A Complex Procedure via a Transradial Transcollateral Approach
Indications
The patient is a 78-year-old gentleman with a history of hypertension, chronic obstructive pulmonary disease (COPD), remote tobacco use, and laminectomy. He complained of shortness of breath on exertion. He underwent a pharmacologic stress test (Lexiscan Myoview) demonstrating an injection fraction of 51%, elevated transient ischemic dilation (TID) score and inferior wall hypokinesis with moderate ischemia. In addition, outpatient 24-hour Holter monitoring demonstrated multiple runs of nonsustained ventricular tachycardia (NSVT). The patient was referred by his primary cardiologist for diagnostic angiography and evaluation.
The right radial artery was prepped and draped in sterile fashion. The right radial artery was accessed with a 5 French (Fr) Terumo Glidesheath. A Judkins left (JL) 3.5 catheter was used to engage the left coronary system and a Judkins right (JR) 4 to engage the right coronary system and to perform ventriculography.
Angiographic findings
Left main: The left main is calcified. It is patent. It bifurcates into the left anterior descending coronary artery and circumflex artery.
Left circumflex (LCX): The LCX is calcified. It is patent. It gives rise to the atrioventricular (AV) groove with a large obtuse marginal that bifurcates.
Left anterior descending coronary artery (LAD): The LAD is a calcified vessel. There is approximately 40% proximal/mid stenosis involving the first septal. The remaining mid and distal LAD has mild luminal irregularities, with a mid 30%-40% stenosis.
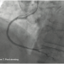
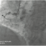
Right coronary artery (RCA): The RCA is 100% occluded. It is diffusely diseased in its proximal and mid portion with mid 100% occlusion. There is evidence of left to right collaterals.
Ejection fraction: 50 to 55%, with some mild inferior wall hypokinesis.
Interventional procedure
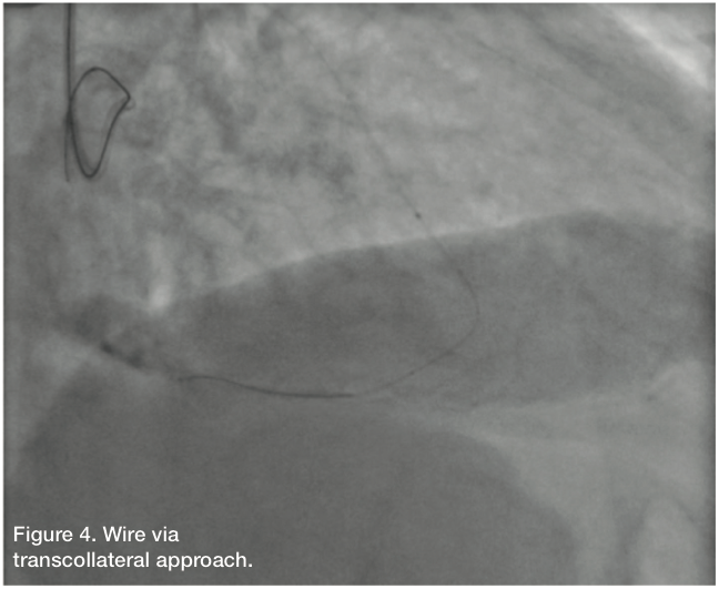
Giving the patient’s angiographic findings, we elected to intervene on the RCA. We upsized the sheath to a 6 Fr Glidesheath in the right radial artery and used an Amplatz left (AL) 1 guide catheter to engage the RCA. We accessed the left radial with a 5 Fr for a contralateral injection and used a 5 Fr JL4 guide catheter from the left radial. Bivalirudin (Angiomax, The Medicines Company) was administered, and using a 1.25 mm over-the-wire balloon and an Asahi Fielder wire (Abbott Vascular), we attempted to navigate the RCA. The wire kept deflecting into a side branch, although there seemed to be, at least on initial angiography, a “beak.” The wire continued to deflect into a side branch. Additional wires were then used, including a Pilot 150 wire (Abbott Vascular) and a Miracle Bros 3 wire (Abbott Vascular), both of which were unsuccessful. At this time, we elected to attempt a retrograde approach via a transcollateral. Left to right collaterals from the circumflex appeared to offer the most direct path. We wired into the LCX artery, but there was poor visualization trying to inject around the 5 Fr sheath. Therefore, we pulled everything, and upsized to a 6 Fr JL4 guide catheter.
Using a Fielder wire and a 1.25mm balloon, we attempted to cross through the septal. However, we could not find an adequate collateral via selective injection of the septal. We then went back to the circumflex artery using a Pilot wire and a 1.25mm Sprinter balloon (Medtronic). Initial attempts were unsuccessful; however, after selective injection through the balloon, an ideal channel was located and successfully navigated. In an attempt to advance the balloon, the guide and guidewire popped out, secondary to poor guide support. We were able to recross into the distal posterior descending artery (PDA). This was confirmed by selective angiogram after advancing the 1.25mm balloon through the collateral into the distal RCA. We exchanged for a Miracle Bros wire and tried to navigate the RCA in retrograde fashion. This was unsuccessful. We then took a Pilot wire, and with the Pilot 200, we were able to navigate the RCA in retrograde fashion. We snared the wire and externalized it in the right radial artery. This did result in fracture of the distal wire tip while trying to externalize it. However, the fracture took place in the right radial sheath and was easily managed.
At this point, over the soft end of the wire, we were able to advance a 1.5 x 15 mm balloon and predilate the proximal RCA. Despite predilation, we were unable to advance a retrograde wire (Terumo Runthrough) but could not advance it in a retrograde manner. We then tried to rewire with a Runthrough wire in antegrade fashion, but were unsuccessful. Repeat predilation was performed with unsuccessful antegrade wiring. The Amplatz guide was changed out for a 6 Fr JR4 with side holes, as we thought that perhaps the Amplatz was deeply engaged in a dissection, preventing luminal passage. At this point, we still had the soft end of the wire externalized from the right radial and the back end of the wire externalized through the left radial artery. We took a 1.5 x 20mm Rx balloon (Boston Scientific) and went from the left radial via the collateral in a retrograde fashion to predilate the vessel again. The vessel was predilated from distal to proximal. After proximal dilation, the patient dropped his pressure. There was concern about a possible perforation at this point. Injection of the left demonstrated good flow; however, there was not good flow in the right. The RCA system showed a dissection in what was the proximal portion of the right, but no staining.
The patient was initially started on Levophed and dopamine. Considering the issues at hand, we discontinued anticoagulation and terminated the case. The echo demonstrated no evidence of a pericardial effusion; however, given the duration of the procedure, it was decided to stop the case and reattempt at a later date. The remaining hospital course was uncomplicated, and the patient was discharged home and brought back four weeks later for a repeat attempt.
Repeat attempt
Four weeks later, the patient presented for elective revascularization of the RCA. The right radial artery was prepped and draped in sterile fashion. The right radial artery was accessed with a 6 Fr Glidesheath using Doppler guidance, as the pulse was not very palpable. The left radial artery was accessed with a 6 Fr Glidesheath in anticipation of doing dual injections.
Angiographic findings
The RCA had a proximal 99% stenosis with an obvious dissection. The remaining proximal to distal RCA was diffusely diseased, 70 to 80%. We used a 6 Fr AL 0.75 guide with side holes.
Interventional procedure
The patient’s angiographic finding demonstrated a degree of patency, a result of the previous retrograde balloon dilation of the RCA. We changed to an Amplatz right (AR) Mod guide catheter, because the AL 0.75 was engaging the dissection too deeply and would not allow us to steer our wire in the desired direction. Using a Fielder wire and a 1.25 mm balloon, we were able to cross, and advance the balloon and wire distally into the PDA and exchange out for an Iron Man support wire (Abbott Vascular). After removal of the 1.25 balloon (Medtronic), we predilated with a 2.0 x 15 Apex catheter (Boston Scientific). This was then followed by a 2.5 x 15mm AngioSculpt (Angioscore) to predilate the mid and distal RCA. Intravascular ultrasound (IVUS) (Volcano) showed that the vessel was actually about 3.0 mm in the distal and mid portion, with a dissection clearly noted in the proximal portion. The vessel was about 4.0 mm proximally. We took a 3.0 x 30 mm Resolute (Medtronic) drug-eluting stent and deployed it from the distal to mid RCA. The Resolute was overlapped with another 3.0 x 30 mm Resolute, and then a 3.5 x 26 mm Resolute, going all the way back to the proximal RCA, but not involving the ostium. All stents were post dilated with Quantum balloons at high pressure. Stent size and apposition was confirmed by IVUS. Final angiography revealed TIMI-3 flow without dissection, perforation, or embolization. The patient had an uncomplicated hospital course and was discharged home the next morning.
Discussion
Despite recent technological advances in equipment, unsuccessful crossing of chronic total occlusions (CTOs) still occurs. Alternative approaches such as the retrograde or transcollateral approach have proven successful. The technique has been refined over the years, with improved techniques and equipment increasing success rates.1-3 While a full exploration of the retrograde approach is beyond the scope of this discussion, we will share some practical tips.
Commonly, the femoral approach is preferred for chronic occlusions. This is partly due to concerns about guide support from the radial approach, as well as sizing limitations and operator preference. With experienced radial operators, the success rate of complex procedures has been shown to be equivalent to the femoral approach.4-5 In addition, concerns regarding guide support can often be overcome with selection of a more aggressive guide or dedicated radial guide, as well as adjunctive techniques (anchor, wire trapping, etc.).
Dedicated CTO wires (Miracle Bros, Fielder, etc.) and equipment (microcatheters or low-profile balloons) should be available to increase the chances of successful crossing. One must also carefully study the angiograms to select an ideal collateral for crossing. In general, septal collaterals are safer than epicardial collaterals. They may offer a more direct path and can be predilated with less concern for complications should there be a perforation, as they are intramuscular. Crossing is then performed in either a retrograde manner or combined retrograde/antegrade fashion, with subsequent use of the controlled antegrade and retrograde subintimal tracking (CART) technique or reverse CART technique.
Once the lesion is crossed, either the retrograde wire is externalized or wiring can be performed in an antegrade manner. The procedure can then be completed. Retrograde stent delivery has been described6-7, but usually requires predilation of the collateral. Potential complications include dissection or thrombosis of the donor artery, and collateral or vessel perforation or dissection. This could result in ischemic complications, if it is the sole collateral channel. Equipment entrapment is an additional concern that may require emergent surgery for removal. In addition, traditional concerns such as radiation injury, contrast nephropathy, access site complications and stent loss also exist.
As with any case, one must know when to stop (“know when to hold ’em and know when to fold ‘em”). In this case, there was initial concern about a perforation. As it turned out, there was none; however, at that point, there was considerable contrast use and fluoro time involved. It was felt that the patient would be better served by a repeat attempt at a later date, particularly since we identified the ideal collateral pathway and were able to successfully recross it after changing guides. Fortunately, the patient maintained some degree of vessel patency as result of previous retrograde dilation and the second procedure was completed in approximately 30 minutes.
Orlando Marrero can be contacted at orlm8597@yahoo.com. Dr. Zaheed Tai can be contacted at zaheedtai@gmail.com.
References
- Rathore S, Katoh O, Matsuo H, Terashima M, Tanaka N, et al. Retrograde percutaneous recanalization of chronic total occlusion of the coronary arteries: Procedural outcomes and predictors of success in contemporary practice. Circ Cardiovasc Interv 2009;2:124-132.
- Biondi-Zoccai GG, Bollati M, Moretti C, Sciuto F, Omede P, Lombardi P, Previ GP, Sheiban I. Retrograde percutaneous re- canalization of coronary chronic total occlusions: outcomes from 17 patients. Int J Cardiol 2008;130:118-120.
- Sianos G, Barlis P, Di Mario C, Papafaklis MI, Buttner J, et al. European experience with the retrograde approach for the recanalisation of coronary artery chronic total occlusions. A report on behalf of the euroCTO club. EuroIntervention 2008;4:84-92.
- Watt J, Oldroyd KG. Radial versus femoral approach for high-speed rotational atherectomy. Catheter Cardiovasc Intervent 2009;74:550-554.
- Weaver AN, Henderson RA, Gilchrist IC, Ettinger SM. Arterial access and door-to-balloon times for primary percutaneous coronary intervention in patients presenting with acute ST-elevation myocardial infarction. Catheter Cardiovasc Intervent 2010;75:695-699.
- Utunomiya M, Katoh O, Nakamura S. Percutaneous coronary intervention for a right coronary artery stent occlusion using retrograde delivery of a sirolimus-eluting stent via a septal perforator. Catheter Cardiovasc Interv 2009;73:475-480.
- Bansal D, Uretsky BF. Treatment of chronic total occlusion by retrograde passage of stents through an epicardial collateral vessel. Catheter Cardiovasc Interv 2008;72:365-369.


