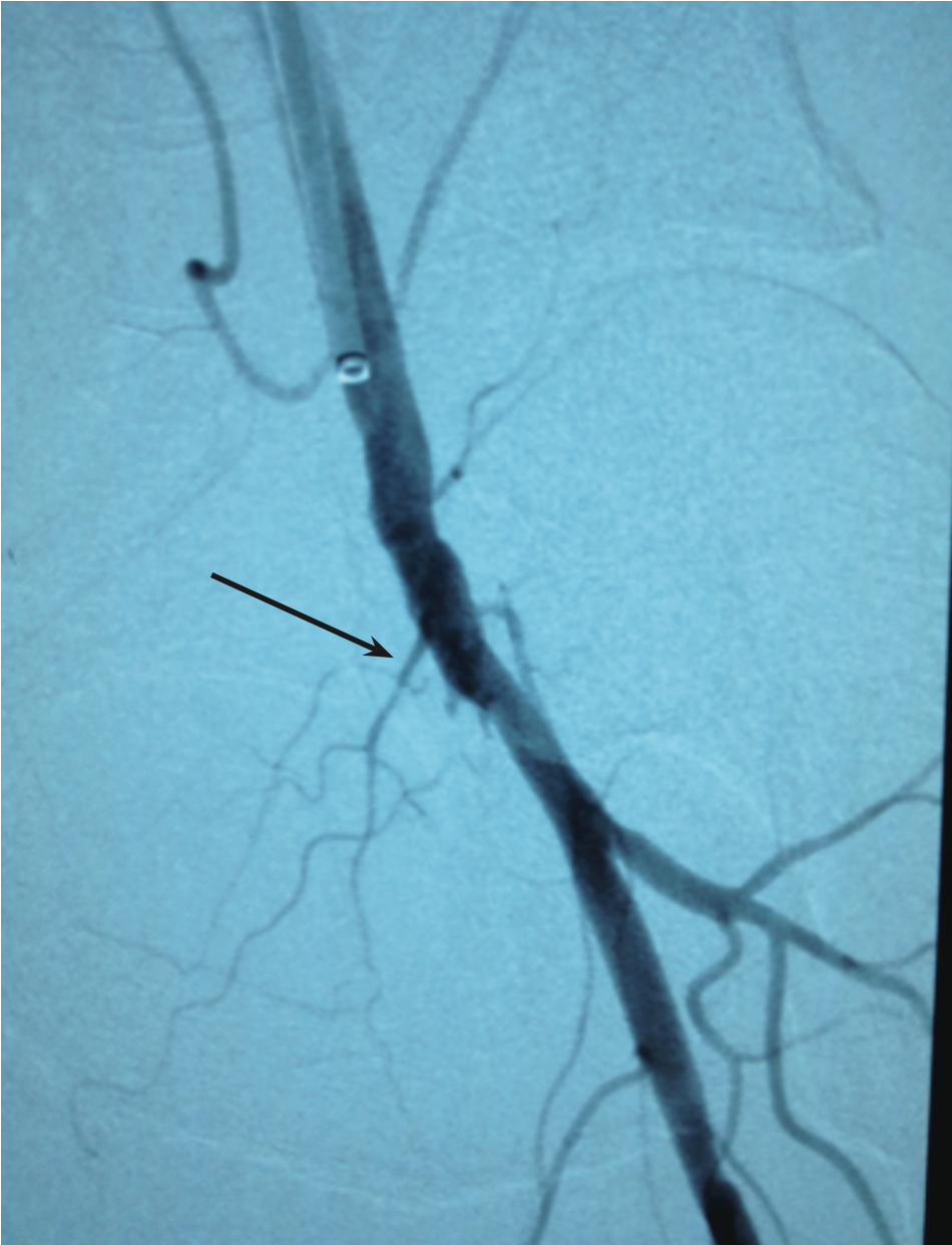
The 5 Fr system was exchanged for a 7 Fr 0.038-inch x 90 cm Flexor Check-Flo Raabe sheath (Cook Medical). Angiography confirmed flush occluded left SFA at its ostium (note arrow in Figure 1). We advanced a 0.035-inch x 260 cm Advantage glidewire with a 5 Fr angled-tip Glide catheter support and crossed half way down the occluded SFA. At this point, we were subintimal and could not advance any further (note upper arrow in Figure 2).
The guide wire was exchanged for a 0.035-inch x 260 cm Advantage Glidewire. The 5 Fr system was exchanged for a 7 Fr 0.038-inch x 90 cm Flexor Check-Flo Raabe sheath (Cook Medical). Intra-arterial heparin 3,000 units (30-40 units per kilo) was administered through the sheath.
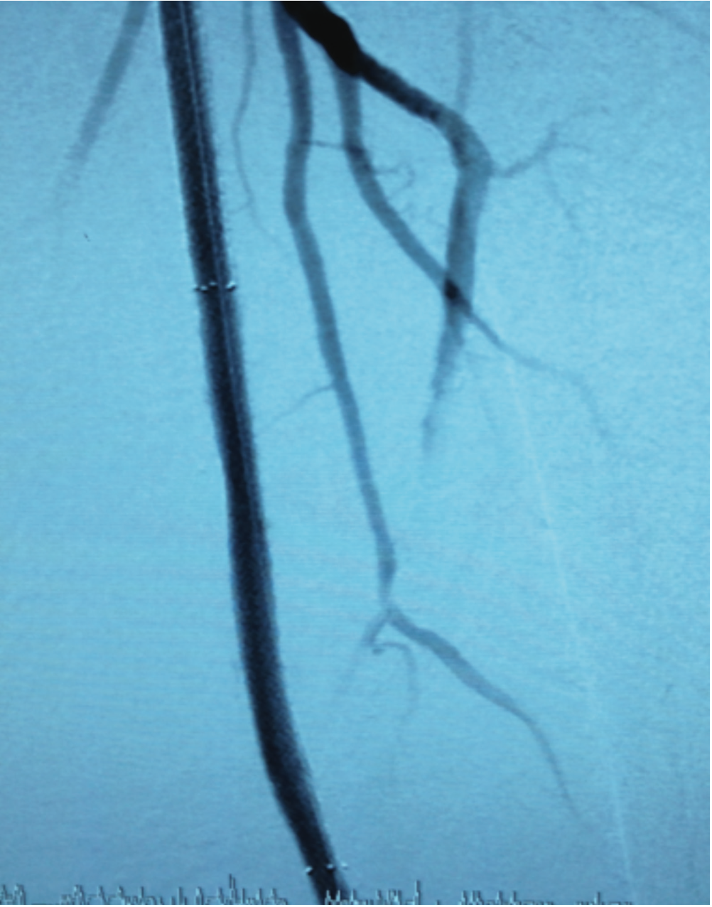
Next, the left foot, ankle, and lower leg area was prepped and draped in the same fashion as the groin with ChloraPrep (CareFusion). We applied nitroglycerin spray topically over the left dorsalis pedis (DP) area. Under ultrasound guidance, DP arterial access was secured with a micropuncture needle and a 4 Fr micropuncture sheath (Cook Medical) was placed (Figures 3-4). A cocktail of nitroglycerin (200 mcg), heparin (3,000 IU) and verapamil (2.5-5 mg) was administered through the micropuncture sheath. A bivalirudin (Angiomax, The Medicines Company) bolus and drip was started per protocol guidelines.
After securing arterial access in the left DP, we attempted to advance the antegrade crossing wire from the right CFA access. We exchanged for a Slip-Cath Beacon Tip DAV catheter (Cook Medical) and advanced an Approach CTO wire (Cook Medical) through this catheter. From the antegrade approach, we were able to position the wire in the distal SFA, but despite our best attempts, the wire was suboptimal for a significant portion. The distal tip of the wire was not in the true lumen of the left popliteal artery, even after exchanging the DAV catheter for a Quick-Cross support catheter (Spectranetics) and then for a CXI Support catheter (Cook Medical). Unsuccessful attempts were also made with a Prowater coronary guide wire (Abbott Vascular).
We then proceeded to work retrograde through the left DP sheath with a CXI Support catheter and wired with a Prowater guide wire. We were able to pass the distal SFA occluded cap, but only partially. The wire was then exchanged for a 0.014-inch x 300 cm Confianza guide wire (Abbott Vascular) with moderate success. We then exchanged for a 0.018-inch x 300 cm Victory 18 (Boston Scientific) control guide wire, which helped us advance to the level of the mid SFA. At this point, we confirmed a short segment of overlap of both the wires. We advanced a Rapid Exchange (RX) 2 mm x 80 mm Amphirion Deep (Medtronic) balloon retrograde from the pedal sheath to the SFA, and performed balloon inflation. Several wire exchanges were performed in order to attempt reentry into the true SFA lumen. Eventually, the left SFA lumen was accessed with a 0.014-inch x 300 cm Runthrough NS (Terumo) from the pedal sheath. The distal tip of the Runthrough NS wire was carefully manipulated into the Flexor Check-Flo Raabe sheath and exteriorized out of the CFA end of the sheath without the use of snares.
After securing ends of this wire from both ends of the sheath, the supporting Amphirion Deep balloon was exchanged for a 170 cm x 2 mm x 16 mm Advance 14LP (Cook Medical). Balloon angioplasty was performed across the length of the SFA. We exchanged this balloon for another Advance 14LP balloon, 170 cm x 4 mm x 20 mm, and also performed balloon angioplasty across the length of the SFA.
After securing ends of this wire from both ends of the sheath, we performed balloon angioplasty with a 2 mm x 16 mm followed by a 4 mm x 20 mm Advance 14LP balloon (Cook Medical) across the length of the SFA (Figure 5).
While maintaining the Runthrough NS wire in position, we advanced a 0.014-inch x 300 cm Spartacore guide wire (Abbott Vascular) from the right CFA with a Quick-Cross support catheter. We carefully navigated the wire through the entire length of the SFA into the left popliteal artery and distally into the left anterior tibial artery. At this point, we deployed four self-expanding 6 mm FlexStents (Cordis) in an overlapping fashion, measuring 380 mm in length, extending from the left distal SFA all the way up to the left SFA ostium at the level of the CFA (Figure 6). We performed final balloon angioplasty to expand the stent struts with a 5 mm x 220 mm Savvy balloon (Cordis). Final angiography showed excellent results with good distal flow (Figure 7).
Upon completion of revascularization, the 7 Fr Flexor Check-Flo Raabe sheath was exchanged for a short 7 Fr sheath. The 4 Fr left DP sheath was removed and manual pressure was held to secure hemostasis. Assisted hands-free compression devices, such as the HemoBand (HemoBand Corp), can be easily and precisely adjusted for patient comfort. He was monitored overnight and discharged the next day on dual antiplatelet therapy.
Discussion
Atherosclerotic PAD results in significant morbidity and mortality. The natural history of PAD has two major sequelae: 1) limb complications (non-healing wounds, ulcers, gangrene, and loss of a limb) and 2) risk for stroke and/or heart attack. Critical limb ischemia (CLI), a harbinger of the above-mentioned limb complications, is primarily a disease of advanced atherosclerosis, but may occur in the setting of other causes. It is essential for the treating physician to understand the complexity of patients with CLI, and the appropriate and emerging treatment approaches, to restore vascular supply in this patient population.
Patients with CLI have significant rates of amputation. However, percutaneous options exist for most of these patients. Prior to amputation, patients should be evaluated for PAD and treated with percutaneous revascularization if possible. Limb salvage continues to be a challenge when treating patients in whom the traditional ipsilateral antegrade or contralateral cross over approach (up-and-over iliac bifurcation technique) fails. In these cases, more recently, pedal access approaches utilizing the dorsalis pedis, posterior tibial, or even peroneal arteries, most difficult of the three, have been used. We summarize the advantages and disadvantages below. 4,5,6
Advantages of tibiopedal access
- Small diameter of tibial vessels may help to increase the successful crossing of catheter or wire through occlusion.
- Less likelihood of entering side branch or collateral.
- The most difficult portion of the occlusion is the proximal cap; the distal cap is often softer and less difficult.
- In cases of occluded short segment tibial or popliteal arteries, the pedal approach may offer a shorter arterial segment to cross with balloons, catheters, and stents than traditional ipsilateral or contralateral approaches.
- Useful in cases in which vessel size precludes use of embolic protection devices during antegrade or retrograde femoral approaches.
- May have safety potential in obese patients in whom a groin approach may not be feasible or who cannot be turned to a prone position for popliteal access.
- May have a role in patients having a hostile or infected groin in which conventional intervention is not feasible.
- Shortened procedure time, since patient need not be flipped over.
The size of tibial vessels poses the biggest challenge for the peripheral Interventionalist and access via duplex ultrasound guidance is recommended to achieve successful access because multiple attempts may contribute to significant bleeding, nerve compression or even compartment syndrome. Using this method, the probe should be placed in the first metatarsal space. Presence of a Doppler signal can prove useful to obtain access with a front wall puncture with a micropuncture needle.
Potential disadvantages of tibiopedal access
- Small-diameter vessels are prone to spasm and dissection.
- Vessels are often calcified.
- Approach near the ankle may cause significant difficulty in sheath passage, because of the sharp angulations.
- Long procedure time and excess contrast use.
- If a pedal artery is the last remaining infrapopliteal vessel, it should not be damaged, in order to avoid jeopardizing future femoral-to-infrapopliteal bypass chances.
Patient position can be problematic, but pedal access can usually be accomplished with the patient in the supine position. When attempting to use the dorsalis pedis approach, the foot should be placed in the dorsiflexion position; supination of the foot may be required in cases using a posterior tibial artery approach. At times, due to smaller vessel size, the use of smaller sheaths and catheters, based on 0.014-inch or 0.018-inch systems, is advisable.
Current status of the tibiopedal approach
Case reports have indicated the feasibility of retrograde pedal artery access for below-the-knee percutaneous revascularization. Others have reported feasibility of the transpedal approach to cross occluded dorsalis pedis and paramalleolar posterior tibial arteries, which are considered a rare atherosclerotic pattern in the crural arteries. These investigators achieved complete infrapopliteal recanalization and wound healing. 4,5,6,7,8
In recent studies, pedal access was attempted after the antegrade route was deemed unsuccessful in patients with CLI. All patients had occlusive lesions. Pedal access was successful in 96% of the patients, 54% via anterior tibial approach, 45% via posterior tibial approach and < 1% via peroneal access. They reported no access failures in vessels with a diameter > 1.5 mm by quantitative angiograms. In 93% of patients with successful pedal access, micro catheters, small-profile balloons, and 0.014- or 0.018-inch systems were used with definitive therapy accomplished from femoral access.9, 10, 11
CTO reentry
The technique of subintimal angioplasty has been in use for over two decades. The procedure is well tolerated with a low complication rate and is comparable to conventional angioplasty with high success rates (74-92%) and reported long-term patency rates are variable but patency rates can be as high as 64% at 5 years.5 The procedure of subintimal angioplasty has evolved with recent developments that include devices to aid reentry back into the true lumen and stent technology to assist long-term patency rates.
Re-entering the lumen in a favorable location may be problematic when there is significant disease and/or heavy calcification in the vessel. The guide wire will sometimes re-enter the true lumen when it again encounters normal patent vessel. Successful reentry into the lumen is usually heralded by a loss of resistance to the wire, which will move freely into the true lumen. This can be confirmed under angiography.
Reentry devices and snares
After crossing the CTO segment, wires are often subintimal and it is imperative to reenter the true lumen in the normal reconstituted segment beyond the distal cap. If balloon angioplasty has created sufficient luminal fractures, then the antegrade or retrograde wires may be manipulated to enter the true lumen via the fracture planes. A variety of different wires often used before success is achieved. If wires do not enter the true lumen despite multiple attempts, reentry devices should be considered. Earlier generation devices included the Pioneer (Medtronic) and the Outback (Cordis). A newer device is the Enteer system (Covidien).
After entering the true lumen, the wire should be exteriorized through the sheath at the other end to establish a rail. Once the rail is established, devices such as balloons and stents can be advanced through the larger lumen CFA sheath. Often snares are essential to facilitate exteriorization of the wire. The cases presented in this article did not involve the use of snares. However, it is important to have the skills to use different types of snares to achieve success. The Ensnare (Merit) and Gosseneck (Covidien) snares are commonly used.
Financial aspects
Preventing amputations can potentially save patient lives and improve quality of life. However, the current reimbursement structure does not adequately compensate for these complex and time-consuming procedures. Moreover, physicians and staff are exposed to higher amounts of radiation. Coordinated efforts must be made to rectify this reimbursement anomaly, since there are major cost benefits from treating critical limb ischemia.
Summary
Pedal access is a relatively recent innovation for peripheral vascular interventions. It is a feasible approach with potential immediate benefits that may increase its utilization. However, there is a learning curve involved with this interventional approach, and we will continue to gain further understanding of its ideal uses in the time to come. The retrograde tibiopedal approach is superior to the popliteal approach, since it does not involve turning the patient from supine to prone position.
Our results show that percutaneous transluminal angioplasty (PTA) is feasible as a primary invasive treatment for distal SFA and infra-popliteal atherosclerotic occlusive lesions in patients with chronic CLI. This technique enables us to achieve more successful revascularization and limb salvage with lower complication rates.
Disclosures: Reynaldo M. Grullon and Dr. Vijaykumar S. Kasi have no conflicts of interest regarding the content herein. Dr. Aravinda Nanjundappa is a paid consult to Cook Medical.
This article received a double-blind peer review from members of the Cath Lab Digest editorial board.
About the author. Reynaldo M. Grullon, BSN, RN, is a graduate from Niagara University, NY, a registered nurse with over 20 years of critical care, emergency room, and cardiac cath lab experience. He is author of more than 10 peer-review articles and a U.S. Army Nurse Corps veteran. Reynaldo was awarded the 2001 Office Nurse of the Year Award for Clinical Excellence by the American Association of Office Nurses (AAON) for innovative education and leadership in Office Nursing. He may be reached at reygrullon@gmail.com.
About the physicians that performed the case.
Vijaykumar S. Kasi, MD, PhD, FACC, is board-certified in Interventional Cardiology and Vascular Medicine. He is the Director of Cardiovascular Research and the Site Director of the Interventional Cardiology fellowship training program at Orlando Health. He may be reached at vijaykasimd@gmail.com
Aravinda Nanjundappa, MD, RVT, is an Associate Professor of Medicine and Surgery, Division of Vascular Surgery at Robert C. Byrd Health Sciences Center, West Virginia University, Charleston, WV. Recipient of numerous teaching and research awards and grants, he is the author of more than 60 peer-review journal articles and textbook chapters. A frequent national and international guest lecturer, he serves on the editorial boards of several journals. He may be reached at dappamd@yahoo.com.
Acknowledgements. The authors thank Gretchen Stonko, RT(R)(ARRT), Casey Ford CVT, RCIS, Cath Lab Manager, Health Central Hospital, and Shane Doney, District Manager Cook Medical, for helping us with case materials and editing.
References
- Dieter RS, Nanjundappa A. Pedal artery access for critical limb ischemia. Vascular Disease Management. 2011 Nov. Available online at https://www.vasculardiseasemanagement.com/content/pedal-artery-access-critical-limb-ischemia. Accessed September 23, 2013.
- Mousa AY, Dieter RS, Nanjundappa A. Anatomy of the pedal arch and implications for tibiopedal access: an overview of anatomical characteristics and access options for challenging CLI cases. Endovascular Today 2012 Jan; [suppl]:S3-S5. Available online at https://evtoday.com/2012/01/supplement/anatomy-of-the-pedal-arch-and-implications-for-tibiopedal-access/. Accessed September 23, 2013.
- Nanjundappa A, Blankenship B, Kathari P, Bernardo NL, Khatib Y, Mousa AY, Dieter RS, Mustapha JA. Transpedal artery access for tibiopedal lesions. Tools and techniques for achieving revascularization. Endovascular Today 2012 Jan; [suppl]:S6-S8. Available online at https://evtoday.com/2012/01/supplement/transpedal-artery-access-for-tibiopedal-lesions/. Accessed September 23, 2013.
- Houlind K, Christensen J. The role of the angiosome model in treatment of critical limb ischemia. In: Artery Bypass. Aronow WS, ed. New York, NY: InTech; 2013. Available online at https://www.intechopen.com/books/artery-bypass. Accessed September 23, 2013.
- Glasby MJ, Markose G, Bolia A. Subintimal angioplasty. Controversies and Consensus in Imaging and Intervention (C2I2) 2008;6(1):12-16. Available online at https://c2i2.digithalamus.com/vol_vi_issue_1/subintimal_angioplasty.asp. Accessed September 23, 2013.
- DeRubertis BG, Faries PL, McKinsey JF, Chaer RA, Pierce M, Karwowski J, et al. Shifting paradigms in the treatment of lower extremity vascular disease: a report of 1,000 percutaneous interventions. Ann Surg. 2007 Sep; 246(3): 415-422; discussion 422-424.
- Fusaro M, Tashani A, Mollichelli N, Medda M, Inglese L, Biondi-Zoccai GG. Retrograde pedal artery access for below-the-knee percutaneous revascularisation. J Cardiovasc Med (Hagerstown). 2007 Mar; 8(3): 216-218.
- Ruzsa Z, Pintér L, Kolvenbach R. Retrograde transpedal stenting of the tibioperoneal trunk in critical limb ischemia. Catheter Cardiovasc Interv. 2012 Dec 1; 80(7): 1105-1111. doi: 10.1002/ccd.23427.
- Downer J, Uberoi R. Percutaneous retrograde tibial access in the endovascular treatment of acute limb ischaemia: a case report. Eur J Vasc Endovasc Surg. 2007 Sep; 34(3): 350-352.
- Pompliano MJ, Adams Gl. Retrograde approach to crossing CTOs in the setting of CLI. An exotic and technically challenging approach that can save lives and limbs. Endovascular Today 2012 Nov: 46-48. Available online at https://evtoday.com/2012/11/retrograde-approach-to-crossing-ctos-in-the-setting-of-cli/. Accessed September 23, 2013.
- Tsetis D, Belli AM. The role of infrapopliteal angioplasty. Br J Radiol. 2004 Dec; 77(924): 1007-1015.
In memoriam.
Theodore “Ted” Kashouty,
February 18, 1956 – February 19, 2010
Health Central Hospital Heart & Vascular Institute Director from 2004 - 2010.
“A bright light extinguished far too early.”


