Complications of Transradial Catheterization Series: Radial Perforation
Case report
A 63-year-old female was referred for cardiac catheterization because of persistent exertional chest pain despite normal nuclear stress testing. Her risk factors included hypertension, borderline diabetes, and dyslipidemia.
The right radial artery (RA) was utilized for access. After injecting intradermal local anesthesia,
the RA was punctured with a 21-gauge needle, a 0.018” guidewire was introduced, and a 10-centimeter (cm), 6-French (Fr) hydrophilic-coated sheath was placed. Resistance was felt on advancement of the 0.035-inch J-tip wire through the sheath at the proximal forearm level. While advancing a 0.035-inch hydrophilic steerable wire, an iatrogenic perforation occurred and was confirmed by radial arteriography (Figure 1). The following technique was used to treat the perforation.
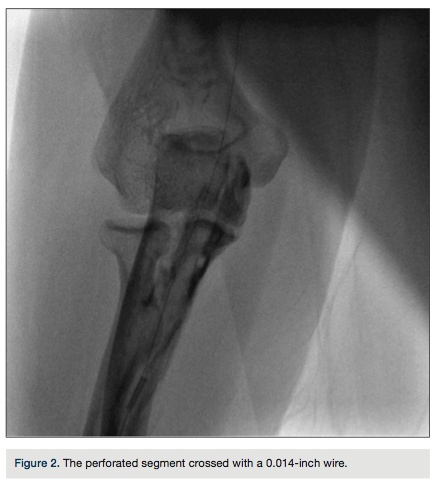
A 0.014-inch percutaneous transluminal coronary angioplasty wire was tactfully and carefully advanced through the area of perforation under fluoroscopic guidance (Figure 2). A diagnostic
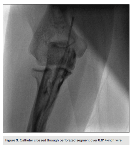
catheter was inserted up to the proximal axillary artery over the wire (Figure 3). The wire was exchanged for a 0.035-inch, 260-cm long wire through the catheter. During left heart catheterization, this wire maintained position in the ascending aorta to exchange the catheters. The patient received 50 units/kg of unfractionated heparin during the procedure. Diagnostic coronary angiography demonstrated normal coronary arteries with mild luminal irregularities. The procedure was completed through the same RA access obtained at the beginning of the procedure. At the end of the left heart catheterization, the catheter was pulled
back over the wire just distal to the perforated segment, and a radial arteriogram was performed while slowly retracting the catheter (Figure 4).
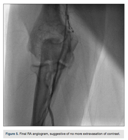
A RA arteriogram at the completion of the procedure showed no extravasation of contrast (Figure 5). A hemostatic transparent band was applied at the radial access site for 1 hour while following a patent hemostasis protocol. The patient did not have a hematoma or residual local pain. The patient was re-evaluated with a reverse Allen’s test on the thirtieth day after the procedure with evidence of intact RA flow.
Discussion
Transradial access to perform diagnostic and therapeutic procedures has increased in popularity
due to technological advances and improved physician experience. Recent evaluation of the American College of Cardiology’s National Cardiovascular Data Registry (ACC-NCDR) database showed a 5-year increase in transradial primary percutaneous coronary intervention in the United States, from 0.9% to 6.4%.1 In randomized controlled trials for cardiac catheterization, radial access, when compared to either brachial or femoral access, was deemed the safest.2
One of the rare complications of transradial catheterization is perforation of the radial artery or a branch off the radial artery. Perforation can happen in forearm or in arm when the radial artery is
originating from axillary artery. Frequently, this iatrogenic perforation of the RA is secondary to the tortuous course of the RA. Rate of RA perforation reported in the literature varies. It has been reported in <0.1% to 1% of the transradial catheterizations.3-4 Different techniques, variation in reporting, or level of experience of the operator and lab can explain this wide range. If left undetected and untreated, RA perforation may lead to serious access site complications, including forearm hematoma or compartment syndrome. This may require urgent fasciotomy and can have permanent residual sequelae of the complication.
Based on our experience, following are tips for safe practice and management options should a radial artery perforation occur:
- Always feel for any tactile resistance while advancing the wire through the radial anatomy.
- Whenever the patient complains of severe pain while advancing the wire, perform a radial angiography.
- RA angiogram should be performed whenever resistance is encountered, at least early in your experience. The next step is to use an angled, hydrophilic, steerable 0.035-inch wire under fluoroscopy guidance.
- If a complex loop or tortuosity is present, another option is to use a 0.018-inch hydrophilic shapeable/steerable wire or a standard 0.014-inch angioplasty wire.
- Manual compression was suggested in the past, but has two major limitations: 1) prolonged manual RA compression over a perforated segment may increase RA occlusion rates and 2) when a tight compression bandage is applied, the exact compression of the perforation branch against the bone cannot be confirmed, which can lead to continuous bleeding in the fascial plane. The increasing fascial pressure against the outside compression bandage can increase the risk of compartment syndrome.
- The technique we describe herein effectively deals with the perforation, because when irritated, the RA spasms down onto installed sheaths or catheters. The catheter itself works as an internal homeostatic device and iatrogenic perforations are sealed within few minutes. We published a case series with 100% success in sealing a perforation using the described technique.5 After crossing the perforated segment with a 0.014-inch or 0.018-inch wire, a 4 Fr hydrophilic catheter or 0.035-inch crossing catheter can be used to cross the perforated segment.
- Post-procedure surveillance of patent hemostasis every 15-30 minutes until the radial compression band is removed also aids in detecting complications.
Disclosure: The authors report no conflicts of interest regarding the content herein.
The authors may be contacted via Dr. Kintur Sanghvi at sanghvik@deborah.org.
References
- Baklanov DV, Kaltenbach LA, Marso SP, Subherwal SS, Feldman DN, Garratt KN, et al. The prevalence and outcomes of transradial percutaneous coronary intervention for ST-segment elevation myocardial infarction: analysis from the National Cardiovascular Data Registry (2007 to 2011). J Am Coll Cardiol. 2013 Jan 29; 61(4): 420-426. doi: 10.1016/j.jacc.2012.10.032.
- Kiemeneij F, Laarman G, Odekerken D et al. A randomized comparison of percutaneous transluminal coronary angioplasty by the radial, brachial and femoral approaches: the access study. J Am Coll Cardiol. 1997; 29(6): 1269-1275.
- Hildick-Smith DJ, Lowe MD, Walsh JT, Ludman PF, Stephens NG, Schofield PM, et al. Coronary angiography from the radial artery — experience, complications and limitations. Int J Cardiol. 1998 May 15; 64(3): 231-239.
- Calviño-Santos RA, Vázquez-Rodríguez JM, Salgado-Fernández J, Vázquez-González N, Pérez-Fernández R, Vázquez-Rey E, Castro-Beiras A. Management of iatrogenic radial artery perforation. Catheter Cardiovasc Interv. 2004 Jan; 61(1): 74-78.
- Patel T, Shah S, Sanghavi K, Pancholy S. Management of radial and brachial artery perforations during transradial procedures — a practical approach. J Invasive Cardiol. 2009 Oct; 21(10): 544-547.


