An Interesting Transcatheter Aortic Valve Replacement (TAVR) Case: A Valve-in-Valve Procedure
Introduction
Transcatheter aortic valve replacement (TAVR) has become a viable alternative to traditional open heart surgery in individuals who have severe aortic valve stenosis and are of high or prohibitive surgical risk.1 Since U.S. Food and Drug Administration (FDA) approval for the TAVR procedure in this subset, many institutions across the nation have started to perform the TAVR procedure in patients with severe native aortic valve stenosis who previously had no mechanical options for the treatment of their disease.
The use of TAVR as a valve-in-valve procedure for treating diseased bioprosthetic aortic valves has been described in the literature.2,3 Even though it is considered off label, the minimally invasive nature of TAVR coupled with the sicker patient subset being encountered in daily practice has the potential to make the valve-in-valve procedure a very attractive treatment modality for those with progressive disease in previously placed biprosthetic valves who are too high risk for re-do surgeries. We present a representative case below.
Case presentation
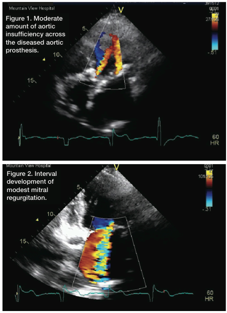
The patient is an 88-year-old female who had previous aortic valve replacement (AVR) and coronary artery bypass graft surgery in 2003. At that time, she underwent three-vessel bypass (with an internal mammary to the left anterior descending, a vein graft to the obtuse marginal system, and a vein graft to the right posterior descending artery), and had AVR with a 21-mm Perimount bioprosthesis (Baxter Healthcare, now Edwards Lifesciences). Over the last year, she had developed progressive dyspnea. Echocardiograms performed over this time period revealed preserved left ventricular (LV) function with deterioration of her aortic bioprosthesis. Her bioprosthetic valve had developed progressive restenosis and had also started to develop a moderate amount of aortic insufficiency.
The patient also has a history of oxygen-dependent chronic obstructive pulmonary disease, hypertension, and previous pacemaker implantation due to sick sinus syndrome. Her calculated risk of mortality for a re-do sternotomy and AVR was estimated at about 22%, and due to her high risk of mortality and her frailty, she was felt to be a poor candidate for a repeat open heart surgery.
Recently, she was admitted to our local hospital with a syncopal event. Her functional status also had declined to a New York Heart Association functional class III status at baseline. Her echocardiogram revealed deterioration in LV function, with an ejection fraction of about 35-40%, and she also was found to have a modest amount of mitral regurgitation in addition to her severely diseased aortic valve bioprosthesis (Figures 1-2). Coronary angiography was performed, and her bypasses were seen to be patent, with no evidence of progressive disease elsewhere.
Due to progressive deterioration in her quality of life, the patient wanted to see if any treatment options were possible. Factors that made her treatment complicated were the progressive decline in LV function, and the uncertainty about how much functional benefit she would derive from replacing her aortic valve, now given the fact that her symptoms may be attributable to her modest mitral regurgitation. There also was uncertainty regarding how much regression of mitral regurgitation we would see if we were to consider replacing her aortic valve. Clearly, the patient was felt to be too high risk for a surgical AVR with the possibility of a mitral valve replacement as well. From a percutaneous standpoint, her peripheral anatomy was challenging, as both external iliac arterial systems demonstrated modest calcification with maximal diameters of about 7.5 millimeters (mm) by intravascular ultrasound analysis.
After discussions with the patient and her family, we decided to proceed with an attempt at TAVR. Our hope was that replacing her diseased aortic valve would eliminate the outflow obstruction, and would also eliminate her aortic regurgitation. By doing such, we were hoping to see some mitigation in her LV dilatation, which may, in effect, decrease her mitral regurgitation.4
Peripheral access was gained with retroperitoneal exposure of the left common iliac artery and the attachment of a 10 mm graft conduit, as the trans-apical approach to TAVR has not yet been FDA approved for utilization in the commercial setting. Subsequently, a 22 French delivery system was inserted through the conduit into the thoracic aorta. Balloon aortic valvuloplasty was performed with a 20 mm Z-Med balloon (NuMED). A 23 mm Sapien valve (Edwards Lifesciences) was prepped in the standard fashion. However, 1
milliliter (mL) was taken out of the balloon on which the valve was mounted, because we were planning to place a 23 mm Sapien valve in the strut of a previously placed 21 mm prosthesis. The Sapien valve was then delivered through the 22 French delivery system and across the bioprosthetic aortic valve, utilizing the RetroFlex delivery system (Edwards Lifesciences). Care was made to position it so that the distal end of the Sapien valve was about 2 mm ventricular to the sewing ring of the previously placed aortic bioprosthesis (Figure 3). Under rapid pacing, the Sapien valve was deployed (Figures 4-5). Immediately post deployment, the aortic insufficiency was completely abolished, and peak velocity across the aortic valve was about 1 m/sec, with a peak velocity of about 3 m/sec at the beginning of the procedure.
The patient was recovered and extubated in the hybrid operating suite. Her hemodynamics were stable overnight. On post-operative day 1, she was ambulating, with improvement in dyspnea. An echo obtained twenty-four hours post procedurally was remarkable, with complete abolishment of the previously seen aortic regurgitation, and more surprisingly, near complete abolishment of the mitral regurgitation (Figures 6-7). LV size also appeared smaller and function had improved, with an ejection fraction of about 45%. The patient was uneventfully discharged from the hospital by post-operative day 4.
Discussion
TAVR has become accepted as a treatment for severe native aortic valve stenosis in individuals who are too high risk for surgical aortic valve replacement. The valve-in-valve procedure, although considered off label, is a very unique application of TAVR that will allow for more treatment options in individuals with severely diseased bioprosthetic aortic valves. A large percentage of the population with previous sternotomy and valve replacement are inherently considered high risk for a re-do sternotomy and surgical procedure.5,6 There have been well-documented case reports of the valve-valve procedure in the aortic, as well as mitral, tricuspid, and pulmonic positions.2,3
The key to success with the valve-in-valve procedure is having a thorough understanding of the design of the previously placed valve and its fluoroscopic characteristics. Without this knowledge, the procedure can become dangerous, as precise positioning of the newly placed prosthesis becomes crucial to ensure its stability. Positioning of the new valve ideally should be done such that the distal end of the newly placed valve sits about 1-2 mm ventricular to the sewing ring of the previously placed valve.3 This will ensure adequate seating and stabilization of the new prosthesis. Positioning the new valve either at the level of or aortic to the sewing ring of the previously placed valve may cause instability of the newly placed valve and may increase the risk of valve embolization. It is also important to realize that the valve-in-valve procedure may not allow for adequate expansion of the newly placed prosthesis, as the internal diameter of the bioprosthetic strut and the relatively stiff sewing ring is more rigid than a native aortic valve and its accompanying annulus. This will potentially protect from annular rupture, heart block, and coronary occlusion. However, post procedural gradients for the valve-in-valve procedure of nearly 20 mm Hg are not uncommon, whereas in a native TAVR case, post procedural gradients are usually within 10 mm Hg.3 Since no long-term data exists on the results of the valve-in-valve procedure, it is important to realize that this should be reserved for patients who cannot undergo re-do open heart surgery, as gradients of this magnitude may not be acceptable in those with potentially longer survival rates.
Conclusion
TAVR has opened up a new frontier of treatment of valvular heart disease. With upcoming refinements in technology, this treatment modality has potential to have widespread applications for use in native as well as previously placed valves. This will be of paramount importance, as we will have to be able to treat complex cardiac disease in an aging population that will be considered too high risk for the traditional surgical approaches that are currently offered.
Dr. Umakanthan can be contacted at bumakanthan@yahoo.com.
References
- Leon MB, Smith CR, Mack M, Miller DC, Moses JW, Svensson LG, Tuzcu EM, Webb JG, Fontana GP, Makkar RR, Brown DL, Block PC, Guyton RA, Pichard AD, Bavaria JE, Herrmann HC, Douglas PS, Petersen JL, Akin JJ, Anderson WN, Wang D, Pocock S; PARTNER Trial Investigators. Transcatheter aortic-valve implantation for aortic stenosis patients who cannot undergo surgery. N Engl J Med 2010; 363: 1597-1607.
- Bapat V, Mydin I, Chadalavada S, Tehrani H, Attia R, Thomas M. A guide to fluoroscopic identification and design of bioprosthetic valves: a reference for valve-in-valve procedure. Catheter Cardiovasc Interv 2012 Mar 19. doi: 10.1002/ccd.24419. [Epub ahead of print].
- Gurvitch R, Cheung A, Ye J, Wood DA, Willson AB, Toggweiler S, Binder R, Webb JG. Transcatheter valve-in-valve implantation for failed surgical bioprosthetic valves. J Am Coll Cardiol 2011; 21: 2196-2209.
- Eynden FV, Bouchard D, El-Hamamsy I, Butnaru E, Demers P, Carrier M, Perrault LP, Tardif J, Pellerin M. Effect of aortic valve replacement for aortic stenosis on severity of mitral regurgitation. Ann Thorac Surg 2007; 83: 1279-1284.
- Akins CW, Buckley MJ, Daggett WM, Hilgenberg AD, Vlahakes GJ, Torchiana DF, Madsen JC. Risk of reoperative valve replacement for failed mitral and aortic bioprosthesis. Ann Thorac Surg 1998; 65: 1545-1551.
- Jaussaud N, Gariboldi V, Giorgi R, Grisoli D, Chalvignac V, Thuny F, Riberi A, Colart F. Risks of reoperation for aortic bioprosthesis dysfunction. J Heart Valve Dis 2009; 18: 256-261.


