Use of the ACIST CVi System in Structural Heart Interventions: Efficiency and Image Quality for Different Contrast Injection Needs

Disclosure: Dr. Creighton Don reports no conflicts of interest regarding the content herein.
Dr. Creighton Don can be contacted at cwdon@uw.edu, (206) 598-8714, or via Shelby Knowles at shelbyk3@cardiology.washington.edu.
Can you tell us about the structural heart program at the University of Washington Medical Center?
The University of Washington Medical Center was part of the original PARTNER study, which was the first trial of Edwards Lifesciences’ Sapien transcatheter aortic valve. We continue to be an active participant in clinical trials evaluating new technologies, including transcatheter valves and other valve repair devices from several other companies. We perform close to 400 transcatheter valve procedures annually, which includes trancatheter aortic valve replacements (TAVRs), transcatheter mitral and tricuspid replacements, MitraClips, and paravalvular leak closures; we have done about 1800 TAVRs since the start of our program.
We also perform a range of structural heart procedures including left atrial appendage closures, percutaneous mitral valve annuloplasty, valvuloplasty, closure of paravalvular leaks, alcohol septal ablations, tricuspid valve interventions, stem cell studies, coarct stenting, pulmonary stenting, and pulmonary valve replacement. There are additional procedures for congenital heart disease that other specialists within our group work on more specifically, but they still use our same imaging system. The University of Washington’s Center for Cardiovascular Innovations has been a cornerstone of our structural heart program by providing 3D models and virtual simulations, as well as cadaver and animal models, for testing and experimenting with novel technologies to treat valvular disease. We use the resources in the Center for pre-procedural planning if cases are particularly unusual or require novel techniques that haven’t been tried before. We work with several industry partners to test and develop new technologies for first-in-man studies.
We use the Philips Allura Clarity fluoroscopy system and the ACIST CVi (ACIST Medical) for contrast injections. Our Philips system also offers a novel imaging modality that can integrate with the ACIST in order to do rotational angiography, which is basically similar to a computed tomography (CT) scan. The ACIST system was brought in to replace or supplement our manifold system, and we added it in all our labs. We even upgraded our coronary lab to the ACIST system, but the primary advantage was allowing for the efficiencies it offers to structural heart procedures.
Why did you start using the ACIST CVi system in structural heart procedures, particularly TAVR?
The main benefit of the ACIST system is that it can be optimized for every type of injection by adjusting volume and flow settings. Different types of interventions require different types of injections, meaning different flow and volume rates. With the ACIST, it is all one system. I can use it to inject very small coronaries or set it for large injections in the ventricle or the aorta. I can then quickly switch the settings to injections for the peripheral vascular system. The case we share (see sidebar) is of a patient where we did aortic root, aortic arch, carotid, and coronary angiograms, then performed a TAVR, and finally, looked at the peripheral vessels — all with one contrast injection system, without having to switch anything in or out. Historically, operators use a manifold for small injections, and another system would be brought in for large injections. There is an efficiency that the ACIST system offers since everything can be done with one system.
In the coronary space, there are some advantages as well. Certainly, you can use the manifold and possibly achieve the same imaging, but in very high-flow states in the coronaries, especially when you use a small diameter catheter, the automatic contrast injection is helpful. Sometimes you are switching over to a different size vessel requiring a different volume and flow, and then you need to switch over to a different type of imaging modality, let’s say optical coherence tomography (OCT), where a large volume of flow is needed. With OCT, most people take the syringe off the manifold and put on a larger syringe, because a higher volume is needed to clear the vessel. With the ACIST system, I say to the technologist, “Give me option 3 for the injection”, and it is ready to go. When I want to go back to a small injection, we can switch quickly without unhooking the system. Also, once I obtain the image I need, I can stop injecting, because use of the system does not commit you to the full volume.
Can you describe the different settings of the ACIST CVi system?
There are some pre-programmed settings that can be adjusted as needed. At the beginning of the case, I may tweak the settings. There are three settings that the system allows during use. I just tell the technologist to press the appropriate button and the ACIST automatically goes to the setting I need. Even within a certain setting, rates can be adjusted, because the contrast injector is pressure sensitive. I can choose to inject a little faster, a little slower, or give it full or partial volume. What the setting allows is the maximum, but you can inject anything up to that maximum setting. By using less pressure on the sensor, which is a thumb button, I can give a small amount of that total contrast load. Let’s say I am being lazy and the ACIST is set for a left coronary artery, and then I switch to the right coronary artery and I don’t need that same volume. I will partially press the button during the right coronary injection so the ACIST will give a similar volume to what I would want for the right coronary artery. By the same token, let’s say you are doing a full-volume contrast injection, but got the image you needed more quickly than expected. You don’t have to administer that whole volume of contrast. By using the ACIST correctly, you become more contrast-efficient. I may want to take a root shot and my usual setting is 10 ccs per second and 10 ccs volume total. Typical settings for higher contrast loads are 10 for 20 or 20 for 40 — those are really huge doses — but if I start pressing the button and get all the information I need, I can stop. For a TAVR, let’s say we are looking for the correct alignment of the cusps to determine the right depth for placement of the TAVR valve. Sometimes I can do that root injection with 2 to 3 ccs, much less than what most patients receive for a typical root angiogram. The ACIST allows me that flexibility and control on the fly. I can usually use 10 cc for a root angiogram, and only required 8 cc in the case we describe here.
Does the ACIST CVi system track the amount of contrast you are using?
Yes, so it keeps you honest. Everyone will underestimate the amount of contrast they use, because they don’t want to use too much contrast or cause any contrast-related complications like contrast nephropathy. By tracking the contrast use in real time, the operator can be quickly alerted when reaching a high volume of contrast. Our lab has instituted a policy of calculating an upper limit for contrast for each patient (5x the glomerular filtration rate, or GFR). With real-time contrast use tracking, our technologists alert us when we have reached 3x the GFR and stop the case at the upper limit.
Can you share more detail about how the ACIST CVi system helps you with TAVR procedures?
One important step of the TAVR procedure involves visualizing the root in order to determine the correct alignment of the three coronary cusps and find the proper implant position for the TAVR valve. That requires a high-flow injection. It can potentially be done with a hand injection, but typically the image quality with a hand injection is insufficient. Most people will use about 20 ccs of contrast using a contrast injector for this task. If the cusps are not aligned, then the angulation of the imaging flat detector is changed, and another injection is given. If that still doesn’t work, then the detector is again moved to a different location and the process continues. This could end up using a lot of contrast. We do a lot of planning to get us in the ballpark, certainly, but when I use the ACIST system, I will use small puffs of contrast, and because it is a high-flow injection, I can get enough information with a high-flow, lower volume injection. Sometimes I will just give a test and I will know where to tweak my angle, so I can avoid doing a full injection until I am more confident that I am in the right position. So I can use 1-2 ccs of a high-flow injection to optimize the angle, instead of the full 20 ccs, and when I am doing the final angulation determination, then I will do the full injection using only 10 cc or less, thereby saving contrast.
Furthermore, over one procedure, we might do many different things that require many different types of injections. I may do the TAVR with the 10 cc/sec for 10 or 15 cc injection, but then I want to switch to the coronaries, which is a 4 cc/sec for 6 cc injection. Press a button and I am ready to go. With a separate power injector, we would have to unplug the contrast injector system and plug in a hand injector system and de-air and flush the new system, and the same when switching back. Using the ACIST, I can easily move from doing a TAVR to looking at the coronaries, and then on to an arch angiogram, and then go back to visualize the aortic root for the TAVR. In the case we shared (sidebar), we had to look at the arch to optimize the position of a carotid protection device. I was able to do a higher volume and higher flow injection to visualize the arch, and then at the end of the case, flip over to look at the peripheral vasculature to do a small injection in order to make sure that our closure of the large-bore access sheath was sufficient. The ACIST allows me to switch quickly between modalities without having to switch out the system.
I am able to do a reasonable, sufficient imaging test with less contrast and the system also allows me to track contrast use. If I have a patient with renal insufficiency and I need to be very meticulous about how much contrast I am giving, the ACIST tells us where we are in real time, without having to do calculations or have the nurse or tech look at the bottle and tell me how much contrast has been used. More importantly, because the ACIST allows a high flow of contrast with small catheters, we are able to get adequate images without having to do large or multiple injections.
How are you using the ACIST CVi system in other structural heart procedures?
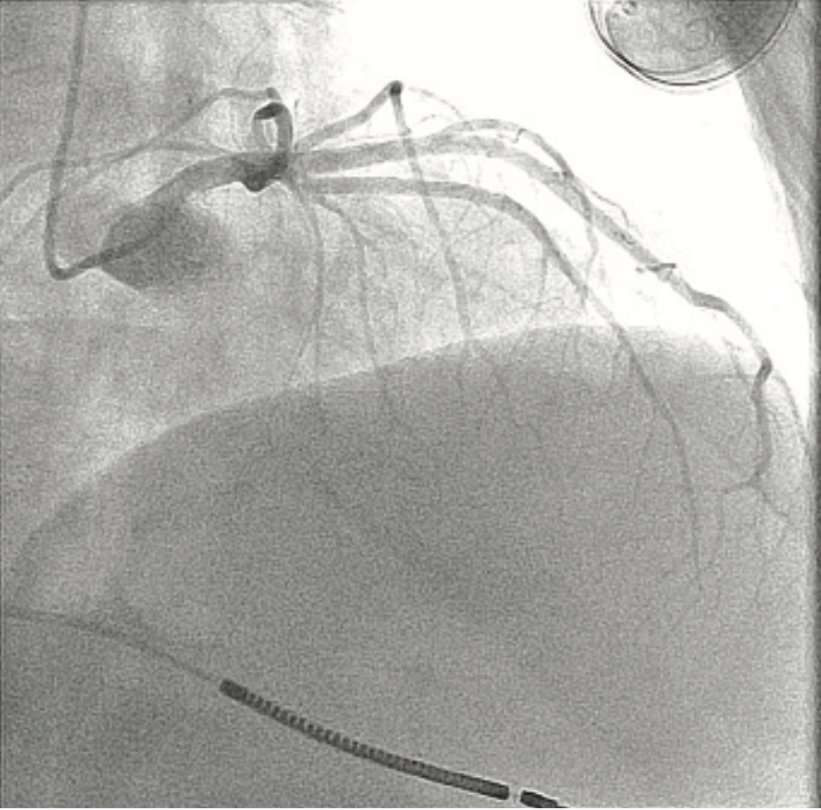
For mitral valve procedures, we use the ACIST to determine the mitral annular plane. It definitely requires high-flow injections, because there is a lot of volume going through the mitral valve. You also have to switch from doing a left atrial angiogram, which requires maybe 10 ccs of contrast, to doing a left ventriculogram, which requires maybe 10-20 ccs of contrast. The ACIST permits us to move between those injections quickly. If you are trying to characterize the left or right atrium in a transseptal procedure, it can easily be done with the ACIST. Another advantage of the ACIST is that because it offers higher and more consistent flow than with a hand injection, I can keep my small catheter in place and still get an optimal result. We also use the ACIST for left atrial appendage closures (Image 1). Using pre-procedural CT scans, the Philips system allows you to overlay your CT images onto the fluoroscopic image. Using an ACIST contrast injection hooked up to the Philips system, you can also do a rotational angiogram to generate a 3D image. We have also used the ACIST for pulmonary angiograms (Images 2-3) and pulmonary stenting. The images show a case of a patient who presented with acute chest pain. We were able to image his coronaries and when these proved to be normal, we performed a pulmonary angiogram in the same setting. For pulmonary valve stenting, you definitely need a contrast injection in the right ventricular outflow tract to make sure you have the necessary size and space. If you do a coarct stent as well, you want a high-flow injection to characterize the anatomy. I was involved in stem cell studies a few years ago, and in determining the sites for injection, we would perform a left ventriculogram to characterize where we want to inject cells, and quickly move to a coronary injection to guide our injections, without having to change the system between angiograms.
Do you have any tips or tricks you would suggest for use of the ACIST CVi system?
If we are about to do a very complex case, the system needs to be ready to do different types of injections. Prior to the case, the operator sets up all the injections: the flow, total volume, total PSI injected, and a rise time. There are some standard settings for the coronaries, but for the structural procedures, I may tailor those settings before we even get started. That way, I don’t have to detail to the tech what flow, volume, rise time, and PSI I want. Instead, I just say, go to the a specific injection, they press one button, and I am at that injection. It improves efficiency.
One of the challenges of the ACIST is that it has one single line going back to the system with either contrast or saline in it. It is a learning curve for the technologists, because the manifold system has a stopcock where you can switch between contrast and saline. So use of the ACIST does take some communication with the staff, because I don’t want them giving extra contrast by flushing with the contrast, or mixing the contrast and saline by pressing the wrong button. There are lots of settings and “button-ology” in the system. It is also not as intuitive of a hookup as the manifold system. We hold a training session once a year where we train the fellows and the staff. The second thing I do, because I want to use the ACIST and it offers efficiency for structural heart procedures, is make our staff use the system for our bread-and-butter procedures, our coronary procedures. It allows everyone to get used to it.
We also use the ACIST to keep track of contrast and for us to reduce our contrast use. There are several studies suggesting that contrast loads 3x the glomerular filtration rate (GFR) put patients at risk for possible contrast nephropathy. Every patient that comes in has their GFR listed on the board, and our lab has an alert if you have used contrast 3x the GFR. Since the ACIST is constantly measuring contrast use, one of the technologists will tell us, “you are at x ml for contrast”, or “you have hit your 300 ml limit, so be aware”. It is not a hard stop. It may be a complex case where the patient needs that procedure. Whether to keep going is a decision you have to make. The technologist who uses the system also has to be very much on top of the system in terms of making sure to keep up with the refills, because the ACIST allows 90 ccs in the contrast injector syringe.
Do system settings vary by personal preference?
Setting preferences certainly can vary by operator and facility, but for TAVRs, which are a common procedure performed by a total of four operators at our facility, the settings are fairly standardized. If you want to tweak the settings, you may, but for the average patient we have general settings. It just improves efficiency in the lab. If every operator had to program in their own settings, that wouldn’t be efficient. For most procedures, we have standard settings given as a default.
What benefits have you seen with use of the ACIST CVi system?
First, image quality. Because the ACIST offers higher flows in certain circumstances, such as when there is a very high-flow state, the system allows you to get a better injection than with a hand injection. In order to opacify a vessel in a high-flow state, you need high volume and flow. There is a limit to what can be achieved with a hand injection, especially if the catheter is small, because there is higher resistance. Yet the ACIST system allows you, even with a small catheter, to achieve those high-flow rates and necessary image quality.
A second benefit is contrast control. You also can get better image quality with just small puffs instead of the full injection, which helps reduce contrast. The contrast amount is being tracked in real time and it keeps you honest. You might say to yourself, I don’t think I have used that much contrast, but then you look at the numbers and you may need to rethink your estimate. Finally, use of the ACIST in the case benefits overall efficiency, because you can switch quickly between different modes of injections without having to change out systems.
Do you have advice for operators who might be interested in adopting a similar use of the ACIST CVi system?
If you haven’t used the ACIST system, visit sites that use it. Watch them do a case, see how the flow in the lab goes, evaluate how it may improve the efficiencies in your lab. Note how the injections can be varied and customized. It is a fairly intuitive system to use. I didn’t train on the ACIST system; in fact, we had a different contrast injection system that nobody liked, because it was too complex to use. I came here, saw a contrast injector and thought, “I hate this thing!” But after a few weeks of actually using the ACIST, I realized how straightforward it is and fully adopted it, because the system offers unique benefits for structural heart cases, where you are varying between different contrast injection needs. I have also adopted it for my bread-and-butter coronary work, because I want the staff to become comfortable with using it. All equipment in the cath lab has a life cycle, and if you are using another contrast injection system that is ready to be replaced, think about moving to the ACIST as a customizable contrast injection system that can be used for coronaries and high-power contrast injections. If you are finding a lack of universal support from partners in the lab, then it is reasonable to do an install in a single lab, maybe the hybrid suite where you are going to be doing your structural procedures, and the other labs can be regular manifolds. That will start to get people used to it, although if only one room has the system, people may dread using that room, because they are not using the system frequently enough. So there is some value to considering getting the ACIST for all your labs. You don’t have to use the system when you are in the lab, but it does allow you to expose more people to the system and then everyone gets better at using it. Standardization is one thing that we don’t do as well as we should in our profession, because we focus so much on the art of medicine — ‘I like to do it this way’ or ‘I like to do it a slightly different way.’ All of these may be flavors of the same thing and personal preferences, rather than things that truly impact patient care. The problem is that so many personal preferences make it challenging to standardize quality in your lab. If there is no real impact to the patient, standardize it in order to encourage more consistent quality across the entire lab. That is what we have done with our ACIST systems. We have them in every single lab, and I would say that 90% of our technologists are comfortable using the system. I can do a TAVR in any of our rooms with the ACIST system, and the contrast injections are the least of my worries, because it has all been standardized.
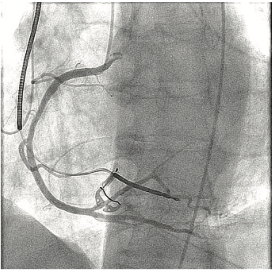
Can you give us some additional background on the case you share (sidebar)?
This is a 79-year-old woman with emphysema, arthritis, and severe aortic stenosis, and she needed a TAVR. There were several issues with her TAVR: one was that her coronary heights were low. If you put a TAVR valve in a patient with very low coronary heights, there is a chance that the native valve will get pushed up and occlude the coronary artery. We’ve had that happen once before, and the patient died from it, so it is a very serious complication. We did a novel procedure called the bioprosthetic aortic scallop intentional laceration to prevent iatrogenic coronary artery obstruction (BASILICA) procedure, where you slice the leaflet of the native aortic valve in half. Even though the leaflet gets pushed up, since it has been sliced in half, it won’t occlude the coronary artery. We first needed to look at her coronary arteries and the cusps using 3-6 cc coronary injections, and then we performed the BASILICA procedure. The patient also had an anomalous takeoff of her carotid arteries. We wanted to use a carotid embolic protection device, but because she had such an anomalous takeoff, it had to be placed in a very unique way. We did have a CT scan and had to correlate it with the patient so we would know exactly where to put the device. We needed to take an arch angiogram, which is a higher power contrast injection, 10 for 15 ccs or 10 for 20 ccs. The TAVR procedure was done as usual, using the 10 cc contrast injection I described earlier, to measure the annulus planes and look at implant depth. Then we looked at the coronary arteries, because it turned out that the patient needed a stent in her coronary artery. At the end of the case, we wanted to make sure that our closure of the large-bore access sheath was sufficient, so we flipped down to the leg and took a picture there using digital subtraction angiography and a 2 cc injection. I’ll share a second case that also demonstrates the versatility of the ACIST (Images 2-6). This was a patient with acute shortness of breath and chest pain, and there was a question of whether he was having a pulmonary embolus or a heart attack. The electrocardiogram was unclear. We took him back to the lab and were able to do a pulmonary angiogram, then visualize the coronaries, all on one setting. We also did an iliac angiogram, because we used that access in order to give him a support device. This case required pulmonary (Images 2-3), coronary (Images 4-5), and iliac angiograms (Image 6), all done with use of the ACIST CVi system.


